Abstract
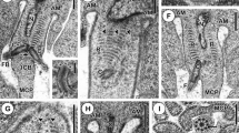
A combination of characters, not individually unique, possessed by the corystid,Corystes cassivelaunus, and the two cancrids,Platepistoma nanum andCancer pagurus, defines a corystoid-type of spermatozoon: the basally bulbous, anteriorly narrowing perforatorium, the extent of this almost to the plasma membrane through a widely perforate operculum, and the simple inner acrosome zone, lacking an acrosome ray zone. The sperm of the two cancrids are closely similar, that of the corystid differing, for instance, in the less pointed, and less tapered, form of the perforatorium. This relative uniformity of spermatozoal ultrastructure in the cancrid+corystid assemblage so far investigated supports inclusion of the two families in the superfamily Corystoidea by Guinot (1978). The combination of perforation of the operculum and absence of an acrosome ray zone (at least in a clearly recognizable form) are features of the Potamidae which possibly indicate that the latter family, modified for a freshwater existence, is related to the cancrid+corystid assemblage. Some elongation of the centrioles, apparent at least inCorystes, may be a further link with potamids in which they are greatly elongated. The coenospermial spermatophores of cancridoids are a notable difference from the cleistospermia of potamids; but the latter is probably an apomorphic modification for fertilization biology.
Article PDF
Similar content being viewed by others
Literature Cited
Daddow, L., 1986. An abbreviated method of the double lead stain technique.—J. submicrosc. Cytol.18, 221–224.
Davie, P., 1991. Crustacea Decapoda: the genusPlatepistoma Rathbun, 1906 (Cancridae) with the description of three new species.—Mém. Mus. natn. Hist. nat., Paris (Sér. A: Zool.)152, 493–514.
Guinot, D., 1978. Principes d'une classification évolutive des Crustacés Décapodes Brachyoures.— Bull. biol. Fr. Belg.112, 211–292.
Guinot, D., Jamieson, B. G. M. & Tudge, C. C., 1997. Spermatozoal ultrastructure and relationships of the freshwater crabsPotamon fluviatile andPotamon ibericum (Crustacea, Brachyura, Potamidae). —J. Zool., Lond.241(2) (in press).
Jamieson, B. G. M., 1989. The ultrastructure of the spermatozoa of four species of xanthid crabs (Crustacea, Brachyura, Xanthidae).—J. submicrosc. Cytol. Pathol.21, 579–586.
Jamieson, B. G. M., 1991a. Sperm and phylogeny in the Brachyura (Crustacea). In: Comparative spermatology 20 years after. Ed. by B. Baccetti. Raven Press, New York, 967–972.
Jamieson, B. G. M., 1991b. Ultrastructure and phylogeny of crustacean spermatozoa.—Mem. Qld. Mus.31, 109–142.
Jamieson, B. G. M., 1993. Ultrastructure of the spermatozoon ofPotamonautes perlatus sidneyi (Heterotremata, Brachyura, Crustacea).—S. Afr. J. Zool.28, 40–45.
Jamieson, B. G. M., 1994. Phylogeny of the Brachyura with particular reference to the Podotremata: evidence from a review of spermatozoal ultrastructure.—Phil. Trans. R. Soc. (B)345, 373–393.
Jamieson, B. G. M., Guinot, D. & Richer de Forges, B., 1995. Phylogeny of the Brachyura (Crustacea, Decapoda): evidence from spermatozoal ultrastructure.—Mém. Mus. natn. Hist. nat., Paris (Sér A: Zool.)166, 265–283.
Langreth, S. G., 1965. Ultrastructural observations on the sperm of the crabCancer borealis.—J. Cell Biol.27, 56A-57A.
Langreth, S. G., 1969. Spermiogenesis inCancer crabs.—J. Cell Biol.43, 575–603.
Pochon-Masson, J., 1968. L'ultrastructure des spermatozoïdes vésiculaires chez les crustacés décapodes avant et au cours de leur dévagination expérimentale. I. Brachyoures et Anomoures.— Annls Sci. nat. (Sér. Zool.)10, 1–100.
Spurr, A. R., 1969. A low viscosity epoxy-resin embedding medium for electron microscopy.—J. Ultrastruct. Res.26, 31–43.
Takeda, 1977. Two interesting crabs from Hawaii.—Pacif. Sci.31, 31–38.
Tudge, C. C. & Justine, J.-L., 1994. The cytoskeletal proteins actin and tubulin in the spermatozoa of four decapod crabs (Crustacea, Decapoda).—Acta zool., Stockh.75, 277–285.
Tudge, C. C., Grellier, P. & Justine, J.-L., 1994. Actin in the acrosome of the spermatozoa of the crab,Cancer pagurus L. (Decapoda, Crustacea).—Mol. Reprod. Dev.38, 178–186.
Warner, G. F., 1977. The biology of crabs. Elek Science, London, 202 pp.
Author information
Authors and Affiliations
Rights and permissions
About this article
Cite this article
Jamieson, B.G.M., Guinot, D., Tudge, C.C. et al. Ultrastructure of the spermatozoa ofCorystes cassivelaunus (Corystidae),Platepistoma nanum (Cancridae) andCancer pagurus (Cancridae) supports recognition of the Corystoidea (Crustacea, Brachyura, Heterotremata). Helgoländer Meeresunters. 51, 83–93 (1997). https://doi.org/10.1007/BF02908756
Issue Date:
DOI: https://doi.org/10.1007/BF02908756


