The Classic: Repair of Bone in the Presence of Aseptic Necrosis Resulting from Fractures, Transplantations, and Vascular Obstruction
- 731 Downloads
- 6 Citations
Keywords
Soft Part Medullary Cavity Round Ligament Bony Union Necrotic BoneDr. Dallas Burton Phemister is shown. Figure is ©1952 by the Journal of Bone and Joint Surgery, Inc. and is reprinted with permission from Dallas Burton Phemister 1882–1951. J Bone Joint Surg Am. 1952;34:746–747.
Dallas Burton Phemister was born in 1882 in Carbondale, Illinois [5]. After beginning a secondary education at the Normal School of Northern Indiana, he studied medicine at the Rush Medical College of the University of Chicago. (Rush Medical College was chartered in 1837, by Dr. Daniel Brainard, originally from New York and educated in Philadelphia [1]. When Brainard moved to the Midwest, he named his new proprietary medical college after the famous Philadelphia physician, Benjamin Rush, who is considered a founding father of American medicine. At the turn of the century the College became affiliated with the University of Chicago, itself founded in 1890. That affiliation lasted until WWII, at which time Rush Medical College affiliated with the University of Illinois’ College of Medicine. Then in 1956 the College accepted the invitation to merge with St. Luke’s Hospital at which time they were no longer affiliated with the University of Illinois.) Phemister graduated from Rush in 1904 and interned at Cook County Hospital. Orthopaedic surgery was not well developed in this country, and as did so many of his peers at the time, he went abroad for advanced training after five years of practice. He spent two years traveling, mostly spending time in Paris, Berlin, and Vienna [8]. In Vienna, one of the world’s leading centers of orthopaedics at the time [6], he encountered the famous pathologist Jakob Erdheim and undoubtedly there developed his lifelong interest in bone pathology.
Phemister returned to Chicago in 1911 to resume a teaching position at Rush Medical College. During WW I he served with the Presbyterian Hospital Unit in France. (Many individual hospitals in the US organized such units to support the war effort since the medical support of the US military was insufficient at the time.) He remained at Rush until the University of Chicago established a new medical school in 1927, and asked him to organize a department of surgery. During his very productive years at the University of Chicago he published many dozens of paper. Perhaps more importantly, his influence was felt through his training of Dr. Howard Hatcher, who in turn trained a generation of orthopaedic surgeons with a primary interest in bone tumors and pathology: Drs. Wayne H. Akeson, Michael Bonfiglio, Thomas D. Brower, Crawford J. Campbell, William K. Enneking, H. Relton McCarroll, James S. Miles, Eugene R. Mindell, John A. Siegling, Mary Sherman.
The paper we reproduce here described in detail the repair of osteonecrotic bone. Axhausen was perhaps the first to systematically examine the repair of dead bone [3], and described the process of “simultaneous absorption of dead bone and incomplete, irregular replacement by new bone.” [7] Phemister extended those observations and coined the term, “creeping substitution.” “By the process of creeping substitution the old bone is gradually absorbed and replaced by new bone, so that in the course of months or occasionally years the necrotic area is more or less completely transformed into living bone ... the amount of new bone formed ... depends largely on the extent of the living bone with which it (the dead bone) is in contact.” At the time, necrosis was believed mostly related to fractures, transplants, or infection (septic necrosis). Axhausen had earlier described aseptic necrosis [2, 3] but the cause and process was not well understood. Phemister commented, “Aseptic necrosis of bone, the result of proven thrombosis or embolism, is a condition that has been rarely reported in man.’ He did not mention what we would today consider idiopathic aseptic necrosis or osteonecrosis. (The term, “avascular necrosis” first appears in PubMed in 1949 in relation to fractures [4]. It has been commonly used, but as with “aseptic necrosis” appears to be diminishing in use compared to “osteonecrosis.” In the past ten years, aseptic necrosis appears in titles in PubMed only 21 times, avascular necrosis 378, and osteonecrosis 1110. We use osteonecrosis in this symposium because it is general and avoids implications regarding etiology, which remains unclear.) At the time Phemister was writing, steroids were unknown, as was necrosis related to deep sea diving or other causes known today. Nonetheless, he well described the histologic processes we know today.
- 1.
About Rush Medical College. Rush University Web site. Available at: http://www.rushu.rush.edu/medcol/history.html. Accessed February 14, 2008.
- 2.
Axhausen G. Über einfache, aseptische Knochen-und Knorpelnekrose, Chondritis dissecans und Arthritis deformans. Arch Klin Chir. 1912.
- 3.
Axhausen G. Knochennekrose und Squesterbildung. Dtsch Med Wochenschr. 1914;40:111–115.
- 4.
Compere EL. Avascular necrosis of large segmental fracture fragments of the long bones. J Bone Joint Surg Am. 1949;31:47–54.
- 5.
Dallas Burton Phemister, 1882–1951. J Bone Joint Surg Am. 1952;24:746–747.
- 6.
Kotz R, Engel A, Schiller C, ed. 100 Jahre Orthopädie an der Universität Wien. Vienna, Austria: Verlag der Wiener Medizinischen Akademie; 1987.
- 7.
Phemister DB. Repair of bone in the presence of aseptic necrosis resulting from fractures, transplantations, and vascular obstruction. J Bone Joint Surg Am. 1930;12:769–787.
- 8.
Phemister DB. Treatment of the necrotic head of the femur in adults. Dallas Burton Phemister (1882–1951). Clin Orthop Relat Res. 2000;381:4–8.
Aseptic necrosis of bone may result from a number of causes,—as vascular disturbances, injuries, the action of chemicals, and the application of radium in the treatment of malignant disease.
The process of repair of the damaged area differs with the causative agent and with the amount of functional stimulation to which the part is subjected during the reparative period. It also differs from that seen in case of necrosis produced by infection. Necrosis en masse produced by severe infection is nearly always followed by a fibroblastic and fixed tissue phagocytic reaction which usually results in complete absorption of the dead bone, if the area is small, or in sequestration, if it is large. However, mild inflammatory reactions, particularly when associated with embolic or thrombotic processes and due to low grade micro-organisms, may sometimes result in necrosis which is followed by simultaneous absorption of dead bone and incomplete, irregular replacement by new bone, as first pointed out by Axhausen [1]. This same change may also be observed in a bone graft when mild infection has occurred. It is not uncommon to see a portion of a graft, which has been exposed by opening of the wound with the escape of exudate, heal in and subsequently undergo transformation without sequestration. Epiphysitis may result in rather extensive necrosis which is followed by absorption and a certain amount of collapse and new bone formation with eventual bony reconstruction of a deformed epiphysis.
The introduction of radium into or in contact with bone in the treatment of malignant disease may lead to more or less extensive bone necrosis without destruction of the peripheral layer of the overlying soft parts, in which case the necrotic bone remains free from infection. The necrotic bone produced in this way may be sequestrated at a very slow rate or, if it performs a supporting function, it may be very slowly absorbed and replaced by new bone. If infection is present it is always slowly sequestrated. The explanation of the slow absorption is to be found in the fact that the tissues adjacent to the dead bone are radium burnt and consequently bring about repair very slowly. I implanted radium needles into an undifferentiated round-cell sarcoma of the ischium, producing aseptic bone necrosis, and after subsequent x-ray treatments saw healing of the sarcoma with repair of the bony defect without evidences of sequestration of the necrotic bone after the lapse of seven years. On the other hand in a case of undifferentiated round-cell sarcoma of the lower arm treated by excision, radium implantation in contact with humerus, and subsequent roentgen therapy, there was very slight infection in the field. In this case a large portion of the cortex which was killed by radium was very slowly sequestrated in the course of six years and at the end of eight years was still present as a loose piece which had worked out into the soft parts.
In experimental radium necrosis [2] the entire circumference of the shaft of the femur of the dog was killed by the insertion of radium into the medullary cavity downward from the trochanter. The dead bone was very slowly replaced but its fate was dependent to a considerable extent on the amount of function which the limb performed. Some animals walked on the limb for months without the occurrence of a fracture and without sequestration of the dead bone. There was very slow creeping substitution of dead bone by new bone from the two ends. After the lapse of months fracture sometimes occurred through the dead bone. If the fracture resulted in non-union so that the extremity was no longer used, there was gradual sequestration of the dead bone in the course of one to two years. If there was overriding of fragments and if portions of the two fragments that were undamaged by radium approximated each other, new bone was formed and the fracture united. If a portion of the necrotic bone was caught in the line of the new bone formed by unburnt tissues, it was rapidly absorbed and replaced by new bone. However, if the necrotic bone lay outside the callus and the line of stress and strain, it was very slowly absorbed without replacement by new bone.
Bancroft [3] produced chemical necrosis of bone experimentally in dogs by the introduction of croton oil into the medullary cavity. The inflammatory reaction set up by the oil resulted in a marked absorptive and osteoplastic process with sequestration and formation of an involucrum. Owing to the rapid disappearance of the inflammatory reaction, the reparative changes proceeded more rapidly than in case of necrosis produced by infection and in the course of a few weeks there was complete absorption of the dead bone with reformation of a new shaft.
Interference with Circulation
The fate of bone which undergoes aseptic necrosis as a result of circulatory disturbance varies considerably, according to the environment of the necrotic area. If the necrotic bone is attached to and directly continuous with living bone, there is ingrowth of vessels and of fibrous and osteogenic tissues from the living into the necrotic area. There is usually survival of unossified osteogenic elements about the periphery and ends of the area that has had its circulation interrupted. By the process of creeping substitution the old bone is gradually absorbed and replaced by new bone, so that in the course of months or occasionally years the necrotic area is more or less completely transformed into a living one. Whether the amount of new bone formed is as great as the amount of bone which died depends largely on the extent of living bone with which it is in contact and the amount of osteogenic elements surviving about its periphery. When these are both extensive, there may be complete replacement of the dead bone by new bone; but when limited, bone absorption may be greatly in excess of bone formation, so that incomplete replacement results with the formation of bone that is less dense than the original and that shows varying degrees of cavitation. Functional stimulation also plays an important role in the rate and degree of transformation. In general the greater the degree of function, the greater the rate and degree of transformation into new bone. If the necrotic bone is largely or wholly intra-articular and extensively bordered by articular cartilage, the attachment to the surrounding soft parts will be markedly limited and chances for revascularization and transformation will be greatly reduced. Thus, injury to vessels may be the cause of some of the cases of Kienböck’s malacia of the carpal lunatum and of Legg-Perthes’ disease,—as when it follows reduction of congenital dislocation of the hip.
Operative Interference with the Blood Supply
Operations which involve severence of bone or extensive separation of soft parts from bone may occasionally interfere with blood supply sufficiently to cause massive necrosis. An example of this is the necrosis of the head and neck of the femur in the following case in which arthroplasty of the hip was performed.
Case 1. Bony ankylosis following pyogenic arthritis.
Case 1. Twenty days after arthroplasty.
Case 1. Thirty-six days after arthroplasty. Beginning reduction in density in base of neck and shaft. No change in head.
Case 1. One hundred and fifty-one days after operation. Density of necrotic head unchanged but shaft and pelvis show atrophy of disuse.
Case 1. Two hundred and fifty days after operation. Head extensively reduced in density from invasion and replacement from the living bone of base of neck.
Case 1. Four hundred and four days postoperative Cavitation at base of head and further transformation.
The hip showed about forty degrees of flexion but marked limitation of abduction and rotation. Its strength had gradually improved and there was only slight discomfort in walking unless it was prolonged.
The cause for this exceptional occurrence of necrosis of head and neck without sequestration appeared to lie in the traumatism of head and denudation of neck of its covering of soft parts. However, it may have been due in part to deep-seated mild infection in the region of the new joint, despite the absence of discharge from that region. Failure of the necrotic head to be sequestrated speaks decidedly in favor of aseptic instead of septic necrosis although sequestration may not occur in the presence of mild infection of a necrotic area. In another case I observed necrosis of the head and neck following an arthroplasty in which there was infection of the wound with a purulent discharge, but the dead bone was sequestrated in the course of several weeks. In the case here reported functional stimulation of the bones resulting from movement of the joint, combined with protection of the necrotic head from weight-bearing, was followed by creeping substitution of the necrotic bone by new bone in the greater part of the head without either erosion of dead bone or the development of marked deformity.
Extensive separation of periosteum from bone, particularly during the growing period, with resultant injury of nutrient and metaphyseal vessels may result in extensive aseptic necrosis of bone. Brunschwig of the University of Chicago has produced areas of necrosis in the femur and tibia of young dogs varying up to nearly the entire extent of the shaft. There is absence of sequestration, and creeping substitution of the necrotic bone takes place by new bone, formed from the adjacent living bone and the surviving osteogenic elements of the separated bone and periosteum with only slight changes in size, shape, and density. Such bone necrosis is no doubt occasionally produced by extensively denuding operations, but it remains undetected as the damaged area is repaired without appreciable alteration in the clinical course of the disease.
Necrosis in Fractures
Fracture may cause necrosis by interference with the blood supply of the bone in the immediate vicinity of the break or by damage to larger vessels that furnish a large part or all of the nutrition to one of the fragments.
Cornil and Coudray [5] found that in experimental fractures there is necrosis of the cortex for a variable distance back from the fragment ends which is gradually replaced by new bone ingrowing from the living cortex with which it is continuous and to a less extent from the adjacent callus. This occurrence does not interfere with the process of healing. In fact, it has even been claimed that the presence of the necrotic bone is a stimulus to bone repair. Non-union and neck absorption in fractures of the femoral neck have probably been wrongly attributed to the marginal necrosis of fragment ends. Clinically I have not seen evidence of any appreciable amount of bone necrosis extending back into the fragment ends from the fracture line, either at operation or in roentgenograms. A narrow strip of fragment end may be bare and white when a simple fracture of some standing is exposed at operation; but I have never seen the fragment ends appear appreciably denser than the cortex some distance back from the fracture as shown by roentgenograms of fractures, either united or ununited, of several weeks’ standing, where the regional bone had undergone atrophy of disuse. The indications are that such bone as becomes necrotic at the ends of vascularized fragments is rapidly revascularized by ingrowth from the living bone and is absorbed and reduced in density about as rapidly as is the adjacent living bone from atrophy of disuse. In histological sections of resected ends of fragments from cases of delayed union or nonunion, I have not seen extensive amounts of dead bone and that which I have found showed signs of creeping substitution by new bone.
In the case of fractures followed by bony union, marginal necrotic bone may rarely be absorbed more rapidly than new bone is deposited, thereby creating a zone of reduced density in the region of the fragment ends. It is seen in pathological fractures of osteomalacia, osteogenesis imperfecta, and in bone diseases associated with parathyroid adenoma and is known in the German literature as Losser’s Umbauzone [6] (zone of transformation). I saw it once in a patient who had no general bone disturbance but a refracture of the ulna one year after the original fracture had been successfully treated by an autogenous inlay bone graft. Following the refracture a second bone graft was inserted in the accompanying fractured radius which had failed to unite following the first transplantation. Three and onehalf months afterwards the radius was united, but a zone of reduced density had developed along the oblique fracture line in the ulna although no motion could be elicited. Six and a half months later the zone was slightly narrowed and increased in density and eleven months later it had fully ossified. This zone apparently resulted from absorption of marginal necrotic bone produced by the fracture with marked delay in replacement by new bone for some unexplained reason.
Bone Necrosis in Joint Fractures
Necrosis of bone may also occur in fractures bordering on joints from injury to the blood vessels to a large part or all of the joint fragment. It undergoes either partial or total necrosis. The condition may be met with in intracapsular fractures of the neck of the femur, of the capitellum humeri, of the carpal navicular, of the head of the radius and of the neck of the astragalus, and it always follows complete detachment of small fragments in intra-articular fractures.
Necrosis of the proximal fragment in complete intracapsular fracture of the neck of the femur occurs in a not inconsiderable percentage of the cases. Santos [7] has recently completed a detailed study which has thrown light on many aspects of the condition. A summary of his report follows: Necrosis may occur in fractures at any age, and although relatively more frequent in older persons, it is often absent in them. This may sometimes be because of blood reaching it by way of vessels in the untorn periosteum. The vessels of the ligamentum teres may supply adequate blood to keep the head alive even in the aged.
Death of the proximal fragment predisposes to non-union, but union occurs in a considerable percentage of the cases with a dead head in which there is impaction of fragments or in which there is efficient reduction and fixation of fragments, the best results apparently being obtained from the closed abduction method of Whitman. At the end of the period of immobilization the distal living fragment usually shows roentgen-ray signs of reduced density due to atrophy of disuse, but the necrotic head which cannot atrophy casts practically as even and heavy a shadow as at the time of fracture. This usually makes it possible to diagnose necrosis roentgenologically at this stage.
If bony union occurs the head is gradually invaded by the ingrowth of tissue from the distal fragment and sometimes from the hypertrophied round ligament. The necrotic marrow is replaced by vascular connective tissue and eventually by bone marrow, but the necrotic bone is much more slowly absorbed and replaced by a variable amount of irregularly arranged living bone. The necrotic cartilage is slowly absorbed and replaced by fibrous tissue, fibro-cartilage, and to some extent eventually by new hyaline cartilage. If too much weight is borne on the head before it has been transformed into new bone, its weight-bearing portion may collapse with a resultant deformity and a poor functional result, but this may be averted by prolonged avoidance of weight-bearing. The functional stimulation which comes from motion of the limb without weight-bearing is sufficient to hasten transformation of the head.
Necrotic femoral head casting heavier shadow than surrounding atrophied living bone.
Roentgenogram of slice of excised head in Fig. 7, showing old necrotic bony trabeculae still undisturbed.
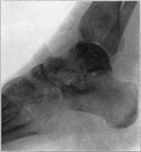
Necrosis of Os Calcis
In fracture of the neck of the os calcis the body may rarely have so much of its blood supply cut off that it undergoes extensive necrosis. Its subsequent history is analagous to that of a necrotic proximal fragment in intracapsular fracture of the neck of the femur. If bony union between the fragments follows, the necrotic body will be invaded gradually by blood vessels, fibrous, osteogenic, and myelogenous tissue, and a gradual replacement of the necrotic by living elements will be brought about. The replacement may be incomplete and the necrotic portion located farthest from the fracture may be broken down by weight-bearing before the ingrowing tissue reaches it, thereby leading to deformity and permanent derangement of the bone.
The following cases are illustrative of this condition.
Case 2. Seventy-four days after fracture of neck of astragalus, posterior dislocation of body, and reduction by operation. Body necrotic and retained normal density. Atrophy of disuse of other bones. Bony union of fracture.
Case 2. One hundred and sixty days after fracture. Body slightly reduced in density near fracture due to invasion from neck.
Case 3. Fresh fracture of neck of astragalus and chip off superior and posterior portion of os calcis.
Case 3. Two hundred and seventy-four days after injury. Fracture of astragalus united. Superior and posterior part of body broken down and irregular while remaining portion dense and transformed. Indicative of necrosis of body with secondary changes.
Case 3. Eighteen months after injury, showing a defective but gradually reforming articular portion of the body of the astragalus.
The blood supply of the astragalus is derived mainly from a branch of the arteria dorsalis pedis which traverses the sinus tarsi lateral to the neck and breaks up to enter the bone near the junction of the neck and body along the lateral and inferior surfaces. There are very small branches entering the bone mesially and posteriorly at points of ligamentous and capsular attachments. Apparently when there is a fracture along the junction of body and neck the important vessels to the body are interrupted and there may be insufficient circulation through the remaining vessels, so that aseptic necrosis of a large part or all of the fragment follows. It is evident from the partial collapse which occurred in Case 3 that when necrosis of the body is diagnosed, the limb should be protected from weight-bearing for at least several months,—until union, revascularization, and transformation of necrotic area has been largely brought about. It seems probable that some of the bad results that have been reported in fracture of the neck of the astragalus, either united or ununited, have been due to overlooked aseptic necrosis of the body.
Bone Transplants
Case 4. Large splinter (a) displaced into soft parts from fresh fracture of tibia.
Case 4. The same (a) seven years later, showing reduction in size of splinter and apparent replacement by very spongy new bone.
Case 5. Tibial graft thirty-nine days after insertion in humerus.
Case 5. Ten years and eight months after operation. Shows non-functioning portion of graft in medullary cavity practically unchanged, but the functioning portion above hypertrophied and transformed.
Embolism and Necrosis
The etiology of the lesions dealt with up to this point has been clear. The röle of embolism in the production of both septic and aseptic bone necrosis is still imperfectly understood. Ritter, Winkebauer and Axhausen [11] have expressed the belief that in pyogenic osteomyelitis the extensive necrosis of bone is the result of septic embolism cutting off the blood supply of large areas at the onset of the process with subsequent invasion and infection of the infarcted area by bacteria from the embolus. This view is inconsistent with our knowledge of the blood supply of the cortex of the shaft of bones. The experiments of Johnson [12] showed that the periosteal vessels supply approximately the external half, while the internal half is supplied by the nutrient artery and metaphyseal vessels. Injury of either set of vessels results in necrosis of much of the bone which they supply. Now the dead bone in osteomyelitis is not limited to the region supplied by one or the other of these sets of vessels. While an embolus might account for extensive necrosis in the region supplied by the nutrient artery, this would be impossible in the regions supplied by the periosteal vessels since they are numerous and small. Usually the entire thickness of cortex of the involved region becomes necrotic. Also in primary and especially in recurrent osteomyelitis the infection may be observed, starting at one limited point and spreading more or less extensively to the rest of the bone.
Aseptic necrosis of bone, the result of proven thrombosis or embolism, is a condition that has been rarely reported in man. Axhausen [11] reported a case which was classed as multiple anaemic infarction of bones, but streptococcus longus anhemolyticus was cultured from the lesions. Consequently it is incorrect to speak of the condition as aseptic necrosis of bone.
Aseptic necrosis has been produced experimentally by injection of small aseptic emboli into the femoral artery. The infarcts formed in the ends of the shafts and rarely comprised a large part of the diaphysis, but epiphyseal necrosis was not produced. A marked osteoblastic reparative reaction developed about the necrotic bone which was rapidly replaced by new bone by the process of creeping substitution. The so called necrosing lesions of the center of ossification of certain epiphyses in children and the os lunatum in young adults have been variously attributed to injury to the blood vessels, vascular obstruction from embolism or thrombosis, and infection.
Thus Legg-Perthes’ disease sometimes follows reduction of congenital dislocation of the hip which points to vascular injury and the experiments of Nussbaum [13] show that cutting epiphyseal vessels results in necrosis followed by reorganization and deformity of the bony center. Phemister, Brunschwig, and Day [14] have cultured biopsied specimens from two cases each of Köhler’s disease of the tarsal navicular bone, Legg-Perthes’ disease, and Kienbock’s disease of the os lunatum. They found that streptococci grew in cultures of four, and the indications are strong that this organism is the etiological factor in some cases. In one case of Köhler’s disease and in one of Legg-Perthes’ disease the cultures remained sterile, although the case of Köhler’s disease was associated with multiple osseous and lymph glandular tuberculosis. Histologically there was necrosis but no sign of tuberculosis in the navicular; consequently the case supports the theory of Axhausen that a caseous tuberculous embolus may be a cause of the necrosing lesions.
Histologically the majority of these lesions appear to have something more back of them than a simple bland embolus or injury cutting off the circulation’and producing aseptic necrosis. As previously stated, aseptic necrotic bone in continuity with living bone is gradually invaded and more or less completely replaced by new bone through the process of creeping substitution, unless it is too inaccessible and is broken down by traumatism. In these diseases there is a marked fibroblastic and fixed tissue phagocytic reaction and, in rare cases, an infiltrative reaction which result in absorption of necrotic bone without bony replacement by creeping substitution except in occasional instances. New bone formed from surviving osteogenic elements replaces more or less completely the absorptive tissues in the course of time.
Bibliography
- 1.Axhausen, G.: Knochennekrose and Sequesterbildung. Deutsche Med. Wchnschr., XL, 1, 111, 1914.Google Scholar
- 2.Phemister, D. B.: Radium Necrosis of Bone. Am. J. Roentgenol., XVI, 340, 1926.Google Scholar
- 3.Bancroft, F. W.: Bone Repair Following Injury and Infection. Arch. Surg., V, 646, 1922.Google Scholar
- 4.Brunschwig, A.: Experimental Infarction of Bone Marrow. Proc. Soc. Exper. Biol. and Med., XXVII, 1049, 1930.Google Scholar
- 5.Cornil, V. and Coudray, P.: Du Cal. Au Point de Vue Expérimental et Histologique. J. de l’Anatomie et de la Physiologie, XL, 113, 1904.Google Scholar
- 6.Looser, E.: Über Spätrachitis and Osteomalacie. Klinische, röntgenologische and pathologisch-anatomische Untersuchungen. Deutsche Ztschr. f. Chir., CLII, 210, 1920.Google Scholar
- 7.Santos, J. V.: Changes in the Head of the Femur after Complete Intracapsular Fracture of the Neck: Their Bearing on Non-union and Treatment. Arch. Surg., XXI, 470, Sept. 1930.Google Scholar
- 8.Baschkirzew, N. J., und Petrow, N. N.: Beiträge zur freien Knochenüberpflanzung. Deutsche Ztschr. f. Chir., CXIII, 490, 1911–1912.Google Scholar
- 9.Leriche et Policard. Les Problems de la Physiologie normale et pathologique de l’Os. Paris, Masson et Cie, 1926.Google Scholar
- 10.Kartaschew, S. I.: Beiträge zur Frage der freien autoplastichen Knochentransplantation. Experimentelle Untersuchungen mit besonderer Berücksichtigung der Transplantation feiner Knochenstückchen und -splitter. Arch. f. klin. Chir., CLVI, 758, 1930.Google Scholar
- 11.Axhausen, G.: Über anämische Infarkte am Knochensystem und ihre Bedeutung für die Lehre von den primären Epiphyseonekrosen. Arch. f. klin. Chir., CLI, 72, 1928.Google Scholar
- 12.Johnson, R. W.: A Physiological Study of the Blood Supply of the Diaphysis. J. Bone and Joint Surg., IX, 153, Jan. 1927.Google Scholar
- 13.Nussbaum, A.: Die arteriellen Gefässe der Epiphysen des Oherschenkels und ihre Beziehungen zu normalen und pathologischen Vorgängen. Bruns’ Beiträge z. klin. Chir., CXXX, 495, 1923–1924.Google Scholar
- 14.Phemister, D. B., Brunschwio, A., and Day, L.: Streptococcus Infections of Epiphyses and Short Bones and their Relation to Legg-Perthes’ Disease, Kienböcks Disease and Köhler’s Disease of the Tarsal Navicular. J. Am. Med. Assn., XCV, 1930, (in press).Google Scholar

















