Abstract
Mitochondrial DNA segregation is one of the characteristic modes of mitochondrial inheritance in which the heteroplasmic state of mitochondrial DNA is transmitted to the next generation in variable proportions. To analyze mitochondrial DNA segregation, we produced a heteroplasmic mouse strain with interspecific mitochondrial DNA haplotypes, which contains two types of mitochondrial DNA derived from C57BL/6J and Mus spretus strains. The strain was produced on a C57BL/6J nuclear genomic background by microinjection of donor cytoplasm into fertilized eggs. The PCR-RFLP semi-quantitative analysis method, which was improved to reduce the effect of heteroduplex formation, was used to measure the proportion of heteroplasmic mitochondrial DNA in tissues. Founder mice contained up to approximately 14% of exogenous Mus spretus mitochondrial DNA molecules in their tails, and the detected proportions differed among tissues of the same individual. Heteroplasmic mitochondrial DNA is transmitted to the next generation in varying proportions under the maternal inheritance mode. This mitochondrial heteroplasmic mouse strain and the improved PCR-RFLP measurement system enable analysis of the transmission of heteroplasmic mitochondrial DNA variants between tissues and generations.
This is a preview of subscription content, access via your institution.




References
Ashley MV, Laipis PJ, Hauswirth WW (1989) Rapid segregation of heteroplasmic bovine mitochondria. Nucleic Acids Res 17:7325–7331
Brown WM, Prager EM, Wang A, Wilson AC (1982) Mitochondrial DNA sequences of primates: tempo and mode of evolution. J Mol Evol 18:225–239
Burgstaller JP et al (2014) MtDNA segregation in heteroplasmic tissues is common in vivo and modulated by haplotype differences and developmental stage. Cell Rep 7:2031–2041. doi:10.1016/j.celrep.2014.05.020
Cao L et al (2007) The mitochondrial bottleneck occurs without reduction of mtDNA content in female mouse germ cells. Nat Genet 39:386–390. doi:10.1038/ng1970
Cao L, Shitara H, Sugimoto M, Hayashi J, Abe K, Yonekawa H (2009) New evidence confirms that the mitochondrial bottleneck is generated without reduction of mitochondrial DNA content in early primordial germ cells of mice. PLoS Genet 5:e1000756. doi:10.1371/journal.pgen.1000756
Cree LM et al (2008) A reduction of mitochondrial DNA molecules during embryogenesis explains the rapid segregation of genotypes. Nat Genet 40:249–254. doi:10.1038/ng.2007.63
Hayashi J, Ohta S, Kikuchi A, Takemitsu M, Goto Y, Nonaka I (1991) Introduction of disease-related mitochondrial DNA deletions into HeLa cells lacking mitochondrial DNA results in mitochondrial dysfunction. Proc Natl Acad Sci USA 88:10614–10618
Inoue K, Nakada K, Ogura A, Isobe K, Goto Y, Nonaka I, Hayashi JI (2000) Generation of mice with mitochondrial dysfunction by introducing mouse mtDNA carrying a deletion into zygotes. Nat Genet 26:176–181. doi:10.1038/82826
Jenuth JP, Peterson AC, Fu K, Shoubridge EA (1996) Random genetic drift in the female germline explains the rapid segregation of mammalian mitochondrial DNA. Nat Genet 14:146–151. doi:10.1038/ng1096-146
Jenuth JP, Peterson AC, Shoubridge EA (1997) Tissue-specific selection for different mtDNA genotypes in heteroplasmic mice. Nat Genet 16:93–95. doi:10.1038/ng0597-93
Kaneda H, Hayashi J, Takahama S, Taya C, Lindahl KF, Yonekawa H (1995) Elimination of paternal mitochondrial DNA in intraspecific crosses during early mouse embryogenesis. Proc Natl Acad Sci USA 92:4542–4546
Laipis PJ (1996) Construction of heteroplasmic mice containing two mitochondrial DNA genotypes by micromanipulation of single-cell embryos. Methods Enzymol 264:345–357
Larsson NG, Tulinius MH, Holme E, Oldfors A, Andersen O, Wahlstrom J, Aasly J (1992) Segregation and manifestations of the mtDNA tRNA(Lys) A→G(8344) mutation of myoclonus epilepsy and ragged-red fibers (MERRF) syndrome. Am J Hum Genet 51:1201–1212
Lee HS et al (2012) Rapid mitochondrial DNA segregation in primate preimplantation embryos precedes somatic and germline bottleneck. Cell Rep 1:506–515. doi:10.1016/j.celrep.2012.03.011
Ma H et al (2016) Incompatibility between nuclear and mitochondrial genomes contributes to an interspecies reproductive barrier. Cell Metab 24:283–294. doi:10.1016/j.cmet.2016.06.012
Meirelles FV, Smith LC (1997) Mitochondrial genotype segregation in a mouse heteroplasmic lineage produced by embryonic karyoplast transplantation. Genetics 145:445–451
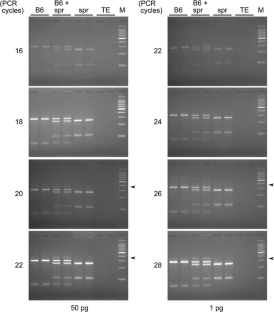
Michu E, Mrackova M, Vyskot B, Zluvova J (2010) Reduction of heteroduplex formation in PCR amplification. Biol Plant 54:173–176
Nakada K et al (2001) Inter-mitochondrial complementation: mitochondria-specific system preventing mice from expression of disease phenotypes by mutant mtDNA. Nat Med 7:934–940. doi:10.1038/90976
Poulton J, Bredenoord AL (2010) 174th ENMC international workshop: applying pre-implantation genetic diagnosis to mtDNA diseases: implications of scientific advances 19–21 March 2010, Naarden, The Netherlands. Neuromuscul Disord 20:559–563. doi:10.1016/j.nmd.2010.05.008
Sato A, Kono T, Nakada K, Ishikawa K, Inoue S, Yonekawa H, Hayashi J (2005) Gene therapy for progeny of mito-mice carrying pathogenic mtDNA by nuclear transplantation. Proc Natl Acad Sci USA 102:16765–16770. doi:10.1073/pnas.0506197102
Sharpley MS et al (2012) Heteroplasmy of mouse mtDNA is genetically unstable and results in altered behavior and cognition. Cell 151:333–343. doi:10.1016/j.cell.2012.09.004
Sobenin IA et al (2014) Quantitative assessment of heteroplasmy of mitochondrial genome: perspectives in diagnostics and methodological pitfalls. Biomed Res Int 2014:292017. doi:10.1155/2014/292017
Tachibana M et al (2013) Towards germline gene therapy of inherited mitochondrial diseases. Nature 493:627–631. doi:10.1038/nature11647
Takeda K, Takahashi S, Onishi A, Hanada H, Imai H (2000) Replicative advantage and tissue-specific segregation of RR mitochondrial DNA between C57BL/6 and RR heteroplasmic mice. Genetics 155:777–783
Wai T, Teoli D, Shoubridge EA (2008) The mitochondrial DNA genetic bottleneck results from replication of a subpopulation of genomes. Nat Genet 40:1484–1488. doi:10.1038/ng.258
Wallace DC, Chalkia D (2013) Mitochondrial DNA genetics and the heteroplasmy conundrum in evolution and disease. Cold Spring Harb Perspect Biol 5:a021220. doi:10.1101/cshperspect.a021220
Yoneda M, Tanno Y, Tsuji S, Attardi G (1996) Detection and quantification of point mutations in mitochondrial DNA by PCR. Methods Enzymol 264:432–441
Acknowledgements
This work was supported by the Japan Society for the Promotion of Science KAKENHI Grant Numbers JP25430101 (to H.S.), JP25250011 (to H.Y.), and by the Takeda Science Foundation (to H.S.).
Author information
Affiliations
Corresponding author
Electronic supplementary material
Below is the link to the electronic supplementary material.
Fig. S1
Supplementary Fig. S1 Proportion of B6-spr heteroplasmic mtDNA in tissues of F0 generation male mice (4-week-old). The male mice contained 6% of spr mtDNA in their tails at 3 weeks of age (Table 1). The histograms show the mean values from triplicates of each sample. #4 and #6 show individual numbers. In cerebrum, heart, and right soleus muscle of the #6 mouse; spr mtDNAs were not detected. (TIFF 64331 kb)
Rights and permissions
About this article
Cite this article
Shitara, H., Cao, L., Yamaguchi, M. et al. Establishment of a heteroplasmic mouse strain with interspecific mitochondrial DNA haplotypes and improvement of a PCR-RFLP-based measurement system for estimation of mitochondrial DNA heteroplasmy. Transgenic Res 26, 559–565 (2017). https://doi.org/10.1007/s11248-017-0009-2
Received:
Accepted:
Published:
Issue Date:
Keywords
- Mitochondrial DNA
- Mitochondria
- Heteroplasmy
- PCR-RFLP
- Mouse