Pancytopenia with focal serous atrophy (gelatinous transformation) of the bone marrow
- 88 Downloads
Keywords
Anorexia Nervosa Mantle Cell Lymphoma Pancytopenia Bendamustine Severe NeutropeniaDear Editor,
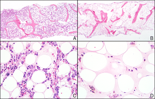
Bone marrow core specimen demonstrating focal serous atrophy and hypocellularity. A unilateral bone marrow biopsy with two trephine cores was obtained. a One bone marrow core shows relatively normal cellularity for age and normal appearing hematopoiesis. Subtle eosinophilic deposits are noted between areas of hematopoiesis. (hematoxylin and eosin, ×20 magnification). b Another area of the same marrow biopsy showing marked hypocellularity with prominent amorphous smooth to slightly fibrillar eosinophilic protein deposits between areas of reduced hematopoiesis (hematoxylin and eosin, ×20 magnification). c Higher power view of the marrow core shown above in (a). The hematopoiesis appears normal, with atrophic adipocytes surrounded by eosinophilic proteinaceous deposits (hematoxylin and eosin, ×400 magnification). d Another area of the marrow core from above (b) at higher magnification. Hematopoiesis is extremely sparse; scattered hemosiderin laden macrophages and amorphous eosinophilic protein deposits are present (hematoxylin and eosin, ×400 magnification)
Serous atrophy, or gelatinous marrow transformation (GMT), is an uncommon finding that while not specific for one particular disease entity, can be seen as a severity indicator of general illness. While the pathogenesis of GMT is not completely understood, it has been associated frequently with weight loss and malnutrition in as high as 70 % of cases [2]. The largest GMT series have reported a strong male gender predominance, and note other frequently observed associated conditions such as carcinomas, lymphomas, chronic infections, clonal myeloid disorders, status post recent chemotherapy, alcoholism, anorexia nervosa, and heart failure [2, 3, 4]. Mild normocytic anemia is the most common cytopenia reported with GMT, whereas pancytopenia with severe neutropenia as seen here has been less commonly reported. Interestingly, GMT may have focal or diffuse involvement of the marrow space as our case demonstrates. This has been speculated as a possible reason for its relatively uncommon reported incidence in large series of reviewed marrow biopsies, as a single iliac crest biopsy may not include such focal areas.
This case highlights the potential detrimental effect of severely compromised nutrition on hematopoiesis and the importance of careful morphological review of the bone marrow for abnormalities that can provide insight into the cause of cytopenias in an otherwise complex patient.
Notes
Conflict of interest
The authors declare that they have no conflict of interest.
Informed consent was obtained from the patient to publish this case.
References
- 1.Devitt K, Lunde J, Lewis M (201) New onset pancytopenia in adults: a review of underlying pathologies and their associated clinical and laboratory findings. Leuk Lymphoma. 3;Early Online:1-7.Google Scholar
- 2.Böhm J (2000) Gelatinous transformation of the bone marrow. Am J Surg Pathol 24(1):56–65PubMedCrossRefGoogle Scholar
- 3.Michael P (1930) Gelatinous degeneration of the bone marrow. J Pathol Bacteriol 1930:533–538Google Scholar
- 4.Seaman J, Kjeldsberb C, Linker A (1978) Gelatinous transformation of the bone marrow. Hum Pathol 9(6):685–692PubMedCrossRefGoogle Scholar
