MR Imaging in Corpus Neoplasia: Spectrum of MR Findings
- 452 Downloads
- 1 Citations
Abstract
MR imaging is a noninvasive and a useful modality for depicting a wide variety of uterine tumors with excellent tissue contrast. In case malignant uterine neoplasms are suspected, contrast-enhanced image is useful to delineate the tumor extent and internal architecture of the tumor. In cases of endometrial carcinomas, dynamic enhanced imaging is utilized for evaluating the depth of myometrial invasion. In differentiating malignant uterine tumors from benign conditions, in addition to filtration into the surrounding tissues, the presence of necrosis that is usually better demonstrated on postcontrast images is important imaging finding. Diffusion-weighted imaging is an emerging technique that depicts tissue contrast based on restricted diffusion of water molecules and demonstrates increased intensity in the malignant tumors. The recognition of typical MR imaging features in a wide variety of endometrial tumors may facilitate differentiation, thus better determining appropriate patient management.
Keywords
MR imaging Diffusion-weighted imaging Endometrial carcinomas Leiomyomas Endometrial stromal sarcomas Leiomyosarcomas Endometrial stromal sarcomas Adenosarcomas Carcinosarcomas Undifferentiated endometrial sarcomasIntroduction
MR imaging is a noninvasive and a useful modality for depicting a wide variety of uterine tumors with excellent tissue contrast. Although transvaginal ultrasonography (TVUS) is widely accepted as the initial modality of choice for evaluating patients with abnormal genital bleeding or infertility, MR imaging can serve as the problem-solving modality when the tissue characterization of the uterine lesion is difficult on TVUS. The characteristics of MR imaging results in several advantages: 1) the evaluation of tumor extent; 2) the demonstration of the internal architecture of the mass, such as cyst formation, hemorrhage, and necrosis; and 3) the determination of tumor origin, i.e., whether it arises from the endometrium, submucosal region, or myometrium.
In case of endometrial carcinomas, MR imaging is usually performed after establishment of the diagnosis. Thereafter, the main role of MR imaging is to evaluate local extension of the tumor, especially with respect to myometrial invasion, cervical invasion, and the presence of extrauterine disease. When the endometrial carcinomas are suspected, the combined use of gadolinium-based contrast media is preferred, because the depth of myometrial invasion can be well evaluated in dynamic enhanced MR image obtained by bolus injection of the contrast material.
In case of myometrial lesions, the diagnosis of the tumors frequently depends on MR findings, because these lesions cannot be approached by hysteroscopic biopsies. In myometrial lesion, MR imaging also is expected to differentiate benign and malignant myometrial tumors. When malignant myometrial tumor is suspected, contrast-enhanced images is useful for differential diagnosis and may provide better contrast of the boundary and the internal architecture of the tumor. In differentiating malignant uterine tumors from benign conditions, in addition to filtration into the surrounding tissues, the presence of necrosis that is usually better demonstrated on postcontrast images is important imaging finding.
One of the recent topics in MR imaging is the application of diffusion-weighted imaging (DWI) in the female pelvic region [1•]. DWI is an emerging technique used to show tissue characteristics based on diffusion motion of water molecules that is known as Brownian motion [2]. The utility of this technique has been initially established in the central nervous system, mainly for the diagnosis of acute stroke [3, 4]. With the recent advent of fast MR imaging techniques, DWI of the abdomen has become possible with short acquisition times [5]. One of the greatest advantages of DW imaging in the abdomen is that this technique delineates lesions of increased cellularity, which are represented by malignant tumors, as in a region of increased signal intensity with excellent tissue contrast [6, 7, 8]. DWI also can provide quantitative measurement of apparent diffusion coefficient (ADC) value, which is considered to be influenced by nuclear-to-cytoplasm ratio and cellular density in solid tissues [9, 10, 11]. In uterine tumors, carcinomas and sarcomas are demonstrated as increased intensity, whereas normal endometrium and benign myometrial tumors have decreased intensity [12, 13, 14].
The purpose of this article is to revisit the utility of MR imaging by reviewing a spectrum of MR imaging findings in representative corpus tumors. In this review, uterine tumors are roughly divided into benign and malignant, endometrial, and myometrial tumors. Although endometrial stromal sarcomas and undifferentiated stromal sarcomas are considered as endometrial origin, findings in these tumors are described in malignant myometrial tumors, because these tumors may show extensive myometrial invasion or present as myometrial tumor.
Benign Endometrial Tumors
Endometrial Polyps
Endometrial polyps represent the most common uterine endometrial pathologic finding, characterized by localized overgrowth of endometrial glandular and stromal tissue covered by epithelium. Polyps may originate anywhere in the uterine cavity, but most occur in the fundus, particularly in the cornal region. Endometrial polyps consist of variable amounts of smooth-muscle fibers within the stroma. Endometrial polyps may occur with or without endometrial hyperplasia, but endometrial polyps are a more common cause of endometrial thickening than endometrial hyperplasia.
Endometrial polyp in a 52-year-old woman, who is taking Tamoxifen for her pervious breast cancer. a Sagittal T2-weighted image shows a well-defined polypoid tumor of high intensity (arrowheads), containing fine reticular network of low intensity. b Postcontrast T1-weighted image shows unenhanced areas, representing cystic spaces (arrows)
Adenomyoma/Adenofibromas
Adenomyoma in a 40-year-old woman. a Sagittal T2-weighted image demonstrates a polypoid mass of decreased intensity in the endometrium (arrows), containing cystic space of bright intensity. The myometrium in the anterior wall and fundus is diffusely thickened by simultaneous adenomyosis. b T1-weighted image shows high intensity corresponding to the cystic space, suggesting the hemorrhagic fluid within the mass
Malignant Endometrial Tumors
Endometrial Carcinomas
Endometrioid carcinoma in a 30-year-old woman. a Sagittal T2-weighted image demonstrates an ill-defined area of decreased intensity in the thickened endometrium (arrows). b Postcontrast T1-weighted image demonstrates poorly enhanced tumor in the endometrium (arrows). In both images, the endometrial-myometrial border is well preserved, suggesting the tumor is confined within the endometrium
Endometrioid carcinoma in 53-year-old woman. a Sagittal T2-weighted image demonstrates an ill-defined endometrial tumor. The endometrial-myometrial border is almost entirely obscured, suggesting the myometrial invasion by the tumor. b Early-phase image of dynamic enhanced T1-weighted clearly demonstrates inner myometrium of strong enhancement (arrowheads), which become irregular by invading tumor
Serous carcinoma in a 55-year-old female. a Sagittal T2-weighted image demonstrates an endometrial tumor of decreased intensity occupying the endometrial cavity, and protruding into the external cervical os. Note the endometrial-myometrial border in both the corpus and cervix is diffusely obscured, suggesting myometrial invasion of the tumor (arrowheads). There is a small implant on the posterior serosal surface of the uterus (arrow). b Fusion image of DWI onto T2-weighted image exhibits increased intensity corresponding to the tumor in the endometrial cavity. The implantation on the posterior wall is also clearly demonstrated with excellent tissue contrast (arrowhead)
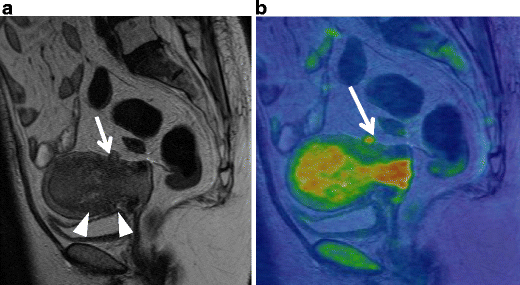
Endometrioid carcinoma in 69-year-old woman. a T2-weighted image demonstrates an ill-defined myometrial mass of decreased intensity (arrows). b Fusion image with DWI onto T2-weighted image shows increased intensity in the myometrial mass, which represents endometrioid carcinoma infiltrating into the myometrium
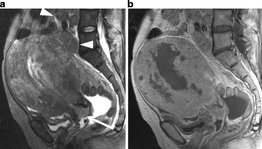
Small cell carcinoma in a 40-year-old woman. a Sagittal T2-weighted image demonstrates a polypoid mass of heterogeneous intensity in the endometrial cavity. The myometrium is diffusely thickened by diffusely infiltrating tumor. The cervix also is involved by the tumor (arrowhead). Extensive lymphadenopathy in the para-aortic region represents nodal metastases (arrows). b Sagittal contrast-enhanced T1-weighted images shows multifocal, unenhanced areas of necrosis
Adenosarcomas
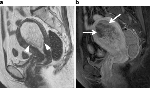
Adenosarcoma in a 27-year-old woman. a Sagittal T2-weighted image shows adenosarcoma composed of numerous polypoid mass, which protrude into the endometrial cavity. Multiple punctate foci of high intensity within the tumor represent microscopically dilated glands in the tumor. The disruption of the endometrial-myometrial border and heterogeneously increased intensity in the anterior wall represents invasion of the tumor into the myometrium (arrows). b Postcontrast T1-weighted image shows good enhancement in the tumor
Carcinosarcomas
Carcinosarcomas account for approximately 2 % of all uterine malignancies and typically affect elderly postmenopausal women [36]. Histologically, carcinosarcomas are characterized by the presence of both epithelial and mesenchymal malignancies. Recent clinicopathologic immunohistochemical and molecular studies have provided compelling evidence that carcinosarcomas should be classified as high-grade variants of endometrioid carcinoma.
Carcinosarcoma in a 66-year-old female. a T2-weighted image demonstrates a large polypoid tumor (arrowheads) of heterogeneously high intensity, containing fresh hemorrhage of distinct low intensity. The tumor protrudes into the cervical canal. Fluid-fluid level in the uterine cavity represents hematometra. b T1-weighted image shows area of high intensity (arrow) in the tumor, suggesting intratumoral hemorrhage. c Postcontrast T1-weighted image shows fine reticular enhancement in the lesion (arrowheads)
Benign Myometrial Tumors
Adenomyosis
Adenomyosis in a 40-year-old woman. a T2-weighted image shows ill-defined low intensity in the diffusely thickened anterior myometrial wall. b T1-weighted image shows hemorrhage in the ectopic endometrial tissue as foci of high intensity
Leiomyomas
Leiomyoma in a 42-year-old woman. Sagittal T2-weighted image demonstrates well-demarcated masses of distinct low intensity in the myometrium (arrows)
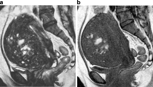
A huge subserosal leiomyoma in a 40-year-old woman. a Sagittal T2-weighted image demonstrates a huge heterogenous tumor consisting of cystic components of bright intensity anteriorly (arrows) and solid component of intermediate to low intensity. Note the tumor vessels extending from the myometrium to the tumor (arrowhead)
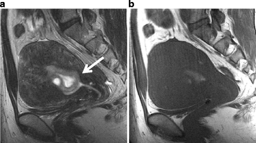
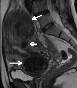
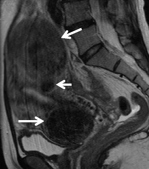
Red degeneration in a 36-year-old woman. a Sagittal T2-weighted image demonstrates a well-defined myometrial mass of low intensity, associated with thick rim of distinct low signal intensity (arrows). b T1-weighted image reveals entirely increased intensity in the tumor, suggesting red degeneration
Benign uterine leiomyomas may show unusual growth pattern that should not be mistaken for malignancy [42, 44]. Leiomyomas may show extensive venous extension, which is known as intravenous leiomyomatosis. Subserosal uterine leiomyoma extending into the broad ligament or the retroperitoneum also may produce infiltrative appearance. Rarely, submucosal myomas can be pedunculated and prolapse into the cervical canal or vagina [45].
Malignant Myometrial Tumors
Leiomyosarcoma
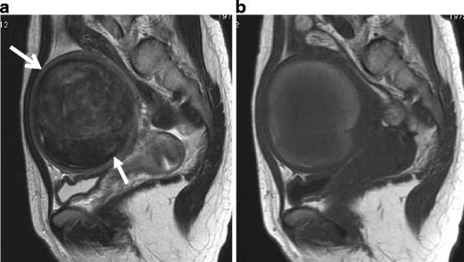
Leiomyosarcoma in a 60-year-old woman. a Sagittal T2-weighted image demonstrates an irregular-shaped large mass of heterogeneous intensity in the posterior wall of the uterus (arrows). b Postcontrast T1-weighted images with fat suppression demonstrate multifocal, unenhanced areas of necrosis within the tumor
Endometrial Stromal Sarcoma
Endometrial stromal sarcoma (ESS) is the second most common uterine sarcoma and is characterized by proliferation of well-differentiated cells closely resembling cells of endometrial stroma in the proliferative phase of the menstrual cycle. ESS tends to occur in a young age group (mean age 39 years) [48]. Curettage may not be helpful to establish diagnosis, because the cells shed from ESS usually are not sufficiently atypical to be distinguished from benign stromal cells. Nonetheless, despite scant cytologic atypia, ESS tends to invade into the myometrium and surrounding structures. When the tumor is advanced, the 5-year survival rate is unfavorable (40-50 %) [49].
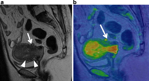
Endometrial stromal sarcoma in a 47-year-old woman. a Sagittal T2-weighted image demonstrates an ill-defined lesion of slightly increased intensity in the posterior myometrium of the uterus (arrows). Note the bands of low signal intensity within the lesion, which represent preserved myometrial bundles amidst the infiltrating nests of tumors cells. b Fusion image with DWI onto T2-weighted image reveals increased signal corresponding to the infiltration tumor in the myometrium
Undifferentiated Endometrial Sarcoma
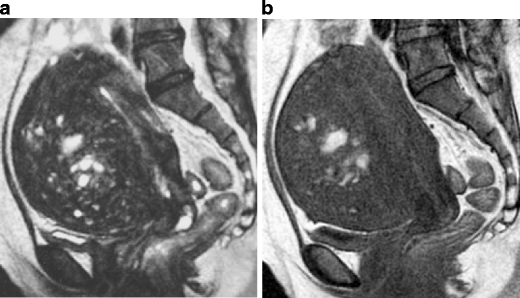
Undifferentiated stromal sarcoma in a 22-year-old female who presented with acute abdomen due to uterine rupture. a Sagittal T2-weighted image demonstrates an ill-defined myometrial mass of heterogeneous appearance in the anterior wall (arrows). The upper portion of the tumor containing fluid-fluid level represents hemorrhagic necrosis within the tumor (arrowheads). b T1-weighted image demonstrates increased signal intensity corresponding to the area of hemorrhagic necrosis (arrowheads). Hemorrhagic ascites of increased signal intensity also is present in the Douglas fossa and uterovesical fossa (asterisks). c Postcontrast T1-weighted image with fat suppression demonstrates heterogeneous enhancement within the solid component of the tumor (arrows)
Conclusions
MR imaging is a useful modality for depicting a wide variety of uterine tumors with excellent tissue contrast. When malignant uterine neoplasms are suspected, gadolinium-based contrast material is useful in delineating the tumor extent and internal architecture of the tumor. In addition to conventional technique, DWI also is useful to demonstrate lesion of increased cellularity, represented by malignant tumors. Benign endometrial tumors, such as endometrial polyps, adenofibromas, and adenomyomas, are characterized as polypoid lesions, occasionally associated with multiple intratumoral cysts of high intensity on T2-weighted images. MR imaging findings of endometrial carcinomas can vary from a polypoid endometrial mass to an endophytic tumor infiltrating into the myometrium, of either low or high intensity on T2-weighted images, decreased enhancement than the surrounding myometrium on contrast enhanced T1-weighted images. Both adenosarcomas and carcinosarcomas are typically large polypoid masses, and the latter typically contains extensive hemorrhage and necrosis. Leiomyomas are well-defined masses of low intensity. Endometrial stromal sarcomas are typically infiltrating myometrial mass, preserving the myometrial bundles of low signal intensity within the tumor. Leiomyosarcomas and undifferentiated stromal sarcoma are heterogeneous mass containing hemorrhage and necrosis. The recognition of typical MR imaging features in a wide variety of endometrial tumors may facilitate differentiation, thus better determining appropriate patient management.
Notes
Disclosures
No conflicts of interest relevant to this article were reported.
References
Papers of particular interest, published recently, have been highlighted as: • Of importance
- 1.• Punwani S. Diffusion weighted imaging of female pelvic cancers: concepts and clinical applications. Eur J Radiol. 2011;78(1):21–9. This introduces state of the art diffusion-weighted imaging for pelvic cancer.PubMedCrossRefGoogle Scholar
- 2.Le Bihan D, Turner R, Douek P, Patronas N. Diffusion MR imaging: clinical applications. AJR Am J Roentgenol. 1992;159(3):591–9.PubMedGoogle Scholar
- 3.Bahn MM, Oser AB, Cross 3rd DT. CT and MRI of stroke. J Magn Reson Imaging. 1996;6(5):833–45.PubMedCrossRefGoogle Scholar
- 4.Li TQ, Takahashi AM, Hindmarsh T, Moseley ME. ADC mapping by means of a single-shot spiral MRI technique with application in acute cerebral ischemia. Magn Reson Med. 1999;41(1):143–7.PubMedCrossRefGoogle Scholar
- 5.Thoeny HC, De Keyzer F. Extracranial applications of diffusion-weighted magnetic resonance imaging. Eur Radiol. 2007;17(6):1385–93.PubMedCrossRefGoogle Scholar
- 6.Ichikawa T, Haradome H, Hachiya J, Nitatori T, Araki T. Diffusion-weighted MR imaging with a single-shot echoplanar sequence: detection and characterization of focal hepatic lesions. AJR Am J Roentgenol. 1998;170(2):397–402.PubMedGoogle Scholar
- 7.Takahara T, Imai Y, Yamashita T, Yasuda S, Nasu S, Van Cauteren M. Diffusion weighted whole body imaging with background body signal suppression (DWIBS): technical improvement using free breathing, STIR and high resolution 3D display. Radiat Med. 2004;22(4):275–82.PubMedGoogle Scholar
- 8.Marini C, Iacconi C, Giannelli M, Cilotti A, Moretti M, Bartolozzi C. Quantitative diffusion-weighted MR imaging in the differential diagnosis of breast lesion. Eur Radiol. 2007;21(10):2646–55.Google Scholar
- 9.Lyng H, Haraldseth O, Rofstad EK. Measurement of cell density and necrotic fraction in human melanoma xenografts by diffusion weighted magnetic resonance imaging. Magn Reson Med. 2000;43(6):828–36.PubMedCrossRefGoogle Scholar
- 10.Nonomura Y, Yasumoto M, Yoshimura R, Haraguchi K, Ito S, Akashi T, et al. Relationship between bone marrow cellularity and apparent diffusion coefficient. J Magn Reson Imaging. 2001;13(5):757–60.PubMedCrossRefGoogle Scholar
- 11.Szafer A, Zhong J, Gore JC. Theoretical model for water diffusion in tissues. Magn Reson Med. 1995;33(5):697–712.PubMedCrossRefGoogle Scholar
- 12.Koyama T, Tamai K, Togashi K. Current status of body MR imaging: fast MR imaging and diffusion-weighted imaging. Int J Clin Oncol. 2006;11(4):278–85.PubMedCrossRefGoogle Scholar
- 13.Tamai K, Koyama T, Saga T, Umeoka S, Mikami Y, Fujii S, et al. Diffusion-weighted MR imaging of uterine endometrial cancer. J Magn Reson Imaging. 2007;26(3):682–7.PubMedCrossRefGoogle Scholar
- 14.Tamai K, Koyama T, Saga T, Morisawa N, Fujimoto K, Mikami Y, et al. The utility of diffusion-weighted MR imaging for differentiating uterine sarcomas from benign leiomyomas. Eur Radiol. 2008;18(4):723–30.PubMedCrossRefGoogle Scholar
- 15.Grasel RP, Outwater EK, Siegelman ES, Capuzzi D, Parker L, Hussain SM. Endometrial polyps: MR imaging features and distinction from endometrial carcinoma. Radiology. 2000;214(1):47–52.PubMedGoogle Scholar
- 16.Le Donne M, Lentini M, De Meo L, Benedetto V, Mesiti M. Uterine pathologies in patients undergoing tamoxifen therapy for breast cancer: ultrasonographic, hysteroscopic and histological findings. Eur J Gynaecol Oncol. 2005;26(6):623-6.Google Scholar
- 17.Ascher SM, Johnson JC, Barnes WA, Bae CJ, Patt RH, Zeman RK. MR imaging appearance of the uterus in postmenopausal women receiving tamoxifen therapy for breast cancer: histopathologic correlation. Radiology. 1996;200(1):105–10.PubMedGoogle Scholar
- 18.Young RH, Treger T, Scully RE. Atypical polypoid adenomyoma of the uterus. A report of 27 cases. Am J Clin Pathol. 1986;86(2):139–45.PubMedGoogle Scholar
- 19.Yamashita Y, Torashima M, Hatanaka Y, Takahashi M, Fukumatsu K, Tanaka N, et al. MR imaging of atypical polypoid adenomyoma. Comput Med Imaging Graph. 1995;19(4):351–5.PubMedCrossRefGoogle Scholar
- 20.Haque TL, Togashi K, Koyama T, Fujii S, Konishi J. An unusual presentation of endometrial polyp. Eur Radiol. 2002;12(12):2906–9.PubMedGoogle Scholar
- 21.• Takeuchi M, Matsuzaki K. Adenomyosis: usual and unusual imaging manifestations, pitfalls, and problem-solving MR imaging techniques. Radiographics. 2011;31(1):99–115. This article is a comprehensive review for adenomyosis, introducing state-of-the art MR imaging techniques.PubMedCrossRefGoogle Scholar
- 22.Frei KA, Kinkel K. Staging endometrial cancer: role of magnetic resonance imaging. J Magn Reson Imaging. 2001;13(6):850–5.PubMedCrossRefGoogle Scholar
- 23.• Haldorsen IS, Berg A, Werner HM, Magnussen IJ, Helland H, Salvesen OO, et al. Magnetic resonance imaging performs better than endocervical curettage for preoperative prediction of cervical stromal invasion in endometrial carcinomas. Gynecol Oncol. 2012;126(3):413–8. This article show clinical practicality of MR imaging by showing its utility in the evaluation of cervical invasion.PubMedCrossRefGoogle Scholar
- 24.• Lin G, Ng KK, Chang CJ, Wang JJ, Ho KC, Yen TC, et al. Myometrial invasion in endometrial cancer: diagnostic accuracy of diffusion-weighted 3.0-T MR imaging–initial experience. Radiology. 2009;250(3):784–92. This article demonstrates the superiority of diffusion-weighted imaging to conventinoal MR techniques for staging of the endometrial carcinomas.PubMedCrossRefGoogle Scholar
- 25.• Rechichi G, Galimberti S, Signorelli M, Perego P, Valsecchi MG, Sironi S. Myometrial invasion in endometrial cancer: diagnostic performance of diffusion-weighted MR imaging at 1.5-T. Eur Radiol. 2010;20(3):754–62. This article demonstrates the superiority of diffusion-weighted imaging to conventinoal MR techniques for staging of the endometrial carcinomas.PubMedCrossRefGoogle Scholar
- 26.• Freeman SJ, Aly AM, Kataoka MY, Addley HC, Reinhold C, Sala E. The revised FIGO staging system for uterine malignancies: implications for MR imaging. Radiographics. 2012;32(6):1805–27. This clarifies the implications of new FIGO staging systems of endometrial cancer for MR imaging.PubMedCrossRefGoogle Scholar
- 27.• Beddy P, O'Neill AC, Yamamoto AK, Addley HC, Reinhold C, Sala E. FIGO staging system for endometrial cancer: added benefits of MR imaging. Radiographics. 2012;32(1):241–54. This clarifies the implications of new FIGO staging systems of endometrial cancer for MR imaging.PubMedCrossRefGoogle Scholar
- 28.• Shin KE, Park BK, Kim CK, Bae DS, Song SY, Kim B. MR staging accuracy for endometrial cancer based on the new FIGO stage. Acta Radiol. 2011;52(7):818–24. This article shows that MR can provide improved staging accuracies in the revised FIGO stating system.PubMedCrossRefGoogle Scholar
- 29.Hamilton CA, Cheung MK, Osann K, Chen L, Teng NN, Longacre TA, et al. Uterine papillary serous and clear cell carcinomas predict for poorer survival compared to grade 3 endometrioid corpus cancers. Br J Cancer. 2006;94(5):642–6.PubMedGoogle Scholar
- 30.Carcangiu ML, Chambers JT. Early pathologic stage clear cell carcinoma and uterine papillary serous carcinoma of the endometrium: comparison of clinicopathologic features and survival. Int J Gynecol Pathol. 1995;14(1):30–8.PubMedCrossRefGoogle Scholar
- 31.Sakuragi N, Hareyama H, Todo Y, Yamada H, Yamamoto R, Fujino T, et al. Prognostic significance of serous and clear cell adenocarcinoma in surgically staged endometrial carcinoma. Acta Obstet Gynecol Scand. 2000;79(4):311–6.PubMedCrossRefGoogle Scholar
- 32.Eichhorn JH, Young RH. Neuroendocrine tumors of the genital tract. Am J Clin Pathol. 2001;115(Suppl):S94–112.PubMedGoogle Scholar
- 33.Tamai K, Koyama T, Saga T, Mikami Y, Fujii S, Togashi K. Small cell carcinoma of the uterine corpus: MR imaging and pathological correlation. J Comput Assist Tomogr. 2007;31:485–9.Google Scholar
- 34.Clement PB. Mullerian adenosarcomas of the uterus with sarcomatous overgrowth. A clinicopathological analysis of 10 cases. Am J Surg Pathol. 1989;13(1):28–38.PubMedCrossRefGoogle Scholar
- 35.Lee HK, Kim SH, Cho JY, Yeon KM. Uterine adenofibroma and adenosarcoma: CT and MR findings. J Comput Assist Tomogr. 1998;22(2):314–6.PubMedCrossRefGoogle Scholar
- 36.Arrastia CD, Fruchter RG, Clark M, Maiman M, Remy JC, Macasaet M, et al. Uterine carcinosarcomas: incidence and trends in management and survival. Gynecol Oncol. 1997;65(1):158–63.PubMedCrossRefGoogle Scholar
- 37.Worthington JL, Balfe DM, Lee JK, Gersell DJ, Heiken JP, Ling D, et al. Uterine neoplasms: MR imaging. Radiology. 1986;159(3):725–30.PubMedGoogle Scholar
- 38.Ohguri T, Aoki T, Watanabe H, Nakamura K, Nakata H, Matsuura Y, et al. MRI findings including gadolinium-enhanced dynamic studies of malignant, mixed mesodermal tumors of the uterus: differentiation from endometrial carcinomas. Eur Radiol. 2002;12(11):2737–42.PubMedGoogle Scholar
- 39.Bharwani N, Newland A, Tunariu N, Babar S, Sahdev A, Rockall AG, et al. MRI appearances of uterine malignant mixed mullerian tumors. AJR Am J Roentgenol. 2010;195(5):1268–75.PubMedCrossRefGoogle Scholar
- 40.Tamai K, Togashi K, Ito T, Morisawa N, Fujiwara T, Koyama T. MR imaging findings of adenomyosis: correlation with histopathologic features and diagnostic pitfalls. Radiographics. 2005;25(1):21–40.PubMedCrossRefGoogle Scholar
- 41.Murase E, Siegelman ES, Outwater EK, Perez-Jaffe LA, Tureck RW. Uterine leiomyomas: histopathologic features, MR imaging findings, differential diagnosis, and treatment. Radiographics. 1999;19(5):1179–97.PubMedGoogle Scholar
- 42.Ueda H, Togashi K, Konishi I, Kataoka ML, Koyama T, Fujiwara T, et al. Unusual appearances of uterine leiomyomas: MR imaging findings and their histopathologic backgrounds. Radiographics. 1999;19 Spec No:S131–45.PubMedGoogle Scholar
- 43.Zaloudek C, Norris HJ. Mesenchymal tumors of the uterus. In: Kurman RJ, editor. Blaustein's pathology of the female genital tract. New York: Springer-Verlag; 1994. p. 487–98.Google Scholar
- 44.Tanaka YO, Nishida M, Tsunoda H, Okamoto Y, Yoshikawa H. Smooth muscle tumors of uncertain malignant potential and leiomyosarcomas of the uterus: MR findings. J Magn Reson Imaging. 2004;20(6):998–1007.PubMedCrossRefGoogle Scholar
- 45.Panageas E, Kier R, McCauley TR, McCarthy S. Submucosal uterine leiomyomas: diagnosis of prolapse into the cervix and vagina based on MR imaging. AJR Am J Roentgenol. 1992;159(3):555–8.PubMedGoogle Scholar
- 46.Major FJ, Blessing JA, Silverberg SG, Morrow CP, Creasman WT, Currie JL, et al. Prognostic factors in early-stage uterine sarcoma. A Gynecologic Oncology Group study. Cancer. 1993;71(4 Suppl):1702–9.PubMedCrossRefGoogle Scholar
- 47.Hendrickson MR. Mesenchymal tumours and related lesions. In: Tavassoli, editor. World Health Organization: tumours and breast and female genital organs. Lyon: IARC press; 2003. p. 233–44.Google Scholar
- 48.Koyama T, Togashi K, Konishi I, Kobayashi H, Ueda H, Kataoka ML, et al. MR imaging of endometrial stromal sarcoma: correlation with pathologic findings. AJR Am J Roentgenol. 1999;173(3):767–72.PubMedGoogle Scholar
- 49.Zaloudek C, Hendrickson MR. Mesenchymal tumors of the uterus. In: Kurman R, editor. Blaustein's pathology of the female genital tract. 5th ed. New York: Springer-Verlag; 2002. p. 561–615.Google Scholar
- 50.Evans HL. Endometrial stromal sarcoma and poorly differentiated endometrial sarcoma. Cancer. 1982;50(10):2170–82.PubMedCrossRefGoogle Scholar















