The vascular delta-like ligand-4 (DLL4)-Notch4 signaling correlates with angiogenesis in primary glioblastoma: an immunohistochemical study
- 466 Downloads
- 7 Citations
Abstract
Delta-like ligand-4 (DLL4)-Notch signaling is known to play a pivotal role in the regulation of tumor angiogenesis. We had previously found that DLL4 was overexpressed, while Notch1 receptor, which binds to DLL4 during angiogenesis, was absent in the majority of human primary glioblastomas. Thus, DLL4-Notch signaling pathway in the regulation of tumor angiogenesis in primary glioblastoma remains unknown. Tumor tissues from 70 patients with primary glioblastoma were analyzed by immunohistochemistry for expression of components of DLL4-Notch signaling, vascular endothelial growth factor (VEGF), and microvessel density (MVD). Immunohistochemistry results showed that the positive staining of DLL4 and Notch4 was primarily distributed in tumor vascular endothelial cells but rarely detected in tumor cells. However, VEGF, hairy/enhancer of split-1 (HES1; a target gene of Notch signaling), and Notch1–3 expression was seen in both tumor vascular endothelial cells and tumor cells. Univariate analysis showed that the expression levels of VEGF and DLL4, HES1, and Notch4 in tumor endothelial cells were significantly associated with MVD in primary glioblastoma (P < 0.001). Binary logistic regression analysis showed that high expression levels of DLL4, HES1, and Notch4 in tumor endothelial cells were associated with a decrease of MVD in primary glioblastoma, while MVD increased with elevated VEGF expression in contrast. In addition, DLL4, Notch4, and HES1 expression were positively correlated in tumor vascular endothelial cells (P < 0.05). We conclude that the vascular DLL4-Notch4 signaling and VEGF signaling complementing each other plays an important role in the progression of tumor angiogenesis in primary glioblastoma.
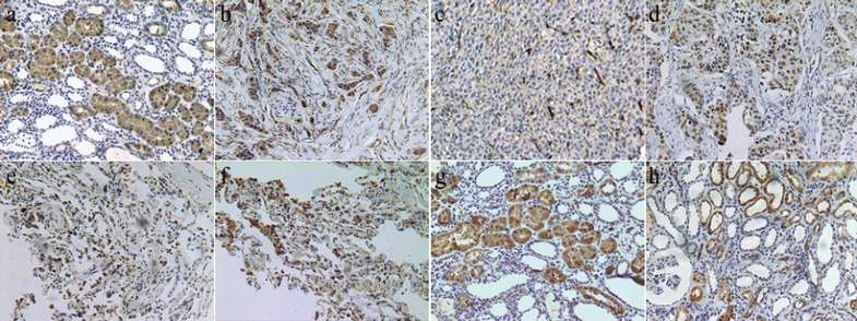
A, positive staining of DLL4 in human kidney; B, positive staining of VEGF in human breast cancer; C, positive staining of CD34 in human lung cancer; D, positive staining of HES1 in human breast cancer; E-H, positive staining of Notch1-4: E-F in human lung cancer; G-H in human kidney
Keywords
Primary glioblastoma DLL4-Notch signaling Vascular endothelial growth factor Microvessel density AngiogenesisAbbreviations
- MVD
Microvessel density
- VEGF
Vascular endothelial growth factor
- DLL4
Delta-like ligand-4
- NICD
Notch intracellular domain
- WHO
World Health Organization
- PBS
Phosphate buffer solution
- DAB
Diaminobenzidine
- EC
Endothelial cells
- TC
Tumor cell
- GSC
Glioma stem cell
- PI3k
Phosphatidylinositol 3-kinase
- EGFR
Epidermal growth factor receptor
- MMP-9
Matrix metalloprotein-9
Notes
Acknowledgments
This study was supported by the National Natural Science Foundation of China (No. 21435002). The authors would like to thank the Department of Pathology, First Affiliated Hospital, Fujian Medical University, for their help in immunohistochemistry design and the Public Health School, Fujian Medical University, Fujian, China, for assistance in data processing and statistical analysis.
Authors’ contributions
JFZ and YC analyzed the data and drafted the manuscript. YC, JFZ, and XXQ performed the experiments. XFW and JDZ provided material support. WLT, GSL, and JHH contributed to data collection and helped in the analysis. ZXL conceived the study and participated in its design and coordination. All authors read and approved the final manuscript.
Compliance with ethical standards
Conflicts of interest
None
References
- 1.Wen PY, Kesari S. Malignant gliomas in adults. N Engl J Med. 2008;359:492–507.CrossRefPubMedGoogle Scholar
- 2.Gerstner ER, Batchelor TT. Antiangiogenic therapy for glioblastoma. Cancer J. 2012;18:45–50.CrossRefPubMedPubMedCentralGoogle Scholar
- 3.Carmeliet P. Angiogenesis in life, disease and medicine. Nature. 2005;438:932–6.CrossRefPubMedGoogle Scholar
- 4.Yamamoto S, Schulze KL, Bellen HJ. Introduction to notch signaling. Methods Mol Biol. 2014;1187:1–14.CrossRefPubMedGoogle Scholar
- 5.Artavanis-Tsakonas S, Rand MD, Lake RJ. Notch signaling: cell fate control and signal integration in development. Science. 1999;284:770–6.CrossRefPubMedGoogle Scholar
- 6.Fleming RJ. Structural conservation of notch receptors and ligands. Semin Cell Dev Biol. 1998;9:599–607.CrossRefPubMedGoogle Scholar
- 7.Iso T, Kedes L, Hamamori Y. HES and HERP families: multiple effectors of the notch signaling pathway. J Cell Physiol. 2003;194:237–55.CrossRefPubMedGoogle Scholar
- 8.Kume T. Novel insights into the differential functions of notch ligands in vascular formation. J Angiogenes Res. 2009;1:8.CrossRefPubMedPubMedCentralGoogle Scholar
- 9.Lobov IB, Renard RA, Papadopoulos N, Gale NW, Thurston G, Yancopoulos GD, et al. Delta-like ligand 4 (Dll4) is induced by VEGF as a negative regulator of angiogenic sprouting. Proc Natl Acad Sci U S A. 2007;104:3219–24.CrossRefPubMedPubMedCentralGoogle Scholar
- 10.Tung JJ, Tattersall IW, Kitajewski J. Tips, stalks, tubes: notch-mediated cell fate determination and mechanisms of tubulogenesis during angiogenesis. Cold Spring Harb Perspect Med. 2012;2:a006601.CrossRefPubMedPubMedCentralGoogle Scholar
- 11.Bolos V, Grego-Bessa J, de la Pompa JL. Notch signaling in development and cancer. Endocr Rev. 2007;28:339–63.CrossRefPubMedGoogle Scholar
- 12.South AP, Cho RJ, Aster JC. The double-edged sword of Notch signaling in cancer. Semin Cell Dev Biol. 2012;23:458–64.CrossRefPubMedPubMedCentralGoogle Scholar
- 13.Thurston G, Noguera-Troise I, Yancopoulos GD. The delta paradox: Dll4 blockade leads to more tumour vessels but less tumour growth. Nat Rev Cancer. 2007;7:327–31.CrossRefPubMedGoogle Scholar
- 14.Stockhausen MT, Kristoffersen K, Poulsen HS. The functional role of notch signaling in human gliomas. Neuro-Oncology. 2010;12:199–211.CrossRefPubMedGoogle Scholar
- 15.Poellinger L, Lendahl U. Modulating Notch signaling by pathway-intrinsic and pathway-extrinsic mechanisms. Curr Opin Genet Dev. 2008;18:449–54.CrossRefPubMedGoogle Scholar
- 16.Kangsamaksin T, Murtomaki A, Kofler NM, Cuervo H, Chaudhri RA, Tattersall IW, et al. NOTCH decoys that selectively block DLL/NOTCH or JAG/NOTCH disrupt angiogenesis by unique mechanisms to inhibit tumor growth. Cancer Discov. 2015;5:182–97.CrossRefPubMedGoogle Scholar
- 17.Pedrosa AR, Trindade A, Fernandes AC, Carvalho C, Gigante J, Tavares AT, et al. Endothelial Jagged1 antagonizes Dll4 regulation of endothelial branching and promotes vascular maturation downstream of Dll4/Notch1. Arterioscler Thromb Vasc Biol. 2015;35:1134–46.CrossRefPubMedGoogle Scholar
- 18.Qiu XX, Chen L, Wang CH, Lin ZX, Zhou CF, Liu SY, et al. High delta-like ligand 4 (DLL4) is correlated with peritumoral brain edema and predicts poor prognosis in primary glioblastoma. Medicine. 2014;93:e57.CrossRefPubMedPubMedCentralGoogle Scholar
- 19.Li ZQ, Gong LL, Wen ZH, Wang J, Xu CS, Huang XD. Delta-like ligand 4 correlates with endothelial proliferation and vessel maturation in human malignant glioma. Onkologie. 2012;35:763–8.CrossRefPubMedGoogle Scholar
- 20.Jubb AM, Browning L, Campo L, Turley H, Steers G, Thurston G, et al. Expression of vascular Notch ligands Delta-like 4 and Jagged-1 in glioblastoma. Histopathology. 2012;60:740–7.CrossRefPubMedGoogle Scholar
- 21.Li Z, Wang J, Gong L, Wen Z, Xu C, Huang X. Correlation of Delta-like ligand 4 (DLL4) with VEGF and HIF-1alpha expression in human glioma. Asian Pac J Cancer Prev. 2011;12:215–8.PubMedGoogle Scholar
- 22.Cheung HC, Corley LJ, Fuller GN, McCutcheon IE, Cote GJ. Polypyrimidine tract binding protein and Notch1 are independently re-expressed in glioma. Mod Pathol. 2006;19:1034–41.PubMedGoogle Scholar
- 23.Dell’albani P, Rodolico M, Pellitteri R, Tricarichi E, Torrisi SA, D’Antoni S, et al. Differential patterns of NOTCH1-4 receptor expression are markers of glioma cell differentiation. Neuro-Oncology. 2014;16:204–16.CrossRefPubMedGoogle Scholar
- 24.Li J, Cui Y, Gao G, Zhao Z, Zhang H, Wang X. Notch1 is an independent prognostic factor for patients with glioma. J Surg Oncol. 2011;103:813–7.CrossRefPubMedGoogle Scholar
- 25.Louis DN, Ohgaki H, Wiestler OD, Cavenee WK, Burger PC, Jouvet A, et al. The 2007 who classification of tumours of the central nervous system. Acta Neuropathol. 2007;114:97–109.CrossRefPubMedPubMedCentralGoogle Scholar
- 26.Piperi C, Samaras V, Levidou G, Kavantzas N, Boviatsis E, Petraki K, et al. Prognostic significance of IL-8-STAT-3 pathway in astrocytomas: correlation with IL-6, VEGF and microvessel morphometry. Cytokine. 2011;55:387–95.CrossRefPubMedGoogle Scholar
- 27.Weidner N. Current pathologic methods for measuring intratumoral microvessel density within breast carcinoma and other solid tumors. Breast Cancer Res Treat. 1995;36:169–80.CrossRefPubMedGoogle Scholar
- 28.Xu P, Qiu M, Zhang Z, Kang C, Jiang R, Jia Z, et al. The oncogenic roles of Notch1 in astrocytic gliomas in vitro and in vivo. J Neuro-Oncol. 2010;97:41–51.CrossRefGoogle Scholar
- 29.Purow BW, Haque RM, Noel MW, Su Q, Burdick MJ, Lee J, et al. Expression of Notch-1 and its ligands, Delta-like-1 and Jagged-1, is critical for glioma cell survival and proliferation. Cancer Res. 2005;65:2353–63.CrossRefPubMedGoogle Scholar
- 30.Chu J, Jeffries S, Norton JE, Capobianco AJ, Bresnick EH. Repression of activator protein-1-mediated transcriptional activation by the Notch-1 intracellular domain. J Biol Chem. 2002;277:7587–97.CrossRefPubMedGoogle Scholar
- 31.Albig AR, Becenti DJ, Roy TG, Schiemann WP. Microfibril-associate glycoprotein-2 (MAGP-2) promotes angiogenic cell sprouting by blocking notch signaling in endothelial cells. Microvasc Res. 2008;76:7–14.CrossRefPubMedPubMedCentralGoogle Scholar
- 32.Liu ZJ, Xiao M, Balint K, Soma A, Pinnix CC, Capobianco AJ, et al. Inhibition of endothelial cell proliferation by Notch1 signaling is mediated by repressing MAPK and PI3K/Akt pathways and requires MAML1. FASEB J. 2006;20:1009–11.CrossRefPubMedGoogle Scholar
- 33.Indulekha CL, Divya TS, Divya MS, Sanalkumar R, Rasheed VA, Dhanesh SB, et al. Hes-1 regulates the excitatory fate of neural progenitors through modulation of Tlx3 (HOX11L2) expression. Cell Mol Life Sci. 2012;69:611–27.CrossRefPubMedGoogle Scholar
- 34.Yao J, Zheng K, Li C, Liu H, Shan X. Interference of Notch1 inhibits the growth of glioma cancer cells by inducing cell autophagy and down-regulation of Notch1-Hes-1 signaling pathway. Med Oncol. 2015;32:610.PubMedGoogle Scholar
- 35.Benedito R, Roca C, Sorensen I, Adams S, Gossler A, Fruttiger M, et al. The notch ligands Dll4 and Jagged1 have opposing effects on angiogenesis. Cell. 2009;137:1124–35.CrossRefPubMedGoogle Scholar
- 36.Hellstrom M, Phng LK, Hofmann JJ, Wallgard E, Coultas L, Lindblom P, et al. Dll4 signalling through Notch1 regulates formation of tip cells during angiogenesis. Nature. 2007;445:776–80.CrossRefPubMedGoogle Scholar
- 37.Hernandez SL, Banerjee D, Garcia A, Kangsamaksin T, Cheng WY, Anastassiou D, et al. Notch and VEGF pathways play distinct but complementary roles in tumor angiogenesis. Vasc Cell. 2013;5:17.CrossRefPubMedPubMedCentralGoogle Scholar
- 38.Krebs LT, Xue Y, Norton CR, Shutter JR, Maguire M, Sundberg JP, et al. Notch signaling is essential for vascular morphogenesis in mice. Genes Dev. 2000;14:1343–52.PubMedPubMedCentralGoogle Scholar
- 39.Suchting S, Freitas C, le Noble F, Benedito R, Breant C, Duarte A, et al. The Notch ligand Delta-like 4 negatively regulates endothelial tip cell formation and vessel branching. Proc Natl Acad Sci U S A. 2007;104:3225–30.CrossRefPubMedPubMedCentralGoogle Scholar
- 40.Zhu TS, Costello MA, Talsma CE, Flack CG, Crowley JG, Hamm LL, et al. Endothelial cells create a stem cell niche in glioblastoma by providing notch ligands that nurture self-renewal of cancer stem-like cells. Cancer Res. 2011;71:6061–72.CrossRefPubMedPubMedCentralGoogle Scholar
- 41.Kenig S, Alonso MB, Mueller MM, Lah TT. Glioblastoma and endothelial cells cross-talk, mediated by SDF-1, enhances tumour invasion and endothelial proliferation by increasing expression of cathepsins B, S, and MMP-9. Cancer Lett. 2010;289:53–61.CrossRefPubMedGoogle Scholar
- 42.Cheng L, Huang Z, Zhou W, Wu Q, Donnola S, Liu JK, et al. Glioblastoma stem cells generate vascular pericytes to support vessel function and tumor growth. Cell. 2013;153:139–52.CrossRefPubMedPubMedCentralGoogle Scholar
- 43.Li JL, Sainson RC, Shi W, Leek R, Harrington LS, Preusser M, et al. Delta-like 4 Notch ligand regulates tumor angiogenesis, improves tumor vascular function, and promotes tumor growth in vivo. Cancer Res. 2007;67:11244–53.CrossRefPubMedGoogle Scholar
