Imaging assessment of penetrating injury of the neck and face
- 2.1k Downloads
- 12 Citations
Abstract
Background
Penetrating trauma of the neck and face is a frequent presentation to acute emergency, trauma and critical care units. There remains a steady incidence of both gunshot penetrating injury to the neck and face as well as non-missile penetrating injury—largely, but not solely, knife-related. Optimal imaging assessment of such injuries therefore remains an on-going requirement of the general and specialised radiologist.
Methods
The anatomy of the neck and face—in particular, vascular, pharyngo-oesophageal, laryngo-tracheal and neural anatomy—demands a more specialised and selective management plan which incorporates specific imaging techniques.
Results
The current treatment protocol of injuries of the neck and face has seen a radical shift away from expectant surgical exploration in the management of such injuries, largely as a result of advances in the diagnostic capabilities of multi-detector computed tomography angiography (MDCTA), which is now the first-line imaging modality of choice in such cases.
Conclusion
This review aims to highlight ballistic considerations, differing imaging modalities, including MDCTA, that might be utilised to assist in the accurate assessment of these injuries as well as the specific radiological features and patterns of specific organ-system injuries that should be considered and communicated to surgical and critical care teams.
Teaching points
• MDCTA is the first-line imaging modality in penetrating trauma of the neck and, often, of the face
• The inherent deformability of a bullet is a significant factor in its tissue-damaging capabilities
• MDCTA can provide accurate assessment of visceral injury of the neck as well as vascular injury
• Penetrating facial trauma warrants radiological assessment of key adjacent anatomical structures
• In-driven fragments of native bone potentiate tissue damage in projectile penetrating facial trauma
Keywords
MDCTA Penetrating injury Face Neck Bullet KnifeIntroduction
Penetrating injuries of the neck and face as a result of projectile (gun) and non-projectile (knives and other sharp implements such as screwdrivers or glass) mechanisms represent a significant source of acute admission of civilians to Accident and Emergency Departments and Trauma Units in the United Kingdom. This trend is reflected across the rest of Europe. Although accidental blunt trauma to the neck is a commoner cause of acute trauma presentation, national statistics for 2009/10 confirm a general progressive rise in the number of homicides involving knives and sharp instruments over the last five decades [1, 2]. In the United Kingdom, the number of actual bodily harm and grievous bodily harm offences involving a knife or sharp instrument have remained more or less constant between 2009 and 2010, accounting for 4 % of violent and sexual offences recorded by the police [1, 2]. Fatalities caused by a firearm in the United Kingdom (statistics for England and Wales) also remained constant between 2009 and 2010; however, serious injuries increased by 3 % between 2008/2009 and 2009/2010, with firearms offences geographically concentrated in the three most heavily populated police force areas and accounting for two-thirds of all such offences (recorded by the police). [1, 2].
The radiological evaluation of penetrating neck and face injuries can be daunting given the emergency circumstances requiring imaging; in addition, given that this particular anatomical area of the body combines vascular, gastrointestinal, respiratory, endocrine, lymphatic, skeletal and nervous systems, imaging of penetrating neck injuries can be challenging.
Location and classification
Three-dimensional volume rendering technique (3D VRT) of MDCTA performed on a young male victim of a stab wound to the neck demonstrating the anatomical trauma zones in penetrating injury of the neck. In this young patient, the cricoid cartilage has not yet calcified and therefore is not visualised on the VRT but the thyroid gland is visible (the lower border of the cricoid cartilage will be located just above the level of the isthmus of the thyroid gland)
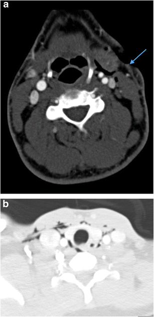
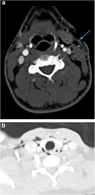
a Axial image of MDCTA performed on a 33-year-old man who sustained a stab injury to left zone 2. The platysma has been breached (arrow) and there is soft tissue emphysema in the deep cervical fascia surrounding the left carotid sheath. No major vascular injury or upper aerodigestive tract penetration was present. There was no pneumothorax. b Axial image of MDCTA through zone 1 on lung-window settings of a different patient who sustained left zone 2 penetrating knife injury with breach of platysma (image not shown). Diffuse soft tissue emphysema is noted in the deep cervical fascia bilaterally in zone 1 despite penetrating wound entry in left zone 2. This can be a common finding in penetrating neck injury where platysma has been breached even in the absence of perforation of the upper aerodigestive tract or pneumothorax. Nevertheless, penetration of the laryngopharynx should be further excluded where clinical and radiological suspicion is high. (Contrast swallow was negative in this patient)
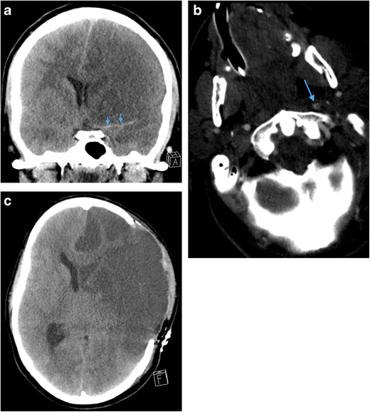
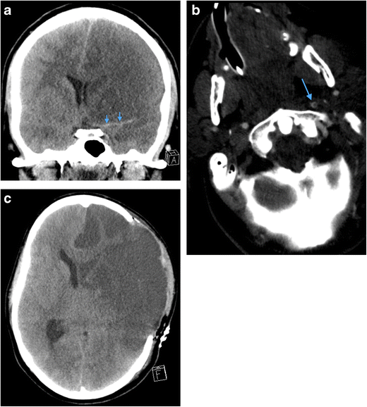
a Coronal reformatted non-contrast CT brain image of a 34-year-old man who sustained a penetrating knife injury to the left zone 2 of the neck requiring emergency surgical neck exploration prior to imaging assessment because of catastrophic haemorrhage. Therefore, pre-treatment CT and MDCTA were not performed because of the clinically evident active life-threatening haemorrhage on arrival in the emergency department. The non-contrast CT brain assessment was performed immediately prior to the post-operative MDCTA (b) and demonstrates acute thromboembolic “malignant” left anterior circulation infarction: there is already ischaemic demarcation of both the left middle and anterior cerebral artery territories with severe subfalcine herniation and midline shift; hyperdense thromboembolus is evident in the left middle cerebral artery (arrows) and proximal left anterior cerebral artery. b Axial image of MDCTA of the same patient as in a performed immediately post-operatively following internal carotid artery repair reveals a tail of extensive intraluminal thrombus extending distally from the site of vessel injury and repair (arrow). c Axial non-contrast CT brain of the same patient as in a and b performed 48 h later. The patient has undergone interval emergency left decompressive hemicraniectomy: the left anterior circulation low attenuation infarction is more established and the significant mass effect, subfalcine herniation and intracranial pressure related to swollen oedematous parenchyma have been ameliorated by hemicraniectomy. Unfortunately, brain-stem death was confirmed 12 h later
Anatomy
Description of the detailed anatomy of the neck is beyond the scope of this review. However, the most salient considerations include the distinctive fascial envelopes in the neck. The neck is invested in two fascial layers: the superficial fascia and the deep cervical fascia. The superficial fascia overlies the platysma and forms part of the superficial musculo-aponeurotic system in the face; the deep cervical fascia is made up of the investing layer, pretracheal layer, prevertebral layer and carotid sheath. Penetrating injuries confined to the superficial fascia—that is, injuries not breaching the platysma—are not life-threatening.
Pathophysiology of gunshot wounds and ballistics
The mechanisms by which projectiles, such as those discharged from firearms (bullets, for example), cause tissue injury (terminal ballistics) are crushing and stretching—that is, shockwave formation and temporary cavitation [28, 29, 30]. Harvey and Korr [30] described two types of tissue damaging pressure waves produced by projectiles such as bullets: the first wave, the sonic shock wave, relates to the sound of the projectile striking the target; it transmits at the speed of sound (faster than the projectile itself) and no temporary cavity is associated with this sonic shock wave; the secondary pressure wave, the temporary cavity, is formed when the penetrating projectile strikes and deforms tissue and radiates out laterally, propagating tissue damage.
a Photograph of full-metal jacket bullets (9-mm pistol bullets) exhibiting the appearances of an unfired bullet and the relative deformation exhibited by discharged bullets which have struck targets of varying density. The copper metal jacket is evident around the lead core in the deformed bullets. b Photograph of soft-point hunting bullets depicting the soft-point construct and incomplete hard-metal jacket; significant deformation of this bullet caused by target impact is also depicted
In general, bullet wounds (and, in fact, any projectile wound) are more severe when the projectile yaws through tissue, when the projectile fragments or deforms (into a mushroom shape, for example), when the projectile is large, or when the projectile is travelling at high velocity [28]. One of the “recommendations” of the hollow-point and soft-point bullet (the former are used by specialist fire-arms officers in the UK) is that they are less likely to exit the target, which poses smaller risk to bystanders. This is because they exhibit significant deformation as a result of their construct, transferring most or all of their kinetic energy to the tissue and usually stopping within the body target. The lethality of the hollow-point and soft-point bullet (Fig. 4b) is therefore very high and it is for this reason that this type of ammunition is also used in hunting, supposedly expediting death of the target animal as rapidly and as humanely as possible.
The terminal ballistics of shotgun injuries warrant special consideration: shotgun pellets create tissue damage proportional to the distance from the target, proportional to the number of pellets that hit the target, and proportional to the size and pattern of the pellet strike. At close range, shotguns inflict massive tissue damage and large avulsion wounds. However, this type of weapon is less effective at greater distances from the target, with projectile velocity falling considerably beyond 20–40 m.
CT technique
MDCT scanning is now widely available and MDCTA is the recommended primary imaging modality and method of choice. This allows not only vascular assessment but also appropriate radiological evaluation of the osseous cervical spine and skull base, of the craniofacial skeleton and valuable assessment of the viscera and fascial planes of the neck and face. At the authors’ institution, both 64- and 128-MDCT imaging (Siemens) is available but all such scans are now currently performed at 128-slice capability. CT protocol parameters currently in use at the authors’ institution are described in brief: a collimation of 128 × 0.6 mm (for the 128-detector scanner) or 64 × 0.6 mm (for the 64-slice scanner); 120 kV is operated on both types of scanner and a reference mAs of 220 on the 64-slice scanner and 120 on the 128-slice scanners; Siemens care kV is utilised on the 128-slice scanners and CareDose4D is utilised on all scanners; 100 ml intravenous contrast is injected for CT angiographic assessment of the neck vessels; where additional CT angiographic assessment of the intracranial vessels is required, a 50 ml normal saline “chaser” is injected following the intravenous contrast injection. A contrast injection rate of 5 ml per second through (at smallest) a 19-G venous cannula is used. Bolus-tracking from the arch of the aorta is routinely operated with a delay of 7 s after triggering of contrast injection (initiated at 100 Houndsfield units) on the 128-slice scanners but a delay of 6 s on the 64-slice scanner.
Liberal use of multiplanar reformats, always in correlation with the axial source dataset images, is advised. Appropriate window-level and window-width settings for the different anatomical regions (for example, the osseous cervical spine and skull base) should also be utilised.
Extracranial vascular trauma
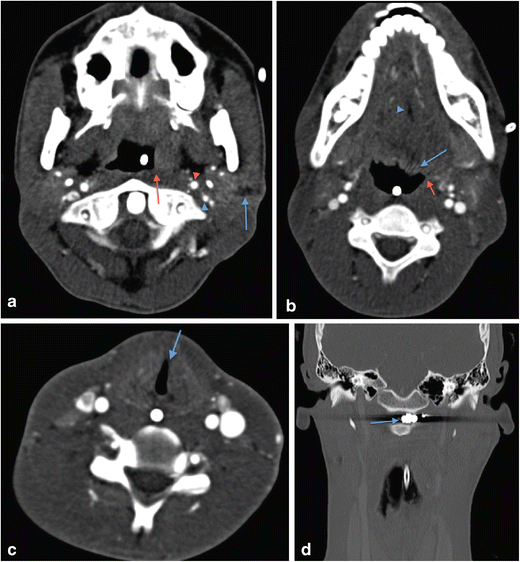
a Axial image of MDCTA of sharp (non-projectile) penetrating injury to the left zone 3. The implement bisected the left carotid sheath just below the skull base with the wound track (blue arrow) splaying the internal carotid artery (red arrowhead) from the internal jugular vein (blue arrowhead) but not causing any radiologically evident vascular injury. The patient exhibited clinical signs of Collet-Sicard syndrome—palsies of cranial nerves IX, X, XI and XII. The MDCTA demonstrates flattening of the left lateral pharyngeal recess (red arrow) compared with the contralateral side as a result of a combination of haematoma and superior pharyngeal constrictor paresis (the motor supply of the superior pharyngeal constrictor is through the motor component of the pharyngeal plexus derived from the cranial part of the accessory [XI] nerve). There is a nasogastric (NG) tube in situ. b Axial image of MDCTA of the same patient as in a showing evidence of left hypoglossal nerve palsy—there is flaccid prolapse of the tongue base (blue arrow) and deviation of the median fatty raphe to the ipsilateral side (blue arrowhead) and reduced calibre of the left glossopharyngeal sulcus (red arrow). The NG tube is noted in situ. c Axial image of MDCTA of same patient as in a and b. There is subtle medialisation of the left true vocal cord (blue arrow) consistent with a left vagus nerve palsy confirmed on flexible nasoendoscopy; this is one of the components of Collet-Sicard syndrome. The NG tube is evident in situ. d Coronal reformat of the same patient as in a, b and c. A metal fragment of the implement used to inflict the penetrating injury remains lodged in the left prevertebral soft tissues (blue arrow) having bisected the left carotid sheath and injured the adjacent cranial nerves
Axial image of MDCTA in an adult male patient who sustained a penetrating stab wound to the left zone 2 of the neck demonstrates a resultant traumatic left arteriovenous fistula between the left common carotid artery (red arrow) and adjacent internal jugular vein (blue arrowhead). It was subsequently closed through radiological intervention. Note the haematoma affecting the overlying left sternocleidomastoid muscle parenchyma and the large haematoma and oedema in the left parapharyngeal and extralaryngeal soft tissues causing mass effect and significant displacement of the laryngopharynx to the contralateral side. The patient is intubated. (The authors’ departmental protocol is to arbitrarily register the year of birth for any adult patient who is unconscious or intubated and ventilated, where details are unavailable, as 1900 in the acute admission situation—the patient’s age has therefore been “erroneously” calculated as 106 years by the scanner as shown in the top right-hand corner of this image)
a Axial MDCTA image of a 9-year-old patient who sustained accidental penetrating injury by a wooden stick to zone 2 of the right neck. The stick was removed at the time of the injury by the patient’s friend but there is dissection occlusion of the right internal carotid artery; only the external carotid artery, one of its branches and the vertebral artery are visible on this side. The normal left internal carotid artery is annotated for comparison (blue arrow). The patient escaped any significant complicating cerebrovascular ischaemic event. b Axial source image of two-dimensional time of flight MR angiogram of the same patient as in a, performed 4 years later as part of follow-up assessment. The previously injured right internal carotid artery has re-canalised (in keeping with the natural history of dissection injury) but exhibits residual focal stenosis (red arrow) compared with the normal contralateral left internal carotid artery (blue arrow)
Studies comparing the accuracy of CTA (single-slice and multi-detector) with catheter angiography have prompted a shift of emergency vascular imaging assessment of appropriate penetrating neck injuries to MDCTA as the primary imaging modality and technique of choice [3, 18, 20, 21, 22, 27, 36]. The value of MDCTA in penetrating neck injury assessment of non-vascular injuries affecting the upper aerodigestive tract and osseous structures has also been consolidated [26].
The facility of catheter angiography in the management of penetrating vascular injuries of the neck should not be dismissed in its entirety. Although no longer the first-line diagnostic imaging modality of choice, catheter angiography may still be required as part of the management of certain arterial injuries identified on MDCTA in the haemodynamically stable patient amenable to therapeutic radiological endovascular intervention. In addition, particularly in the setting of projectile penetrating injury, where streak artefact from metallic fragments such as bullet fragments or shrapnel may, on occasion, hinder CT interpretation, catheter angiography may be indicated. An example of such a scenario might be where wound trajectory in relation to major vessels is of significant-enough concern, but CT interpretation is significantly hindered by streak artefact. Magnetic resonance (MR) imaging, and more specifically MR angiography, has no role in the imaging assessment of metallic projectile penetrating neck injury because of the presence of potentially ferromagnetic foreign body material. MR has only a very limited and selective role in the acute imaging assessment of non-projectile penetrating neck injury: where non-projectile penetrating injury to the cervical spine or craniocervical junction is suspected clinically, MR imaging will be essential [28], particularly as these patients frequently survive such injuries despite severe morbidity.
The use of ultrasound imaging in penetrating neck injury is very limited when compared with MDCTA, particularly given its inability to evaluate the upper aerodigestive tract and spine.
Upper aerodigestive tract trauma
Oesophageal and pharyngeal injury
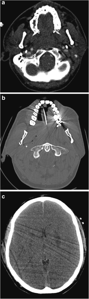
a Axial MDCTA image through the junction of the nasopharynx with the oropharynx (above the level of the endotracheal tube) in a 43-year-old man who sustained fatal perforating gunshot injury to the neck, which entered in the left zone 3 and exited through the right zone 2, having traversed the posterior oropharynx (image not shown). The pharyngeal airway at the level shown has been completely obliterated by haematoma and oedema. Pharyngeal projectile penetrating injuries, in the absence of major vascular injury, are frequently fatal due to airway compromise from haematoma, oedematous swelling and haemorrhagic debris. b Axial CT image of the same patient as in 8a on bone-window settings through the superior oropharynx (slightly inferior to the level in a). There is fracture disruption of the right lateral mass of the atlas (C1) at the junction with the anterior arch as well as fracture of the posterior aspect of the right ramus of the mandible cause by the bullet (which exited through zone 2 on this side). Soft tissue emphysema and swelling is evident in the right prevertebral, parapahryngeal and masticator spaces. The endotracheal tube is demonstrated. c Non-contrast CT brain of the same patient as in a and b performed 2 days later, demonstrating severe generalised hypoxic ischaemic encephalopathy with symmetrical subacute low attenuation change identified in the basal ganglia at this level as well as evidence of significant cerebral oedema and swelling. Brain stem death was subsequently confirmed and intensive care support withdrawn
Contrast swallow assessment of a patient who sustained multiple penetrating gunshot injuries, including to the neck. A bullet is demonstrated in the soft tissues of the left zone 2 of the neck (blue arrow). A nasogastric tube was passed during the emergency trauma assessment and can be seen in situ. Haematoma is demonstrated in the left pyriform fossa with mucosal disruption and contrast leakage into the parapharyngeal tissues (red arrow). Note the opacification of the upper zone of the right hemithorax consistent with haemothorax (black arrow)
Laryngotracheal injury
a Axial MDCTA image of a 38-year-old man who sustained a sharp penetrating injury to the midline zone 2 of the neck with a broken bottle (“glassing”). This particular mechanism is typically a combination of sharp penetrating and blunt laryngeal trauma. There is marked endolaryngeal, extralaryngeal and thyroid parenchymal haematoma, particularly on the right. Soft tissue emphysema can be seen outlining the pretracheal fascia which binds the thyroid gland. Further extensive soft tissue emphysema was demonstrated outlining the other deep cervical fascial layers, including the investing layer, the carotid sheath and the prevertebral/alar fascia layer (images not shown). Such extensive soft tissue emphysema should raise significant concern radiologically and clinically for penetration or perforation of the larynx. The patient has been successfully intubated. b Coronal-reformatted MDCTA image of the same patient as in a. Comminuted fracture disruption of the hyoid bone (blue arrows) and comminuted fracture-subluxation of the laryngeal cartilage (black arrow) are evident
Axial MDCTA image through zone 2 in a victim of multiple gunshot injuries to the neck, chest and abdomen. The right superior zone 2 entry wound with associated soft tissue haematoma and oedema is evident. The bullet has traversed the supraglottis and come to lie in the left zone 2 in close proximity to the left internal carotid artery. The bullet has fragmented, with a resultant secondary projectile fragment (red arrowhead) causing fracture disruption of the hyoid bone (blue arrow). Despite the penetrating laryngeal injury, successful intubation has been achieved
Facial trauma
a Coronal reformatted MDCTA image of a 16-year-old man who sustained a gunshot injury to the right superior zone 2. There is a large haematoma in the right submandibular region, extending medially into the ipsilateral sublingual space and oral cavity, as well as laterally into the supero-lateral facial and buccal soft tissues. The comminuted fracture of the affected posterior aspect of the body of the right hemimandible has yielded numerous fracture fragments which have potentiated soft tissue damage. Because of marked haematoma and haemorrhagic debris affecting the oral cavity and oropharynx, emergency per-oral endotracheal intubation could not be performed and the patient has emergency cricothyroidotomy cannulation in situ. b Axial MDCTA image of the same patient as in a. The extensive soft tissue haematoma and oedematous swelling of the right oral cavity, oropharynx, sublingual space, submandibular space and facial region is evident as well as the in-driven comminuted bone fragments arising from the right hemimandible. Bilateral soft tissue emphysema is present. Note the absence of per-oral endotracheal intubation. c Three-dimensional VRT of the mandible demonstrating the relatively focal comminution of the right hemimandible caused by bullet impact and the resultant dispersal of in-driven bone fracture fragments. Three-dimensional volume-rendered images can be particularly helpful to the maxillofacial surgeon managing such injuries and also in assisting criminal police investigations and court presentations
a Axial non-contrast CT face image on bone-window setting of a 51-year-old man with self-inflicted shotgun injury to the face. The high mortality of self-inflicted shotgun injuries to the face relates to the high tissue-destructive energy of a shotgun fired at close range to the target (compared with long range) as well as the “billiard-effect” created by the shotgun pellets. In this case, the marked avulsion of the facial soft tissues is evident as well as the marked bone disruption and fragmentation of the facial and mandibular skeleton. b Axial non-contrast CT image through the brain on bone-window settings of the same patient as in a. An in-driven canine tooth and attached alveolar bone fragment (black arrow) has penetrated the left frontal lobe, in addition to some of the shotgun pellets. The in-driven fragments of facial skeleton in orbito-facial projectile penetrating injury may become significant secondary damaging projectiles, particularly to the brain
a Axial non-contrast CT face image in a 19-year-old male victim of a shotgun injury to the orbito-facial region. Multiple shotgun pellets are identified in the malar soft tissues, nasal fossae, maxillary sinuses, nasopharynx and masticator space, particularly on the right at this axial level. Fracture fragmentation of the right maxillary sinus, malar and retroantral haematoma and antral haemorrhagic fluid are present. The involvement of the nasal, nasopharyngeal and oral (the latter not shown) airway raises potential for distal migration of pellets (as well as of in-driven tissue fragments) through the upper aerodigestive tract into the lower respiratory tract and gastrointestinal tract. b Plain chest radiograph in the same patient as in 13a performed during trauma survey on admission demonstrates distal migration of a shotgun pellet (blue arrow) into the mid-oesophagus (confirmed on CT chest assessment [not shown]). The patient is intubated. c Axial image of a contrast-enhanced CT thorax of the same patient as in a and b, performed 12 h later also confirms aspiration of a shotgun pellet (blue arrow) associated with distal subsegmental left lower lobe atelectasis (blue arrowhead). There had also been further distal intra-oesophageal migration of the mid-oesophageal shotgun pellet (image not shown)
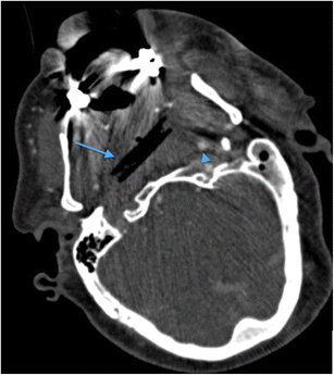
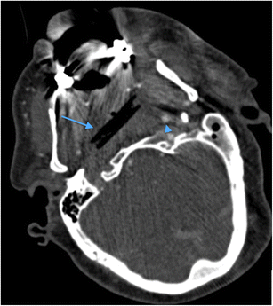
Axial MDCTA image through the infratemporal fossa of a 59-year-old man who fell on to a garden bamboo stick (thin blue arrow) which penetrated the left buccal region of the facial soft tissues, lodging and breaking-off in the retropharyngeal region of the nasopharynx and causing dissection occlusion of the right internal carotid artery (note the normal contralateral left internal carotid artery [blue arrowhead]). The geometric margin of the air-containing abnormality highlights the radiologic features consistent with an embedded foreign body fragment of organic material (wood). The patient subsequently developed a near-total thromboembolic right middle cerebral artery territory infarct (imaging not shown)
Conclusion
The challenges facing the radiologist in imaging assessment of penetrating trauma of the neck and face are numerous and impact significantly on the effective management of these patients in the acute setting. Knowledge of the current recommended imaging protocols (primarily MDCTA) and relevant radiological appearances in this complex anatomical area can affect outcome significantly.
References
- 1.Smith K, Coleman K, Eder S, Hall P (eds) (2010) Crime in England and Wales: quarterly update to December 2010. Home office statistical bulletin 04/11. Home Office, LondonGoogle Scholar
- 2.Smith K, Coleman K, Eder S, Hall P (eds) (2010) Homicides, firearm offences and intimate violence 2009/10: supplememtary volume 2 to crime in England and Wales 2009/10. Home office statistical bulletin 01/11. Home Office, LondonGoogle Scholar
- 3.Bell RB, Osborn T, Dierks EJ, Potter BF, Long WB (2007) Management of penetrating neck injuries: a new paradigm for civilian trauma. J Oral Maxillofac Surg 65:691–705PubMedCrossRefGoogle Scholar
- 4.Blair VP (1921) A note on the treatment of secondary hemorrhage from branches of the common carotid artery. Ann Surg 74(3):313–315PubMedPubMedCentralCrossRefGoogle Scholar
- 5.Fogelman MJ, Stewart RD (1956) Penetrating wounds of the neck. Am J Surg 91(4):581–593PubMedCrossRefGoogle Scholar
- 6.Markey JC, Hines JL, Nance FC (1975) Penetrating neck wounds: a review of 218 cases. Am J Surg 41(2):77–83Google Scholar
- 7.Roon AJ, Christensen N (1979) Evaluation and treatment of penetrating cervical injuries. J Trauma 19(6):391–397PubMedCrossRefGoogle Scholar
- 8.Monson DO, Saletta JD, Freeark RJ (1969) Carotid vertebral trauma. J Trauma 9(12):987–999PubMedCrossRefGoogle Scholar
- 9.Auyao AM, Kaledzi YL, Parsa MH, Freeman HP (1985) Penetrating neck wounds. Mandatory versus selective exploration. Ann Surg 202(5):563–567CrossRefGoogle Scholar
- 10.Belinkie SA, Russell JC, DaSilva J, Becker DR (1983) Management of penetrating neck injuries. J Trauma 23(3):235–237PubMedCrossRefGoogle Scholar
- 11.Bishara RA, Pasch AR, Douglas DD, Schuler JJ, Lim LT, Flanigan DP (1986) The necessity of mandatory exploration of penetrating zone II neck injuries. Surgery 100(4):655–660PubMedGoogle Scholar
- 12.Cabasares HV (1982) Selective surgical management of penetrating neck trauma. 15-year experience in a community hospital. Am Surg 48(7):355–358PubMedGoogle Scholar
- 13.Campbell FC, Robbs JV (1980) Penetrating injuries of the neck: a prospective study of 108 patients. Br J Surg 67(8):582–586PubMedCrossRefGoogle Scholar
- 14.Carducci B, Lowe RA, Dalsey W (1986) Penetrating neck trauma: consensus and controversies. Ann Emerg Med 15(2):208–215PubMedCrossRefGoogle Scholar
- 15.De la Cruz A, Chandler JR (1973) Management of penetrating wounds of the neck. Surg Gynecol Obstetr 137(3):458–460Google Scholar
- 16.Dunbar LL, Adkins RB, Waterhouse G (1984) Penetrating injuries to the neck. Selective management. Ann Surg 50(4):198–204Google Scholar
- 17.Ordog GL (1987) Penetrating neck trauma. J Trauma 27(5):543–554PubMedCrossRefGoogle Scholar
- 18.Gracias VH, Reilly PM, Philpoo J, Klein WP, Lee SY, Singer M, Schwab CW (2001) Computed tomography in the evaluation of penetrating neck trauma: a preliminary study. Arch Surg 136(11):1231–1235PubMedCrossRefGoogle Scholar
- 19.Nunez DB Jr, Torres-Leon M, Munera F (2004) Vascular injuries of the neck and thoracic inlet: helical CT-angiographic correlation. Radiographics 24(4):1087–1098PubMedCrossRefGoogle Scholar
- 20.Mazolewski PJ, Curry JD, Browder T, Fildes J (2001) Computed tomographic scan can be used for surgical decision making in zone II penetrating neck injuries. J Trauma 51(2):315–319PubMedCrossRefGoogle Scholar
- 21.Munera F, Soto JA, Palacio DM, Castaneda J, Morales C, Sanabria A, Gulterrez JE, Garcia G (2002) Penetrating neck injuries: helical CT angiography for initial evaluation. Radiology 224(2):366–372PubMedCrossRefGoogle Scholar
- 22.Osborn TM, Bell RB, Qaisi W, Long WB (2008) Computed tomographic angiography as an aid to clinical decision-making in the selective management of penetrating injuries to the neck: a reduction in the need for operative exploration. J Trauma 64(6):1466–1471PubMedCrossRefGoogle Scholar
- 23.Munera F, Soto JA, Nunez D (2004) Penetrating injuries of the neck and the increasing role of CTA. Emerg Radiol 10(6):303–309PubMedGoogle Scholar
- 24.LeBlang SD, Nunez DB, Rivas LA, Falcone S, Pogson SE (1997) Helical computed tomographic angiography in penetrating neck trauma. Emerg Radiol 4(4):200–206CrossRefGoogle Scholar
- 25.Munera F, Cohn S, Rivas L (2005) Penetrating injuries of the neck: use of helical computed tomographic angiography. J Trauma 58(2):413–418PubMedCrossRefGoogle Scholar
- 26.Inaba K, Munera F, McKenney M, Rivas L, de Moya M, Bahouth H, Cohn S (2006) Prospective evaluation of screening multislice helical computed tomographic angiography in the initial evaluation of penetrating neck injuries. J Trauma 61(1):144–149PubMedCrossRefGoogle Scholar
- 27.Bagheri SC, Khan HA, Bell RB (2008) Penetrating neck injuries. Oral Maxillofac Surg Clin N Am 20(3):393–414CrossRefGoogle Scholar
- 28.Offiah C, Twigg S (2009) Imaging assessment of penetrating craniocerebral and spinal trauma. Clin Radiol 64(12):1146–1157PubMedCrossRefGoogle Scholar
- 29.Powers DB, Robertson OB (2005) Ten common myths of ballistic injuries. Oral Maxillofac Surg Clin N Am 17(3):251–259CrossRefGoogle Scholar
- 30.Harvey EN, Korr IM (1947) Secondary damage in wounding due to pressure changes accompanying the passage of high velocity missiles. Surgery 21(2):218–239PubMedGoogle Scholar
- 31.Ansensio JA, Valenziano CP, Falcone RE, Grosh JD (1991) Management of penetrating neck injuries: the controversy surrounding zone II injuries. Surg Clin N Am 71(2):267–296Google Scholar
- 32.LeBlang SD, Nunez DB Jr (1999) Helical CT of cervical spine and soft tissue injuries of the neck. Radiol Clin N Am 37(3):515–532PubMedCrossRefGoogle Scholar
- 33.Kuehne JP, Weaver FA, Papanicolaou G, Yellin AE (1996) Penetrating trauma of the internal carotid artery. Arch Surg 131(9):942–947PubMedCrossRefGoogle Scholar
- 34.Ramadan F, Rutledge R, Oller D, Howell P, Baker C, Keagy B (1995) Carotid artery trauma: a review of contemporary trauma center experiences. J Vasc Surg 21(1):46–55PubMedCrossRefGoogle Scholar
- 35.Gonzalez RP, Falimirski M, Holevar MR, Turk B (2003) Penetrating zone II neck injury: does dynamic computed tomographic scan contribute to the diagnostic sensitivity of physical examination for surgically significant injury? A prospective blinded study. J Trauma 54(1):61–64PubMedCrossRefGoogle Scholar
- 36.Munera F, Soto JA, Palacio D, Velez SM, Medina E (2000) Diagnosis of arterial injuries caused by penetrating trauma to the neck: comparison of helical CT angiography and conventional angiography. Radiology 216(2):356–362PubMedCrossRefGoogle Scholar
- 37.Cheadle W, Richardson JD (1982) Options in management of trauma to the esophagus. Surg Gynecol Obstet 155(3):380–384PubMedGoogle Scholar
- 38.Anensio JA, Berne J, Demetriades D, Murray J, Gomez H, Falabella A, Fox A, Velmahos G, Shoemaker W, Berne TV (1997) Penetrating esophageal injuries: time interval of safety for preoperative evaluation—how long is safe? J Trauma 43(2):319–324CrossRefGoogle Scholar
- 39.Steenburg SD, Sliker CW, Shanmuganathan K, Siegel EL (2010) Imaging evaluation of penetrating neck injuries. Radiographics 30:869–886PubMedCrossRefGoogle Scholar
- 40.Horwitz B, Krevsky B, Buckman RF Jr, Fisher RS, Dabezies MA (1993) Endoscopic evaluation of penetrating esophageal injuries. Am J Gastroenterol 88(8):1249–1253PubMedGoogle Scholar
- 41.Ahmed N, Massier C, Tassie J, Whalen J, Chung R (2009) Diagnosis of penetrating injuries of the pharynx and esophagus in the severely injured patient. J Trauma 67(1):152–154PubMedCrossRefGoogle Scholar
- 42.Messmer JM, Flerro MF (1986) Radiologic forensic investigation of fatal gunshot wounds. Radiographics 6(3):457–473PubMedCrossRefGoogle Scholar
- 43.Demetriades D, Velmahos GG, Ansensio JA (2001) Cervical pharyngoesophageal and laryngotracheal injuries. World J Surg 25(8):1044–1048PubMedCrossRefGoogle Scholar
- 44.Kuttenberger JJ, Hardt N, Schlegel C (2004) Diagnosis and initial management of laryngotracheal injuries associated with facial fractures. J Craniomaxillofac Surg 32(2):80–84PubMedCrossRefGoogle Scholar
- 45.Verschueren DS, Bell RB, Bagheri SC, Dierks EJ, Potter BE (2006) Management of laryngotracheal injuries associated with craniomaxillofacial trauma. J Oral Maxillofac Surg 64(2):203–214PubMedCrossRefGoogle Scholar
- 46.Bell RB, Verschueren DS, Dierks EJ (2008) Management of laryngeal trauma. Oral Maxillofac Surg Clin N Am 20(3):415–430CrossRefGoogle Scholar
- 47.Schaefer SD (1991) The treatment of acute external laryngeal injuries. ‘State of the art’. Arch Otolaryngol Head Neck Surg 117(1):35–39PubMedCrossRefGoogle Scholar
- 48.Jandial R, Reichwage B, Levy M, Duenas V, Sturdivan L (2008) Ballistics for the neurosurgeon. Neurosurgery 62(2):472–480PubMedCrossRefGoogle Scholar
- 49.Denton JS, Segovia A, Filkins JA (2006) Practical pathology of gunshot wounds. Arch Pathol Lab Med 130:1283–1289PubMedGoogle Scholar
- 50.Hollerman JJ, Fackler ML, Coldwell DM, Ben-Menachem Y (1990) Gunshot wounds: 1. Bullets, ballistics and mechanisms of injury. AJR 155:685–690PubMedCrossRefGoogle Scholar
- 51.Kim PE, Go JL, Zee C (2002) Radiographic assessment of cranial gunshot wounds. Neuroimaging Clin N Am 12:229–248PubMedCrossRefGoogle Scholar
- 52.Peterson JJ, Bancroft LW, Kransdorf MJ (2002) Wooden foreign bodies: imaging appearance. Am J Roentgenol 178(3):557–562CrossRefGoogle Scholar
- 53.Krimmel M, Cornelius CP, Stojadinovic S, Hoffmann J, Reinert S (2001) Wooden foreign bodies in facial injury: a radiological pitfall. Int J Oral Maxillofac Surg 30(5):445–447PubMedCrossRefGoogle Scholar
- 54.Imokawa H, Tazawa T, Sugiura N, Oyake D, Yosino K (2003) Penetrating neck injuries involving wooden foreign bodies: the role of MRI and the misinterpretation of CT images. Auris Nasus Larynx 30(Suppl):S145–S147PubMedCrossRefGoogle Scholar
Copyright information
Open AccessThis article is distributed under the terms of the Creative Commons Attribution License which permits any use, distribution, and reproduction in any medium, provided the original author(s) and the source are credited.














