In vitro propagation and genetic fidelity study of plant regenerated from inverted hypocotyl explants of eggplant (Solanum melongena L.) cv. Arka Shirish
- 2.3k Downloads
- 1 Citations
Abstract
Genetic variation due to somaclonal variation in micropropagated plants is a beneficial phenomenon for crop improvement. Genetic integrity of the plants derived through micropropagation becomes crucial if genetic transformation studies have to be carried out. Somaclonal variation in tissue culture is a common phenomenon which makes it mandatory to check for genetic stability of plants. Hypocotyl explants of Solanummelongena L. cv. Arka Shirish inoculated with inverted polarity in MS media supplemented with 0.5 mg L−1 thidiazuron (TDZ) gave maximum number of shoot buds. Elongation of the shoot buds was achieved on MS medium supplemented with 0.5 mg L−1 2, 3, 5-triiodobenzoic acid (TIBA) and 0.1 mg L−1 gibberellic acid (GA3). The elongated shoots were rooted in MS with 1 mg L−1 indole-3-butyric acid (IBA), and the rooted plants were hardened in the greenhouse. Morphological characteristics were similar in both seed-propagated and micropropagated plants. Random amplified polymorphic DNA analysis carried out with 10 primers for genetic stability studies of the regenerated plants generated 96 scorable bands with a total of 1,056 bands for the primers. Comparison of the bands with the mother plant revealed the monomorphic nature and true-to-type clones. The above regeneration protocol will be useful for micropropagation and genetic transformation studies of S.melongena L. cv. Arka Shirish.
Keywords
Solanummelongena cv. Arka Shirish Hypocotyl RAPD Shoot buds Thidiazuron InvertedIntroduction
Eggplant (Solanummelongena L.), a member of the Solanaceae family, is an economically important vegetable crop of Indian origin. Eggplant can be consumed raw, boiled, stuffed or made into soups or pickles (Asaolu and Asaolu 2002). Commonly known as brinjal in India, it is a good source of vitamins and minerals (Singh and Kumar 2006). Tissue extracts of eggplant can be used in the treatment of asthma, bronchitis, cholera and dysuria. Fruits and leaves of eggplant can be used for lowering blood cholesterol and can be given to diabetics and obese patients as it is low in calories and high in potassium (Kashyap et al. 2003; Singh and Kumar 2006; Rajam and Kumar 2007). It is mostly cultivated in tropical and temperate regions of the world. The three main varieties of eggplant include egg-shaped (S. melongena var. esculentum), long and slender in shape (S. melongena var. serpentium) and dwarf types (S. melongena var. depressum) (Rajam and Kumar 2007).
In eggplant, various protocols on in vitro regeneration have been carried out using various auxins and cytokinins either alone (Gleddie et al. 1983; Magioli et al. 1998; Mukherjee et al. 1991) or in combinations (Matsuoka and Hinata 1979) using various explants. Two different cytokinin combinations have been used for regeneration of eggplant from roots (Franklin et al. 2004). In spite of several protocols for regeneration being reported in eggplant, the regeneration efficiency has been shown to be influenced by explant type, genotype and also the morphogenetic response varying within the same explant (Sharma and Rajam 1995). The advent of new biotechnological approaches has opened up newer areas for eggplant micropropagation and genetic improvement. Micropropagation is the prerequisite for Agrobacterium-mediated genetic transformation studies in any plant, and true-to-type clonal fidelity is a must for micropropagation of any crop plant. Plant cell culture results in high frequency of variation in regenerated plants (Larkin and Scowcroft 1981). Owing to this variation, the resulting plant may not possess the same properties as that of the parent plant. These somaclonal variations can be detected through morphological, physiological/biochemical and molecular techniques (Bairu et al. 2011). Of these, molecular techniques are superior to morphological and biochemical techniques.
Various types of DNA-based molecular markers (RAPD, RFLP, ISSR, AFLP) have been used in applications in plant genetics and tissue culture studies (Sharma et al. 2007; Devarumath et al. 2002). Random amplified polymorphic DNA marker is often used in genetic variation studies in tissue-culture-derived plants when compared with restriction fragment length polymorphism (RFLP) because of the less quantity of DNA required, ease of use, low cost, reliability, less time consuming, and does not require prior knowledge of the nucleotide sequence of the organism under study, with no radioactive probes and no expensive restriction enzymes involved (Williams et al. 1990).
This paper reports regeneration of S.melongena L. cv. Arka Shirish, green long variety of eggplant from hypocotyl explants as well as studying the morphological characters, and also analyzing the genetic stability using RAPD technique of the greenhouse-grown tissue-cultured plants.
Materials and methods
Germplasm and explants used
Seeds of S.melongena L. cv. Arka Shirish were obtained from the Indian Institute of Horticultural Research, Bangalore, India. Seeds were thoroughly washed in running tap water and then surface sterilized with 0.1 % mercuric chloride (HgCl2). Mercuric chloride treated seeds were rinsed two to three times in sterile distilled water and soaked in sterile distilled water overnight. They were placed aseptically in Petri dishes with sterile filter paper soaked in distilled water for germination. The germinated seeds (85–90 %) were inoculated into half-strength MS medium (Murashige and Skoog 1962) devoid of any growth regulators. Hypocotyls from 15-day-old in vitro germinated seedlings were used as explants. These were devoid of roots, cotyledonary leaves and apical meristem. These were cut aseptically into 1-cm-long pieces and inoculated in horizontal mode. The entire hypocotyls of 5–7 cm length were used as explant for inoculating in inverted and vertical polarity for organogenesis.
Culture media and conditions for shoot bud induction, elongation and rooting
MS media supplemented with 2 % sucrose was used as basal medium. Hypocotyls excised from seedlings were inoculated into basal medium with varying thidiazuron (TDZ; Sigma, USA) concentration for shoot bud induction. This hormone was selected based on the previous report of Magioli et al. (1998). For hypocotyl explants inoculated in horizontal mode, 3 Petri plates with 25 explants per plate were used, whereas for vertical and inverted mode of inoculation, 1 explant was cultured per tube. The TDZ concentrations used were 0.5, 1 and 2 mg L−1. The elongation of the shoot buds was obtained on basal medium with various concentrations of 2,3,5-triiodobenzoic acid (TIBA; Sigma, USA) and gibberellic acid (GA3; Sigma, USA) either alone or in combination. The elongated shoots were rooted in rooting medium having MS salts, vitamins, 3 % sucrose and varying concentrations of indole-3-butyric acid (IBA; Sigma, USA). Phytagel (3 % w/v) was used as the gelling agent for hypocotyl explants, which were to be inoculated in inverted mode. The pH of all the media were adjusted to 5.7 ± 0.2 prior to autoclaving at 1.06 kg cm−2 at a temperature of 121 °C for 15 min, which were dispensed into respective glasswares. The inoculated cultures were incubated at 25 ± 2 °C light under 16/8 h of photoperiod with 25 μmol m−2 s−1 light intensity. Growth measurements and data were collected periodically and analyzed statistically.
Hardening of the rooted shoots
The rooted plants were washed off their agar under running tap water and transferred to plastic cups having sand:compost mixture (1:2) in greenhouse. These cups were covered with polyethylene bags with punched holes. The plantlets were hardened for 60 days and then transferred to pots with farmyard manure.
For comparative studies, seed-propagated plants were also grown under the identical greenhouse conditions.
Characteristics of seed-propagated and tissue-cultured greenhouse-grown plants
Morphological analysis
Morphological traits of mature plants both of seed-propagated and tissue-culture-derived means were recorded (Table 4).
Estimation of total chlorophyll content in leaves
Fruit quality traits
The following biochemical parameters were analyzed for the fruits of seed-propagated and tissue-cultured plants.
Total phenolic content in fruits
Sample preparation and total phenolic content determination were done as described by Samee et al. (2006) with slight modification. Mature fruits of both seed-propagated and tissue-cultured plants were harvested from greenhouse. One gram of each fruit was extracted with 80 % ethanol and centrifuged at 8,000 rpm for 10 min. The supernatant so obtained was saved. The residue was re-extracted twice with 80 % ethanol. The supernatants were pooled and evaporated to dryness at room temperature, and the extract was diluted with 3 mL of distilled water. An aliquot of 100 μL of the extract was again diluted to 3 mL with distilled water. To this 0.5 mL of Folin–Ciocalteu reagent (1: 10 diluted) was added. After 3 min, 2 mL of 20 % sodium carbonate was added and vortexed. The absorbance was measured at 750 nm. The results were expressed as gallic acid equivalent in milligrams per 100 g fresh weight material.
Total carbohydrate content in fruits
The total carbohydrates were estimated using anthrone reagent as described by Sadasivam and Manickam (2008). Essentially, 100 mg of seed-propagated and tissue-cultured fruits were hydrolyzed with 2.5 N HCl in boiling water bath for 3 h and then cooled to room temperature. This was then neutralized with solid sodium carbonate until the effervescence ceased. The supernatant so obtained after centrifugation was used to determine the total carbohydrate content, which was expressed as gram per 100 g fresh weight.
Total protein in fruits
The crude protein was extracted from seed-propagated and tissue-cultured fruits using 0.1 M potassium phosphate buffer of pH 6.8 containing 10 mM ascorbic acid. The total protein content was analyzed using Lowry et al.’s (1951) method. The total protein content in fruit was expressed as gram per 100 g fresh weight.
Moisture content in fruits
The fruits were dried at 60–70 °C overnight in an oven, and the reduction in weight was calculated according to official method (AOCS 2003). The moisture content was expressed in percentage.
Mineral content analysis in fruits
Oven dried fruits were incinerated in a muffle furnace at 550 °C until ash. The ash so obtained was taken in aqua regia. Zinc, iron, potassium, magnesium and sodium were estimated by atomic absorption flame emission spectroscopy (Model AA-670IF; Shimadzu Corporation) with a graphite furnace attachment (Khan et al. 2011) after diluting with the respective acid. The minerals were quantified using reference standards. Potassium was analyzed using 2 % strontium chloride as the matrix modifier. They were expressed as milligrams per 100 g fresh weight.
Genetic stability analysis using RAPD
Genomic DNA was isolated from fresh young leaves of ten micropropagated and seed-propagated plants grown in greenhouse using HiPure Plant genomic DNA extraction kit (Hi Media, India). Quantification of DNA was done based on spectrophotometric analysis. The samples were diluted to a concentration of 25 ng μL−1. A total of 30 primers (Sigma, St. Louis, Missouri) were used for RAPD analysis and out of which 10 were selected based on the reproducibility of the bands. RAPD amplifications were performed using 25 μL PCR mixture containing 25 ng of genomic DNA, 1× PCR buffer (Bangalore Genei, Bangalore, India), 200 μM dNTPs (Bangalore Genei, Bangalore, India), 1 U Taq DNA polymerase (Sigma) and 1 μM of each primer (Sigma, St.Louis, Missouri) in a thermal cycler (Eppendorf Mastercycler® Hamburg Germany). The PCR conditions were 94 °C for 4 min, followed by 36 cycles of amplification with 1 min denaturation at 94 °C, 1 min annealing at 37 °C, and 1.5 min extension at 72 °C, and a final extension of 72 °C for 10 min. The PCR products were electrophoresed on 1.5 % agarose gel with 10 kb DNA marker (MBI Fermentas, Lithuania) and documented using Hero-Lab GmbH (Germany). RAPD analysis was repeated twice using each primer to establish reproducibility of the banding pattern of different DNA samples of S. melongena.
Statistical and RAPD analysis
Shoot bud induction in hypocotyl explants of S. melongena L.
| Explant orientation | TDZ (mg L−1) | No. of shoot buds/explant# |
|---|---|---|
| Horizontal | 0.5 | 31 ± 1.9d |
| 1 | 37 ± 0.9e | |
| 2 | 7 ± 0.3b | |
| Vertical | 0.5 | 1 ± 0.3a |
| 1 | 1 ± 0.6a | |
| 2 | 1 ± 0.6a | |
| Inverted | 0.5 | 40 ± 1.5f |
| 1 | 31 ± 0.9d | |
| 2 | 14 ± 0.6c |
Results and discussion
Shoot multiplication, rooting and hardening
a Shoot buds from hypocotyl explant of S. melongena inoculated in inverted orientation in MS medium supplemented with 0.5 mg L−1 thidiazuron (TDZ). b Shoot buds from hypocotyl explants of S. melongena inoculated in horizontal direction in MS medium supplemented with 1 mg L−1 TDZ. c Shoot buds elongation from hypocotyl explants of S. melongena inoculated in inverted orientation in 0.5 mg L−1 2,3,5-triiodobenzoic acid (TIBA) and 0.1 mg L−1 gibberellic acid (GA3). d Rooted plant of S. melongena in MS medium supplemented with 1 mg L−1 indole-3-butyric acid (IBA). e Hardened plant in greenhouse. Scale = 3.5 cm. f Hardened plant with fruit. Scale = 10.0 cm
Elongation of shoot buds of S. melongena L.
| Growth regulator MS + 2 % sucrose | No. of shoots buds elongated# | Shoot length (cm)# | |
|---|---|---|---|
| TIBA (mg L−1) | GA3 (mg L−1) | ||
| 0 | 0 | 1 ± 0.3a | 0.4 ± 0.1a |
| 0 | 0.05 | 9 ± 1.5bc | 1.2 ± 0.4abc |
| 0 | 0.1 | 9 ± 0.3bc | 2.0 ± 0.6cdeg |
| 0 | 0.5 | 8 ± 1.5b | 1.5 ± 0.4bce |
| 0.1 | 0.1 | 10 ± 0.9bcd | 2.5 ± 0.3defg |
| 0.1 | 0.5 | 11 ± 1.2 cd | 2.4 ± 0.2efg |
| 0.5 | 0.1 | 19 ± 0.6e | 3.3 ± 0.2fg |
| 0.5 | 0.5 | 13 ± 0.7d | 2.7 ± 0.1g |
The various explants of eggplant have been reported for the induction of organogenesis in different media combination, which include hypocotyls (Magioli et al. 1998; Matsuoka and Hinata 1979), leaf (Gleddie et al. 1983; Magioli et al. 1998; Mukherjee et al. 1991), roots (Franklin et al. 2004), cotyledons (Magioli et al. 1998), nodes (Magioli et al. 1998) and epicotyls (Magioli et al. 1998). The differences in response of the explants maybe due to the regeneration efficiency of the explants, which is influenced by explant type, genotype and also the morphogenetic response varying within the same explant (Sharma and Rajam 1995). Organogenesis from root explants reported by Franklin et al. (2004) showed decrease in organogenetic potential of the root explants with age. However, shoot buds via intervening callus stage were reported by them in TDZ along with BAP media for root explants.
In the present study, culturing of hypocotyl with inverted polarity gave maximum shoot buds than the hypocotyl inoculated in horizontal direction. This may be due to the new meristematic activity of the apical organogenic region which is in direct contact with the medium under the influence of growth regulators as reported by Kumar et al. (2005) in Capsicumannuum L. Radiolabelling of growth regulators in hypocotyl explants of Pelargonium × hortorum Bailey have shown that auxin transport increases when apical region of the explant is in contact with the medium (Murch and Saxena 2001).
Prolonged exposure to TDZ media is reported to result in short shoots, which often fail to develop roots (Magioli et al. 1998). We used combination of TIBA and GA3 for the elongation of shoot buds based on the observation of Cambecédes et al. (1991) in Lonicera nitida Wils. cv. ‘Maigriin’. They hypothesized that TIBA may cause inhibition of auxin transport to regeneration site as a result of which a balance between auxin and cytokinin was established, which helped in shoot regeneration of L. nitida Wils. cv. ‘Maigriin’ (Cambecédes et al. 1991).
Rooting of elongated shoots of S. melongena L.
| IBA (mg L−1) | No. of roots | Shoot length (cm)# | Root length (cm)# |
|---|---|---|---|
| 0.1 | 0 ± 0a | 3.7 ± 0.9b | 0 ± 0a |
| 0.25 | 1 ± 0b | 2.0 ± 0.7a | 0.8 ± 0.4a |
| 0.5 | 2 ± 0.6b | 3.9 ± 0.2bc | 5.8 ± 0.3c |
| 1 | 4 ± 0.7c | 4.9 ± 0.8c | 5.6 ± 1.1bc |
Morphological characteristic and RAPD analysis of the greenhouse-grown plants
Somaclonal variation during in vitro propagation may arise from pre-existing variations, the type of explant used, the concentration and type of growth regulator in the medium, number and duration of subcultures, effect of stress, genotype and the method of propagation adopted. The chance of variation is more when plants are regenerated via an intermediate callus phase (Bairu et al. 2011). The level of synthetic plant growth regulators in the medium is also coupled with somaclonal variation (Martin et al. 2006).
In this study, we have regenerated plants from hypocotyl explants using TDZ, a synthetic plant growth regulator, and hence it becomes obligatory to check for the genetic stability of the regenerated plant before it could be used for Agrobacterium-mediated genetic transformation studies.
Morphological and biochemical characteristics of seed-propagated and tissue-cultured grown plants under greenhouse condition
| Seed-propagated plant# | Tissue-cultured plant# | |
|---|---|---|
| Morphological | ||
| Stem: anthocyanin coloration | Absent | Absent |
| Leaf: length (cm) | 22.3 ± 1.0a | 24 ± 0.6a |
| Leaf: width (cm) | 23.5 ± 0.9a | 22 ± 1.2a |
| Leaf: spininess | Absent | Absent |
| Leaf: color of vein | Green | Green |
| Inflorescence: no. of flowers | 1–3 | 1–3 |
| Fruit: length (cm) | 27.1 ± 0.5a | 25.2 ± 1.7a |
| Fruit: length to diameter ratio | 2.09 | 2.12 |
| Fruit: color of skin at harvesting | Green | Green |
| Fruit: color of calyx | Green | Green |
| Fruiting pattern | Solitary | Solitary |
| Fruit weight (g) | 150.5 ± 0.2a | 148.5 ± 0.9a |
| Plant: height (cm) | 72.5 ± 1.4a | 69.5 ± 2.6a |
| Total chlorophyll content in leaves (mg g−1 FW) | 1.2 ± 0.002a | 1.2 ± 0.002a |
| Fruit quality traits | ||
| Moisture content (%) | 90.9 ± 0.1a | 89.8 ± 0.7a |
| Total proteins (g/100 g FW) | 0.9 ± 0.04a | 1.0 ± 0.08a |
| Total carbohydrates (g/100 g FW) | 8.0 ± 1.6a | 8.2 ± 0.4a |
| Total phenolic content (mg GAE/100 g FW) | 737.3 ± 28.9a | 740.0 ± 52.9a |
| Iron (mg/100 g FW) | 0.3 ± 0.06a | 0.2 ± 0.05a |
| Zinc (mg/100 g FW) | 0.2 ± 0.03a | 0.2 ± 0.00a |
| Sodium (mg/100 g FW) | 3.3 ± 0.15a | 3.6 ± 0.03a |
| Potassium (mg/100 g FW) | 344 ± 2.3a | 341 ± 1.5a |
| Magnesium (mg/100 g FW) | 13.7 ± 0.09a | 14.6 ± 0.15a |
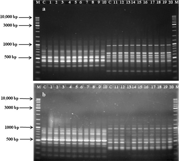
It was seen that morphological analysis of the micropropagated plants did not show any variations, but these markers have the limitations of being dependent on environmental factors and do not represent the genetic constitution of the plant (Mandal et al. 2001). The regenerated plants were checked for their genetic stability using RAPD primers. Even though numerous protocols for eggplant micropropagation are available, somaclonal variation studies in eggplant are limited (Magioli and Mansur 2005; Collonnier et al. 2001). Only a few reports on molecular marker-based analysis of somaclonal variation is available in eggplant (Xing et al. 2010). Molecular markers have been used in eggplant for assessing genetic diversity and varietal differences, and in the construction of genetic linkage maps for the identification of useful agronomic traits (Collonnier et al. 2001; Kashyap et al. 2003). RAPD has been widely used in genetic variation studies in tissue-culture-derived plants as has been reported in Silybummarianum (L.) (Mahmood et al. 2010), Date Palm (Saker et al. 2000), and hop (Humulus lupulus L.) (Patzak 2003). Whereas in gerbera (Gerberajamesonii Bolus) (Bhatia et al. 2010), turmeric (Nayak et al. 2011) and Zingiberrubens (Mohanty et al. 2011) RAPD analysis showed absence of genetic variation.
List of primers with respective sequence, number and size range of bands generated with the RAPD primers
| Sl No. | Primer | Primer sequence 5′–3′ | No. of scorable bands | Size range (bp) |
|---|---|---|---|---|
| 1 | OPA-06 | GGTCCCTGAC | 14 | 375–1,250 |
| 2 | OPA-07 | GAAACGGGTG | 7 | 220–980 |
| 3 | OPA-11 | CAATCGCCGT | 6 | 600–1,550 |
| 4 | OPA-14 | CTCGTGCTGG | 11 | 175–1,000 |
| 5 | OPB-07 | GGTGACGCAG | 12 | 320–980 |
| 6 | OPC-06 | GAACGGACTC | 10 | 500–1,800 |
| 7 | OPC-20 | ACTTCGCCAC | 9 | 600–1,400 |
| 8 | OPD-16 | AGGGCGTAAG | 8 | 300–1,200 |
| 9 | OPJ-04 | CCGAACACGG | 8 | 500–1,300 |
| 10 | OPM-16 | GTAACCAGCC | 11 | 330–1,000 |
| Total | 96 |
a RAPD profiles using the primers OPB7 [lane C control plant, lanes 1–10 micropropagated plants, M 10 kb marker (Fermentas)] and OPA7 [lane C control plant, lanes 11–20 micropropagated plants, M 10 kb marker (Fermentas)]. b RAPD profiles using the primers OPA14 [lane C control plant, lanes 1–10 micropropagated plants, M 10 kb marker (Fermentas)] and OPD16 [lane C control plant, lanes 11–20 micropropagated plants, M 10 kb marker (Fermentas)]
In our studies, the crucial aspects, such as flowering, fruit setting and fruit characteristics, did not alter between seed-propagated and tissue-cultured plants. RAPD analysis of the micropropagated plants also showed genetic stability. Hence, it can be concluded that the micropropagation protocol developed in this study is suitable for micropropagation and in the genetic transformation studies of this economically important food value crop both in post-harvest and pre-harvest quality improvements.
Notes
Acknowledgments
PMN is grateful to the Indian Council of Medical Research (New Delhi, India) for the award of Junior Research Fellowship. This research was financially supported by the Department of Biotechnology, Government of India, New Delhi. We acknowledge the help of Indian Institute of Horticultural Research (IIHR) for providing the seeds of Arka Shirish.
References
- AOCS (2003) Official methods and recommended practices of the American Oil Chemists’ Society. In: Firestone D (ed) Methods—soxhlet extraction of oil: Ba 3-38, crude fiber: Ba 5b-68, fatty acid composition: Ce 2-66, moisture content: Da 2a-48, iodine value: Cd 1c-85, 5th edn. AOCS Press, ChampaignGoogle Scholar
- Asaolu MF, Asaolu SS (2002) Proximate and mineral compositions of cooked and uncooked Solanummelongena. Int J Food Sci Nutr 53:103–107CrossRefGoogle Scholar
- Bairu MW, Aremu AO, VanStaden J (2011) Somaclonal variation in plants: causes and detection methods. Plant Growth Regul 63:147–173CrossRefGoogle Scholar
- Bhatia P, Ashwath N (2004) Comparative performance of micropropagated and seed-grown tomato plants. Biol Plant 48:625–628CrossRefGoogle Scholar
- Bhatia R, Singh KP, Sharma TR, Jhang T (2010) Evaluation of the genetic fidelity of in vitro-propagated gerbera (Gerbera jamesonii Bolus) using DNA-based markers. Plant Cell Tissue Organ Cult. doi: 10.1007/s11240-010-9806-5
- Cambecédes J, Duron M, Decourtye L (1991) Adventitious bud regeneration from leaf explants of shrubby ornamental honeysuckle Lonicera nitida Wils cv. Maigriin: effects of thidiazuron and 2,3,5 tri-iodobenzoic acid. Plant Cell Rep 10:471–474CrossRefGoogle Scholar
- Collonnier C, Fock I, Kashyap V, Rotino GL, Daunay MC, Lian Y, Mariska IK, Rajam MV, Servaes A, Ducreux G, Sihachakr D (2001) Applications of biotechnology in eggplant. Plant Cell Tissue Organ Cult 65:91–107CrossRefGoogle Scholar
- Devarumath RM, Nandy S, Rani V, Marimuthu S, Muraleedharan N, Raina SN (2002) RAPD, ISSR and RFLP fingerprints as useful markers to evaluate genetic integrity of micropropagated plants of three diploid and triploid elite tea clones representing Camelliasinensis (China type) and C. assamica ssp. assamica (Assam-India type). Plant Cell Rep 21:166–173CrossRefGoogle Scholar
- Franklin G, Sheeba CJ, Lakshmi Sita G (2004) Regeneration of eggplant (Solanummelongena L.) from root explants. In Vitro Cell Dev Biol Plant 40:188–191CrossRefGoogle Scholar
- Gleddie S, Keller W, Setterfield G (1983) Somatic embryogenesis and plant regeneration from leaf explants and cell suspensions of Solanum melongena (eggplant). Can J Bot 61:656–666CrossRefGoogle Scholar
- Jayaraman J (1996) Laboratory manual in biochemistry. New Age International Publishers, New DelhiGoogle Scholar
- Kashyap V, Vinod Kumar S, Collonnier C, Fusari F, Haicour R, Rotino GL, Sihachakr D, Rajam MV (2003) Biotechnology of eggplant. Sci Hortic 97:1–25CrossRefGoogle Scholar
- Khan MI, Sri Harsha PS, Giridhar P, Ravishankar GA (2011) Pigment identification, antioxidant activity, and nutrient composition of Tinosporacordifolia (willd.) Miers ex Hook. f & Thoms fruit. Int J Food Sci Nutr 62:239–249CrossRefGoogle Scholar
- Kumar V, Gururaj HB, Prasad BCN, Giridhar P, Ravishankar GA (2005) Direct shoot organogenesis on shoot apex from seedling explants of Capsicumannuum L. Sci Hortic 106:237–246CrossRefGoogle Scholar
- Larkin PJ, Scowcroft WR (1981) Somaclonal variation—a novel source of variability from cell cultures for plant improvement. Theor Appl Genet 60:197–214CrossRefGoogle Scholar
- Lowry OH, Rosebrough NJ, Farr AL, Randall RJ (1951) Protein measurement with the Folin phenol reagent. J Biol Chem 193:265–275Google Scholar
- Magioli C, Mansur E (2005) Eggplant (Solanummelongena L.): tissue culture, genetic transformation and use as an alternative model plant. Acta Bot Bras 19:139–148CrossRefGoogle Scholar
- Magioli C, Rocha APM, de Oliveria DE, Mansur E (1998) Efficient shoot organogenesis of eggplant (Solanum melongena L.) induced by thidiazuron. Plant Cell Rep 17:661–663CrossRefGoogle Scholar
- Mahmood T, Nazar N, Abbasi BH, Khan MA, Ahmad M, Zafar M (2010) Detection of somaclonal variations using RAPD fingerprinting in Silybummarianum (L.). J Med Plants Res 4:1822–1824Google Scholar
- Mandal AB, Maiti A, Cowdhury B, Elanchezhian R (2001) Isoenzyme markers in varietal identification of banana. In Vitro Cell Dev Biol Plant 37:599–604CrossRefGoogle Scholar
- Martin KP, Pachathundikandi SK, Zhang CL, Slater A, Madassery J (2006) RAPD analysis of a variant of banana (Musa sp.) cv. Grande Naine and its propagation via shoot tip culture. In Vitro Cell Dev Biol Plant 42:188–192CrossRefGoogle Scholar
- Matsuoka H, Hinata K (1979) NAA-induced organogenesis and embryogenesis in hypocotyl callus of Solanummelongena L. J Exp Bot 30:363–370CrossRefGoogle Scholar
- Mohanty S, Panda MK, Sahoo S, Nayak S (2011) Micropropagation of Zingiberrubens and assessment of genetic stability through RAPD and ISSR markers. Biol Plant 55:16–20CrossRefGoogle Scholar
- Mukherjee SK, Rathinasabapathi B, Gupta N (1991) Low sugar and osmotic requirements for shoot regeneration from leaf pieces of Solanummelongena L. Plant Cell Tissue Organ Cult 25:13–16CrossRefGoogle Scholar
- Murashige T, Skoog F (1962) A revised medium for rapid growth and bioassays with tobacco tissue cultures. Physiol Plant 15:472–497CrossRefGoogle Scholar
- Murch SJ, Saxena PK (2001) Molecular fate of thidiazuron and its effects on auxin transport in hypocotyl tissues of Pelargonium × hortorum Bailey. Plant Growth Regul 35:269–275CrossRefGoogle Scholar
- Nayak S, Kaur T, Mohanty S, Ghosh G, Choudhury R, Acharya L, Subudhi E (2011) In vitro and ex vitro evaluation of long-term micropropagated turmeric as analyzed through cytophotometry, phytoconstituents, biochemical and molecular markers. Plant Growth Regul 64:91–98CrossRefGoogle Scholar
- Patzak J (2003) Assessment of somaclonal variability in hop (Humulus lupulus L.) in vitro meristem cultures and clones by molecular methods. Euphytica 131:343–350CrossRefGoogle Scholar
- Rajam MV, Kumar SV (2007) Eggplant. In: Pusa EC, Davey MR (eds) Biotechnology in agriculture and forestry, transgenic crops IV. Springer, Berlin, pp 201–219CrossRefGoogle Scholar
- Sadasivam S, Manickam A (2008) Biochemical methods. New Age International (P) Limited, New DelhiGoogle Scholar
- Saker MM, Bekheet SA, Taha HS, Fahmy AS, Moursy HA (2000) Detection of somaclonal variations in tissue culture-derived date palm plants using isoenzyme analysis and RAPD fingerprints. Biol Plant 43:347–351CrossRefGoogle Scholar
- Samee W, Engkalohakul M, Nebbua N, Direkrojanavuti P, Sornchaithawatwong C, Kamkaen N (2006) Correlation analysis between total acid, total phenolic and ascorbic acid contents in fruit extracts and their antioxidant activities. Thai Pharm Health Sci J 1:196–203Google Scholar
- Sharma P, Rajam MV (1995) Genotype, explant and position effects on organogenesis and somatic embryogenesis in eggplant (Solanum melongena L.). J Exp Bot 46:135–141CrossRefGoogle Scholar
- Sharma SK, Bryan GJ, WinWeld MO, Millam S (2007) Stability of potato (Solanumtuberosum L.) plants regenerated via somatic embryos, axillary bud proliferated shoots, microtubers and true potato seeds: a comparative phenotypic, cytogenetic and molecular assessment. Planta 226:1449–1458CrossRefGoogle Scholar
- Singh M, Kumar R (2006) Eggplant (Solanummelongena L.). In: Singh RJ (ed) Genetic resources, chromosome engineering, and crop improvement (vegetable crops), vol III. CRC Press Taylor and Francis Group, Boca Raton, pp 473–495Google Scholar
- Williams JGK, Kubelik AR, Livak KJ, Rafalski JA, Tingey SV (1990) DNA polymorphisms amplified by arbitrary primers are useful as genetic markers. Nucleic Acids Res 18:6531–6535CrossRefGoogle Scholar
- Xing Y, Yu Y, Luo X, Zhang J-N, Zhao B, Guo Y-D (2010) High efficiency organogenesis and analysis of genetic stability of the regenerants in Solanummelongena. Biol Plant 54:231–236CrossRefGoogle Scholar
Copyright information
This article is published under license to BioMed Central Ltd. Open Access This article is distributed under the terms of the Creative Commons Attribution License which permits any use, distribution and reproduction in any medium, provided the original author(s) and source are credited.


