Acute Dissection of the Descending Aorta: A Case Report and Review of the Literature
- 1.5k Downloads
- 3 Citations
Abstract
Cardiovascular disease is the leading cause of death worldwide. Acute aortic syndromes, which include aortic dissection, intramural hematoma, and penetrating aortic ulcer, represent the most morbid presentations of aortic disease and can be difficult to diagnose. Recent advances in imaging have allowed for more rapid and accurate diagnosis of acute aortic syndromes and the options for management are expanding. This case report and review presents the case of a 43-year-old man with acute type B aortic dissection who underwent two endovascular procedures for malperfusion syndrome. The review focuses on the presentation, diagnosis, medical management, and procedural options for acute dissection of the descending aorta.
Keywords
Aortic dissection Endovascular Hypertension Type B aortic dissectionIntroduction
Cardiovascular disease is the leading cause of death worldwide [1]. Acute aortic syndromes, which include aortic dissection, intramural hematoma, and penetrating aortic ulcer, represent the most morbid presentations of aortic disease and can be difficult to diagnose [2, 3]. Approximately 40% of patients with acute aortic dissection die before reaching the hospital [4] with in-hospital early mortality of 1–2% per hour for those who do survive to hospital-level care [5]. Recent advances in imaging have allowed for more rapid and accurate diagnosis of acute aortic syndromes and the options for management are expanding. This case report and review of the literature will focus on the presentation, diagnosis, medical management, and procedural options for acute dissection of the descending aorta.
The authors conformed with the Helsinki Declaration of 1975, as revised in 2000 concerning Human and Animal Rights. Springer’s policy concerning informed consent has been followed. This article does not contain any studies with human or animal subjects performed by any of the authors.
Case Presentation
A 43-year-old man with a history of cocaine and amphetamine use and no medical contact since childhood presented to an outside hospital with severe, acute-onset, tearing back and flank pain. On initial evaluation his blood pressure was 240/130 mmHg with a heart rate of 100 beats per minute and he was noted to have an altered mental status. Computerized tomography (CT) angiography at the outside hospital demonstrated a descending aortic dissection. He received an intravenous labetalol bolus followed by continuous infusions of esmolol and nitroprusside. He was transferred to our institution for further management.
Initial laboratory results
| Test | Result | Reference range |
|---|---|---|
| Sodium (mmol/L) | 136 | 135–145 |
| Potassium (mmol/L) | 5.9 | 3.5–5.0 |
| Chloride (mmol/L) | 99 | 98–108 |
| Bicarbonate (mmol/L) | 24 | 23–32 |
| Blood urea nitrogen (mg/dL) | 30 | 9–25 |
| Creatinine (mg/dL) | 1.57a | 0.7–1.3 |
| Glucose (mg/dL) | 207 | 54–118 |
| Alanine aminotransferase (U/L) | 80 | 10–50 |
| Aspartate aminotransferase (U/L) | 67 | 10–50 |
| Alkaline phosphatase (U/L) | 69 | 35–130 |
| Total bilirubin (mg/dL) | 0.5 | 0–1 |
| Creatine kinase (units/L) | 149 | 39–308 |
| Creatine kinase-myocardial band (ng/mL) | 6.7 | 0–6.6 |
| Troponin-T (ng/mL) | 0.06 | 0.00 |
| Urine toxicology screen | POSITIVE: Amphetamines, tetrahydrocannabinol, opiates | |
| NEGATIVE: Benzodiazepines, barbiturates, cocaine, methadone, oxycodone | ||
| White blood cells (×1,000/mL) | 20.17 | 4–10 |
| White blood cell differential (%) | 84.2 Polymorphonucleocytes | |
| 5.2 Lymphocytes | ||
| 10.4 Monocytes | ||
| 0.1 Eosinophils | ||
| 0.1 Basophils | ||
| Hematocrit (%) | 46.1 | 40–54 |
| Platelet count (×1,000/mL) | 290 | 150–450 |
| International normalized ratio | 1.0 | |
| Partial thromboplastin time (s) | 28.1 | 23.8–36.6 |
| Urinalysis | Color: clear yellow | |
| Specific gravity: 1.059 | ||
| pH: 6.0 | ||
| 1+ protein | ||
| Urine sediment (number per high power field) | 4 red blood cells | |
| 4 white blood cells | ||
| 0 crystals | ||
| 0 casts | ||
| No bacteria | ||
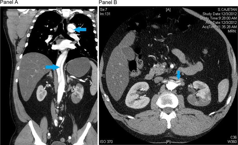
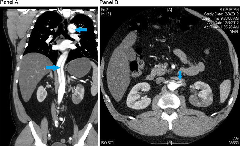
CT angiogram. There is a type B aortic dissection (Panel A, blue arrows) extending from just below the left subclavian artery to the proximal iliac arteries. The left main renal artery arises from the false lumen. A supernumerary left renal artery arises from the true lumen of the aorta and supplies a segment of that kidney (Panel B, blue arrow). The right renal artery is supplied by the true lumen, which is compressed by the false lumen at the site of the right renal artery takeoff
Following multidisciplinary evaluation, consensus was reached that the time for surgical intervention to preserve the left kidney had passed. It was noted that the right kidney appeared to be perfused and the left kidney had a warm ischemic time of approximately 12 h. Given the duration of warm ischemic time and lack of evidence of other limb or visceral malperfusion, surgical intervention was deemed unlikely to be beneficial and intensive medical management was recommended. Medical therapy was selected with careful monitoring of renal function and visceral and extremity perfusion. The infusions of esmolol and nitroprusside were uptitrated and the patient was given hydromorphone and fentanyl for pain. He was intubated for airway protection in the setting of altered mental status and was monitored in the cardiac intensive care unit with goal heart rate <60 beats per minute and goal systolic blood pressure 100–120 mmHg.
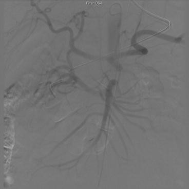
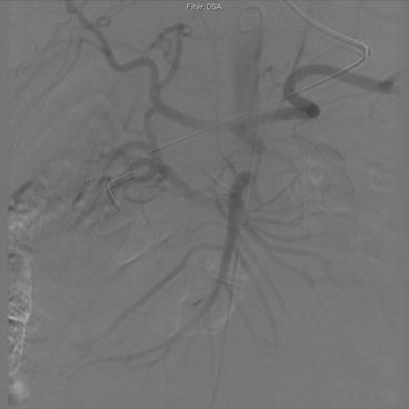
Balloon fenestration of the descending aortic flap. Vascular access was obtained via the right common femoral artery. The right renal artery was first engaged and the pressure was 50 mmHg lower than in the proximal aorta, with a mean pressure gradient of 22 mmHg. The vessel itself was patent on selective right renal artery injection. Intravascular ultrasound (IVUS) of the aortic true lumen showed it to be severely compressed in the suprarenal segment with a dynamic component. Using a 6 F Pioneer® Plus catheter (Medtronic CardioVascular, Santa Rosa, CA) a puncture was made from the true lumen to the false lumen during visualization with IVUS. A coronary wire was advanced into the false lumen all the way to the origin of the left subclavian artery where it stopped. Fenestration with 10 and 14 mm balloons followed (Movie 1). Repeat IVUS of the true lumen showed it to be markedly expanded and a large gap in the flap just below the origin of the renal artery was visualized. IVUS of the right renal artery showed it to be patent. Repeat measurement of pressure in the renal artery showed that the mean gradient had decreased to 16 mmHg. Normal flow was seen in the celiac and mesenteric arteries after fenestration (Panel A)
Endarterectomy and stenting of the descending aortic flap. Vascular access was obtained via the right common femoral artery. Wires were placed in both the true aortic lumen and the false lumen under intravascular ultrasound (IVUS) guidance via the external iliac artery. IVUS of the aorta showed that in the thoracic aorta the true lumen was widely patent and large in caliber. In the sub-diaphragmatic segment at the level of the visceral vessels the true lumen became quite small before enlarging again in the infrarenal aorta (Panel A). An endovascular endarterectomy was performed from T11 to the aortic bifurcation. A 6 F Pioneer® Plus IVUS reentry catheter (Medtronic CardioVascular, Santa Rosa, CA) was used to create a path from the true lumen to the false lumen at T11 (Movie 1). This wire spanning both lumens was snared in the false lumen using a catheter advanced from the right common femoral artery. Both ends of a 0.025″ Terumo® guide wire (Terumo Europe N.V., Leuven, Belgium) were externalized and pulled together to the iliac bifurcation to perform the endarterectomy (Movie 2). IVUS of the aorta showed that the infra-diaphragmatic aorta now comprised a single lumen. The right renal artery and mesenteric vessels filled briskly but the aorta was occluded at the just below the inferior mesenteric artery as a result of functional endarterectomy of the infra-diaphragmatic aorta. Two 8 × 57 mm VisiPro™ balloon-expandable peripheral stents (Covidien, Dublin, Ireland) were deployed in a kissing fashion, extending from the infrarenal aorta into the right and left common iliac arteries. They were postdilated with 10 and 12 mm balloons. Further overlapping stenting was required to maintain adequate distal flow. Femoral and pedal pulses were bounding post-procedure
Follow-up CT scan. CT scan obtained three and a half months after discharge demonstrated a Stanford type B aortic dissection with the intimal flap originating just distal to the origin of the left subclavian artery and extending to the descending portion of the thoracic aorta (Panel A, 3D reconstruction, blue arrow). There was no involvement of the great vessels. A marked perfusion defect in the upper pole of the left kidney with associated interval atrophy of the left upper pole was seen (Panel B, blue arrow). Unchanged aneurysmal dilatation of the proximal abdominal aorta, measuring 3.3 × 3.3 cm, was present
Pathophysiology and Classification
Aortic dissection is a disease of the media layer of the vessel. Bleeding into and along the media causes a separation of the layers of the aorta [4]. An intimal tear is typically present with a dissection flap separating the true lumen of the aorta from the newly created false lumen [6]; however, intramural hemorrhage may be present without intimal tear [4]. Spread of the dissection may proceed in an antegrade or retrograde direction, or both, and has the potential to involve branch vessels as well as cardiac structures.
Degeneration of the aortic media has long been considered the central underlying process in aortic dissection, intramural hematoma, and aneurysm formation [3, 7, 8]. Numerous factors lead to medial degeneration, including atherosclerosis, hypertension, tobacco use, genetic syndromes, and inflammatory aortopathies, with the end result of increased wall stress as indicated by the law of La Place. This relationship, written as σ = P × r/h, where σ is wall stress, P is luminal pressure, r is vessel radius, and h is wall thickness [9], demonstrates how hypertension, aortic dilatation, and decreased wall thickness all contribute to increased levels of stress. The law of La Place additionally shows the particularly detrimental effect of atherosclerosis, which causes medial necrosis and thinning by limiting the supply of oxygen and nutrients and leads to increased radius through aneurysmal dilatation. When hypertension and atherosclerosis coexist, as they frequently do, all three variables contributing to wall stress have been detrimentally modified.
Svensson system for classification of aortic dissection
| Class 1: Classic dissection with intimal flap separating true and false lumens |
| Class 2: Intramural hematoma |
| Class 3: Limited intimal tear with eccentric bulge |
| Class 4: Penetrating atherosclerotic ulcer |
| Class 5: Iatrogenic dissection |
Epidemiology and Risk Factors
Risk factors for aortic dissection
| Conditions associated with increased aortic wall stress |
| Hypertension, particularly if poorly controlled |
| Pheochromocytoma |
| Cocaine or other stimulant use |
| Weight lifting or other Valsalva maneuver |
| Trauma |
| Deceleration or torsional injury |
| Coarctation of the aorta |
| Conditions associated with aortic media abnormalities |
| Genetic |
| Marfan’s syndrome |
| Ehlers–Danlos syndrome, vascular form |
| Bicuspid aortic valve (including prior aortic valve replacement) |
| Turner syndrome |
| Loeys-Dietz syndrome |
| Familial thoracic aortic aneurysm and dissection syndrome |
| Inflammatory vasculitides |
| Takayasu arteritis |
| Giant cell arteritis |
| Behçet arteritis |
| Other |
| Pregnancy |
| Polycystic kidney disease |
| Chronic corticosteroid or immunosuppressant administration |
| Infections involving the aortic wall |
The International Registry of Acute Aortic Dissection (IRAD) was formed in 1996 to track the presentation, diagnosis, management, and outcomes of patients with acute aortic dissection at 25 referral centers in 12 countries [21]. Among this cohort, 65% of patients were males with a mean age of 63 years. Nearly three quarters carried a diagnosis of hypertension, 31% had known atherosclerosis, and 18% had undergone prior cardiac surgery. Four percent had Marfan’s syndrome [21]. Thirty-eight percent of dissections were Stanford type B. Overall mortality was approximately 23% in the IRAD registry, but was 40% among patients who had used cocaine prior to dissection [21]. Among patients with type B dissection, overall mortality was 12%, with 20% mortality among those with complications and 6% mortality in uncomplicated cases [22]. Mortality does not appear to be significantly different between acute type B dissection and type B intramural hematoma [23].
Based on these data, our patient was typical in his gender and predisposing hypertension, but was at increased risk for mortality given his renal injury and stimulant use. His relative youth raises the possibility of an underlying vasculopathy, but he had clear predisposing risk factors for dissection and no other evidence to suggest a syndromic process.
Presentation
The spectrum of presentation of acute aortic dissection is protean, requiring vigilance on the part of the provider to arrive at the diagnosis promptly. Given the frequently non-specific presentation and higher pre-test probability of more common processes, acute aortic dissection is not diagnosed on initial evaluation in 38% of patients [24]. Common symptoms and signs include abrupt onset chest and/or back pain (86%) with radiation to the shoulders or neck that is typically described as tearing/sharp (64%), hypertension (69%), pulse deficit (20–30%), and syncope (13%) [16, 21, 24]. Less common presentations include heart failure symptoms, abdominal pain, spinal cord involvement with neurological deficits, Horner syndrome, and vocal cord paralysis [9]. Painless presentation is also observed in approximately 4–5% of patients and is associated with worse prognosis, perhaps related to delay in diagnosis [21].
The patient discussed here presented with acute, tearing back and flank pain as well as hypertension, allowing prompt consideration of the correct diagnosis.
Diagnosis
The principle approach to the diagnosis of acute aortic syndromes is radiographic, though biochemical assays are an area of active research. The electrocardiogram (ECG) can be helpful in detecting rare complications such as coronary involvement; however, it is frequently abnormal and is not specific for acute aortic syndromes [24, 25].
The goals of aortic imaging are fourfold, namely to (1) establish the diagnosis, (2) localize the intimal tear, (3) determine the extent of dissection, and (4) assess for indicators of pending emergency [9]. The modalities available for definitive imaging include computerized tomography angiography (CTA), magnetic resonance imaging (MRI), transesophageal echocardiography (TEE), and, less commonly, aortography. Among the IRAD cohort, CTA was performed in 93% of cases, TEE in 59%, MRI in 31%, and aortography in 24% [16]. Often times more than one study is necessary to confirm and fully characterize the diagnosis; thus the mean number of imaging studies other than plain film performed per patient is 1.8 [24].
Transthoracic echocardiography (TTE) provides a rapid tool for assessing cardiac complications of type A dissection such as wall motion abnormalities indicative of coronary artery involvement, pericardial tamponade, and aortic insufficiency [26]. TTE provides minimal to no imaging of the distal ascending, transverse, and descending aorta and is typically used in conjunction with TEE or another imaging modality. TEE can be rapidly obtained in many circumstances and has the advantages of excellent visualization of the distal ascending, transverse, and descending aorta, ability to differentiate between true and false lumens, and identification of intramural hemorrhage and penetrating atherosclerotic ulcer. TEE is limited by its invasive nature requiring sedation and a contraindication in significant esophageal disease, such as varices [27]. When combined with TTE, TEE achieves a sensitivity of 99% and specificity of 89% [28] for aortic dissection.
CT imaging with intravenous contrast can be rapidly performed in most Emergency Departments and has a sensitivity of at least 95% and specificity between 85% and 100% [9, 29, 30]. The disadvantages of CT are the contrast load in patients who already have or may develop acute kidney injury as a result of the underlying process and limited ability to identify the site of intimal tear [9, 31].
MRI has perhaps the highest sensitivity and specificity, approaching 100% for each [27, 29, 32]. MRI has the additional advantages of not requiring intravenous contrast injection for vessel visualization and not exposing the patient to ionizing radiation [27]. Its use is constrained by the factors that limit MRI use in other settings, which are lack of availability, length of time for image acquisition in potentially unstable patients, patient discomfort/anxiety, and contraindication in patients with metallic implants (e.g., most pacemakers and implantable cardioverter-defibrillators).
Given that TEE, CT, and MRI all have favorable test characteristics, the choice of imaging modality largely depends on local availability and time. CT is nearly universally available in the developed world, is non-invasive, and is rapid, and, therefore, is the preferred modality in many institutions [16]. However, some institutions practice routine TEE in patients with proximal dissections. The American Heart Association (AHA) recommends TEE as the first imaging study in unstable patients to prevent patient transport out of the acute care setting [4].
Biochemical markers of aortic dissection remain largely investigational. Candidate markers include lactate dehydrogenase, d-dimer, white blood cell count, c-reactive protein, fibrinogen, and circulating smooth muscle myosin heavy chain. Currently, there is no clinically available biochemical assay specific for aortic dissection [4].
The patient described here had CT angiography performed on presentation to the referring hospital, which accurately identified the type B aortic dissection and branch vessel involvement. Transesophageal echocardiography would have been a reasonable initial study as well given the need for close hemodynamic management and the elevated creatinine.
Management
Initial medical management of heart rate and blood pressure in acute aortic dissection
| Agent | Dose |
|---|---|
| Beta blockers | |
| Esmolol | 0.5–1 mg/kg bolus followed by continuous infusion at 0.10–0.20 mg/kg/min |
| Propranolol | 0.05–0.15 mg/kg bolus every 4–6 h |
| Metoprolol | 1.25–15 mg bolus every 3–12 h |
| Combined alpha and beta blocker | |
| Labetalol | 0.25–0.5 mg/kg bolus followed by continuous infusion at 2.0–6.0 mg/min |
| Non-dihydropyridine calcium channel blockers | |
| Verapamil | 2.5–5 mg bolus followed by continuous infusion at 5–24 mg/h |
| Diltiazem | 0.25–0.35 mg/kg bolus followed by continuous infusion at 5–15 mg/h |
| Vasodilators | |
| Sodium nitroprusside | 0.25–10 µg/kg/min continuous infusion |
| Nitroglycerin | 5–100 µg/min continuous infusion |
| Fenoldopam | 0.01–1.6 µg/kg/min continuous infusion |
| Dihydropyridine calcium channel blocker | |
| Nicardipine | 5–15 mg/h continuous infusion |
Uncomplicated type B dissection should be managed medically with close monitoring for the development of complications [33]. For patients with extant or impending complication, endovascular and/or surgical management should be considered. In the IRAD registry, 73% of patients with acute type B dissection were managed medically, 15% received a surgical intervention, and 12% received a percutaneous intervention [16].
In-hospital mortality for patients with ischemic complications managed surgically was historically observed to be as high as 89%, prompting interest in less invasive techniques [9, 34]. The first endovascular intervention for acute type B dissection was a balloon fenestration of the intimal flap in a patient with visceral ischemia performed in 1990 [35]. Endovascular techniques now provide an expanding range of interventions, including fenestration, covered stents at the site of dissection entry, ballooning and stenting at sites of complications, and stent-graft placement such as thoracic endovascular aortic repair (TEVAR). Often, a combination of these techniques is employed to provide rapid amelioration of static or dynamic obstruction of the true lumen with organ hypoperfusion. No completed randomized trials compare medical, endovascular, and/or surgical approaches among patients with acute type B dissection [36].
In a composite of 57 patients treated with an endovascular approach, adequate flow was restored in 90% of obstructed arteries with an average 30-day mortality of 10% [9]. A meta-analysis by Eggebrecht et al. [37] found a 98% success rate for endovascular stent-graft placement for acute and chronic type B dissection with 89% survival at 2 years and an 11% major complication rate. Patel et al. reviewed outcomes among 69 patients with acute type B dissection complicated by branch vessel hypoperfusion treated with flap fenestration and stenting of the true lumen and/or branch vessels. Adequate perfusion was restored to 96% of the affected vascular beds and mean survival was 84 months [38].
Rates of mortality and major morbidity appear to be lower with endovascular procedures compared with surgical intervention [39], but these data need to be cautiously interpreted due to the lack of large randomized trials and the tendency for the most complicated patients to be referred for surgical repair [36]. In a 2011 IRAD review, patients with complicated type B dissections receiving percutaneous intervention had a 10% in-hospital mortality as compared with 29% for those receiving surgery and 21% for those managed medically alone [22]. Similarly, a case–control study by Brandt et al. among patients receiving either open surgery or endovascular stent-graft repair for dissections of the descending thoracic aorta found 5% 30-day mortality among the stent-graft group and 27% mortality among the open surgery cohort. The rate of post-procedure stroke or paraplegia was 5% in the stent-graft group and 9% in the surgery group [40]. Finally, in an IRAD cohort of 571 patients with acute type B dissection, Fattori et al. [33] observed a 20% in-hospital complication rate among those undergoing endovascular repair as opposed to a 40% in-hospital complication rate among those treated surgically. While these observational data show a consistent trend toward improved outcomes with endovascular repair, as was previously described, interpretation needs to account for the propensity for more complicated patients to be selected for surgery.
The Investigation of Stent Grafts in Aortic Dissection (INSTEAD) trial compared elective TEVAR plus optimal medical management in stable patients at least 2 weeks following an acute type B aortic dissection to optimal medical management alone. At 2 years there was no difference in all-cause mortality, aorta-related mortality, or neurologic complications, although the study was not powered to detect a difference in clinical events [41]. Interestingly, aortic remodeling with true lumen recovery and false lumen thrombosis was observed in 91% of TEVAR patients and only 19% of the medically managed cohort. Given the active remodeling observed, it is perhaps possible that a larger study population or longer follow-up period might reveal a clinical benefit to TEVAR in this population.
Acute type B aortic dissections algorithm
Considerations for surgical, medical, and interventional therapy in aortic dissection
| Medical therapy |
| Treatment of choice in uncomplicated type B dissection |
| Stable, isolated arch dissection |
| Stable type B dissection (chronic, ≥2 weeks after onset) |
| Interventional therapy |
| Stent-grafts to seal entry to false lumen and to enlarge compressed true lumen |
| Unstable type B dissection |
| Malperfusion syndrome |
| Balloon fenestration |
| Surgery |
| Treatment of choice for type A dissection |
| Consider for acute type B dissection complicated by |
| Marfan’s syndrome |
| Rupture or impending rupture (consider interventional therapy) |
| Progression or compromise of vital organs (consider interventional therapy) |
The patient presented here was initially managed medically and observed closely for the development of complications. When renal and limb hypoperfusion were noted, consideration was given to surgical and percutaneous options for intervention. Because the issue of primary importance at the time of the first intervention was compression of the true lumen by the false lumen, and because endovascular management is associated with lower morbidity than open procedures, the decision was made to proceed first with fenestration with the goal of relieving the trans-membrane pressure gradient. When this approach succeeded initially but then failed to provide a lasting solution, it was felt that completion of the fenestration with what was functionally an endarterectomy would provide definitive relief of flow limitation in the true lumen. Open axillary-femoral bypass and TEVAR were also considered, but it was anticipated that adequate flow could be restored without the incumbent morbidity of a more involved open or endovascular intervention. Given the current landscape of numerous options for intervention and lack of definitive evidence for weighing the likelihood of success and risk of complication, randomized trials are needed comparing these techniques to guide management in situations such as these.
Follow-up
The most critical issue following the acute hospitalization is close outpatient management of blood pressure. Follow-up imaging is recommended after acute dissection at 7 days, hospital discharge, 6 weeks, 3 months, 6 months, and 12 months, and then every 12 months thereafter. Consideration of imaging modality is similar to that with acute dissection, save for the improved patient stability and reduced urgency. Primary objectives of follow-up imaging are to assess for aortic expansion, aneurysm, and vascular leak at sites of intervention [9].
Conclusion
The aging populations of developed countries and the ongoing demographic transitions of developing nations will likely ensure that cardiovascular disease remains the leading cause of morbidity and mortality worldwide for the near future. Aortic pathology, including acute aortic dissection, remains an underappreciated yet important contributor to this disease burden. Progress continues to be made in diagnosis and management, particularly with respect to endovascular repair. As these techniques evolve, further comparisons of efficacy and safety will be needed to guide treatment decisions in this complicated and frequently unstable patient group. While population-level reduction of cardiovascular risk factors is ultimately required to prevent the development of aortic disease, high clinical suspicion and prompt diagnosis remain critical to limit the devastating sequelae of acute aortic syndromes.
Notes
Acknowledgments
No funding or sponsorship was received for this study or publication of this article. Dr. Giugliano is the guarantor for this article and takes responsibility for the integrity of the work as a whole.
Conflict of interest
Brian Bergmark, Piotr Sobieszczyk, Edwin Gravereaux, Marc Bonaca, and Robert Giugliano report no conflicts of interest.
Compliance with ethics guidelines
The authors conformed with the Helsinki Declaration of 1975, as revised in 2000 concerning Human and Animal Rights, and Springer’s policy concerning informed consent has been followed. This article does not contain any studies with human or animal subjects performed by any of the authors.
Open Access
This article is distributed under the terms of the Creative Commons Attribution Noncommercial License which permits any noncommercial use, distribution, and reproduction in any medium, provided the original author(s) and the source are credited.
References
- 1.Lozano R, Naghavi M, Foreman K, et al. Global and regional mortality from 235 causes of death for 20 age groups in 1990 and 2010: a systematic analysis for the Global Burden of Disease Study 2010. Lancet. 2013;380:2095–128.CrossRefGoogle Scholar
- 2.Yusuf S, Reddy S, Ôunpuu S, Anand S. Global burden of cardiovascular diseases. Circulation. 2001;104:2855–64.PubMedCrossRefGoogle Scholar
- 3.Nienaber CA, Eagle KA. Aortic dissection: new frontiers in diagnosis and management. Circulation. 2003;108:628–35.PubMedCrossRefGoogle Scholar
- 4.Hiratzka LF, Bakris GL, Beckman JA, et al. 2010 ACCF/AHA/AATS/ACR/ASA/SCA/SCAI/SIR/STS/SVM Guidelines for the diagnosis and management of patients with thoracic aortic disease. Circulation. 2010;121:e266–369.PubMedCrossRefGoogle Scholar
- 5.Hirst AE Jr, Johns VJ, Kime SW Jr. Dissecting aneurysm of the aorta: a review of 505 cases. Medicine. 1958;37:217–79.PubMedCrossRefGoogle Scholar
- 6.Prêtre R, Von Segesser LK. Aortic dissection. Lancet. 1997;349:1461–4.PubMedCrossRefGoogle Scholar
- 7.Homme JL, Aubry MC, Edwards WD, et al. Surgical pathology of the ascending aorta: a clinicopathologic study of 513 cases. Am J Surg Pathol. 2006;30:1159–68.PubMedCrossRefGoogle Scholar
- 8.Meszaros I, Morocz J, Szlavi J, et al. Epidemiology and clinicopathology of aortic dissection. Chest. 2000;117:1271–8.PubMedCrossRefGoogle Scholar
- 9.Erbel R, Alfonso F, Boileau C, et al. Task Force Report. Eur Heart J. 2001;22:1642–81.PubMedCrossRefGoogle Scholar
- 10.DeBakey ME, Beall AC Jr, Cooley DA, et al. Dissecting aneurysms of the aorta. Surg Clin N Am. 1966;46:1045–55.PubMedGoogle Scholar
- 11.Daily PO, Trueblood HW, Stinson EB, Wuerflein RD, Shumway NE. Management of acute aortic dissections. Ann Thorac Surg. 1970;10:237–47.PubMedCrossRefGoogle Scholar
- 12.Svensson LG, Labib SB, Eisenhauer AC, Butterly JR. Intimal tear without hematoma: an important variant of aortic dissection that can elude current imaging techniques. Circulation. 1999;99:1331–6.PubMedCrossRefGoogle Scholar
- 13.Erbel R, Alfonso F, Boileau C, et al. Diagnosis and management of aortic dissection. Eur Heart J. 2001;22:1642–81.PubMedCrossRefGoogle Scholar
- 14.Clouse WD, Hallett JW Jr, Schaff HV, et al. Acute aortic dissection: population-based incidence compared with degenerative aortic aneurysm rupture. Mayo Clin Proc. 2004;79:176–80.PubMedCrossRefGoogle Scholar
- 15.Collins JS, Evangelista A, Nienaber CA, et al. Differences in clinical presentation, management, and outcomes of acute type a aortic dissection in patients with and without previous cardiac surgery. Circulation. 2004;110:II237–42.PubMedCrossRefGoogle Scholar
- 16.Suzuki T, Mehta RH, Ince H, et al. Clinical profiles and outcomes of acute type B aortic dissection in the current era: lessons from the International Registry of Aortic Dissection (IRAD). Circulation. 2003;108(Suppl 1):II312–7.PubMedGoogle Scholar
- 17.Reed D, Reed C, Stemmermann G, Hayashi T. Are aortic aneurysms caused by atherosclerosis? Circulation. 1992;85:205–11.PubMedCrossRefGoogle Scholar
- 18.Palmiere C, Burkhardt S, Staub C, et al. Thoracic aortic dissection associated with cocaine abuse. Forensic Sci Int. 2004;141:137–42.PubMedCrossRefGoogle Scholar
- 19.Januzzi JL, Isselbacher EM, Fattori R, et al. Characterizing the young patient with aortic dissection: results from the International Registry of Aortic Dissection (IRAD). J Am Coll Cardiol. 2004;43:665–9.PubMedCrossRefGoogle Scholar
- 20.Shirali AS, Bischoff MS, Lin H, et al. Predicting the risk for acute type B aortic dissection in hypertensive patients using anatomic variables. JACC Cardiovasc Imaging. 2013;6:349–57.PubMedCrossRefGoogle Scholar
- 21.Tsai TT, Trimarchi S, Nienaber CA. Acute aortic dissection: perspectives from the International Registry of Acute Aortic Dissection (IRAD). Eur J Vasc Endovasc Surg. 2009;37:149–59.PubMedCrossRefGoogle Scholar
- 22.Trimarchi S, Tolenaar JL, Tsai TT, et al. Influence of clinical presentation on the outcome of acute B aortic dissection: evidences from IRAD. J Cardiovasc Surg (Torino). 2012;53:161–8.Google Scholar
- 23.Harris KM, Braverman AC, Eagle KA, et al. Acute aortic intramural hematoma an analysis from the International Registry of Acute Aortic Dissection. Circulation. 2012;126:S91–6.PubMedCrossRefGoogle Scholar
- 24.Hagan PG, Nienaber CA, Isselbacher EM, et al. The International Registry of Acute Aortic Dissection (IRAD): new insights into an old disease. JAMA. 2000;283:897–903.PubMedCrossRefGoogle Scholar
- 25.Kamp TJ, Goldschmidt-Clermont PJ, Brinker JA, Resar JR. Myocardial infarction, aortic dissection, and thrombolytic therapy. Am Heart J. 1994;128:1234–7.PubMedCrossRefGoogle Scholar
- 26.Tsai TT, Nienaber CA, Eagle KA. Acute aortic syndromes. Circulation. 2005;112:3802–13.PubMedCrossRefGoogle Scholar
- 27.Cigarroa JE, Isselbacher EM, DeSanctis RW, Eagle KA. Diagnostic imaging in the evaluation of suspected aortic dissection—old standards and new directions. N Engl J Med. 1993;328:35–43.PubMedCrossRefGoogle Scholar
- 28.Erbel R, Engberding R, Daniel W, Roelandt J, Visser C, Rennollet H. Echocardiography in diagnosis of aortic dissection. Lancet. 1989;1:457–61.PubMedCrossRefGoogle Scholar
- 29.Sommer T, Fehske W, Holzknecht N, et al. Aortic dissection: a comparative study of diagnosis with spiral CT, multiplanar transesophageal echocardiography, and MR imaging. Radiology. 1996;199:347–52.PubMedCrossRefGoogle Scholar
- 30.Nienaber CA, von Kodolitsch Y, Nicolas V, et al. The diagnosis of thoracic aortic dissection by noninvasive imaging procedures. N Engl J Med. 1993;328:1–9.PubMedCrossRefGoogle Scholar
- 31.Vasile N, Mathieu D, Keita K, Lellouche D, Bloch G, Cachera JP. Computed tomography of thoracic aortic dissection: accuracy and pitfalls. J Comput Assist Tomogr. 1986;10:211–5.PubMedCrossRefGoogle Scholar
- 32.Kersting-Sommerhoff B, Higgins C, White R, Sommerhoff C, Lipton M. Aortic dissection: sensitivity and specificity of MR imaging. Radiology. 1988;166:651–5.PubMedCrossRefGoogle Scholar
- 33.Fattori R, Tsai TT, Myrmel T, et al. Complicated acute type B dissection: is surgery still the best option? A report from the International Registry of Acute Aortic Dissection. JACC Cardiovasc Interv. 2008;1:395–402.PubMedCrossRefGoogle Scholar
- 34.Nienaber CA, Eagle KA. Aortic dissection: new frontiers in diagnosis and management part II: therapeutic management and follow-up. Circulation. 2003;108:772–8.PubMedCrossRefGoogle Scholar
- 35.Williams D, Brothers T, Messina L. Relief of mesenteric ischemia in type III aortic dissection with percutaneous fenestration of the aortic septum. Radiology. 1990;174:450–2.PubMedCrossRefGoogle Scholar
- 36.Fattori R, Cao P, De Rango P, et al. Interdisciplinary expert consensus document on management of type B aortic dissection. J Am Coll Cardiol. 2013;61:1661–78.PubMedCrossRefGoogle Scholar
- 37.Eggebrecht H, Nienaber CA, Neuhäuser M, et al. Endovascular stent-graft placement in aortic dissection: a meta-analysis. Eur Heart J. 2006;27:489–98.PubMedCrossRefGoogle Scholar
- 38.Patel HJ, Williams DM, Meekov M, Dasika NL, Upchurch GR, Deeb GM. Long-term results of percutaneous management of malperfusion in acute type B aortic dissection: implications for thoracic aortic endovascular repair. J Thorac Cardiovasc Surg. 2009;138:300–8.PubMedCrossRefGoogle Scholar
- 39.Nienaber CA, Fattori R, Lund G, et al. Nonsurgical reconstruction of thoracic aortic dissection by stent-graft placement. N Engl J Med. 1999;340:1539–45.PubMedCrossRefGoogle Scholar
- 40.Brandt M, Hussel K, Walluscheck KP, et al. Stent-graft repair versus open surgery for the descending aorta: a case-control study. J Endovasc Ther. 2004;11:535–8.PubMedCrossRefGoogle Scholar
- 41.Nienaber CA, Rousseau H, Eggebrecht H, et al. Randomized comparison of strategies for type B aortic dissection: the INvestigation of STEnt Grafts in Aortic Dissection (INSTEAD) trial. Circulation. 2009;120:2519–28.PubMedCrossRefGoogle Scholar




