Rupture signs on computed tomography, treatment, and outcome of abdominal aortic aneurysms
- 4.3k Downloads
- 12 Citations
Abstract
Objectives
Abdominal aortic aneurysm (AAA) rupture has a high mortality rate. Although the diagnosis of a ruptured AAA is usually straightforward, detection of impending rupture signs can be more challenging. Early diagnosis of impending AAA rupture can be lifesaving. Furthermore, differentiating between impending and complete rupture has important repercussions on patient management and prognosis. The purpose of this article is to classify and illustrate the entire spectrum of AAA rupture signs and to review current treatment options for ruptured AAAs.
Methods
Using medical illustrations supplemented with computed tomography (CT), this essay showcases the various signs of impending rupture and ruptured AAAs. Endovascular aneurysm repair (EVAR) and open surgical repair are also discussed as treatment options for ruptured AAAs.
Results
CT imaging findings of ruptured AAAs can be categorised according to location: intramural, luminal, and extraluminal. Intramural signs generally indicate impending AAA rupture, whereas luminal and extraluminal signs imply complete rupture. EVAR has emerged as an alternative and possibly less morbid method to treat ruptured AAAs.
Conclusions
AAA rupture occurs at the end of a continuum of growth and wall weakening. This review describes the CT imaging findings that may help identify impending rupture prior to complete rupture.
Teaching Points
-
AAA rupture occurs at the end of a continuum of growth and wall weakening.
-
Intramural imaging findings indicate impending AAA rupture.
-
Luminal and extraluminal imaging findings imply complete AAA rupture.
-
Some imaging findings are not specific to AAA ruptures and can be seen in other pathologies.
-
EVAR has emerged as an alternative and possibly less morbid method of treating ruptured AAAs.
Keywords
Abdominal aortic aneurysm (AAA) Ruptured aneurysm Computed tomography Endovascular aneurysm repair (EVAR) Vascular surgical proceduresIntroduction
Abdominal aortic aneurysm (AAA) is defined as a focal dilation of the aorta of more than 50 % of its expected diameter [2]. Found in 1 % of the population over the age of 50 [3], AAAs are responsible for 1 % of all deaths amongst Caucasian adults [4] and are the tenth leading cause of death in men over the age of 55 [5]. Risk factors include age, male gender, tobacco usage, family history, hypercholesterolaemia, and hypertension [6]. Aneurysms may progress in size as a result of gradual wall weakening [7], with rupture occurring at the end of the growth spectrum.
A ruptured AAA often leads to disastrous consequences, with 50 % of patients dying before reaching the hospital and another 40 to 50 % mortality rate for those who undergo surgery [6]. However, surgical treatment can be slightly delayed in haemodynamically stable patients who present with an impending AAA rupture. These patients still require urgent treatment, but can also benefit from preoperative imaging that optimises surgical planning and reduces mortality rates to those comparable to elective procedures (less than 5 %) [6, 8]. It is therefore crucial to recognise imaging signs of impending and complete AAA ruptures as proper identification of these rupture signs will have important repercussions on treatment promptness and prognosis.
Classification of signs of impending and complete aortic aneurysm rupture according to location: intramural, luminal, and extraluminal
| Location | Imaging findings | Complete rupture | Impending rupture |
|---|---|---|---|
| Intramural | Increased aneurysm size | − | + |
| Rapid enlargement rate | − | + | |
| Focal wall discontinuity | + | + | |
| Hyperattenuating crescent sign | − | + | |
| Thrombus fissuration | − | + | |
| Draped aorta sign | − | + | |
| Luminal | Aortoenteric fistula | + | − |
| Aortocaval fistula | + | − | |
| Extraluminal | Periaortic stranding | − | + |
| Contrast extravasation | + | − | |
| Retroperitoneal haematoma | + | − | |
| Intraperitoneal haematoma | + | − |
It must be added that an aneurysm about to rupture may not reveal any imaging findings. In addition, a painful AAA, in itself, may indicate impending rupture, even in the absence of CT imaging findings, and may justify urgent repair [6].
At our institution, computed tomography (CT) angiography using a multidetector scanner is the standard of practice for evaluating AAA. Unenhanced images are first acquired through the abdomen and pelvis. Then, a bolus-tracked CT angiography is performed using 80–120 ml of intravenous contrast agent at an injection rate of 5 ml/s. Parameters include 120 kV with auto-milliamperage, 0.50–0.75 mm collimation and 1 mm slice thickness, reconstructed every 0.9 mm. Delayed venous phase scanning performed 70–90 s after initial contrast injection can be helpful for confirmation of rupture and imaging of active contrast extravasation. Thin-slice acquisition allows for subsequent multiplanar and curved planar reformation, which are useful for planning emergency endovascular aneurysm repair (EVAR). The role of EVAR in ruptured aneurysms has been associated with lower morbidity even though this has not been confirmed in a randomised trial [9, 10].
Intramural signs
Increased aneurysm size
Aneurysm size is the most important predictive factor for AAA rupture [11, 12]. Following Laplace’s law, wall tension increases with vessel radius. Accordingly, rupture risk increases with size, with a 3-15 % risk per year for those with a 5–6 cm aneurysm, 10–20 % for 6–7 cm aneurysms, 20–40 % for 7–8 cm aneurysms, and 30–50 % for those with a diameter greater than 8 cm [13]. Rupture risk was shown to be substantially higher with larger AAAs, as reported in a series of patients refusing or unfit for elective repair [11].
Rapid enlargement rate
Rapid enlargement rate. a Axial enhanced CT and b 3D rendering image with a colour parametric map of a 71-year-old man shows a 5.4-cm AAA. c Axial enhanced CT and d 3D rendering image with a colour parametric map of the same patient performed a year later shows a 1 cm increase in diameter
Focal wall discontinuity
Focal wall discontinuity. a Illustration depicts a focal discontinuity (white arrow) of the calcified intima walls (C), indicating the AAA rupture site. b Axial unenhanced CT image of an asymptomatic 56-year-old man shows a 4.2 cm AAA with intact circumferential calcified walls. c Axial unenhanced CT image of the same patient who presented with severe lumbar pain 4 years later. The AAA now measures 5.7 cm, and a new 1 cm focal gap (white arrow) of the circumferential calcifications can be seen with periaortic fat infiltration near the rupture site (white arrowhead)
Hyperattenuating crescent sign
Hyperattenuating crescent sign. a Illustration demonstrates blood (black arrow) dissecting into a mural thrombus (T) from the aortic lumen (L). The resulting intramural haematoma (H) is crescent shaped. b Axial unenhanced CT of a 63-year-old man presenting with abdominal pain and a pulsating mass. A crescent (H) of higher attenuation than the aortic lumen (L) can be seen
Thrombus fissuration
Thrombus fissuration. a Illustration demonstrates blood (black arrow) dissecting from the aortic lumen (L) into a mural thrombus (T). The infiltrating blood is seen as linear fissurations (white arrows). b Axial and c coronal enhanced CT of a 64-year-old man shows linear infiltrations of contrast material (white arrows) within the hypodense mural thrombus. The patient underwent successful emergent AAA repair before complete rupture occurred
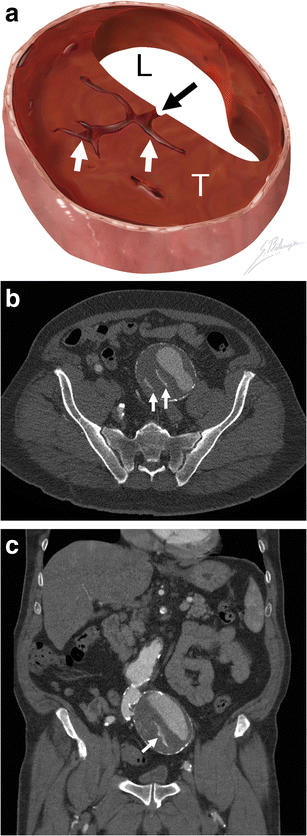
Draped aorta sign
Draped aorta sign. a Illustration depicts loss of normal aneurysm wall convexity. The posterior wall of the aorta moulds to the anterior surface of the vertebral body. b Axial enhanced CT of an 85-year-old man with abdominal pain. The posterior aortic wall follows the contour of the anterior portion of the vertebra, with loss of fat planes between the aneurysm and vertebra (white arrowheads). Discrete thrombus fissuration (white arrow) is also seen. These are both signs of impending AAA rupture
Luminal signs
Aortoenteric fistula
Aortoenteric fistula. a Illustration depicts a fistulous tract connecting a bowel loop to an aortic aneurysm. The white double-headed arrow shows communication between the structures allowing bowel gas to infiltrate into the aortic wall and blood to leak into the bowel lumen. b Sagittal enhanced CT image of a 73-year-old man demonstrates an aortoenteric fistula. Intraluminal gas (white arrow) is observed within the AAA, and normal fat planes between the aneurysm and the third portion of the duodenum are lost (white arrowhead). c Axial enhanced CT of an 82-year-old man who presented with massive lower gastrointestinal bleeding and a history of previously repaired AAA. Active contrast extravasation (white arrow) into the third portion of the duodenum (D) and the stomach (S) can be seen in this patient with an aortoenteric fistula
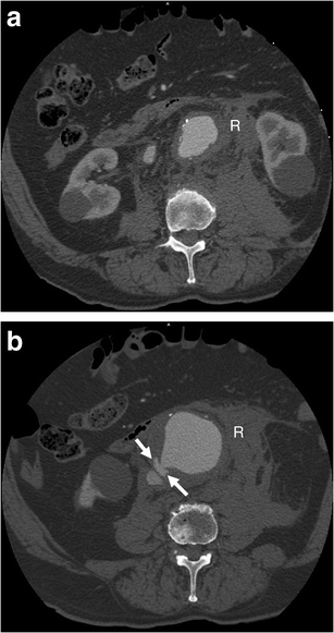
Aortocaval fistula
Aortocaval fistula. a Axial arterial phase enhanced CT shows simultaneous enhancement of the AAA and IVC in an 83-year-old man with AAA rupture and retroperitoneal haematoma (R). b Axial enhanced CT of the same patient at a lower level demonstrates active contrast extravasation (white arrows) from the aortic aneurysm to the IVC with loss of normal fat planes between the structures. Retroperitoneal haematoma (R) can also be seen
Extraluminal signs
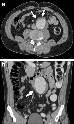
Periaortic stranding
Periaortic stranding. a Axial and b coronal enhanced CT of a 51-year-old man with abdominal pain shows stranding of periaortic fat (white arrows) before any retroperitoneal haematoma can be seen
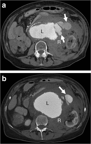
Contrast extravasation
Contrast extravasation. a-b Axial enhanced CT of a 75-year-old woman demonstrates active contrast extravasation (white arrows) from the aneurysm lumen (L) into the retroperitoneal space with massive retroperitoneal haematoma (R)
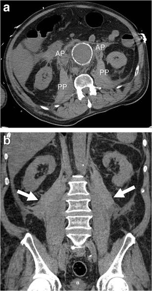
Retroperitoneal haematoma
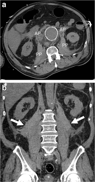
Retroperitoneal haematoma. a Axial unenhanced CT image of a 72-year-old man demonstrates haemorrhage involving bilateral anterior (AP) and posterior (PP) pararenal spaces as well as the area along the psoas muscles. The left kidney is displaced laterally. Attenuation of 45 HU (more than 30 HU) indicates acute haematoma. b Coronal unenhanced CT image of the same patient shows bilateral retroperitoneal haematomas (white arrows)
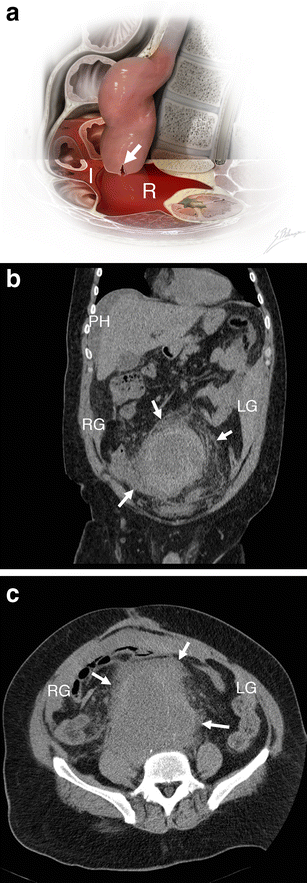
Intraperitoneal haematoma
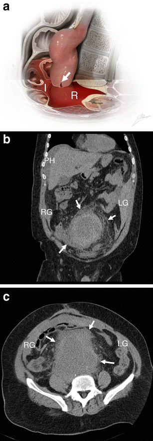
Intraperitoneal haematoma. a Illustration depicts AAA rupture of the left anterolateral wall (white arrow). Massive haemorrhage extends into both the retroperitoneal (R, shown as translucent red blood) and intraperitoneal (I, shown as more opaque blood) spaces. b Coronal unenhanced CT of a 51-year-old man demonstrates intraperitoneal haematoma involving the perihepatic space (PH), right (RG), and left (LG) paracolic gutters. Retroperitoneal haematoma (white arrows) is also seen. Attenuation of 60 HU indicates acute haemorrhage. c Axial unenhanced CT of the same patient shows right (RG) and left (LG) paracolic gutters, as well as retroperitoneal haematoma (white arrows)
Differential diagnosis
Some of the previously mentioned signs are not entirely specific to impending or complete AAA rupture and can be seen in other pathologies.
Intra- and extraluminal gas seen with aortoenteric fistulas can also be found in infected (mycotic) aneurysms. Such aneurysms often have a more saccular shape and irregular walls that are devoid of calcifications [5]. Occasionally, signs of primary infection sites such as vertebral osteomyelitis, pyelonephritis, or retroperitoneal abscesses may provide clues to the proper diagnosis. Clinically, these patients do not present with gastrointestinal bleeding.
Periaortic stranding can also be seen in inflammatory aneurysms, associated with autoimmune diseases (lupus, rheumatoid arthritis, giant cell arteritis) and retroperitoneal fibrosis [31]. In such cases, the aortic wall is thickened from long standing inflammation. This thickening is outside the intimal calcifications, may enhance with intravenous contrast injection, and frequently has more defined margins than periaortic haematomas. Periaortic fibrosis can extend to adjacent organs, such as the small bowel and ureters [5]. Malignancy, drug toxicity, retroperitroneal injury, and infection are also associated with retroperitoneal fibrosis and need to be included in the differential diagnosis of periaortic fibrosis [32].
Retroperitoneal haematoma can be the result of haemorrhage secondary to anticoagulation. Such haematomas are often restricted to the posterior pararenal compartment, typically intramuscular within the psoas muscle, or at a distance from the abdominal aorta. A “haematocrit effect” may also be seen as a blood-fluid level [33]. Rarely, haematomas secondary to other vascular injuries in the retroperitoneum, such as rupture of smaller lumbar, renal capsular, or inferior pancreaticoduodenal arteries or pseudoaneurysms, can mimic AAA rupture. Analysing the images for other such vascular anomalies, relating the arterial vascular anomalies to the anatomical site of the haematoma, and correlating these to the clinical and previous surgical history can help distinguish AAA rupture from other arterial branch ruptures.
Management
AAA rupture represents a major surgical emergency that requires prompt intervention. However, an estimated 87.5 % of patients admitted to the hospital with a ruptured AAA survived longer than 2 h after their admission [34]. Furthermore, the median time interval between admission and death from AAA rupture was 10.5 h [34]. This suggests that most patients with ruptured AAAs who reach the hospital alive are haemodynamically stable enough to undergo preoperative imaging. CT angiography permits confirmation of AAA rupture and evaluation of AAA anatomy while intravenous fluid resuscitation is initiated [34]. Pre-interventional imaging also allows assessing the eligibility for an endovascular repair.
It has been reported that aneurysm repair can be slightly delayed in haemodynamically stable patients who present with symptomatic AAA without signs of complete rupture [6, 35, 36]. Urgent treatment is still warranted in these patients, who should receive proper preoperative management and aneurysm repair within 4 to 24 h of admission [6, 36]. Such management optimises preoperative conditions and reduces mortality rates to those comparable to elective procedures (less than 5 %) [6, 35, 36]. Nevertheless, in haemodynamically unstable patients with acute and complete AAA rupture, emergent and immediate treatment is mandatory.
Open surgical repair. a Axial and b coronal unenhanced CT image of a 73-year-old man demonstrates ruptured AAA with a retroperitoneal haematoma (R). c Sagittal enhanced CT image of the same patient after successful open surgical repair shows the junction between the native aorta and aortic graft (white arrow) and a surgical clip (black arrow)
Endovascular aneurysm repair. a Coronal enhanced CT image of an 85-year-old man presenting with an impending AAA rupture (same as Fig. 5) demonstrates a large AAA (white arrow) with a long proximal neck (white arrowheads). b Fluoroscopy image, c axial, and d 3D rendering of the same patient show a deployed aorto-biiliac stent-graft (white arrows)
| Anatomic inclusion criteria |
|---|
| Proximal neck length more than 10 to 15 mm |
| Proximal neck diameter less than 32 mm |
| Iliac neck diameters less than 5 mm |
| Neck angulation less than 60 to 90° |
| Mural thrombus and calcification occupying less than 50 % of the aortic circumference |
Refinement in technological equipment has allowed more flexible inclusion criteria. For example, with the use of intra-aortic balloon occlusion of the supra-renal aorta, EVAR has become available to even haemodynamically unstable patients [49]. The arrival of fenestrated stent-grafts allowed deployment of the stent-graft with coverage of the renal and superior mesenteric arteries even in patients with short proximal AAA necks, without inducing ischaemia in these aortic branch territories, and thereby expanding anatomical suitability for EVAR [50].
Unfortunately, because of differences in interventional experience levels amongst physicians, anatomical inclusion criteria for EVAR still vary widely amongst medical centres, with eligibility rates ranging from 34 to 100 % [51]. Most studies, however, report eligibility rates over 50 % [52, 53, 54, 55].
Outcome
A ruptured AAA often leads to disastrous consequences, with an up to 90 % mortality rate [56, 57]. Over half of the patients do not reach the hospital alive [37, 58]. Even for those who are able to undergo open surgical repair, the mortality rate remains higher than 40 % [51, 52, 53].
The arrival of EVAR for ruptured AAA has been associated with lower mortality and morbidity, reduction in blood loss, transfusion requirements, and hospital stay [59, 60, 61]. Short-term mortality rates vary from 11 to 45 % in the literature, with most studies reporting a perioperative mortality rate around 20 % [62, 63, 64]. Even in patients with haemodynamic instability, the mortality rate with EVAR has been seen to be as low as 18 % [49, 58, 63]. A study led by Bosch et al. found a reduction in the 6-month mortality rate of EVAR over open surgery by 26.5 % [48].
Such lower mortality and morbidity may be due to the use of local, as opposed to general, anaesthesia, the lower amount of blood loss, the minimally invasive nature of EVAR, and fewer extra-aortic injuries associated with open surgery [6, 49, 51].
Despite improvements in perioperative mortality rates, no studies have shown a long-term reduction in survival rates with EVAR over open surgery [65, 66, 67]. Also, an irrefutable reduction in mortality rates has not been confirmed in randomised control studies [9, 10, 44].
Finally, EVAR is associated with endoleaks, which are the most frequent long-term complications and may end up causing aneurysm rupture. CT imaging at 1 and 12 months after the initial intervention, followed by annual controls, is therefore recommended for early detection and prevention of complications, such as endoleaks [6]. If an endoleak is observed on follow-up imaging, it needs to be carefully analysed to determine its origin. Types I (sealing zone endoleak) and III (graft failure endoleak) need to be immediately addressed as they should be considered the equivalent of an untreated AAA [42]. Type II endoleaks (retrograde flow from a covered aortic branch) are the most commonly encountered endoleaks [42]. If a type II endoleak is detected, a 6-month follow-up CT is recommended [6], and re-intervention should be considered if there is progression of the aneurysm diameter. Finally, if a type V endoleak is suspected (endotension; progression of the AAA diameter with no detectable endoleak on a dual-phase CT), it should be closely followed with imaging and possibly referred for surgical conversion.
Conclusion
AAA rupture occurs at the end of a continuum of growth and wall weakening. Although ruptured AAAs are easily diagnosed, identifying impending rupture signs can be more challenging. This review describes the CT imaging findings that may help identify impending rupture prior to complete rupture, which has important consequences on treatment and prognosis. Knowledge of alternative causes of retroperitoneal stranding and haemorrhage may also facilitate the diagnosis. EVAR has emerged as an alternative and possibly less morbid method of treating ruptured AAAs over conventional open surgical repair.
Notes
Sources of support that require acknowledgement
Many of the figures, illustrations, and 3D rendering images were obtained through a project entitled “Morphologic Evaluation of Ruptured Abdominal Aortic Aneurysm by 3D Modeling”, which was funded by the following organisations:
Dr. An Tang was supported by the Centre de recherche du Centre Hospitalier de l’Université de Montréal (CRCHUM), the Fonds de recherche du Québec en Santé, and the Fondation de l’Association des Radiologistes du Québec (FRQS-ARQ #26993).
Dr. Gilles Soulez was supported by the Ministère du Développement Économique et Industriel (MDEIE), the Instituts de Recherche en Santé du Canada et Siemens Medical (IRSC-SME grant: ISO-93328), and the Fonds Recherche Québec-Santé (FRQS# 20241).
We would also like to thank Claude Kauffmann for the 3D rendering images and Sylvain Bélanger for the medical illustrations.
References
- 1.Vu KN, Kaitoukov Y, Morin-Roy F et al (2014) Abdominal aortic aneurysms: rupture signs on computed tomography. Electronic exhibit at the ECR 2014. 20th annual meeting of the European Society of Radiology; Vienna, Austria. doi: 10.1594/ecr2014/C-0789
- 2.Johnston KW, Rutherford RB, Tilson MD, Shah DM, Hollier L, Stanley JC (1991) Suggested standards for reporting on arterial aneurysms. Subcommittee on Reporting Standards for Arterial Aneurysms, Ad Hoc Committee on Reporting Standards, Society for Vascular Surgery and North American Chapter, International Society for Cardiovascular Surgery. J Vasc Surg 13:452–458PubMedCrossRefGoogle Scholar
- 3.Bengtsson H, Sonesson B, Bergqvist D (1996) Incidence and prevalence of abdominal aortic aneurysms, estimated by necropsy studies and population screening by ultrasound. Ann N Y Acad Sci 800:1–24PubMedCrossRefGoogle Scholar
- 4.Singh K, Bonaa KH, Jacobsen BK, Bjork L, Solberg S (2001) Prevalence of and risk factors for abdominal aortic aneurysms in a population-based study: the Tromso Study. Am J Epidemiol 154:236–244PubMedCrossRefGoogle Scholar
- 5.Bhalla S, Menias CO, Heiken JP (2003) CT of acute abdominal aortic disorders. Radiol Clin North Am 41:1153–1169PubMedCrossRefGoogle Scholar
- 6.Chaikof EL, Brewster DC, Dalman RL et al (2009) The care of patients with an abdominal aortic aneurysm: the Society for Vascular Surgery practice guidelines. J Vasc Surg 50:S2–49PubMedCrossRefGoogle Scholar
- 7.Arita T, Matsunaga N, Takano K et al (1997) Abdominal aortic aneurysm: rupture associated with the high-attenuating crescent sign. Radiology 204:765–768PubMedCrossRefGoogle Scholar
- 8.Apter S, Rimon U, Konen E et al (2008) Sealed rupture of abdominal aortic aneurysms: CT features in 6 patients and a review of the literature. Abdom Imaging 35:99–105PubMedCrossRefGoogle Scholar
- 9.Mayer D, Aeschbacher S, Pfammatter T et al (2012) Complete replacement of open repair for ruptured abdominal aortic aneurysms by endovascular aneurysm repair: a two-center 14-year experience. Ann Surg 256:688–695PubMedCrossRefGoogle Scholar
- 10.Reimerink JJ, Hoornweg LL, Vahl AC et al (2013) Endovascular repair versus open repair of ruptured abdominal aortic aneurysms: a multicenter randomized controlled trial. Ann Surg 258:248–256PubMedCrossRefGoogle Scholar
- 11.Lederle FA, Johnson GR, Wilson SE et al (2002) Rupture rate of large abdominal aortic aneurysms in patients refusing or unfit for elective repair. JAMA 287:2968–2972PubMedCrossRefGoogle Scholar
- 12.Hans SS, Jareunpoon O, Balasubramaniam M, Zelenock GB (2005) Size and location of thrombus in intact and ruptured abdominal aortic aneurysms. J Vasc Surg 41:584–588PubMedCrossRefGoogle Scholar
- 13.Brewster DC, Cronenwett JL, Hallett JW Jr, Johnston KW, Krupski WC, Matsumura JS (2003) Guidelines for the treatment of abdominal aortic aneurysms. Report of a subcommittee of the Joint Council of the American Association for Vascular Surgery and Society for Vascular Surgery. J Vasc Surg 37:1106–1117PubMedCrossRefGoogle Scholar
- 14.Limet R, Sakalihassan N, Albert A (1991) Determination of the expansion rate and incidence of rupture of abdominal aortic aneurysms. J Vasc Surg 14:540–548PubMedCrossRefGoogle Scholar
- 15.Simoni G, Beghello A, Buscaglia M, Ermirio D, Caprio J (2002) Growth rate of abdominal aortic aneurysms. Ultrasounds study and clinical outcome. Minerva Cardioangiol 50:371–377PubMedGoogle Scholar
- 16.Collaborators R, Bown MJ, Sweeting MJ, Brown LC, Powell JT, Thompson SG (2013) Surveillance intervals for small abdominal aortic aneurysms: a meta-analysis. JAMA 309:806–813CrossRefGoogle Scholar
- 17.Lindholt JS, Heegaard NHH, Vammen S, Fasting H, Henneberg EW, Heickendorff L (2001) Smoking, but not lipids, lipoprotein (a) and antibodies against oxidised LDL, is correlated to the expansion of abdominal aortic aneurysms. Eur J Vasc Endovasc Surg 21:51–56PubMedCrossRefGoogle Scholar
- 18.Fillinger MF, Racusin J, Baker RK et al (2004) Anatomic characteristics of ruptured abdominal aortic aneurysm on conventional CT scans: Implications for rupture risk. J Vasc Surg 39:1243–1252PubMedCrossRefGoogle Scholar
- 19.Siegel CL, Cohan RH, Korobkin M, Alpern MB, Courneya DL, Lederı RA (1994) Abdominal aortic aneurysm morphology: CT features in patients with ruptured and nonruptured aneurysms. AJR Am J Roentgenol 163:1123–1129PubMedCrossRefGoogle Scholar
- 20.Hunter GC, Leong SC, Yu GSM, McIntyre KE, Bernhard VM (1989) Aortic blebs: possible site of aneurysm rupture. J Vasc Surg 10:93–99PubMedCrossRefGoogle Scholar
- 21.Roy J, Labruto F, Beckman MO, Danielson J, Johansson G, Swedenborg J (2008) Bleeding into the intraluminal thrombus in abdominal aortic aneurysms is associated with rupture. J Vasc Surg 48:1108–1113PubMedCrossRefGoogle Scholar
- 22.Pillari G, Chang JB, Zito J et al (1988) Computed tomography of abdominal aortic aneurysm. An in vivo pathological report with a note on dynamic predictors. Arch Surg 123:727–732PubMedCrossRefGoogle Scholar
- 23.Schwartz SA, Taljanovic MS, Smyth S, O’Brien MJ, Rogers LF (2007) CT findings of rupture, impending rupture, and contained rupture of abdominal aortic aneurysms. AJR Am J Roentgenol 188:W57–62PubMedCrossRefGoogle Scholar
- 24.Mehard WB, Heiken JP, Sicard GA (1994) High-attenuating crescent in abdominal aortic aneurysm wall at CT: a sign of acute or impending rupture. Radiology 192:359–362PubMedCrossRefGoogle Scholar
- 25.Polzer S, Gasser TC, Swedenborg J, Bursa J (2011) The impact of intraluminal thrombus failure on the mechanical stress in the wall of abdominal aortic aneurysms. Eur J Vasc Endovasc Surg 41:467–473PubMedCrossRefGoogle Scholar
- 26.Orton DF, LeVeen RF, Saigh JA et al (2000) Aortic prosthetic graft infections: radiologic manifestations and implications for management. Radiographics 20:977–993PubMedCrossRefGoogle Scholar
- 27.Fenster MS, Dent JM, Tribble C et al (1996) Aortocaval fistula complicating abdominal aortic aneurysm: case report and literature review. Cathet Cardiovasc Diagn 38:75–79PubMedCrossRefGoogle Scholar
- 28.Coulier B, Tilquin O, Etienne P-Y (2004) Multidetector row CT diagnosis of aortocaval fistula complicating aortic aneurysm: a case report. Emerg Radiol 11:100–103PubMedCrossRefGoogle Scholar
- 29.Thornton E, Mendiratta-Lala M, Siewert B, Eisenberg RL (2011) Patterns of fat stranding. AJR Am J Roentgenol 197:W1–W14PubMedCrossRefGoogle Scholar
- 30.Ando M, Igari T, Yokoyama H, Satokawa H (2003) CT features of chronic contained rupture of an abdominal aortic aneurysm. Ann Thorac Cardiovasc Surg 9:274–278PubMedGoogle Scholar
- 31.Haug ES, Skomsvoll JF, Jacobsen G, Halvorsen TB, Sæther OD, Myhre HO (2003) Inflammatory aortic aneurysm is associated with increased incidence of autoimmune disease. J Vasc Surg 38:492–497PubMedCrossRefGoogle Scholar
- 32.Vaglio A, Salvarani C, Buzio C (2006) Retroperitoneal fibrosis. Lancet 367:241–251PubMedCrossRefGoogle Scholar
- 33.Federle MP, Pan KT, Pealer KM (2007) CT criteria for differentiating abdominal hemorrhage: anticoagulation or aortic aneurysm rupture? AJR Am J Roentgenol 188:1324–1330PubMedCrossRefGoogle Scholar
- 34.Lloyd GM, Bown MJ, Norwood MG et al (2004) Feasibility of preoperative computer tomography in patients with ruptured abdominal aortic aneurysm: a time-to-death study in patients without operation. J Vasc Surg 39:788–791PubMedCrossRefGoogle Scholar
- 35.Jones C, Reilly M, Dalsing M, Glover J (1986) Chronic contained rupture of abdominal aortic aneurysms. Arch Surg 121:542–546PubMedCrossRefGoogle Scholar
- 36.Cambria R, Gloviczki P, Stanson A et al (1994) Symptomatic, nonruptured abdominal aortic aneurysms: are emergent operations necessary? Ann Vasc Surg 8:121–126PubMedCrossRefGoogle Scholar
- 37.Bengtsson H, Bergqvist D (1993) Ruptured abdominal aortic aneurysm: a population-based study. J Vasc Surg 18:74–80PubMedCrossRefGoogle Scholar
- 38.Visser P, Akkersdijk G, Blankensteijn J (2005) In-hospital operative mortality of ruptured abdominal aortic aneurysm: a population-based analysis of 5593 patients in The Netherlands over a 10-year period. Eur J Vasc Endovasc Surg 30:359–364PubMedCrossRefGoogle Scholar
- 39.Bown M, Sutton A, Bell P, Sayers R (2002) A meta-analysis of 50 years of ruptured abdominal aortic aneurysm repair. Br J Surg 89:714–730PubMedCrossRefGoogle Scholar
- 40.Heller J, Weinberg A, Arons R et al (2000) Two decades of abdominal aortic aneurysm repair: have we made any progress? J Vasc Surg 32:1091–1100PubMedCrossRefGoogle Scholar
- 41.Volodos NL, Shekhanin VE, Karpovich IP, Troian VI, Gur’ev Iu A (1986) A self-fixing synthetic blood vessel endoprosthesis. Vestn Khir Im I I Grek 137:123–125PubMedGoogle Scholar
- 42.Iezzi R, Santoro M, Dattesi R et al (2012) Multi-detector CT angiographic imaging in the follow-up of patients after endovascular abdominal aortic aneurysm repair (EVAR). Insights Imaging 3:313–321PubMedPubMedCentralCrossRefGoogle Scholar
- 43.Yusuf SW, Whitaker SC, Chuter TA, Wenham PW, Hopkinson BR (1994) Emergency endovascular repair of leaking aortic aneurysm. Lancet 344:1645PubMedCrossRefGoogle Scholar
- 44.Hinchliffe RJ, Bruijstens L, MacSweeney ST, Braithwaite BD (2006) A randomised trial of endovascular and open surgery for ruptured abdominal aortic aneurysm—results of a pilot study and lessons learned for future studies. Eur J Vasc Endovasc Surg 32:506–513PubMedCrossRefGoogle Scholar
- 45.Iezzi R, Cotroneo AR (2006) Endovascular repair of abdominal aortic aneurysms: CTA evaluation of contraindications. Abdom Imaging 31:722–731PubMedCrossRefGoogle Scholar
- 46.Richards T, Goode SD, Hinchliffe R, Altaf N, Macsweeney S, Braithwaite B (2009) The importance of anatomical suitability and fitness for the outcome of endovascular repair of ruptured abdominal aortic aneurysm. Eur J Vasc Endovasc Surg 38:285–290PubMedCrossRefGoogle Scholar
- 47.Slater B, Harris E, Lee J (2008) Anatomic suitability of ruptured abdominal aortic aneurysms for endovascular repair. Ann Vasc Surg 22:716–722PubMedCrossRefGoogle Scholar
- 48.Ten Bosch J, Teijink J, Willigendael E, Prins M (2010) Endovascular aneurysm repair is superior to open surgery for ruptured abdominal aortic aneurysms in EVAR-suitable patients. J Vasc Surg 52:13–18PubMedCrossRefGoogle Scholar
- 49.Mehta M (2010) Endovascular aneurysm repair for ruptured abdominal aortic aneurysm: the Albany Vascular Group approach. J Vasc Surg 52:1706–1712PubMedCrossRefGoogle Scholar
- 50.Cross J, Gurusamy K, Gadhvi V et al (2012) Fenestrated endovascular aneurysm repair. Br J Surg 99:152–159PubMedCrossRefGoogle Scholar
- 51.Harkin D, Dillon M, Blair P, Ellis P, Kee F (2007) Endovascular ruptured abdominal aortic aneurysm repair (EVRAR): a systematic review. Eur J Vasc Endovasc Surg 34:673–681PubMedCrossRefGoogle Scholar
- 52.Hoornweg LL, Wisselink W, Vahl A, Balm R (2007) The Amsterdam Acute Aneurysm Trial: suitability and application rate for endovascular repair of ruptured abdominal aortic aneurysms. Eur J Vasc Endovasc Surg 33:679–683PubMedCrossRefGoogle Scholar
- 53.Mastracci T, Garrido-Olivares L, Cinà C, Clase C (2008) Endovascular repair of ruptured abdominal aortic aneurysms: a systematic review and meta-analysis. J Vasc Surg 47:214–221PubMedCrossRefGoogle Scholar
- 54.Peppelenbosch N, Yilmaz N, van Marrewijk C et al (2003) Emergency treatment of acute symptomatic or ruptured abdominal aortic aneurysm. Outcome of a prospective intent-to-treat by EVAR protocol. Eur J Vasc Endovasc Surg 26:303–310PubMedCrossRefGoogle Scholar
- 55.Hassen-Khodja R, Jean-Baptiste E, Haudebourg P, Declemy S, Batt M, Bouillanne P (2007) Endovascular repair of ruptured aneurysms of the infrarenal abdominal aorta: feasibility and results. J Cardiovasc Surg (Torino) 48:491–495Google Scholar
- 56.Patel MI, Hardman DT, Fisher CM, Appleberg M (1995) Current views on the pathogenesis of abdominal aortic aneurysms. J Am Coll Surg 181:371–382PubMedGoogle Scholar
- 57.Vorp DA, Vande Geest JP (2005) Biomechanical determinants of abdominal aortic aneurysm rupture. Arterioscler Thromb Vasc Biol 25:1558–1566PubMedCrossRefGoogle Scholar
- 58.Starnes B, Quiroga E, Hutter C et al (2010) Management of ruptured abdominal aortic aneurysm in the endovascular era. J Vasc Surg 51:9–17PubMedCrossRefGoogle Scholar
- 59.Sadat U, Hayes PD, Gaunt ME, Varty K, Boyle JR (2008) Assessment of pre-operative delays in the management of elective abdominal aortic aneurysms. Ann R Coll Surg Engl 90:65–68PubMedPubMedCentralCrossRefGoogle Scholar
- 60.Sadat U, Boyle JR, Walsh SR, Tang T, Varty K, Hayes PD (2008) Endovascular vs open repair of acute abdominal aortic aneurysms—a systematic review and meta-analysis. J Vasc Surg 48:227–236PubMedCrossRefGoogle Scholar
- 61.Mayer D, Pfammatter T, Rancic Z et al (2009) 10 years of emergency endovascular aneurysm repair for ruptured abdominal aortoiliac aneurysms: lessons learned. Ann Surg 249:510–515PubMedCrossRefGoogle Scholar
- 62.Dalainas I, Nano G, Bianchi P et al (2006) Endovascular techniques for the treatment of ruptured abdominal aortic aneurysms: 7-year intention-to-treat results. World J Surg 30:1809–1814PubMedCrossRefGoogle Scholar
- 63.Veith F, Gargiulo N (2007) Endovascular aortic repair should be the gold standard for ruptured AAAs, and all vascular surgeons should be prepared to perform them. Perspect Vasc Surg Endovasc Ther 19:275–282PubMedCrossRefGoogle Scholar
- 64.Rayt H, Sutton A, London N, Sayers R, Bown M (2008) A systematic review and meta-analysis of endovascular repair (EVAR) for ruptured abdominal aortic aneurysm. Eur J Vasc Endovasc Surg 36:536–544PubMedCrossRefGoogle Scholar
- 65.Becquemin JP, Pillet JC, Lescalie F et al (2011) A randomized controlled trial of endovascular aneurysm repair versus open surgery for abdominal aortic aneurysms in low- to moderate-risk patients. J Vasc Surg 53:1167–1173PubMedCrossRefGoogle Scholar
- 66.De Bruin JL, Baas AF, Buth J et al (2010) Long-term outcome of open or endovascular repair of abdominal aortic aneurysm. N Engl J Med 362:1881–1889PubMedCrossRefGoogle Scholar
- 67.Greenhalgh RM, Brown LC, Powell JT, Thompson SG, Epstein D, Sculpher MJ (2010) Endovascular versus open repair of abdominal aortic aneurysm. N Engl J Med 362:1863–1871PubMedCrossRefGoogle Scholar
Copyright information
Open Access This article is distributed under the terms of the Creative Commons Attribution License which permits any use, distribution, and reproduction in any medium, provided the original author(s) and the source are credited.












