Advances in Imaging in Age-Related Macular Degeneration
- 995 Downloads
Abstract
Age-related macular degeneration (AMD) is the leading cause of severe visual loss in people aged 50 years or older in the developed world. Advances in ocular imaging have driven many of the major breakthroughs in our understanding of the disease’s pathogenesis, as well as many improvements in diagnosis and treatment. In this review, we describe the latest advances in ocular imaging applicable to patients with AMD. We begin with an overview of topographic imaging techniques, with an emphasis on emerging technologies such as ultrawidefield imaging, fundus autofluorescence, and adaptive optics. We next describe the latest advances in optical coherence tomography imaging, with an emphasis on novel image acquisition and analysis techniques of use for patients with AMD. In both cases, we describe the current state of the art for clinical imaging of patients with AMD and highlight new approaches likely to appear in clinical settings in the near future.
Keywords
Age-related macular degeneration Optical coherence tomography Imaging Angiography AutofluorescenceAbbreviations
- AMD
Age-related macular degeneration
- CNV
Choroidal neovascularization
- OCT
Optical coherence tomography
- SLO
Scanning laser ophthalmoscope
- CCD
Charge-coupled device
- HRA
Heidelberg retinal angiograph
- HRT
Heidelberg retinal tomograph
- FA
Fluorescein angiography
- TAG
Topographic angiography
- RLA
Retinal leakage analyzer
- ICG
Indocyanine green
- PCV
Polypoidal choroidal vasculopathy
- RAP
Retinal angiomatous proliferation
- FAF
Fundus autofluorescence
- MPOD
Macular pigment optical density
- ETDRS
Early Treatment of Diabetic Retinopathy Study
- EDI
Enhanced depth imaging
- AREDS
Age-Related Eye Disease Study
Introduction
Early phase fluorescein angiographic image demonstrating choroidal neovascularization (CNV) in a patient with neovascular age-related macular degeneration (AMD)
In this review, we describe recent advances in imaging for patients with AMD. We divide these advances into two main categories. Firstly, we provide an overview of topographic imaging techniques (i.e., the use of fundus cameras and/or scanning laser ophthalmoscopes (SLO) to obtain two-dimensional images of the ocular fundus), and how these techniques have been modified to greatly extend their application. Secondly, we describe the latest advances in tomographic imaging techniques (i.e., the use of OCT to provide cross-sectional and three-dimensional views of the retina and underlying structures). In both cases, we describe the current state of the art for clinical imaging of patients with AMD and highlight new approaches likely to appear in clinical settings in the near future.
Topographic Imaging
Color Fundus Photography
The introduction of the ophthalmoscope by von Helmholtz in 1851 allowed physicians to visualize the ocular fundus for the first time in living human subjects [9]. Around this period, significant advances were also made in the nascent field of photography and, by the end of the nineteenth century, the first fundus photographic images had been obtained [10]. It was not until the 1950s, however, with the advent of electronic flashes and 35-mm cameras, that the field of modern fundus photography truly emerged [11••]. Since this time, fundus cameras have undergone substantial refinements, including optimization for nonmydriatic and stereoscopic image acquisition, and transition from analog to digital image capture [12]. Efforts are also underway, driven in large part by the widespread adoption of smartphone photography [13], to make fundus cameras more portable and easy to use. At present, retinal cameras are typically described by their optical field of view, with an angle of 30° or 35° most commonly used (creating images with a magnification of 2.5 and 2.45 respectively) [12]. In clinical practice, commonly used fundus cameras include the Topcon TRC-50DX (Topcon, Japan) and the Zeiss FF450plus. In patients with AMD, color fundus photography remains a crucial component of clinical trials and epidemiological studies, with the Age-Related Eye Disease Study 2 (AREDS 2) a leading recent example [14].
Scanning Laser Ophthalmoscopy
Fundus photography is dependent on the use of a bright ring of white light to illuminate the ocular fundus. The light reflected from the fundus is then projected onto the pixel array of a charge-coupled device (CCD), and all the pixels of the image are created in the same instant [10]. In the 1980s, the introduction of SLO devices provided an alternative method for the acquisition of fundus images [15]. SLO devices employ a single point of laser light, at a specific wavelength, which is scanned across the retina in a raster pattern (i.e., a series of parallel horizontal lines). As a result, images are created one pixel at a time. As only a small area of the fundus is illuminated at any one time, the effects of light scatter are reduced; thus, SLO devices are capable of producing fundus images with higher contrast than standard fundus cameras (fundus cameras typically have higher temporal and spatial resolution) [11••]. In clinical practice, commonly used SLO instruments include the Heidelberg Retina Angiograph-2 (HRA-2) (Heidelberg Engineering, Germany) and the Nidek F-10 (Nidek, Japan).
SLO systems also employ a confocal aperture, so that only light returning from a specific plane of interest is used to reconstruct the fundus image [11••]. This feature allows acquisition of multiple images at different focal planes (i.e., the device can create a “stack” of images from different levels of the retina and choroid). Three-dimensional reconstruction of these images then allows tomographic (cross-sectional) visualization of the ocular fundus. Although the axial resolution of this method is inferior to that of OCT (see below), this method has proven useful for assessment of the optic nerve head in patients with glaucoma. In clinical practice, commonly used devices include the Heidelberg retina tomograph (HRT) (Heidelberg Engineering, Germany) [16].
A more recent, novel, modification of SLO systems is the introduction of “retro-mode” imaging [17]. In this technique, the confocal aperture of the SLO is decentered to one side. As a result, light directly reflected from a lesion of interest is blocked from the image. Instead, only laterally reflected light from one side of the lesion contributes to image formation. For example, if a single druse is focused on, light laterally reflected from one side of the druse will be seen. The other side of the druse, whose reflected light is not captured, appears as a dark “shadow”, producing a pseudo-three dimensional image effect. Use of retro-mode SLO imaging may enhance the visualization of drusen and retinal pigment epithelium (RPE) abnormalities in patients with AMD; however, in the age of OCT, its exact clinical role remains unclear [17, 18].
Monochromatic Imaging
Near-infrared reflectance image (left) and blue light fundus autofluorescent image (right) demonstrating drusen and geographic atrophy in a patient with dry age-related macular degeneration (AMD)
SLO-based fundus imaging is particularly well suited to monochromatic image acquisition, as it typically employs laser light sources at a number of fixed wavelengths. For example, confocal blue light reflectance (CBR) has also been used in the evaluation of patients with idiopathic macular telangiectasia (MacTel) and in the non-invasive assessment of eyes with retinal capillary non-perfusion [19, 20]. The HRA-2 system now incorporates a “multi-color” mode, where separate fundal images are obtained with blue, green, and near-infrared filters, and which can then be examined individually or in combination. Similarly, the Optos P200 widefield imaging system (Optos plc., Scotland) uses an SLO to acquire fundus images at two distinct light wavelengths, which are then combined in a single composite pseudo-color image. The clinical utility of “multi-color” imaging in AMD remains unclear, but may be of particular use in aiding visualization of certain forms of drusen (e.g., reticular pseudodrusen), and for aiding visualization of geographic atrophy and choroidal disease.
Fundus Angiography
In 1961, Novotny and Alvis reported the first demonstration of fluorescein angiography (FA). They modified a standard fundus camera with monochromatic light filters and then obtained a series a fundus images following intravenous administration of a fluorescent contrast agent (sodium fluorescein) [3]. This technique allowed greatly enhanced visualization of the retinal vasculature as well as assessment of its structural integrity. SLO systems are also well suited to angiographic imaging. Planimetric measurements can easily be obtained from FA image sets [21]. In patients with AMD, this has proven particularly useful in clinical trials of new therapeutics, where measurements of CNV leakage area and lesion size can easily be obtained [22]. In more recent years, efforts have also been made to obtain direct measurements of fluorescein leakage. Examples of this approach include “topographic angiography” (TAG) and the “retinal leakage analyzer” (RLA) [23, 24]. In both cases, a confocal SLO is used to obtain a stack of 32 images at different focal planes between the vitreous and the choroid. The images are then aligned and fluorescence intensity profiles generated.
Indocyanine green (ICG) is a fluorescent dye with peak excitation and emission spectra in near-infrared wavelengths [25]. As long-wavelength monochromatic light has enhanced depth penetration (see above), ICG angiography is particularly well suited to visualization of the choroidal vasculature and of structures otherwise obscured by retinal hemorrhage. Relative to sodium fluorescein, a greater percentage of ICG is bound to albumin and other serum proteins; this characteristic further aids choroidal vascular mapping (the escape of unbound sodium fluorescein from the fenestrated capillaries of the choriocapillaris—“choroidal flush”—quickly obscures the underlying vessels in conventional angiography). In patients with AMD, ICG angiography is most commonly used for the detection of polypoidal choroidal vasculopathy (PCV), but is also useful in identifying retinal angiomatous proliferation (RAP) and for uncovering CNV in eyes where the lesion is obscured by a serous pigment epithelial detachment or substantial amounts of submacular hemorrhage [26].
Fundus Autofluorescence
Following the widespread adoption of FA, it became apparent that certain areas of the fundus could be seen to fluoresce even prior to the injection of contrast. This phenomenon, termed “pseudofluorescence”, was initially considered to be an artifact, and ascribed to overlap in the transmission wavelengths of the monochromatic light filters that were used [27]. However, it soon became clear that many parts of the fundus exhibit fluorescent properties when excited by specific wavelengths of light—so-called “fundus autofluorescence” (FAF) [28••].
Evaluation of FAF phenomena was initially challenging, due in large part to the low intensity of the autofluorescent signal, but also due to fluorescence originating from the crystalline lens [28••]. In the early 1990s, Delori et al. used a spectrophotometer to measure the excitation and emission spectra of FAF over small areas of the retina (2°) [29, 30]. This important work demonstrated that the dominant source of FAF was lipofuscin, a byproduct of photoreceptor outer-segment processing that accumulates in RPE cells [31]. Subsequent use of SLO technology allowed FAF imaging over larger retinal areas, with the use of a confocal aperture greatly reducing autofluorescence emanating from sources anterior to the retina [32]. In current clinical practice, the SLO device most commonly used for FAF imaging is the HRA-2, “Bluepeak” autofluorescence system (Heidelberg Engineering), with an excitation wavelength of 488 nm [33].
FAF imaging can also be performed using standard fundus cameras. In the absence of confocal optics, however, the detected fluorescence derives from all tissue levels in the light beam with fluorescent properties, a source of significant noise. This shortcoming is particularly evident when blue-light is used, as the lens contributes significantly to the signal (especially in older subjects with significant nuclear sclerosis of the lens). To address this, Spaide developed longer wavelength filters (excitation: 535–580 nm) for use with a standard fundus camera (Spaide Autofluorescence Filters, Topcon) [28•, 34]. The images generated in this manner differ subtly from those obtained with blue-light. For example, with blue-light FAF, the fovea appears hypoautofluorescent due to the blocking effect of macular pigment—with the longer wavelengths used in green-light FAF, this effect is less pronounced. This finding has been utilized in so-called “dual-wavelength” autofluorescence, where comparison of FAF images at 488 nm and at longer wavelengths is used to assess macular pigment optical density (MPOD) [35, 36]. FAF imaging is thus clearly dependent on the wavelength of light used—for example, when near-infrared light (787 nm) is used for excitation, melanin replaces lipofuscin as the dominant fluorophore [37]. In recent years, such “near-infrared” autofluorescence has been used to investigate patients with inherited retinal degenerations and toxic retinopathies, although its role in AMD, if any, remains unclear [38, 39].
In general, blue- and green-light FAF imaging has proven valuable for assessment of patients with AMD, in particular those patients with geographic atrophy [34, 40, 41]. In such patients, areas of atrophy appear hypoautofluorescent due to the confluent loss of RPE cells (and thus loss of the fluorescent signal generated from their lipofuscin granules). The boundaries of these atrophic areas are often more clearly visualized on FAF imaging than on conventional fundus photography (Fig. 2) [42]. A number of studies have also suggested that the autofluorescent patterns seen in the areas surrounding foci of geographic atrophy can be predictive of the rate of disease progression [40, 43].
Ultrawidefield Imaging
Conventional fundus imaging, whether it be with a fundus camera or an SLO, typically utilizes a 30° or 35° field of view. While such an approach allows optimal visualization of the posterior pole (i.e., the area of the retina encompassing the optic disc and macula), much of the peripheral retina is not captured. Techniques such as seven-field image acquisition have previously been developed to address this shortcoming [10]. However, even in optimal circumstances, this does not allow for complete coverage of the retina and is often technically challenging. Fundus contact lens have also been employed to afford wider fields of view (e.g., the Staurenghi lens), however, the need to apply the lens directly to the eye is a limiting factor in the widespread utilization of such approaches [44, 45]. Other contact widefield imaging devices include RetCam (Clarity Medical Systems, United States) and Panoret-1000 (Medibell Medical Vision Technologies, Israel) [46].
Significant advances have been made in recent years with the release non-contact ultrawidefield imaging systems such as the Optos 200 Tx system (Optos plc., Scotland) [47, 48, 49]. This system uses an SLO with two wavelengths of laser light [green (532 nm) and red (633 nm)] to recreate a composite color image of the posterior segment. Through the use of a large ellipsoid mirror, images with a 200° field of view can be obtained through an undilated pupil. In this manner, approximately 80 % of the total retinal surface area can be visualized. By reducing the field of view to 100° (ResMax mode), a 10–15 % increase in resolution is achieved (but only covering 25 % of the retinal area—a nonlinear reduction due to the nature of the image acquisition). A noncontact widefield (100°) imaging system has also been introduced recently by Heidelberg Engineering.
As with standard fundus cameras and other SLO systems, the Optos Ultrawidefield system can be modified to provide additional information. For example, the use of filters allows ultrawidefield autofluorescence and angiographic imaging [48, 50]. Ultrawidefield autofluorescence imaging may be of particular use for detection of degenerative changes of the peripheral retina in patients with AMD [51]. Such an approach may lead to improved phenotyping of the condition, a particularly important process as more is learnt about the disparate nature of the disease and its underlying genetic risk factors.
Adaptive Optics
The transverse optical resolution of fundus cameras and SLO devices is limited by the presence of defects, or aberrations, in the optical system of the eye (i.e., the cornea and lens) [52••]. Until the early 1990s, there existed no effective way to compensate for these defects. However, wavefront sensors originally developed for astronomical purposes have now been adapted for use in the eye, allowing real-time measurement of ocular aberrations. Once measured, the detected aberrations can be corrected (i.e., rendered flat) using deformable mirrors (mirrors with large numbers of small electronically controlled actuators on their rear surface that can push and pull the mirror within a range of ±2 μm, allowing it to adopt any desired configuration). By incorporating wavefront sensing and correction into existing optical imaging platforms—“adaptive optics”—it is now possible to acquire images of the retina with cellular-level resolution, and in a noninvasive fashion.
Adaptive optics has been incorporated into both fundus cameras and confocal SLO systems [53, 54]. Adaptive optics “flood-illuminated” fundus cameras are now commercially available and approved for use in clinical settings (e.g., “rtx1 Adaptive Optics Retinal Camera”, Imagine Eyes, France). While these devices offer greatly improved transverse resolution, their field of view is still limited (e.g., 4° × 4°). In contrast to flood-illuminated adaptive optics fundus cameras, adaptive optics SLOs use the same source of light for the wavefront sensor as for the retinal illumination—as a result, the wavefront sensor is able to measure aberrations from the entire scanned area of the retina. When imaging the retina, SLO devices provide a transverse resolution of approximately 15 μm, but are limited to an axial resolution of approximately 300 μm. With the addition of adaptive optics correction to an SLO, the transverse resolution may be increased to less than 3 μm, while the axial resolution may be improved to 40 μm.
Cone photoreceptors are the dominant feature seen with both flood-illuminated and SLO devices [52••]. Rods are smaller and less easily seen; however, recent advances, including the use of smaller confocal pinholes and improvements in registration algorithms, now allow clear images of single rods to be obtained in the living human eye (as well as aiding visualization of the smallest cones at the foveal center) [55]. Direct in vivo visualization of single RPE cells remains challenging. Unlike cone photoreceptors, the intrinsic contrast of RPE cells is poor. In addition, much of the light scattered by the RPE is masked by the overlying photoreceptors, which are also highly scattering. To date, direct imaging of the RPE has only been possible in human subjects with retinal disease where absence of cone photoreceptors has allowed visualization of the underlying RPE [56]. With its ability to provide direct visualization of individual photoreceptors, adaptive optics has already proven useful in the study of inherited retinal degenerations [57]. With advances in its field of view, and ease of use, it is likely to prove valuable in future study of geographic atrophy and drusen progression in patients with AMD.
Tomographic Imaging
Optical Coherence Tomography—Basic Principles
OCT is a cross-sectional (tomographic) ocular imaging method, analogous to ultrasonography, but which measures reflected light waves rather than sound waves [58••]. These measurements are achieved indirectly using low-coherence tomography, an approach first described by Huang et al. [59]. In this technique, the combination of light reflected from a tissue of interest, and light reflected from a reference path, produces characteristic patterns of light interference dependent on the mismatch between the reflected waves. Since the time delay and amplitude of one of the waves (i.e., the reference path) is known, the time delay and intensity of light returning from the sample tissue may then be extracted from the interference pattern. As the wavelength of light is so much shorter than that of sound, OCT imaging generates image sets with considerably superior resolution to those of ultrasonography (e.g., axial resolutions of 3–8 μm in commercially available systems). OCT has been widely adopted for the management of vitreoretinal disorders, and nowhere more so than for the evaluation of AMD, a change driven in large part by the need for frequent anti-angiogenic therapy in patients with neovascular AMD [60••].
Spectral Domain OCT—Raster Scanning
In the original OCT systems, the interference patterns generated were varied as a function of time using a moving mirror in the reference pathway; such devices were commonly referred to as “time domain” OCT. In more recent OCT devices, the interference patterns generated are measured as a function of frequency, using a spectrometer [58••, 61]. These “spectral domain” OCT devices remove the need for a moving reference mirror and thus facilitate greatly enhanced image acquisition speed. For example, time domain OCT systems (e.g., Stratus OCT, Carl Zeiss Meditec, Germany) acquire images at 400 A-scans per second, while spectral domain OCT systems (e.g., 3D OCT, Topcon; Cirrus HD-OCT, Carl Zeiss Meditec; Spectralis OCT, Heidelberg Engineering) typically acquire images at speeds in excess of 20,000 A-scans per second. As a result, greater sampling of the macula is possible for any given image set (e.g., 128 line scans in a horizontal raster pattern), and areas of focal pathology are less likely to be missed. In patients with neovascular AMD, this feature is of crucial importance, as small pockets of intra- or subretinal fluid may be an early sign of disease activity and trigger the need for retreatment with anti-angiogenic injections [62].
Spectral Domain OCT—OCT Fundus Images
“OCT fundus image” superimposed on color fundus photography of a right eye. These images are generated from dense raster scan image sets by summing the intensity of pixels for each individual A-scan and allow visualization of the retinal vasculature which is spatially consistent with that seen on color photography
Spectral Domain OCT—RPE Elevation Mapping
Optical coherence tomography (OCT) B-scan (3D OCT-2000, Topcon, Japan) obtained from a patient with large numbers of drusen. Automated segmentation of the retinal pigment epithelium (RPE) facilitates quantitative analyses of drusen and pigment epithelium detachment (PED)
Detailed quantitative analyses of drusen obtaining using optical coherence tomography (OCT) in a patient with dry age-related macular degeneration (AMD) (3D OCT-2000, Topcon, Japan)
Spectral Domain OCT—Choroidal Scanning Protocols
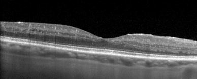
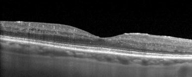
Enhanced depth imaging (EDI) scanning protocols allow non-invasive visualization of the choroid using optical coherence tomography (OCT) (Spectralis, Heidelberg Engineering)
Swept Source/Long Wavelength OCT
As described above, spectral domain OCT devices analyze interference patterns as a function of frequency through the use of a spectrometer (light waves entering the spectrometer are first dispersed using a diffraction grating and then analyzed using a charge-coupled device (CCD) camera) [58••]. An alternative approach to the assessment of interference patterns in this way is through the use of a frequency-swept (“tunable”) laser light source—so-called “swept source” OCT [75]. The next generation of commercial OCT systems is likely to employ such technologies, with early examples including the DRI OCT-1, Topcon, for retinal imaging and the CASIA, OCT SS-1000, Tomey, for anterior segment imaging. Swept source OCT offers the potential for further increases in image acquisition speed (100,000 A-scans per second for DRI OCT-1, but much higher for research prototype devices). These increases may facilitate scanning of larger areas (e.g., 12 × 8 mm for DRI-OCT, Topcon, versus 6 × 6 mm for 3D OCT, Topcon), and even three-dimensional reconstruction of the entire posterior pole [76, 77].
Swept-source OCT systems are also well suited to the incorporation of “long-wavelength” OCT light sources [78]. To date, commercial OCT instruments have tended to use light sources in the range of 800–900 nm. Although imaging with these light sources provides excellent visualization of the retinal architecture, details of sub-RPE structures and abnormalities are often limited. Acquisition of OCT images with longer wavelength light, in the 1,000 nm range, increases light penetration for visualization of deeper structures. In patients with AMD, long-wavelength OCT may be of particular use for improved visualization of CNV lesions, including detailed characterization of fibrovascular and/or serous PED. Use of long-wavelength OCT for sub-RPE visualization may also aid phenotyping of drusen and choroidal morphologic disturbances in patients with dry AMD.
Conclusions and Future Directions
With rapid advances in both diagnosis and treatment, it is an exciting time for those involved in the care of patients with AMD. Advances in anti-angiogenic therapies for neovascular AMD have been accompanied by rapid evolution of OCT imaging. In the near future, this progress is likely to continue, with use of OCT for noninvasive mapping of the retinal and choroidal vasculature (“phase contrast” OCT or “optical coherence angiography”) and for quantification of retinal and choroidal blood flow (“Doppler OCT”) [79, 80]. Developments in non-neovascular AMD are similarly occurring in tandem with imaging advances. While no definitive treatment yet exists for patients with geographic atrophy, many promising pharmacotherapies are currently in early phase clinical trials [81]. The success of any such approaches is likely to require continued improvement in our imaging capabilities, particularly in the area of adaptive optics, to allow for robust cellular-level assessments, but also with regard to better integration of structural and psychophysical parameters. Although many technical hurdles remain, it is likely that advances in AMD imaging will continue at an exponential rate in the coming years.
Notes
Disclosure
P.A. Keane and D.A. Sim have received a proportion of their funding from the National Institute for Health Research (NIHR) Biomedical Research Centre based at Moorfields Eye Hospital NHS Foundation Trust and UCL Institute of Ophthalmology. The views expressed are those of the author(s) and not necessarily those of the NHS, the NIHR or the Department of Health; S.R. Sadda is a co-inventor of Doheny intellectual property related to optical coherence tomography that has been licensed by Topcon Medical Systems, and is a member of the scientific advisory board for Heidelberg Engineering. Dr. Sadda also receives research support from Carl Zeiss Meditec, Optos, and Optovue, Inc. He also served as a consultant for Genentech, Inc., Regeneron, and Allergan, Inc.
References
Papers of particular interest, published recently, have been highlighted as: •• Of major importance
- 1.Bressler NM. Age-related macular degeneration is the leading cause of blindness. JAMA. 2004;291(15):1900–1.PubMedCrossRefGoogle Scholar
- 2.Keane PA, Sadda SR. Imaging chorioretinal vascular disease. Eye (Lond). 2010;24(3):422–7.CrossRefGoogle Scholar
- 3.Novotny HR, Alvis DL. A method of photographing fluorescence in circulating blood in the human retina. Circulation. 1961;24:82–6.PubMedCrossRefGoogle Scholar
- 4.Gass JD. Pathogenesis of disciform detachment of the neuroepithelium. Am J Ophthalmol 1967;63(3):Suppl:1–139.Google Scholar
- 5.Gass JD. Photocoagulation of macular lesions. Trans Am Acad Ophthalmol Otolaryngol. 1971;75(3):580–608.PubMedGoogle Scholar
- 6.Laser photocoagulation of subfoveal neovascular lesions of age-related macular degeneration. Updated findings from two clinical trials. Macular Photocoagulation Study Group. Arch Ophthalmol. 1993;111(9):1200–9.CrossRefGoogle Scholar
- 7.Connell PP, Keane PA, O’Neill EC, et al. Risk factors for age-related maculopathy. J Ophthalmol. 2009;2009:360764.PubMedGoogle Scholar
- 8.•• Jager RD, Mieler WF, Miller JW. Age-related macular degeneration. N Engl J Med. 2008;358(24):2606–17. This paper provides an excellent introduction to the AMD, with well written descriptions of disease course, classification and current management. Google Scholar
- 9.von Helmholtz H. Beschreibung eines Augenspiegels zur Untersuchung der Netzhaut in lebenden Auge. Berlin: Germany; 1851.Google Scholar
- 10.Bennett TJ, Barry CJ. Ophthalmic imaging today: an ophthalmic photographer’s viewpoint—a review. Clin Exp Ophthalmol. 2009;37(1):2–13.CrossRefGoogle Scholar
- 11.•• Yannuzzi LA, Ober MD, Slakter JS, et al. Ophthalmic fundus imaging: today and beyond. Am J Ophthalmol 2004;137(3):511–24. This article provides an excellent review of developments in ocular imaging, particularly with regard to areas of imaging other than OCT. It’s particular strength is the historical context within which the authors place each new imaging technique. Google Scholar
- 12.Bernardes R, Serranho P, Lobo C. Digital ocular fundus imaging: a review. Ophthalmologica. 2011;226(4):161–81.PubMedCrossRefGoogle Scholar
- 13.Bastawrous A. Smartphone fundoscopy. Ophthalmology 2012;119(2):432–3 e2; author reply 3.Google Scholar
- 14.Chew EY, Clemons T, Sangiovanni JP, et al. The Age-related Eye Disease Study 2 (AREDS 2): Study Design and Baseline Characteristics (AREDS 2 Report Number 1). Ophthalmology. 2012;119(11):2282–9.PubMedCrossRefGoogle Scholar
- 15.Webb RH, Hughes GW, Pomerantzeff O. Flying spot TV ophthalmoscope. Appl Opt. 1980;19(17):2991–7.PubMedCrossRefGoogle Scholar
- 16.Strouthidis NG, Garway-Heath DF. New developments in Heidelberg retina tomograph for glaucoma. Curr Opin Ophthalmol. 2008;19(2):141–8.PubMedCrossRefGoogle Scholar
- 17.Yamamoto M, Mizukami S, Tsujikawa A, et al. Visualization of cystoid macular oedema using a scanning laser ophthalmoscope in the retro-mode. Clin Exp Ophthalmol. 2010;38(1):27–36.CrossRefGoogle Scholar
- 18.Pilotto E, Sportiello P, Alemany-Rubio E, et al. Confocal scanning laser ophthalmoscope in the retromode imaging modality in exudative age-related macular degeneration. Graefes Arch Clin Exp Ophthalmol. 2013;251(1):27–34.Google Scholar
- 19.Shin YU, Lee BR, Kim S, Lee WJ. A novel noninvasive detection method for retinal nonperfusion using confocal red-free imaging. Ophthalmology. 2012;119(7):1447–54.PubMedCrossRefGoogle Scholar
- 20.Charbel Issa P, Berendschot TT, Staurenghi G, et al. Confocal blue reflectance imaging in type 2 idiopathic macular telangiectasia. Invest Ophthalmol Vis Sci. 2008;49(3):1172–7.PubMedCrossRefGoogle Scholar
- 21.Sadda SR, Liakopoulos S, Keane PA, et al. Relationship between angiographic and optical coherence tomographic (OCT) parameters for quantifying choroidal neovascular lesions. Graefes Arch Clin Exp Ophthalmol. 2010;248(2):175–84.PubMedCrossRefGoogle Scholar
- 22.Barbazetto I, Burdan A, Bressler NM, et al. Photodynamic therapy of subfoveal choroidal neovascularization with verteporfin: fluorescein angiographic guidelines for evaluation and treatment–TAP and VIP report No. 2. Arch Ophthalmol. 2003;121(9):1253–68.PubMedCrossRefGoogle Scholar
- 23.Schmidt-Erfurth U, Teschner S, Noack J, Birngruber R. Three-dimensional topographic angiography in chorioretinal vascular disease. Invest Ophthalmol Vis Sci. 2001;42(10):2386–94.PubMedGoogle Scholar
- 24.Bernardes R, Santos T, Serranho P, et al. Noninvasive evaluation of retinal leakage using optical coherence tomography. Ophthalmologica. 2011;226(2):29–36.PubMedCrossRefGoogle Scholar
- 25.Desmettre T, Devoisselle JM, Mordon S. Fluorescence properties and metabolic features of indocyanine green (ICG) as related to angiography. Surv Ophthalmol. 2000;45(1):15–27.PubMedCrossRefGoogle Scholar
- 26.Stanga PE, Lim JI, Hamilton P. Indocyanine green angiography in chorioretinal diseases: indications and interpretation: an evidence-based update. Ophthalmology 2003;110(1):15–21; quiz 2-3.Google Scholar
- 27.Machemer R, Norton EW, Gass JD, Choromokos E. Pseudofluorescence—a problem in interpretation of fluorescein angiograms. Am J Ophthalmol. 1970;70(1):1–10.PubMedGoogle Scholar
- 28.•• Schmitz-Valckenberg S, Holz FG, Bird AC, Spaide RF. Fundus autofluorescence imaging: review and perspectives. Retina 2008;28(3):385–409. This review, written by leading experts in the field, provides everything you could ever wish to know with regard to fundus autofluorescence imaging. It is particularly strong in describing the evolution of this modality, and in the interpretation of FAF images. Google Scholar
- 29.Delori FC. Spectrophotometer for noninvasive measurement of intrinsic fluorescence and reflectance of the ocular fundus. Appl Opt. 1994;33(31):7439–52.PubMedCrossRefGoogle Scholar
- 30.Delori FC, Dorey CK, Staurenghi G, et al. In vivo fluorescence of the ocular fundus exhibits retinal pigment epithelium lipofuscin characteristics. Invest Ophthalmol Vis Sci. 1995;36(3):718–29.PubMedGoogle Scholar
- 31.Weiter JJ, Delori FC, Wing GL, Fitch KA. Retinal pigment epithelial lipofuscin and melanin and choroidal melanin in human eyes. Invest Ophthalmol Vis Sci. 1986;27(2):145–52.PubMedGoogle Scholar
- 32.von Ruckmann A, Fitzke FW, Bird AC. Distribution of fundus autofluorescence with a scanning laser ophthalmoscope. Br J Ophthalmol. 1995;79(5):407–12.CrossRefGoogle Scholar
- 33.Hassenstein A, Meyer CH. Clinical use and research applications of Heidelberg retinal angiography and spectral-domain optical coherence tomography—a review. Clin Exp Ophthalmol. 2009;37(1):130–43.CrossRefGoogle Scholar
- 34.Spaide RF. Fundus autofluorescence and age-related macular degeneration. Ophthalmology. 2003;110(2):392–9.PubMedCrossRefGoogle Scholar
- 35.Sharifzadeh M, Bernstein PS, Gellermann W. Nonmydriatic fluorescence-based quantitative imaging of human macular pigment distributions. J Opt Soc Am A Opt Image Sci Vis. 2006;23(10):2373–87.PubMedCrossRefGoogle Scholar
- 36.Degli Esposti S, Egan C, Bunce C, et al. Macular pigment parameters in patients with macular telangiectasia (MacTel) and normal subjects: implications of a novel analysis. Invest Ophthalmol Vis Sci. 2012;53(10):6568–75.PubMedCrossRefGoogle Scholar
- 37.Keilhauer CN, Delori FC. Near-infrared autofluorescence imaging of the fundus: visualization of ocular melanin. Invest Ophthalmol Vis Sci. 2006;47(8):3556–64.PubMedCrossRefGoogle Scholar
- 38.Kellner S, Kellner U, Weber BH, et al. Lipofuscin- and melanin-related fundus autofluorescence in patients with ABCA4-associated retinal dystrophies. Am J Ophthalmol 2009;147(5):895–902, e1.Google Scholar
- 39.Kellner S, Weinitz S, Kellner U. Spectral domain optical coherence tomography detects early stages of chloroquine retinopathy similar to multifocal electroretinography, fundus autofluorescence and near-infrared autofluorescence. Br J Ophthalmol. 2009;93(11):1444–7.PubMedCrossRefGoogle Scholar
- 40.Schmitz-Valckenberg S, Fleckenstein M, Scholl HP, Holz FG. Fundus autofluorescence and progression of age-related macular degeneration. Surv Ophthalmol. 2009;54(1):96–117.PubMedCrossRefGoogle Scholar
- 41.Bearelly S, Cousins SW. Fundus autofluorescence imaging in age-related macular degeneration and geographic atrophy. Adv Exp Med Biol. 2010;664:395–402.PubMedCrossRefGoogle Scholar
- 42.Delori FC, Fleckner MR, Goger DG, et al. Autofluorescence distribution associated with drusen in age-related macular degeneration. Invest Ophthalmol Vis Sci. 2000;41(2):496–504.PubMedGoogle Scholar
- 43.Holz FG, Bindewald-Wittich A, Fleckenstein M, et al. Progression of geographic atrophy and impact of fundus autofluorescence patterns in age-related macular degeneration. Am J Ophthalmol. 2007;143(3):463–72.PubMedCrossRefGoogle Scholar
- 44.Staurenghi G, Viola F, Mainster MA, et al. Scanning laser ophthalmoscopy and angiography with a wide-field contact lens system. Arch Ophthalmol. 2005;123(2):244–52.PubMedCrossRefGoogle Scholar
- 45.Reeves GM, Kumar N, Beare NA, Pearce IA. Use of Staurenghi lens angiography in the management of posterior uveitis. Acta Ophthalmol. 2013;91(1):48–51.PubMedCrossRefGoogle Scholar
- 46.Shields CL, Materin M, Shields JA. Panoramic imaging of the ocular fundus. Arch Ophthalmol. 2003;121(11):1603–7.PubMedCrossRefGoogle Scholar
- 47.Wessel MM, Aaker GD, Parlitsis G, et al. Ultra-wide-field angiography improves the detection and classification of diabetic retinopathy. Retina. 2012;32(4):785–91.PubMedCrossRefGoogle Scholar
- 48.Wessel MM, Nair N, Aaker GD, et al. Peripheral retinal ischaemia, as evaluated by ultra-widefield fluorescein angiography, is associated with diabetic macular oedema. Br J Ophthalmol. 2012;96(5):694–8.PubMedCrossRefGoogle Scholar
- 49.Silva PS, Cavallerano JD, Sun JK, et al. Nonmydriatic Ultra-wide-field retinal imaging compared with dilated standard 7-field 35-mm photography and retinal specialist examination for evaluation of diabetic retinopathy. Am J Ophthalmol. 2012;154(3):549–59 e2.Google Scholar
- 50.Witmer MT, Cho M, Favarone G, et al. Ultra-wide-field autofluorescence imaging in non-traumatic rhegmatogenous retinal detachment. Eye (Lond). 2012;26(9):1209–16.CrossRefGoogle Scholar
- 51.Heussen FM, Tan CS, Sadda SR. Prevalence of peripheral abnormalities on ultra-widefield greenlight (532 nm) autofluorescence imaging at a tertiary care center. Invest Ophthalmol Vis Sci. 2012;53(10):6526–31.PubMedCrossRefGoogle Scholar
- 52.•• Williams DR. Imaging single cells in the living retina. Vis Res 2011;51(13):1379–96. The single best article on the emerging field of adaptive optics—well written, informative, and enjoyable to read. Google Scholar
- 53.Kitaguchi Y, Fujikado T, Bessho K, et al. Adaptive optics fundus camera to examine localized changes in the photoreceptor layer of the fovea. Ophthalmology. 2008;115(10):1771–7.PubMedCrossRefGoogle Scholar
- 54.Chen DC, Jones SM, Silva DA, Olivier SS. High-resolution adaptive optics scanning laser ophthalmoscope with dual deformable mirrors. J Opt Soc Am A Opt Image Sci Vis. 2007;24(5):1305–12.PubMedCrossRefGoogle Scholar
- 55.Doble N, Choi SS, Codona JL, et al. In vivo imaging of the human rod photoreceptor mosaic. Opt Lett. 2011;36(1):31–3.PubMedCrossRefGoogle Scholar
- 56.Roorda A, Zhang Y, Duncan JL. High-resolution in vivo imaging of the RPE mosaic in eyes with retinal disease. Invest Ophthalmol Vis Sci. 2007;48(5):2297–303.PubMedCrossRefGoogle Scholar
- 57.Talcott KE, Ratnam K, Sundquist SM, et al. Longitudinal study of cone photoreceptors during retinal degeneration and in response to ciliary neurotrophic factor treatment. Invest Ophthalmol Vis Sci. 2011;52(5):2219–26.PubMedCrossRefGoogle Scholar
- 58.•• Drexler W, Fujimoto JG. State-of-the-art retinal optical coherence tomography. Prog Retinal Eye Res. 2008;27(1):45–88. A comprehensive look at every aspect of ophthalmic OCT imaging, with an emphasis on the underlying technologies. Google Scholar
- 59.Huang D, Swanson EA, Lin CP, et al. Optical coherence tomography. Science. 1991;254(5035):1178–81.PubMedCrossRefGoogle Scholar
- 60.•• Keane PA, Patel PJ, Liakopoulos S, et al. Evaluation of age-related macular degeneration with optical coherence tomography. Surv Ophthalmol. 2012;57(5):389–414. A major review covering every aspect of OCT interpretation for patients with AMD. Google Scholar
- 61.Wojtkowski M, Bajraszewski T, Gorczynska I, et al. Ophthalmic imaging by spectral optical coherence tomography. Am J Ophthalmol. 2004;138(3):412–9.PubMedCrossRefGoogle Scholar
- 62.Keane PA, Bhatti RA, Brubaker JW, et al. Comparison of clinically relevant findings from high-speed fourier-domain and conventional time-domain optical coherence tomography. Am J Ophthalmol. 2009;148(2):242–8 e1.Google Scholar
- 63.Schmidt-Erfurth U, Leitgeb RA, Michels S, et al. Three-dimensional ultrahigh-resolution optical coherence tomography of macular diseases. Invest Ophthalmol Vis Sci. 2005;46(9):3393–402.PubMedCrossRefGoogle Scholar
- 64.Yehoshua Z, Rosenfeld PJ, Gregori G, et al. Progression of geographic atrophy in age-related macular degeneration imaged with spectral domain optical coherence tomography. Ophthalmology. 2011;118(4):679–86.PubMedCrossRefGoogle Scholar
- 65.Lujan BJ, Rosenfeld PJ, Gregori G, et al. Spectral domain optical coherence tomographic imaging of geographic atrophy. Ophthalmic Surg Lasers Imaging Off J Int Soc Imaging Eye. 2009;40(2):96–101.CrossRefGoogle Scholar
- 66.Hee MR, Puliafito CA, Wong C, et al. Quantitative assessment of macular edema with optical coherence tomography. Arch Ophthalmol. 1995;113(8):1019–29.PubMedCrossRefGoogle Scholar
- 67.Hee MR, Puliafito CA, Duker JS, et al. Topography of diabetic macular edema with optical coherence tomography. Ophthalmology. 1998;105(2):360–70.PubMedCrossRefGoogle Scholar
- 68.Gregori G, Wang F, Rosenfeld PJ, et al. Spectral domain optical coherence tomography imaging of drusen in nonexudative age-related macular degeneration. Ophthalmology. 2011;118(7):1373–9.PubMedGoogle Scholar
- 69.Penha FM, Rosenfeld PJ, Gregori G, et al. Quantitative imaging of retinal pigment epithelial detachments using spectral-domain optical coherence tomography. Am J Ophthalmol. 2012;153(3):515–23.PubMedCrossRefGoogle Scholar
- 70.Lee SY, Stetson PF, Ruiz-Garcia H, et al. Automated characterization of pigment epithelial detachment by optical coherence tomography. Invest Ophthalmol Vis Sci. 2012;53(1):164–70.PubMedCrossRefGoogle Scholar
- 71.Spaide RF, Koizumi H, Pozzoni MC. Enhanced depth imaging spectral-domain optical coherence tomography. Am J Ophthalmol. 2008;146(4):496–500.PubMedCrossRefGoogle Scholar
- 72.Manjunath V, Goren J, Fujimoto JG, Duker JS. Analysis of choroidal thickness in age-related macular degeneration using spectral-domain optical coherence tomography. Am J Ophthalmol. 2011;152(4):663–8.PubMedCrossRefGoogle Scholar
- 73.Spaide RF. Enhanced depth imaging optical coherence tomography of retinal pigment epithelial detachment in age-related macular degeneration. Am J Ophthalmol. 2009;147(4):644–52.PubMedCrossRefGoogle Scholar
- 74.Spaide RF. Age-related choroidal atrophy. Am J Ophthalmol. 2009;147(5):801–10.PubMedCrossRefGoogle Scholar
- 75.van Velthoven ME, Faber DJ, Verbraak FD, et al. Recent developments in optical coherence tomography for imaging the retina. Prog Retinal Eye Res. 2007;26(1):57–77.CrossRefGoogle Scholar
- 76.Hirata M, Tsujikawa A, Matsumoto A, et al. Macular choroidal thickness and volume in normal subjects measured by swept-source optical coherence tomography. Invest Ophthalmol Vis Sci. 2011;52(8):4971–8.PubMedCrossRefGoogle Scholar
- 77.Ellabban AA, Tsujikawa A, Matsumoto A, et al. Three-dimensional tomographic features of dome-shaped macula by swept-source optical coherence tomography. Am J Ophthalmol. 2013;155(2):320–328.e2.Google Scholar
- 78.Keane PA, Ruiz-Garcia H, Sadda SR. Clinical applications of long-wavelength (1,000-nm) optical coherence tomography. Ophthalmic Surg Lasers Imaging Off J Int Soc Imaging Eye. 2011;42(Suppl):S67–74.CrossRefGoogle Scholar
- 79.Wang Y, Fawzi AA, Varma R, et al. Pilot study of optical coherence tomography measurement of retinal blood flow in retinal and optic nerve diseases. Invest Ophthalmol Vis Sci. 2011;52(2):840–5.PubMedCrossRefGoogle Scholar
- 80.Motaghiannezam SM, Koos D, Fraser SE. Differential phase-contrast, swept-source optical coherence tomography at 1,060 nm for in vivo human retinal and choroidal vasculature visualization. J Biomed Opt. 2012;17(2):026011.PubMedCrossRefGoogle Scholar
- 81.Zarbin MA, Rosenfeld PJ. Pathway-based therapies for age-related macular degeneration: an integrated survey of emerging treatment alternatives. Retina. 2010;30(9):1350–67.PubMedCrossRefGoogle Scholar





