Erratum to: Gene expression profiling in the submandibular gland, stomach, and duodenum of CAVI-deficient mice
- 329 Downloads
- 1 Citations
Erratum to: Transgenic Res DOI 10.1007/s11248-010-9441-2
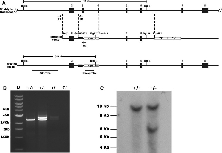
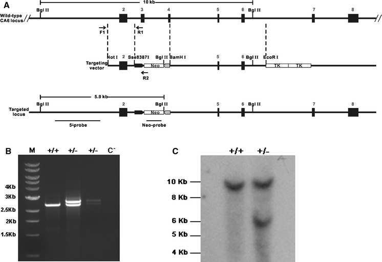
Targeted disruption of the Car6 gene in ES cells. A A schematic representation of the disruption of the Car6 locus by homologous recombination. Solid boxes represent exons. F1, R1, and R2 are primers used for genotyping. B Identification of targeted (±) ES cell clones using multiplex PCR. M molecular marker. C− indicates the negative control for PCR (H2O). C Characterization of targeted (±) ES cell clones by Southern blot
Within the section ‘Construction of Car6 targeting vector’ of the ‘Materials and methods’, the second sentence in the first paragraph should read:
“The vector (pPN2ThGHterm-Car6 targeting vector) was designed such that exons 3 and 4 of the mouse Car6 gene were replaced by the bacterial neomycin resistance gene (Neo).”
The first sentence in the second paragraph must read: “To construct the pPN2ThGHterm-Car6 targeting vector, a short 5′-homologous arm (2,058 bp) containing exon 2 was amplified using the entire mouse Car6 gene clone (described above) as a template.”
The fourth sentence in the second paragraph should read: “Subsequently, a long 3′-homologous arm (4,984 bp) containing exons 5 and 6 was amplified using the entire mouse Car6 gene clone as a template.”
The correct Fig. 1 and its caption are shown on the following page.
