Summary
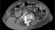
The case of a 93-year-old female with aStreptococcus pneumoniae retroperitoneal abscess diagnosed by physical examination and abdominal ultrasonography is presented. Review of the literature reveals no previous cases ofStreptococcus pneumoniae retroperitoneal abscess. Retroperitoneal abscess is a complication of common medical diseases. Delay in diagnosis contributes to a high mortality rate and surgical drainage is the primary mode of therapy. The new diagnostic techniques of ultrasonography, radionucleotide scanning with gallium-67 citrate or indium-111 chloride, and computerized tomography appear to provide a sensitive method for earlier diagnosis.
Similar content being viewed by others
References
Altemeier WA, Alexander JW: Retroperitoneal abscess. Arch Surg 83:512–524, 1961
Stevenson EOS, Ozeran RS: Retroperitoneal space abscesses. Surg Gynecol Obstet 128:1202–1208, 1969
Altemeier WA, Culbertson WR, Fullen WE, Shook CS: Intraabdominal abscesses. Am J Surg 125:70–79, 1973
Daviglus GF, Rush BF: Retroperitoneal abscess. A clinical study. Arch Surg 83:322–328, 1961
March AW, Riley LH, Robinson RA: Retroperitoneal abscess and arthritis of the hip in children. A problem in differential diagnosis. J Bone Joint Surg 54A:67–74, 1972
Maull KI, Sachatello CR: Retroperitoneal iliac fossa abscess. A complication of suppurative iliac lymphadenitis. Am J S 127:270–274, 1974
Rhode CM, Jennings WD: Retroperitoneal retrofascial space infections. Am Sur 30:799–810, 1964
Hardcastle JD: Acute non-tuberculous psoas abscess. Report of 10 cases and review of the literature. Br J Surg 57:103–106, 1970
Thorley JD, Jones SR, Sanford JP: Perinephric abscess. Medicine 53:441–451, 1974
Salvatierra O, Bucklew WB, Morrow JW: Perinephric abscess. A report of 71 cases. J Urol 90:296–302, 1967
Hashmonai M, Abrahamson J, Erlik D, Schramek A: Retroperitoneal perforation of duodenal ulcers with abscess formation. Report of four cases and survey of the literature. Ann Surg 175:409–414, 1971
Greenstein AJ, Dreiling DA, Aufses AH: Crohn's disease of the colon V. Retroperitoneal lumbosacral abscess in Crohn's disease involving the colon. Am J Gastroenterol 64:306–318, 1975
O'Keefe TJ: Retroperitoneal abscess: A potentially fatal complication of closed fracture of the pelvis. J Bone Joint Surg 60A:1117–1121, 1978
Leopold GR, Asher WM: Diagnosis of extraorgan retroperitoneal space lesions by B-scan ultrasonography. Radiology 104:133–138, 1972
Coffee HH, Watts G, Mena I: Gallium 67 citrate scanning in the diagnosis of intra-abdominal abscess. Am J Surg 133:665–669, 1977
Abdel Dayem HM, Breen J, Leslie EV: Clinical experience with (111In) indium chloride scanning in inflammatory disceases. Clin Nuclear Med 3:196–201, 1978
Haaga JR, Alfidi RJ, Havrilla TR, Cooperman AM, Seidelmann FE, Reich NE, Weinstein AJ, Meaney TF: CT detection and aspiration of abdominal abscesses. Am J Roentgenol 128:465–474, 1977
Author information
Authors and Affiliations
Rights and permissions
About this article
Cite this article
Harris, L.F., Sparks, J.E. Retroperitoneal abscess. Digest Dis Sci 25, 392–395 (1980). https://doi.org/10.1007/BF01308066
Received:
Revised:
Accepted:
Issue Date:
DOI: https://doi.org/10.1007/BF01308066


