MDCT of acute subaxial cervical spine trauma: a mechanism-based approach
- 2.7k Downloads
- 7 Citations
Abstract
Injuries to the spinal column are common and road traffic accidents are the commonest cause. Subaxial cervical spine (C3–C7) trauma encompasses a wide spectrum of osseous and ligamentous injuries, in addition to being frequently associated with neurological injury. Multidetector computed tomography (MDCT) is routinely performed to evaluate acute cervical spine trauma, very often as first-line imaging. MDCT provides an insight into the injury morphology, which in turn reflects the mechanics of injury. This article will review the fundamental biomechanical forces underlying the common subaxial spine injuries and resultant injury patterns or “fingerprints” on MDCT. This systematic and focused analysis enables a more accurate and rapid interpretation of cervical spine CT examinations. Mechanical considerations are important in most clinical and surgical decisions to adequately realign the spine, to prevent neurological deterioration and to facilitate appropriate stabilisation. This review will emphasise the variables on CT that affect the surgical management, as well as imaging “pearls” in differentiating “look-alike” lesions with different surgical implications. It will also enable the radiologist in writing clinically relevant CT reports of cervical spine trauma.
Teaching Points
• Vertebral bodies and disc bear the axial compression forces, while the ligaments bear the distraction forces.
• Compressive forces result in fracture and distractive forces result in ligamentous disruption.
• Bilateral facet dislocation is the most severe injury of the flexion-distraction spectrum.
• Biomechanics-based CT reading will help to rapidly and accurately identify the entire spectrum of injury.
• This approach also helps to differentiate look-alike injuries with different clinical implications.
Keywords
Biomechanics Multidetector computed tomography Cervical vertebrae Cervical spine injury Spinal cord injuryIntroduction
Injuries to the spinal column are frequently seen in clinical practice. The commonest cause of these injuries is road traffic accidents [1]. Falls, assault, penetrating and sports injuries form the remaining causes of spinal injury. The prevalence is likely to be significantly higher in patients with head trauma and those who are unconscious at presentation [2, 3]. The subaxial cervical spine (C3–C7) is particularly vulnerable to traumatic injury due to its considerable mobility and its close proximity to the more rigid thoracic spine. This region accounts for about 65 % of fractures and more than 75 % of all dislocations in the spine, with fractures occurring most often at C6 and C7, and dislocations occurring most frequently between C5–C6 and C6–C7 vertebrae [1, 2, 3]. Injuries of the subaxial cervical spine occur along a wide spectrum of severity, from minor soft tissue “strains” to disastrous fracture dislocations with extensive spinal cord mutilation.
MDCT has gained widespread acceptance in the evaluation of spine trauma and many centres use MDCT as the initial and definite imaging modality in cervical spine trauma [4]. MDCT offers volume imaging with isotropic reconstruction, and provides quick and efficient imaging. In a polytrauma case, a single data acquisition can generate a spine dataset, visceral dataset and limb trauma data as indicated [5, 6, 7].
At our institution, cervical spine CT in trauma is performed with a 64-detector CT scanner with a 0.625-mm detector configuration from clivus to T3. The isotropic dataset is used to generate multiplanar reformats and 3D reconstruction. Two-millimetre axial, coronal and sagittal reformats are generated in both soft tissue and bone algorithms. CT angiography for assessment of the vertebral artery is performed when vertebral artery injury is suspected.
Cervical spine injuries occur in a specific and predictable pattern that is generally dependent on the mechanism of injury. The pattern may be easily recognised on imaging studies, referred to as the “fingerprints” of the injury— a concept popularised by Daffner et al. [8, 9, 10, 11]. Considering the injury mechanism and understanding the patho-anatomy are important for the surgical decision-making process. Mechanism-based image interpretation of the cervical spine will use the easily detected lesions like fracture and dislocation to predict subtle but important abnormalities, which can potentially be missed.
In this article we review the fundamental traumatic forces that cause subaxial cervical spine injuries and illustrate their associated MDCT findings. Subsequently, we apply this knowledge to the analysis of cervical spine CT images and show how an understanding of the injury mechanisms can lead to the diagnosis of subtle but important abnormalities.
Structural and functional anatomy of subaxial cervical spine
Typical cervical vertebra anatomy. Vertebral body (B) is anteriorly located (red)—cylindrical in shape, pedicles (P) are directed posterolaterally (green), laminae (L) are directed posteromedially (purple) and give rise to spinous process (S) with bifid tip (light yellow). Vertebral canal is triangular. Transverse processes contain vertebral foramen (F) and vertebral artery passes through it. Lateral masses are seen at the junction of pedicle and lamina—contains the articular facet at the superior (Sa, orange) and inferior aspect. Uncinate process (U) arises from the posterolateral corner of the vertebral body’s superior surface (blue)
Colour-coded schematic shows disco-ligamentous complex and spinal motion segment. a Spinal motion segment consists of two adjacent vertebrae connected together by the joints and ligaments. Ligamentous restrainers from anterior to posterior include: anterior longitudinal ligament (ALL), intervertebral disc, posterior longitudinal ligament (PLL), ligamentum flava (LF), interspinous (IS) and supraspinous (SS) ligaments. Intervertebral disc, facet and uncovertebral joints stabilise the motion segment. b Axial CT image shows the stabilising ligaments, ALL and PLL, the facet and the uncovertebral joints. Uncinate processes (black arrows) are in symmetrical, concentric relationship at the posterolateral aspect of the cranial vertebra. The facet joint on axial image resembles a “hamburger bun” with the flat surface articulating
The “two vertical column” concept of spine biomechanics and stability. In the two-column concept, the anterior column constitutes the ALL, vertebral body, intervertebral disc and PLL. The posterior column constitutes bony neural arch and posterior ligamentous complex (PLC). Load bearing anterior column resists compression forces. The posterior ligamentous complex including facet joints forms the principle tension band and resists distraction forces
Biomechanics: basic concepts for radiologists
Most of the severe cervical spine injuries result from direct contact from head impact. Non-contact injuries to the neck are commonly referred to as whiplash injuries and result from unrestrained neck motion during a motor vehicle collision. Within a given injury mechanism, there is a spectrum of injury, a phylogeny, which ranges from trivial to severe [19]. Mechanical subclasses are possible depending on the instant centre of rotation (fulcrum) at the moment of impact. Similar forces will result in different types of injury depending upon the fulcrum, which in turn is determined by the position of the head and neck at the time of impact.
Schematic shows major injury vectors and forces with their impacts on the vertebral column. Flexion injury results from supraphysiological forward bending and extension injury results from backward banding. Compression forces approximate the bones, while distraction dissociates the bones. Shear forces are applied at a right angle to the long axis of spine and produces significant bony and ligamentous disruption
Systematic review of MDCT of cervical spine in trauma—“checklist”
Cervical spine trauma CT interpretation: checklist
| Anterior column | Posterior column | |
|---|---|---|
| Bone | Vertebral body: | Neural arch: |
| Normal—preserved height without wedging, smooth cortices without step Abnormal—fracture Further description—comminution, Involvement of posterior cortex of vertebral body, retropulsion of fragments | Normal—intact without fracture Abnormal—fracture Further description: comminution, Orientation of fracture line—vertical vs horizontal; unilateral vs bilateral; symmetrical vs asymmetrical; isolated posterior elements or associated with anterior column fractures | |
| Joints | Intervertebral disc: | Facet joint: |
| Normal—symmetrical disc space without focal widening or narrowing Abnormal—focal anterior or posterior widening or asymmetry in coronal plane | Normal—congruent, parallel and symmetrical Abnormal—diastasis, subluxation, dislocation; focal anterior vs posterior widening Further description—unilateral vs bilateral Associated articular process fracture | |
| Ligaments | ALL/PLL: | PLC: |
| Normal integrity inferred from alignment of anterior posterior vertebral lines Abnormal—anterior vs posterior translation. Triangular avulsion at the corners of vertebral end plates | Normal- Integrity inferred from the normal alignment, interspinous distance and facet joint morphology Abnormal—Anterolisthesis, focal kyphosis, interspinous widening and facet joint abnormality as mention in the previous column | |
| Curvature | Normal—smooth lordosis Abnormal—focal kyphosis | – |
| Alignment | Anterior/posterior vertebral body lines in sagittal plane | Spinolaminar and interspinous lines on sagittal plane Interspinous and articular pillar lines in coronal plane |
| Measurement | – | Interpedicular distance. Interspinous and interlaminar distance Abnormal: difference of more than 2 mm |
CT checklist and optimal plane of visualisation
| Fingerprint | Sagittal | Axial | Coronal |
|---|---|---|---|
| Alignment | Anterior and posterior translation Anterior and posterior vertebral line, spinolaminar line, interspinous line | Uncinate process alignment—for assessment of rotation deformity | Lateral translation of vertebral body Articular pillar alignment Spinous process alignment for rotation |
| Bone (fractures) | Vertebral body compression—wedging Coronal split fracture Retropulsion Articular pillar and articular process fracture Spinous process fracture | Comminution of vertebral body Sagittal/coronal split fractures Retropulsion Pedicle and lamina fracture. Transverse process fracture | Sagittal split fracture Lateral cortical step of vertebral body Articular pillar Transverse process Any horizontally oriented fracture |
| Measurement | Interspinous widening Interlaminar widening Kyphotic angle | – | Interpedicular widening Interspinous widening (sagittal is preferred) |
| Joint | Intervertebral disc Facet joints | Uncinate process alignment for rotation Facet joint (sagittal is preferred) | Intervertebral disc asymmetry in coronal plane—suggestive of rotation and lateral flexion vector |
| Ligaments | ALL, PLL, PLC injury—fingerprints | – | – |
Normal alignment of the spine as seen on mid-sagittal CT: anterior vertebral line (AVL, red)—connecting the anterior cortices of the vertebrae; posterior vertebral line (PVL, pink)—connecting the posterior cortices of the vertebrae; spinolaminar line (SLL, orange)—connecting the base of the spinous processes at the spinolaminar junction; interspinous line (ISS, blue)—connecting the tips of the spinous processes. All of these lines should be gently curved, smooth and continuous
Normal alignment of facet joints on parasagittal CT image (arrows). A facet joint is formed by the obliquely oriented rhomboid-shaped articular processes and overlaps like a roof shingle. The inferior articular process of the cranial vertebra is posterior to the superior articular process of the caudal vertebra. On sagittal images, a facet joint articular surface should be parallel, cranio-caudally symmetrical and congruent; the inferior articular facet should cover the entire articular surface on the superior articular facet below. The facet joint gap should be less than 2 mm
In the coronal plane, the lateral masses make bilateral smooth undulating margins. Spinous processes are in midline and any focal displacement of one spinous process in relation to the others is abnormal. Each of the bony components of the cervical vertebrae should be evaluated for fractures on all the available images in different planes and 3D reconstruction.
CT measurements
Quantification of the angulation, deformity, dislocations and measurement of prevertebral soft tissue to detect the abnormality or instability has become less relevant in modern practice, as MDCT shows the entire spectrum of the osseous and ligamentous disruption in multiple planes, which previously had to be inferred indirectly from the radiographs previously. Moreover, these measurements have been shown to be inconsistent with limited interobserver reliability [22]. However, they can be measured on MDCT, which can be included in the checklist. To simplify and memorise different measurement parameters, Daffner and Harris [23] have popularised the “Rule of 2s”. Interspinous, interlaminar and interpedicular distances, and also facet joint width, are abnormal if the difference of these parameters between the adjacent segments is more than 2 mm. Interlaminar distance is more reliable and accurate than interspinous distance for diagnosing hyperflexion injury.
Common injury patterns
In this section the spectrum and pattern of injury produced by different forces on the cervical spine and their typical findings on CT scan is described.
Hyperflexion injury
Hyperflexion is the most frequent type of injury vector encountered in patients with vertebral trauma. The injury spectrum includes compressive hyperflexion, vertical compression and distractive hyperflexion. The injury pattern resulting from these force vectors depends upon the centre of rotation, the fulcrum, which in turn is determined by the position of the head and neck at the time of injury. Additional vectors like rotation and lateral flexion can result in complex hyperflexion-rotation injury.
Compressive hyperflexion
Schematic showing a hyperflexion compression injury. Flexion vector with centre of rotation (blue hollow circle) is just behind the anterior column, resulting in a compressive force applied to the anterosuperior aspect of the vertebral body, causing a primary progressive compressive failure of anterior column. With increasing magnitude of force, posterior column distraction and tensile failure result
Flexion teardrop fracture. Sagittal CT image of cervical spine in a young patient following vehicular accident shows wedging of C5 vertebral body with an oblique coronal fracture of the anterior third of the vertebral body, dividing the C5 in to a smaller anterior triangular fragment (short arrow) and a large posterior segment. Retrolisthesis of the C5 vertebral body on C6 behind the fracture line and retropulsed C5 keeping alignment with the cranial C4 vertebral body—suggested by non-interrupted posterior vertebral line (black line), while triangular fragment keeping alignment with the caudal C6 vertebra—suggested by non-interrupted anterior spinal line (white line). Distraction of posterior column is suggested by widening of interspinous/interlaminar space at C4–C5 (long arrow). Facet joint subluxation was seen on the parasagittal images (not shown)
Vertical compression/axial loading
Axial loading (vertical compression injury). a Schematic showing a vertical compression injury. Compressive force is exerted vertically to the spinal column with neck in the neutral position (30-degree flexion) at the time of injury, resulting in pure axial loading injury and compressive failure of the anterior column. The posterior column remains intact or with increasing force fails in compression. b Axial CT shows marked comminution of the vertebral body with retropulsion of the fracture fragment from the posterior cortex in to the spinal canal (straight arrow) suggestive of burst fracture. Associated unilateral laminar fractures (curved arrow) are commonly seen
Burst fracture. a Mid-sagittal CT image showing a comminuted fracture of C7 with nearly symmetrical loss of vertebral body height with extension of the fracture to the posterior cortex and retropulsion of fragment from the posterospuerior cortex of C7 (white arrow)—suggestive of a burst fracture. Vertebral body comminution is better seen on axial images as shown in Fig. 9b. b Coronal CT image showing a vertical split fracture of C6 and C7 (black arrows). These fractures are oriented in the sagittal plane, hence best seen on coronal images and highly suggestive of axial loading injury
Distractive hyperflexion
Schematic showing hyperflexion distraction injury. Flexion vector with centre of rotation (blue hollow circle) anterior to the anterior column, resulting in posterior column distraction with progressive tensile failure of the posterior column
Hyperflexion distraction injury. Mid-sagittal CT image of the cervical spine shows focal kyphosis with posterior disc space widening at C4–C5 (short arrow). Mild anterolisthesis of C4 over C5 is seen suggested by the disrupted posterior vertebral line (black lines). The spinolaminar line is also disrupted with at C4–C5 with anterior displacement of C4 spinolaminar junction (white lines). Widening of the C4–C5 interlaminar/interspinous space (long arrow) is noted. Combination of this pattern of injury is highly suggestive of hyperflexion distraction injury and the facet joint should be carefully evaluated on lateral parasagittal images for possible distraction, subluxation and dislocation (shown in Fig. 13)
Facet joint injury spectrum resulting from hyperflexion distraction. Parasagittal CT images. a The C4–C5 facet joint shows diffuse widening—diastasis (black arrow), and the C5–C6 facet joint shows focal anterior widening (white arrow), suggestive of distraction injury and partial disruption of facet joint capsule. Articular surfaces are congruent and no uncovering of the inferior articular process noted at any of the injured levels. b C5–C6 facet joint subluxation (black arrow), suggested by non-congruent articular surfaces of the facet joint with anterosuperior displacement of the inferior articular process of C5, resulting in partial uncovering of the superior articular surface of C6. However, some apposition of articular surface is still intact. C6–C7 facet joint dislocation (white arrow) suggested by anterior and superior translation of inferior articular process of C6 resting on the top of the C7 articular process, resulting in complete loss of articular apposition and uncovering of C7 articular facet. A facet joint injury as seen at C6–C7 is also named as a “perched facet”. c C6–C7 facet joint dislocation with further anterior translation of the inferior articular process (white arrow), now resting anterior to the C7 articular pillar. This injury is also called a “locked” or “jumped facet”
Bilateral facet dislocation is the most severe injury of the flexion-distraction spectrum, which usually results in profound neural insult [27]. Bilateral facet joint dislocation results in complete disruption of facet joint capsule and PLC in all cases. PLL disruption is also described in 40–100 % of cases of bilateral facet joint dislocation [27, 28]. Traumatic disc herniation with posterior annulus disruption is described in 56 % of unilateral and 82.5 % of bilateral facet dislocations [27]. Disc herniation is relevant in the management of these injuries and should be confirmed by magnetic resonance imaging (MRI) before the reduction or stabilisation of facet joint dislocation is attempted.
Unilateral facet joint dislocation is a hyperflexion injury when the fulcrum is off-centre. This results in simultaneous hyperflexion and axial rotation with asymmetric injury leading to asymmetrical tensile failure of posterior column and unilateral facet joint injury with fractures, subluxation and dislocation [29].
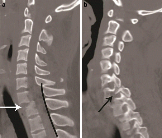
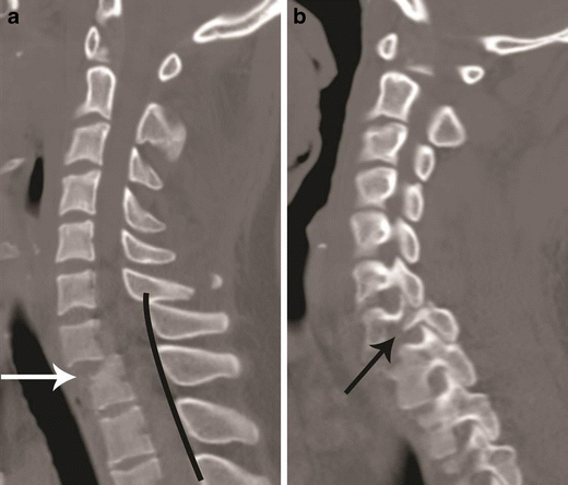
Bilateral versus unilateral facet joint dislocation. a Mid-sagittal CT image shows anterior translation of C5 over C6 by more than 50 % anteroposterior width of the C6, highly suggestive of bilateral facet joint dislocation, which was confirmed on parasagittal images (not shown). Large triangular bony fragment is noted at the posteroinferior corner of C5 (arrow) with diffuse loss of C5–C6 intervertebral disc space. b Mid sagittal CT image shows anterior translation of C4 over C5 by less than 50 % anteroposterior width of C5 (approximately 25 %), highly suggestive of unilateral facet joint dislocation, which was confirmed on parasagittal images (not shown). Small triangular bony fragment is noted at the anteroinferior corner of C4 (arrow) with loss of C4–C5 disc space. Disruption of spinolaminar line (black curved lines) at the level of anterolisthesis with anterior displacement of the same vertebra and lamina (C5 in a and C4 in b) is highly suggestive of hyperflexion injury. Presence of small avulsion fragments at the discovertebral junction with loss of intervertebral disc height is associated with disc injury, which needs further evaluation with MRI
Bilateral versus unilateral facet joint dislocation. a Axial CT of the C5–C6 facet joint shows bilateral facet joint dislocation, suggested by reversal of the normal facet relationship, with convex surfaces opposing each other—called the “reverse hamburger sign” (white arrows). Loss of concentric relationship of the uncinate processes (black arrows) to the superior vertebral body—called the “positive headphone sign”. b Axial CT of the C4–C5 facet joint shows unilateral right-sided facet joint dislocation, suggested by a “naked facet” (white arrow)—due to absence of the opposing facet joint articular process because of dislocation. Loss of concentric arrangement of the right uncinate process (black arrows) due to rotation of vertebral body to the undislocated left side, resulting in unilateral positive “headphone sign”—suggesting rotational deformity
Unilateral facet dislocation is mistakenly believed and reported as a stable injury in the literature; in reality it is a highly unstable injury that needs surgical stabilisation. Presence of an articular process in patients with facet joint dislocation is of surgical significance and should be reported. Unilateral facet joint dislocation was associated with fracture of articular processes in approximately 75 % of cases [32]. Presence of markedly comminuted fracture with displaced fracture might preclude a closed reduction of these injuries. Pre-operative MRI is recommended for the treatment decision in patients with bilateral and unilateral facet joint dislocation to look for intervertebral disc disruption. This information has huge therapeutic implication; because in the absence of disc disruption, these injuries are best treated by the posterior approach; in the event of disc damage, they need anterior decompression and stabilisation with fusion across the disc.
Hyperextension injury
Hyperextension injury results when there is extreme extension of the spinal column, such as in a fall or vehicular collisions when the chin, forehead or face strikes an immovable object—like the dashboard, steering wheel or ground. Hyperextension injuries are observed in younger patients after high-energy trauma or in older patients with spondylotic or ankylosed spine after seemingly trivial injuries.
Schematic showing hyperextension compression injury. Extension vector with centre of rotation is behind the anterior column, resulting in axial loading force applied to the posterior column, resulting in compressive failure of the posterior column. With increasing magnitude of force, anterior column distraction and tensile failure might occur
Hyperextension compression
Hyperextension compression injury. a Parasagittal CT image shows C6, C7 articular pillar and process comminuted fracture with vertical orientation (black arrows). Focal anterior widening of C4–C5 facet joint (white arrow) is a characteristic feature of hyperextension injury. b Coronal CT image from the articular pillar in a different patient shows left C5 articular pillar fracture with vertical orientation and comminution (black arrow)
Hyperextension compression with traumatic spondylolisthesis. a Mid-sagittal CT image shows anterior listhesis of C7 over D1 (white arrow). This could result from hyperflexion distraction or, rarely, hyperextension injury. The spinolaminar line is continuous at the level of anterior translation, which suggests a hyperextension injury vector. b Left parasagittal image from the facet joint shows a vertically oriented fracture through the left pars interarticularis of C7 (black arrow) with impaction of the tip of the inferior articular process of C6 in the fracture gap—highly suggestive of hyperextension injury. Similar pars interarticularis fracture was also seen on the right side of C7 (not shown)
Hyperextension rotation
Pediculolaminar separation. Axial CT image shows simultaneous fracture of left lamina (white arrow) and pedicle (black arrow) of the C5 vertebra, resulting in pediculolaminar separation. Extension of the fracture line to the left transverse foramen and presence of fracture fragment within the transverse foramen seen, raising suspicion for the left vertebral artery injury
Hyperextension distraction
Schematic showing hyperextension distraction injury. Extension vector with centre of rotation posterior to the vertebral column, resulting in distraction and tensile failure of the anterior column. Increasing the magnitude of the force results in hyperextension dislocation
These injuries are very common in individuals with degenerated or ankylosed spines—as seen in ankylosing spondylitis and diffuse hypertrophic skeletal hyperosteosis (DISH)—even with relatively minor trauma [35].
Hyperextension distraction with dislocation. Mid-sagittal CT image shows the significant prevertebral soft tissue swelling and subtle anterior widening of the C5–C6 disc space—a hallmark of hyperextension distraction injury. A small avulsion fracture (arrow) is noted at C5–C6. Mild retrolisthesis of C5 on C6 vertebral body suggested by disrupted posterior vertebral line (black lines)—suggestive of hyperextension dislocation
Hyperextension teardrop. Sagittal CT image shows small triangular avulsion fractures at the anteroinferior end plate of C3 (arrowhead) and C5 (arrow) without significant prevertebral soft tissue lesion. The triangular fragment at C5 is taller than wider, suggestive of hyperextension teardrop than hyperextension dislocation
Avulsion fracture in hyperextension dislocation. Sagittal CT image shows an avulsion fracture at the anterosuperior end plate of C7 (white arrow), with the transverse diameter wider than the vertical diameter. Avulsion of the posteroinferior corner of the C6 vertebral body is also seen (black arrow), which suggests avulsion of the posterior annulus or PLL
Rotation injury
Rotational vector and deformity. a Posterior coronal CT image shows focal deviation of the C5 spinous process (arrow)—suggested by the interspinous line not passing through the rotated C5 spinous process. b Three-dimensional volume rendered coronal image shows rotational deformity of the C5/C6 vertebrae
Lateral flexion injury
Lateral flexion injuries are unusual, rarely isolated and most commonly occur in combination with hyperextension and are secondary to a rotational component at the time of impact. Asymmetrical compression of vertebral body suggests lateral flexion injury. Unilateral transverse process and uncinate process fracture typically results from lateral flexion injury. Although spinal cord injury is unusual, since the mechanism is thought to involve violent lateral flexion of the neck, nerve root injuries, including root avulsions and brachial plexus injuries, may occur.
Injury morphology suggesting ligamentous injury
Although osseous injury to the cervical spine demands most of the attention, ligamentous integrity is equally important for the spine stability. Ligamentous disruption can occur in the absence of osseous abnormality, particularly with distraction injury vectors. Missed ligamentous injury can lead to significant morbidity and delayed instability, leading to persistent pain, kyphosis, delayed vertebral dislocation and neurological deficit.
CT features predicting ligamentous and intervertebral disc injury
| Anterior column | Posterior column | |
|---|---|---|
| Angulation rotation | Focal kyphosis | Focal displacement of spinous process on coronal plane |
| Translation/dislocation | Anterolisthesis Retrolisthesis | – |
| Distraction | Anterior disc space widening Posterior disc space widening | Interspinous widening Interlaminar widening |
| Intervertebral disc injury: • Focal disc space widening • Avulsion at the anterior or posterior corner of vertebral body • Disc vacuum phenomenon and diffuse loss of disc space height | Facet joint distraction spectrum |
Look-alike injuries and usefulness of biomechanics in differentiation
Different biomechanical forces and injury vectors can produce “look-alike” injury morphology on CT. It is important to distinguish them, as these lesions may have different clinical implications.
CT features differentiating flexion teardrop from burst fractures
| Flexion teardrop (Fig. 8) | Burst fracture (Fig. 10) |
|---|---|
| Biomechanics—severe compressive flexion | Axial loading |
| Predominantly anterior VB compression—resulting in wedging | VB compression predominantly in the centre—resulting in diffuse loss of height |
| Oblique coronal fracture through the anteroinferior vertebral body. Fracture does not extend to the posterior cortex and posterior cortical line is intact (sagittal CT) | Fracture involves both anterior/posterior cortex with disruption of posterior cortical line (sagittal) |
| Comminution less severe—two/three fragments without centrifugal displacement (axial) | Comminution—severe with multiple fragments and centrifugal displacement |
| Retropulsion of the involved vertebral body along the rest of the suprajacent cervical spine Anterior fragment maintains alignment with the subjacent VB (sagittal/axial) | Retropulsion commonly from the postero-superior cortex (sagittal/axial) Rest of the spine above and below maintains alignment |
| Focal kyphosis | Normal curvature |
| Posterior column often distraction present—interspinous widening and facet distraction | Posterior column compression injury or normal |
| Mechanically unstable needs surgical stabilisation | Mechanically stable. Surgical treatment indicated for neural compromise from retropulsed bony fragments |
CT Features differentiating flexion and extension teardrop injuries
| Flexion teardrop | Extension teardrop |
|---|---|
| Large fragment | Small triangular |
| Extends to both superior/inferior end plate | Involves only one end plate—anteroinferior or less commonly anterosuperior |
| Wedging/compression of VB | VB height is preserved |
| Retropulsion of fractured vertebral body | No retropulsion—Posterior vertebral line is intact |
| Focal kyphosis with flexion deformity | Normal curvature |
| Posterior column distraction present-interspinous widening and facet distraction | Posterior column compression injury or normal |
To predict vascular injury and the need for CT angiography: The reported incidence of vertebral artery injury in patients who sustain cervical spine trauma is between 17 and 46 %. Most of them are asymptomatic [37, 38, 39]. Blunt vertebral artery injury is associated with complex cervical spine fractures involving subluxation, extension into the foramen transversarium or upper C1–C3 fractures [37, 38, 39, 40]. CT angiography should be performed in patients with suspected vertebral artery injury.
Biomechanics and management
- 1.
Is there a mechanical instability that needs surgical stabilisation?
- 2.
Which columns need stabilisation—anterior, posterior or circumferential?
- 3.
Is there a need for short or long segment instrumentation?
An “unstable” cervical injury is commonly treated with operative stabilisation, while a “stable” injury may be managed conservatively by immobilisation by traction, collar or observation in bed. Fracture/ligamentous injury involving both load bearing (anterior) and tension (posterior) column suggest mechanical instability. Biomechanical vectors and injury morphology suggestive of distraction-rotation and shear-translation result in gross mechanical instability, which needs surgical stabilisation. Flexion teardrop injuries, bilateral facet dislocation and hyperextension distraction injury are also classified as mechanically unstable injuries and need surgical stabilisation. Isolated PLC injury in hyperflexion-distraction injury can results in delayed mechanical instability and should be stabilised and fused.
Anterior, posterior or circumferential stabilisation decision is based on the two essential principles in spine surgery, namely the “tension band principle” and the “load-sharing principle”. The column under tensile failure needs stabilisation first to reduce and align the displaced vertebral column; the vertebral body, if injured, can be reconstructed thereafter to share the load of body weight. Anterior longitudinal ligament disruption with disc injury, as occurs in hyperextension distraction injury, mandates anterior surgery with stabilisation and PLC injury as occurs in hyperflexion distraction, generally needs posterior reconstruction and stabilisation. Rotation-translation injuries may disrupt both anterior and posterior stabilising ligaments often requiring circumferential stabilisation.
The length of instrumentation is also often based on the force vectors involved. Significant translation and rotation vectors both require long segment stabilisation (two motion segments above and below injury).
Summary
CT fingerprints and injury vectors
| Biomechanics | Anterior fingerprints | Posterior fingerprints |
|---|---|---|
| Hyperflexion | Anterior column compression | Posterior column distraction |
| Curvature: focal kyphosis Alignment: anterolisthesis VB: wedge compression and flexion teardrop. Burst/coronal split: axial loading Disc space: focal posterior widening or diffuse narrowing. | Facet joint: diffuse widening more than 2 mm, focal posterior widening, subluxation and dislocation Interspinous widening | |
| Hyperextension | Anterior column distraction | Posterior column compression |
| Curvature: hyperlordosis or normal Alignment: normal or retrolisthesis VB: extension teardrop Disc space: focal anterior widening/normal | Articular pillar/process fracture Lamina/spinous process fracture Pediculo-laminar separation | |
| Lateral flexion | Always coupled with rotation. Frequently associated with hyperextension and hyperflexion. Reciprocal compressive and distractive injury on right/left side Curvature: coronal plane tilt VB: lateral compression injury on the side of flexion Asymmetrical loss of disc height in coronal plane | Reciprocal compressive and distractive injury on right/left side Unilateral articular pillar or laminar fracture. Facet joint distraction on the side opposite of posterior element fracture |
| Rotation | Usually associated with flexion, extension | Unilateral facet dislocation or fracture Asymmetric posterior column injury |
Notes
Acknowledgements
The authors thank Dr. Aymen Al Hadidi, MD, for his assistance and artistic contribution in preparing and processing schematics and images for the manuscript.
No grants were awarded for this project.
References
- 1.National Spinal Cord Injury Association Resource Center (2013) www.sci-info-pages.com/factsheets.html. Accessed 12 April 2013
- 2.Greenbaum J, Walters N, Levy PD (2009) An evidenced-based approach to radiographic assessment of cervical spine injuries in the emergency department. J Emerg Med 36:64–71PubMedCrossRefGoogle Scholar
- 3.Goldberg W, Mueller C, Panacek E et al (2001) Distribution and patterns of blunt traumatic cervical spine injury. Ann Emerg Med 38:17–21PubMedCrossRefGoogle Scholar
- 4.Ryken TC, Hadley MN, Walters BC, Aarabi B, Dhall SS, Gelb DE, Hurlbert RJ, Rozzelle CJ, Theodore N (2013) Radiographic assessment. Neurosurgery 72(Suppl 2):54–72PubMedCrossRefGoogle Scholar
- 5.Blackmore CC, Ramsey SD, Mann FA, Deyo RA (1999) Cervical spine screening with CT in trauma patients: a cost-effectiveness analysis. Radiology 212:117–125PubMedCrossRefGoogle Scholar
- 6.Looby S, Flanders A (2011) Spine trauma. Radiol Clin N Am 49:129–163PubMedCrossRefGoogle Scholar
- 7.Grogan EL, Morris JA, Dittus RS et al (2005) Cervical spine evaluation in urban trauma centers: lowering institutional costs and complications through helical CT scan. J Am Coll Surg 200:160–165PubMedCrossRefGoogle Scholar
- 8.Daffner RH, Daffner SD (2002) Vertebral injuries: detection and implications. Eur J Radiol 42:100–116PubMedCrossRefGoogle Scholar
- 9.Daffner RH, Daffner SD (2006) Vertebral injuries: detection and implications. In: Cassar-Pullicino VN, Imhoff H (eds) Spinal trauma: an imaging approach. Thieme, Stuttgart, pp 81–99Google Scholar
- 10.Daffner RH, Deeb ZL, Rothfus WE (1986) “Fingerprints” of vertebral trauma: a unifying concept based on mechanisms. Skelet Radiol 15:518–525CrossRefGoogle Scholar
- 11.Daffner RH (2011) Anatomical consideration. In: Daffner RH (ed) Imaging in vertebral trauma, 3rd edn. Cambridge University Press, Cambridge, pp 12–13CrossRefGoogle Scholar
- 12.White AA, Panjabi MM (1990) Physical properties and functional biomechanics of the spine. In: White AA (ed) Clinical biomechanics of the spine, 3rd edn. Lippincott Williams & Wilkins, PhiladelphiaGoogle Scholar
- 13.Schmorl CG, Junghanns H (1968) Die gesunde und kranke wirbesaule in Rontgenbild und klinik, 5th edn. Thieme, StuttgartGoogle Scholar
- 14.Holdsworth F (1970) Fractures, dislocations, and fracture-dislocations of the spine. J Bone Joint Surg Am 52:1534–1551PubMedGoogle Scholar
- 15.Panjabi MM, White AA, Johnson RM (1975) Cervical spine mechanics as a function of transection of components. J Biomech 8:327–336PubMedCrossRefGoogle Scholar
- 16.White AA, Johnson RM, Panjabi MM, Southwick WO (1975) Biomechanical analysis of clinical stability in the cervical spine. Clin Orthop 109:85–96PubMedCrossRefGoogle Scholar
- 17.Pitzen T, Lane C, Goertzen D, Dvorak M, Fisher C, Barbier D, Steudel WI, Oxland T (2003) Anterior cervical plate fixation: biomechanical effectiveness as a function of posterior element injury. J Neurosurg 99(1 Suppl):84–90PubMedGoogle Scholar
- 18.White AA, Panjabi MM (1987) Update on the evaluation of instability of the lower cervical spine. Instr Course Lect 36:513–520PubMedGoogle Scholar
- 19.Allen BL, Fergusson RL, Lehmann TR et al (1982) A mechanistic classification of closed indirect fractures and dislocations of the lower cervical spine. Spine 7:1–27PubMedCrossRefGoogle Scholar
- 20.Daffner SD, Daffner RH (2002) Computed tomography diagnosis of facet dislocations: the “hamburger bun” and “reverse hamburger bun” signs. J Emerg Med 23:387–394PubMedCrossRefGoogle Scholar
- 21.Palmieri F, Cassar-Pullicino VN, Dell’Atti C, Lalam RK, Tins BJ, Tyrrell PN, McCall IW (2006) Uncovertebral joint injury in cervical facet dislocation: the headphones sign. Eur Radiol 16:1312–1315PubMedCrossRefGoogle Scholar
- 22.Bono CM, Schoenfeld A, Rampersaud R, Levi A, Grauer J, Arnold P, Fehlings M, Dvorak M, Vaccaro AR (2011) Reproducibility of radiographic measurements for subaxial cervical spine trauma. Spine 36:1374–1379PubMedCrossRefGoogle Scholar
- 23.Daffner RH, Harris JH (2013) Cervical spine injuries. In: Harris JH (ed) The radiology of emergency medicine, 5th edn. Lippincott Williams & Wilkins, Philadelphia, pp 139–260Google Scholar
- 24.Favero KJ, Van Petegham PK (1989) The quadrangular fragment fracture: roentgenographic features and treatment protocol. Clin Orthop 239:40–46PubMedGoogle Scholar
- 25.Vives MJ, Vaccaro AR, Abitbol JJ (2003) Compressive flexion injuries of the cervical spine. In: Vaccaro AR (ed) Fractures of cervical, thoracic and lumbar spine, 1st edn. Marcel Dekker, New York, pp 207–218Google Scholar
- 26.Vaccaro AR, Hulbert RJ, Patel AA, Fisher C, Dvorak M, Lehman RA, Jr. et al (2007) The subaxial cervical spine injury classification system: a novel approach to recognize the importance of morphology, neurology, and integrity of the disco-ligamentous complex. Spine 32(21):2365–2374Google Scholar
- 27.Vaccaro AR, Madigan L, Schweitzer ME, Flanders AE, Hilibrand AS, Albert TJ (2001) Magnetic resonance imaging analysis of soft tissue disruption after flexion-distraction injuries of the subaxial cervical spine. Spine 26:1866–1872PubMedCrossRefGoogle Scholar
- 28.Carrino JA, Manton GL, Morrison WB, Vaccaro AR, Schweitzer ME, Flanders AE (2006) Posterior longitudinal ligament status in cervical spine bilateral facet dislocations. Skelet Radiol 35:510–514CrossRefGoogle Scholar
- 29.Crawford NR, Duggal N, Chamberlain RH, Park SC, Sonntag VK, Dickman CA (2002) Unilateral cervical facet dislocation: injury mechanism and biomechanical consequences. Spine 27:1858–1864PubMedCrossRefGoogle Scholar
- 30.Beatson TR (1963) Fractures and dislocation of the cervical spine. J Bone Joint Surg Br 45B:21Google Scholar
- 31.Lingawi SS (2001) The naked facet sign. Radiology 219:366–367PubMedCrossRefGoogle Scholar
- 32.Shanmuganathan K, Mirvis SE, Levine AM (1994) Rotational injury of cervical facets: CT analysis of fracture patterns with implications for management and neurologic outcome. AJR Am J Roentgenol 163:1165–1169PubMedCrossRefGoogle Scholar
- 33.Rao SK, Wasyliw C, Nunez DB Jr (2005) Spectrum of imaging findings in hyperextension injuries of the neck. Radiographics 25:1239–1254PubMedCrossRefGoogle Scholar
- 34.Shanmuganathan K, Mirvis SE, Dowe M, Levine AM (1996) Traumatic isolation of the articular pillar: imaging observations in 21 patients. AJR Am J Roentgenol 166:897–902PubMedCrossRefGoogle Scholar
- 35.Taljanovic MS, Hunter TB, Wisneski RJ, Seeger JF, Friend CJ, Schwartz SA, Rogers LF (2009) Imaging characteristics of diffuse idiopathic skeletal hyperostosis with an emphasis on acute spinal fractures: review. AJR Am J Roentgenol 193(3 Suppl):S10–S19PubMedCrossRefGoogle Scholar
- 36.Hogan GJ, Mirvis SE, Shanmuganathan K et al (2005) Exclusion of unstable cervical spine injury in obtunded patients with blunt trauma: is MR imaging needed when multi-detector row CT findings are normal? Radiology 237:106–113PubMedCrossRefGoogle Scholar
- 37.Cothren CC, Moore EE, Biffl WL et al (2003) Cervical spine fracture patterns predictive of blunt vertebral artery injury. J Trauma 55:811–813PubMedCrossRefGoogle Scholar
- 38.Biffl WL, Moore EE, Offner PJ et al (2001) Blunt carotid and vertebral arterial injuries. World J Surg 25:1036–1043PubMedCrossRefGoogle Scholar
- 39.Biffl WL, Moore EE, Elliott JP et al (2000) The devastating potential of blunt vertebral arterial injuries. Ann Surg 231:672–681PubMedPubMedCentralCrossRefGoogle Scholar
- 40.Malhotra AK, Camacho M, Ivatury RR et al (2007) Computed tomographic angiography for the diagnosis of blunt carotid/vertebral artery injury: a note of caution. Ann Surg 246:632PubMedCrossRefGoogle Scholar
Copyright information
Open Access This article is distributed under the terms of the Creative Commons Attribution License which permits any use, distribution, and reproduction in any medium, provided the original author(s) and the source are credited.























