How to Diagnose Early 5-Azacytidine-Induced Pneumonitis: A Case Report
- 746 Downloads
- 1 Citations
Abstract
Interstitial pneumonitis is a classical complication of many drugs. Pulmonary toxicity due to 5-azacytidine, a deoxyribonucleic acid methyltransferase inhibitor and cytotoxic drug, has rarely been reported. We report a 67-year-old female myelodysplastic syndrome patient treated with 5-azacytidine at the conventional dosage of 75 mg/m2 for 7 days. One week after starting she developed moderate fever along with dry cough and subsequently her temperature rose to 39.5 °C. She was placed under broad-spectrum antibiotics based on the protocol for febrile neutropenia, including ciprofloxacin 750 mg twice daily, ceftazidime 1 g three times daily (tid), and sulfamethoxazole/trimethoprim 400 mg/80 mg tid. High-resolution computed tomography of the chest disclosed diffuse bilateral opacities with ground-glass shadowing and pleural effusion bilaterally. Mediastinal and hilar lymph nodes were moderately enlarged. polymerase chain reaction for Mycobacterium tuberculosis, Pneumocystis jiroveci, and cytomegalovirus were negative. Cultures including viral and fungal were all negative. A diagnosis of drug-induced pneumonitis was considered and, given the negative bronchoalveolar lavage in terms of an infection, corticosteroid therapy was given at a dose of 1 mg/kg body weight. Within 4 weeks, the patient became afebrile and was discharged from hospital. Development of symptoms with respect to drug administration, unexplained fever, negative workup for an infection, and marked response to corticosteroid therapy were found in our case. An explanation could be a delayed type of hypersensitivity (type IV) with activation of CD8 T cell which could possibly explain most of the symptoms. We have developed a decision algorithm in order to anticipate timely diagnosis of 5-azacitidine-induced pneumonitis, and with the aim to limit antibiotics abuse and to set up emergency treatment.
Key Points
| Interstitial pneumonitis is a classical complication of many drugs. |
| Pulmonary toxicity due to 5-azacytidine is rarely mentioned. |
| It is important to anticipate diagnosis of 5-azacitidine-associated interstitial lung disease to limit antibiotics abuse and to set up emergency treatment. |
Introduction
Pneumonitis, often called interstitial lung disease or ILD, is a possible manifestation of many antineoplastic and other drugs, with several ILD subtypes being described in association with drugs. Pulmonary toxicity from 5-azacytidine, a deoxyribonucleic acid (DNA) methyltransferase inhibitor which also exerts cytotoxic effects, has rarely been reported, although the drug has been used since 1982. 5-Azacytidine acts as a hypomethylating agent of the Y globin suppressor gene to induce fetal hemoglobin in thalassemia and, since 2000, to treat high-risk myelodysplastic syndrome (MDS) and acute myelogenous leukemia (AML) with low blast counts. Here, we report a case of 5-azacytidine-asociated pneumonitis, review the literature, and develop a diagnostic algorithm for this rare condition to avoid delay in medical care and misuse of antibiotics.
Case Report
A 67-year-old woman presented as an outpatient of our Hematology Department in August 2015 for progressive neutropenia, anemia, and fatigue. Peripheral blood examination showed a normochromic normocytic anemia with 9.4 g/dL hemoglobin, 0.350 × 109/L neutrophils and 138 × 109/L platelets. A bone marrow aspirate (BMA) showed hypercellular marrow with trilineage dysplastic features, micromegakaryocytes and 13% myeloblasts. A diagnosis of refractory cytopenia with multilineage dysplasia was given, based on the WHO MDS classification [1]. A trephine biopsy was in accordance with the results from the bone marrow aspirate with 15% myeloblasts displaying dyserythropoiesis and dysmegakaryopoiesis. Karyotype G banding analysis revealed a complex cytogenetic abnormality: 46,XX,del(5)(q14q34) [2]/49,sl,+1,+9,+11 [2]/52,sd1,+11,+22,+22 [16].
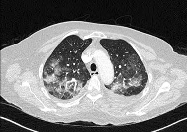
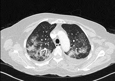
High-resolution computed tomography of the chest disclosed diffuse bilateral interstitial opacities with ground-glass shadowing, and pleural effusion bilaterally
Discussion
Clinical features of 5-azacytidine-associated ILD include cough, dyspnea, pleuritic chest pain, and hypoxemic respiratory failure [2]. Like many antineoplastic agent-induced lung diseases, prominent imaging findings include diffuse multifocal ground-glass shadowing, interstitial thickening, and pleural effusion.
Clinical characteristics, examination, and treatment of myelodysplastic syndrome and acute myeloid leukemia patients with 5-azacitidine-induced interstitial lung disease
| Study | Disease | Sex | Age | Clinical symptoms | Time of onset of symptoms | Examination | Treatment | Evolution | Rechallenge |
|---|---|---|---|---|---|---|---|---|---|
| Adams et al. 2005; USA [3] | MDS | M | 71 | Bilateral crackles and wheezing | <7 days | Chest radiograph: patchy bilateral, perihilar airspace disease, organizing pneumonitis Bronchoscopy: scattered petechiae, thin watery secretions, with no lesions or evidence of hemorrhage Cultures negative Biopsy: acute and chronic interstitial and alveolar fibrosis with chronic inflammation, marked atypia of pneumocytes, no pathogens | 1. Cefotaxime, azithromycin, metronidazole | Died | No |
| Hueser and Patel 2007; USA [4] | MDS | F | 55 | Hyperthermia, hypoxic respiratory failure, acute respiratory distress syndrome | 5 days | Chest tomography: bilateral interstitial opacities | 1. Antipyretic 2. Empiric broad-spectrum antibiotics, antifungal drugs and methylprednisolone 100 mg every 12 hours | Recovered | No |
| Pillai et al. 2012; UK [5] | MDS | F | 74 | Fever, dry cough, breathlessness | 2 weeks | Tomography scan: peribronchiolar shadowing Cultures negative | 1. Antimicrobial therapy | Recovered spontaneously | Yes |
| Fever, dry cough, dyspnea | 5 days after 2nd cycle | Chest X-ray: bilateral patchy shadowing CT scan: reticulo-nodular and ground-glass shadowing, pleural effusions | 1. IV antibiotics 2. Methylprednisolone 1.5 g/day | Recovered | No | ||||
| Kotsianidis et al. 2012; Greece [6] | MDS | M | 55 | Fever, respiratory failure, hypoxemia, hypercapnia | 27 days | NA | 1. Broad-spectrum antibiotics 2. Prednisolone 0.5 mg/kg/day + oxygen | Recovered and died of sepsis after 5 months | No |
| Sekhri et al. 2012; USA [7] | MDS | M | 56 | Dry cough, dyspnea | 7 days | Cultures negative | Recovered | Yes | |
| Fever, cough, dyspnea, hypoxia | 2 days after 2nd cycle | Cultures negative Tomography scan: extensive bilateral airspace disease with nodular opacities Biopsy: interstitial lung disease and bronchocentric granulomatous pattern BAL negative | 1. Broad-spectrum antibiotics 2. IV methylprednisolone | Recovered | No | ||||
| Nair et al. 2012; USA [8] | MDS | M | 76 | Dyspnea, non-productive cough, fever | 3 weeks | Chest X-ray: bilateral interstitial infiltrates CT scan: diffuse bilateral patchy infiltrates Biopsy: organizing pneumonia with intra-alveolar plugs and fibroblastic tissue, predominant eosinophilic infiltration Cultures negative | 1. Ceftriaxone + azithromycin IV 2. IV methylprednisolone 1 mg/kg twice daily | Recovered | NA |
| Hayashi et al. 2012; Japan [9] | MDS | M | 74 | Fever, dry cough, worsening shortness of breath | 2 days | Chest X-ray: infiltration in the right middle lung field Cultures negative Chest tomography: organizing pneumonia | 1. Cefepime 2. Piperacillin/tazobactam 3. Meropenem + vancomycin 4. Methylprednisolone 1000 mg/day | Recovered | No |
| Kuroda et al. 2014; Japan [10] | MDS | M | 72 | Moderate pyrexia, dyspnea, dry cough, bloody sputum and wheezing, hypoxic respiratory failure | 3 days | Chest X-ray: patchy airspace disease Tomography scan: areas of interstitial opacity and ground-glass shadowing No infections in cultures | 1. Oxygen 2. Broad-spectrum antibiotics and antifungal agents 3. IV methylprednisolone (500 mg) + sulfamethoxazole trimethoprim, vancomycin, micafungin | Died | No |
| Verriere et al. 2015; France [11] | AML | F | 86 | Grade III skin reaction, nausea, gastric pain, dry cough, hyperthermia, ear pain, asthenia, anorexia, hyperthermia | 2nd day of the 3rd cycle | CT scan: diffuse interstitial opacities and ground-glass shadowing (mediastinal and hilar lymph nodes) | 1. Piperacillin/tazobactam 2. Imipenem/cilastatin 3. Corticotherapy 0.75 mg/kg per day + oxygen therapy | Recovered | No |
| Patel et al. 2015; USA [12] | MDS | M | 74 | Fever, cough, shortness of breath | 2 days after 2nd cycle | Chest radiograph and tomography: bilateral interstitial infiltrates and ground-glass opacities Cultures negative BAL inflammatory | 1. Corticosteroids | Recovered | NA |
| Ahrari et al. 2015; Canada [13] | MDS | M | 73 | Fever, chills, night sweats | Start of 3rd cycle | Blood culture: Mycobacterium fortuitum Chest radiograph: bilateral hilar enlargement and bilateral perihilar ground-glass opacities Chest tomography: bilateral ground-glass opacities with reticulation in the mid- and upper lung zones and patchy peripheral airspace consolidation BAL negative | 1. Levofloxacin 2. Clarithromycin + ciprofloxacin + sulfamethoxazole trimethoprim 3. High-dose prednisone | Died | No |
| Alnimer et al. 2016; USA [14] | MDS | M | 67 | Worsening shortness of breath, mild productive cough | 2 weeks after 2nd cycle | CT scan: massive multifocal bilateral pulmonary consolidations, surrounding ground-glass opacities, pleural effusion Cultures negative Lung biopsy: chronic nonspecific inflammation with macrophages | 4. Levofloxacin + piperacillin/tazoactam 5. Caspofungin + teicoplanin + oseltamivir + meropenem + levofloxacin 6. Methylprednisolone 60 mg twice daily | Recovered | No |
The diagnosis of drug-induced pneumonitis rests on history of drug exposure, clinical imaging, bronchoalveolar lavage, exclusion of other lung conditions, improvement following drug discontinuation, and recurrence of symptoms upon rechallenge with the drug. In the present case, we were reluctant to readminister the drug as the risk of doing so is poorly known. The Naranjo probability score in this case was 6, consistent with probable adverse reaction [15, 16]. In our case, despite steroid use, symptoms relapsed and were characterized as serosanguinous pleural effusion. Serosanguinous pleural exudates with polymorphonuclear leukocyte predominance without bacteriological evidence of infection may be a manifestation of pleurisy such as in lupus erythematosus, which might be induced by the drug in question [17].
Mechanisms for drug-induced ILD are direct cytotoxicity, hypersensitivity, oxidative stress, release of cytokines and thus pyrogens, and lastly impaired repair by type II pneumocytes. Chronology of events, unexplained fever, and steroid response to clinical and radiological signs constitute a hypersensitivity pneumonitis.
5-Azacytidine is a cytosine analog, a potent inhibitor of DNA methyltransferase, with a hypomethylating effect in vivo and in vitro. Unlike gemcitabine, although cytotoxic at high dose, at low dose it is capable of inducing differentiation and hypomethylation. Hence, profound myelosuppression or direct lung injury like capillary leak syndrome is not encountered during 5-azacytidine toxicity. The role of oxidative stress is still unclear although there are a few reports concerning induction of necrosis in vitro by 5-azacytidine [18]. Oxidative stress could contribute to T-cell response by inhibiting the ERK pathway signaling in T cells. Recently we observed drug-associated ILD in two patients treated with an experimental inhibitor of DNA methyltransferase, suggesting a common class effect [19, 20].
Unlike oxaliplatin, anaphylactic reaction is extremely rare in 5-azacytidine. Few patients develop symptoms during the administration of chemotherapy. Although an elevated IgE level was reported in one case by Nair et al., the evidence is not sufficient to conclude a type I reaction [8]. Most patients develop symptoms within a week to a month after administration of 5-azacytidine. Although the histopathological evidence is rarely possible in immunocompromised patients with hematological malignancy, Sekhri et al. presented a bronchocentric granuloma in their report [7]. Hence, another plausible explanation could be a delayed type of hypersensitivity (type IV) with activation of CD8 T cell, which could explain most of the symptoms. This could possibly occur during a relative immune reconstitution phase of an immunocompromised patient.
The pulmonary fibrosis may be due to DNA hypomethylation causing direct upregulation of type I collagen synthesis. Sanders et al. suggested that the DNA methylation is important in idiopathic pulmonary fibrosis (IPF), as an altered DNA methylation profile has been demonstrated in their experiment [21]. Moreover, there are reports suggesting the epigenetic priming by 5-azacytidine confers transdifferentiating properties to various cells. However, it is difficult to establish a relationship at present [22].
Decision algorithm for 5-azacitidine-induced ILD
Conclusions
A high degree of vigilance is advised to entertain the diagnosis in a timely manner, since the condition can be fatal. We now utilize a decision algorithm in order for timely diagnosis of 5-azacitidine-induced ILD to limit antibiotics abuse and to set up emergency treatment.
Notes
Compliance with Ethical Standards
Conflict of interest
S.C. Misra, L. Gabriel, E. Nacoulma, G. Dine, and V. Guarino declare that they have no conflict of interest.
Funding
No financial support was received for the preparation of this manuscript.
Informed consent
Written informed consent was obtained from the patient for publication of this case report and any accompanying images. A copy of the written consent may be requested for review from the corresponding author.
References
- 1.Eclache V. Classification of myelodysplastic syndromes 2015 [Internet]. 2015 [cited 2016 Feb 2]. Available from: http://atlasgeneticsoncology.org/Anomalies/ClassifMDSID1058.html
- 2.European Medicines Agency-Find medicine-Vidaza [Internet]. [cited 2016 Jan 22]. Available from: http://www.ema.europa.eu/docs/en_GB/document_library/EPAR_-_Product_Information/human/000978/WC500050239.pdf
- 3.Adams CD, Szumita PM, Baroletti SA, Lilly CM. Azacitidine-induced interstitial and alveolar fibrosis in a patient with myelodysplastic syndrome. Pharmacotherapy. 2005;25:765–8.CrossRefPubMedGoogle Scholar
- 4.Hueser CN, Patel AJ. Azacitidine-associated hyperthermia and interstitial pneumonitis in a patient with myelodysplastic syndrome. Pharmacotherapy. 2007;27:1759–62.CrossRefPubMedGoogle Scholar
- 5.Pillai AR, Sadik W, Jones PAH, Thachil J. Interstitial pneumonitis—an important differential diagnosis for pulmonary sepsis in haematology patients. Leuk Res. 2012;36:e39–40.CrossRefPubMedGoogle Scholar
- 6.Kotsianidis I, Spanoudakis E, Nakou E, Miltiades P, Margaritis D, Tsatalas C, et al. Hypomethylating therapy and autoimmunity in MDS: an enigmatic relationship. Leuk Res Elsevier. 2012;36:e90–2.CrossRefGoogle Scholar
- 7.Sekhri A, Palaniswamy C, Kurmayagari K, Kalra A, Selvaraj DR. Interstitial lung disease associated with azacitidine use: a case report. Am J Ther. 2012;19:e98–100.CrossRefPubMedGoogle Scholar
- 8.Nair GB, Charles M, Ogden L, Spiegler P. Eosinophilic pneumonia associated with azacitidine in a patient with myelodysplastic syndrome. Respir Care. 2012;57:631–3.CrossRefPubMedGoogle Scholar
- 9.Hayashi M, Takayasu H, Tada M, Yamazaki Y, Tateno H, Tazawa S, et al. Azacitidine-induced pneumonitis in a patient with myelodysplastic syndrome: first case report in Japan. Intern Med. 2012;51:2411–5.CrossRefPubMedGoogle Scholar
- 10.Kuroda J, Shimura Y, Mizutani S, Nagoshi H, Kiyota M, Chinen Y, et al. Azacitidine-associated acute interstitial pneumonitis. Intern Med. 2014;53:1165–9.CrossRefPubMedGoogle Scholar
- 11.Verriere B, Ferreira V, Denis E, Zahreddine K, Deletie E, Quinsat D, et al. Azacitidine-induced interstitial pneumonitis. Ther: Am J; 2015.Google Scholar
- 12.Patel V, Sarkar S, Cervellione KL. A case of azacitidine induced interstitial pneumonitis in a patient with myelodysplastic syndrome (MDS) (ATS Journals). Abstr: Am Thorac Soc Int Conf Meet; 2015.Google Scholar
- 13.Ahrari A, Sabloff M, Bredeson C, Pakhale S, Souza C, Zwicker J, et al. Rare respiratory and neurologic adverse reactions to azacitidine in the treatment of myelodysplastic syndrome of patients treated at the Ottawa Hospital. J Hematol. 2015;4:231–4.CrossRefGoogle Scholar
- 14.Alnimer Y, Salah S, Abuqayas B, Alrabi K. Azacitidine-induced cryptogenic organizing pneumonia: a case report and review of the literature. J Med Case Rep. 2016;10:15.CrossRefPubMedPubMedCentralGoogle Scholar
- 15.Naranjo CA. A clinical pharmacologic perspective on the detection and assessment of adverse drug reactions. Drug Inf J. 1986;20:387–93.CrossRefPubMedGoogle Scholar
- 16.Naranjo CA, Busto U, Sellers EM, Sandor P, Ruiz I, Roberts EA, et al. A method for estimating the probability of adverse drug reactions. Clin Pharmacol Ther. 1981;30:239–45.CrossRefPubMedGoogle Scholar
- 17.Dail and Hammar’s Pulmonary Pathology-Volume I: | Joseph F. Tomashefski | Springer [Internet]. [cited 2016 Feb 19]. Available from: http://www.springer.com/us/book/9780387721392
- 18.Tian E, Tang H, Xu R, Liu C, Deng H, Wang Q. Azacytidine induces necrosis of multiple myeloma cells through oxidative stress. Proteome Sci BioMed Central. 2013;11:24.CrossRefGoogle Scholar
- 19.Vasu TS, Cavallazzi R, Hirani A, Marik PE. A 64-year-old male with fever and persistent lung infiltrate. Respir Care. 2009;54:1263–5.PubMedGoogle Scholar
- 20.Molina M, Yellapragada S, Mims M, Rahman E, Rivero G. Pulmonary complications of azanucleoside therapy in patients with myelodysplastic syndrome and acute myelogenous leukemia. Case Rep Hematol. 2015;2015:357461.PubMedPubMedCentralGoogle Scholar
- 21.Sanders YY, Ambalavanan N, Halloran B, Zhang X, Liu H, Crossman DK, et al. Altered DNA methylation profile in idiopathic pulmonary fibrosis. Am J Respir Crit Care Med. 2012;186:525–35.CrossRefPubMedPubMedCentralGoogle Scholar
- 22.Mirakhori F, Zeynali B, Kiani S, Baharvand H. Brief azacytidine step allows the conversion of suspension human fibroblasts into neural progenitor-like cells. Cell J. 2015;17:153–8.PubMedPubMedCentralGoogle Scholar
Copyright information
Open AccessThis article is distributed under the terms of the Creative Commons Attribution-NonCommercial 4.0 International License (http://creativecommons.org/licenses/by-nc/4.0/), which permits any noncommercial use, distribution, and reproduction in any medium, provided you give appropriate credit to the original author(s) and the source, provide a link to the Creative Commons license, and indicate if changes were made.

