Safety assessments of subcutaneous doses of aragonite calcium carbonate nanocrystals in rats
Abstract
Calcium carbonate nanoparticles have shown promising potentials in the delivery of drugs and metabolites. There is however, a paucity of information on the safety of their intentional or accidental over exposures to biological systems and general health safety. To this end, this study aims at documenting information on the safety of subcutaneous doses of biogenic nanocrystals of aragonite polymorph of calcium carbonate derived from cockle shells (ANC) in Sprague-Dawley (SD) rats. ANC was synthesized using the top-down method, characterized using the transmission electron microscopy and field emission scanning electron microscope and its acute and repeated dose 28-day trial toxicities were evaluated in SD rats. The results showed that the homogenous 30 ± 5 nm-sized spherical pure aragonite nanocrystals were not associated with mortality in the rats. Severe clinical signs and gross and histopathological lesions, indicating organ toxicities, were recorded in the acute toxicity (29,500 mg/m2) group and the high dose (5900 mg/m2) group of the repeated dose 28-day trial. However, the medium- (590 mg/m2 body weight) and low (59 mg/m2)-dose groups showed moderate to mild lesions. The relatively mild lesions observed in the low toxicity dosage group marked the safety margin of ANC in SD rats. It was concluded from this study that the toxicity of CaCO3 was dependent on the particulate size (30 ± 5 nm) and concentration and the route of administration used.
Keywords
CaCO3 In vivo Nanotoxicity Cockle shell AragoniteIntroduction
Cockle (Anadara granosa) is a group of generally small, edible, saltwater clams, marine bivalve molluscs of the family Cardiidae shell. Cockle is by far the most vital species cultured, and one of the most common sources of calcium carbonate found in Malaysia. It easily fulfils the increasing demand of biomaterials due to its low cost and availability (Combes et al. 2006; Hoque et al. 2013). The cockle shells contain more than 98% calcium carbonate and thus have the potential to be a starting material for the development of biomaterials for orthopaedic applications (Awang-Hazmi et al. 2007).
The aragonite polymorph of calcium carbonate is a less thermodynamically stable and a less available form of crystalline calcium carbonate polymorph synthesized in the laboratory. The size and shape of aragonite are strongly dependent on the preparation methods and conditions (Wang et al. 1999). Due to the huge striking properties of the aragonite nanoparticles as a material of biomedical importance, researchers have paid huge attention on invention of methods for its synthesis and usage (Guo et al. 2007; Wang et al. 2006).
Nanoparticles (NPs) are nanoobjects with all external dimensions in the nanoscale, where the lengths of the longest and the shortest axes of the nanoobject do not differ significantly (ISO/TS 2015). NPs have properties that are quite unique from their sourced bulk materials. Their sizes are inversely proportional to their surface/volume ratio and chemical reactivity; this makes them interesting materials in research and applications. Thus, significantly improving many fields of human endeavours (Gwinn and Vallyathan 2006; Hristozov and Malsch 2009; Morose 2010; Moorthi et al. 2011). Though renowned with numerous benefits, there are still growing concerns that deliberate or accidental human exposures to some types of NPs, through environmental contamination and distorted ecosystem, may lead to significant adverse health effects (Colvin 2003; Oberdorster et al. 2005; The Royal Society 2004). The fact that the potentials of exposure to NPs are bound to increase, just as their usage, raises pertinent concerns about their health safety (Drobne 2007). These concerns lead to the emergence of a new branch of research in toxicology called nanotoxicology. Toxicology is the study of sequence of events associated with the acquaintance, progress, distribution, metabolism and culminating in cellular macromolecular, DNA or proteins, interactions and the associated toxic manifestations of poisons (Hodgson 2010). Nanotoxicology aims at (i) studying the properties of nanomaterials in toxicity studies; (ii) studying the possible detrimental effects of exposures to NPs; and (iii) recommending comprehensive test protocols for in human and environmental risk assessment of nanomaterials (Oberdorster et al. 2005; Drobne 2007; Nel et al. 2006).
With the recent advancement in the use of NPs in drug delivery systems, there is an urgent need for their risk assessment. Risk assessment involves data collection, analysis and interpretation on the risk of a given entity. Evaluations of dose and hazard of a chemical substance mark the first line of action in its risk assessment. However, such assessments are often strongly complicated by the size and surface dependent behaviour of the tested substances (Elsaesser and Howard 2012). Time- or incident-dependent changes for exposure of NPs in the system have been observed to be best for the evaluation of systemic biology. The interactions and relations following such exposures are often described in biological pathways and networks as preludes to systemic study of nanotoxicity (Kitano 2002).
The respiratory, integumentary and digestive systems have been identified as the three main entry routes of NPs into the body (Stern and McNeil 2008). The fact that NPs could gain access to, and accumulate in, other organs through blood, by biodistribution and bioaccumulation, poses major concerns (Borm et al. 2006; Sayes and Warheit 2009). Apart from blood, phagocytosis and endocytosis of NPs by body cell have also been observed to play very important roles in further spread to distant organs (Garnett and Kallinteri 2006; Yacobi et al. 2010; Greulich et al. 2011). Irrespective of natural barriers, low concentrations of NPs have been found in the liver, the spleen, the heart and the brain (Ji et al. 2006; Oberdorster et al. 2002). There are unanswered queries on the fate of NPs and their residues in the body or whether they accumulate in certain organs. The full mechanisms behind certain in vivo toxicological findings need to be elucidated. For instance, the mechanism of their excretion through the urine is still unclear and there is a need for assessing their possible roles in the blockage of the excretory systems. (Elsaesser and Howard 2012).
The continuous assemblage of engineered NPs as drug carrier systems stresses the need for a full understanding of their health safety (Kroll et al. 2012). Though calcium carbonate is regarded as being generally safe and is now gaining acceptance as a successful nanocarriers for subcutaneous delivery of biologicals (Ueno et al. 2004; He et al. 2008; Higaki et al. 2006), there is paucity of information on the possible toxicity that may arise from deliberate or accidental exposure to its high doses. This study aims at evaluating the acute and subchronic toxicity of subcutaneous doses of cockle shell-derived aragonite calcium carbonate nanocrystals (ANC) in male and female SD rats, with the view of documenting information on its health safety.
Materials and methods
Preparation of spherical shaped ANC
This study adopted and modified the Islam et al. (2012) top-down method of nanoparticle production in syntheses of ANC from cockle shells, towards improving its biocompatibility. Micron aragonite calcium carbonate powder was first prepared from cockle shells. This entailed washing and scrubbing of dirt and tissues off the cockle shells. The cleaned shells were boiled at 100 °C for 10 min in HPLC-grade water (resistance >18 M/cm), produced by a Milli-RO6 plus Milli-Q Water System (Organex) and later cooled to room temperature. A second thorough washing with distilled water was also done before oven drying the shells in Memmert UM500 oven (GmbH Co, Germany) at 50 °C for 7 days. The shells were then powdered finely with mortar and pestle (Agate Top diameter 90 mm), ground with a stainless steel blender (Blendor, HCB 550, USA) and sifted using a 75-μm aperture sized stainless steel laboratory test sieve (Endecott Ltd., London, England) to get a 75-μm diameter sized particles. The coarse unfiltered remnants were further dried in the oven for 10 h, and ground with mortar and pestle and blender and sieved to further reduce their diameter. The produced micron aragonite CaCO3 powder (MAC) was further desiccated in an oven at 50 °C for 7-day duration for complete dry up. The MAC was then packaged in a Jp Packaging polyethylene plastic bag (Jp Packaging (M) Sdn Bhd).
A measure of 2 g of the 75 μm-sized powder was placed in a 100-mL flat bottom flask, 50 mL of HPLC-grade water (resistance >18 M cm), produced by a Milli-RO6 plus Milli-Q Water System (Organex) and 0.5 mL of dodecyl dimethyl betaine (BS12) (Sigma Aldrich) were added to each flask and stirred vigorously at 1000 rpm, in room temperature, for 90 min using a Systematic Multi-Hotplate Stirrer (DH.WMH03506 DAIHAN WiseStir® SMHS Systematic Multi-Hotplate Stirrers, 3 a 2 Places 6 Positions, Korean) and a magnetic stirrer bar. The slurry that was obtained from this process was filtered and rinsed with 18.0 cm sized double ring filter papers (Filtres Fioroni, China). The final products was dried in the Memmert UM500 Oven, GmbH Co, Germany) for 24 h at 100 °C and packed in JP packaging polyethylene plastic bags and stored in moisture free enclosure (at 50oC) for further analysis and usage.
Characterization of ANC
The transmission electron microscope (TEM) (Hitachi H-7100, Japan) was used to determine the shape and size of ANC. Sample preparation for TEM entailed dispersal of 100 μg of ANC powder in 1 mL of 100% acetone. This was followed by ultra-sonication (Power Sonic 505, S. Korea) for 30 min. A drop of the supernatant was then placed onto a carbon-covered copper grids placed on a filter paper and left to dry at room temperature. The TEM measurement was made at 150 kV.
The field emission scanning electron microscope (FESEM) (JEOL 7600F, JEOL, München, Germany) GmbH was used to further evaluate the shape and size of ANC. Samples for FESEM analysis were sparingly dispersed on adhesive-coated metallic stub that was then fitted in to the FESEM microscope for the analysis.
ANC was suspended in deionized water and its mean zeta potential was based on dynamic light scattering determined by photon correlation spectroscopy using Zetasizer (Ver. 6.12, serial number MAL1042820, Malvern Instruments Ltd.).
Detailed physicochemical characterization and cytocompatibility of ANC had earlier been determined (Jaji et al. 2017).
In vivo toxicity of ANC
The protocols for these studies were approved by the Institutional Animal Care and Use Committee (IACUC), Universiti Putra Malaysia (AUP number R002/2014). Rats were procured, from the Animal Resource Unit, University Putra Malaysia (UPM), and kept in the animals housing facility, Faculty of Veterinary Medicine, UPM. They were housed and maintained at constant temperature, with 12 h light/12 h dark cycles and provided with commercial feed (gold coin mouse pellet) and water ad libitum. The handling of the animals was in adherence with the approved IACUC guidelines.
Fourteen-day acute toxicity study
Two consecutive sets of apparently normal 10-week-old female SD rats, two groups (toxicity and control groups) per set (three rats per group), were procured and used for preliminary evaluations of acute toxicity of ANC at two different subcutaneous doses (1770 and 11,800 mg/m2). In the absence of mortality from the two dose trials (14 days per trial), a last set of rats with similar features as the previous ones was administered single subcutaneous doses of 29,500 mg/m2 and closely monitored for signs of toxicity and mortality for 14 days.
Repeated dose 28-day trial
Four groups, composing of six apparently normal (three males and three females) 6-week-old SD rats, were procured and used for this evaluation. The animals were divided into three different concentrations groups low, medium and high, and were administered daily subcutaneous doses of 59, 590 and 5900 mg/m2 of ANC, respectively. An equivalent volume of vehicle was administered to a control group. The animals were closely monitored for signs of toxicity and mortality for 28 days.
Tissues processing
Bones were fixed in 10% neutral formalin for 3 days, during which the formalin was changed every 24 h. The bones were transferred to 80% formic acid for decalcification for 1 week. Decalcified bones and 2 cm visceral specimens were fixed in 10% neutral formalin for 3 days for histological slides production. The tissues were then embedded in paraffin and sectioned at 5 μm thickness. These sections were transferred onto slides and stained with haematoxylin and eosin (Muhammad et al. 2013). The sections were later observed and captured using the Motic Compound Microscope BA410. The Motic Images Plus 2.0 software was used to analyse the images before they were being captured.
Statistical analyses
Descriptive (mean and standard deviation (SD) and analytical (t test and one-way ANOVA with Tukey’s post test) statistics were performed using GraphPad Prism version 5.00 for Windows, GraphPad Software, San Diego, CA, USA. Means of trial doses and control groups were compared at 95% level of significance.
Results
Characterization of ANC
TEM micrograph of the clear spherical crystals of ANC
FESEM micrograph of the clear spherical crystals of ANC
Zeta potential of ANC (−17.2 mV)
Fourteen-day acute toxicity study
Clinical observations
Gross lesion from 14-day acute toxicity study of 29,500 mg/m2 ANC. Note the roughened hair coat and gangrened tissue, G (blackish discoloration), at the site of injection in one of the rats at day 13 post injection
Haematology and serum biochemistry
Serum biochemistry of rats in 14-day acute toxicity of 29,500 mg/m2 ANC (mean ± SD)
| Parameter | Unit | Control | Toxicity | ||||
|---|---|---|---|---|---|---|---|
| Mean | SD | Mean | SD | ||||
| Calcium | mmol/L | 2.77 | ± | 0.04 | 2.38 | ± | 0.02** |
| Phosphate | mmol/L | 2.32 | ± | 0.15 | 2.54 | ± | 0.01 |
| Alanine aminotransferase | U/L | 49.37 | ± | 2.22 | 72.17 | ± | 3.35** |
| Alkaline phosphatase | U/L | 221.30 | ± | 29.14 | 282.00 | ± | 13.53* |
| Aspartate aminotransferase | U/L | 78.53 | ± | 6.77 | 139.60 | ± | 5.97** |
| Total bilirubin | umol/L | 2.07 | ± | 0.15 | 3.07 | ± | 0.15** |
| Cholesterol | mmol/L | 5.85 | ± | 0.32 | 4.58 | ± | 0.47* |
| Creatinine | umol/L | 34.67 | ± | 3.79 | 66.33 | ± | 2.08** |
| Glucose | mmol/L | 5.90 | ± | 0.70 | 5.97 | ± | 0.45 |
| Urea | mmol/L | 17.53 | ± | 0.78 | 27.87 | ± | 0.86** |
| Total protein | g/L | 61.30 | ± | 1.21 | 71.83 | ± | 1.60** |
| Albumin | g/L | 40.87 | ± | 3.92 | 29.63 | ± | 2.70* |
| Sodium | mmol/L | 144.30 | ± | 6.81 | 136.00 | ± | 3.00 |
| Potassium | mmol/L | 3.13 | ± | 0.21 | 4.17 | ± | 0.60* |
| Chloride | mmol/L | 104.00 | ± | 3.61 | 99.67 | ± | 0.58 |
Haemogram of rats in 14-day acute toxicity of 29,500 mg/m2 ANC (mean ± SD)
| Parameter | Unit | Control | Toxicity | ||||
|---|---|---|---|---|---|---|---|
| Mean | SD | Mean | SD | ||||
| Red blood cells | ×1012/L | 8.62 | ± | 0.13 | 7.06 | ± | 0.09*** |
| Haemoglobin | g/L | 157.00 | ± | 1.00 | 133.40 | ± | 4.05*** |
| Packed cell volume | L/L | 0.46 | ± | 0.02 | 0.36 | ± | 0.02** |
| MCV | fL | 45.55 | ± | 3.21 | 54.89 | ± | 3.75* |
| MCHC | g/L | 367.30 | ± | 8.05 | 339.10 | ± | 10.39 * |
| White blood cells | ×109/L | 7.21 | ± | 0.58 | 12.69 | ± | 0.95** |
| Neutrophils | ×103/μL | 0.66 | ± | 0.05 | 0.76 | ± | 0.06 |
| Lymphocytes | ×103/μL | 10.37 | ± | 0.60 | 15.76 | ± | 1.03** |
| Monocytes | ×103/μL | 0.15 | ± | 0.01 | 0.43 | ± | 0.02*** |
| Eosinophils | ×103/μL | 0.15 | ± | 0.01 | 0.24 | ± | 0.03** |
| Basophils | ×103/μL | 0.02 | ± | 0.01 | 0.07 | ± | 0.01** |
| Thrombocytes | ×109/L | 795.30 | ± | 11.70 | 730.40 | ± | 33.33* |
| Plasma protein | g/L | 70.00 | ± | 7.94 | 63.33 | ± | 4.16 |
| I.I | unit | 2.00 | ± | 0.00 | 2.00 | ± | 0.00 |
Histopathology
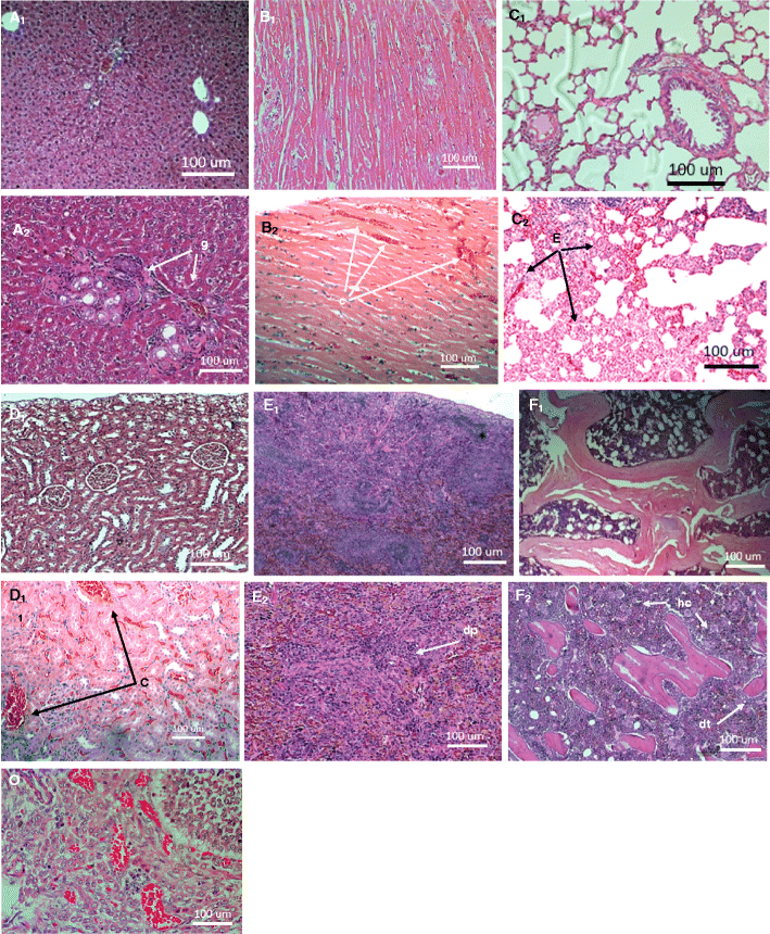
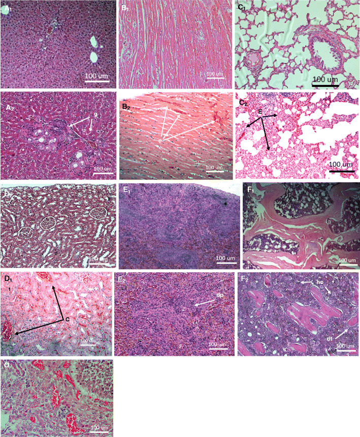
Micrographs of the normal and pathological liver (a), heart (b), lungs (c), kidney (d), spleen (e) and bone (f) of SD rats from 14-day acute toxicity of subcutaneous injections of 29,500 mg/m2 ANC. Subscript 1 denotes normal tissues organ while subscript 2 denotes pathological tissues. Note the granular formation (g) of the liver tissue; congested tissues; polymorphonuclear (PMN) cells infiltration (inflammation) and epithelialization of alveolar (E) septae of the lung tissue; and depleted white pulp (dp) of the splenic tissue and hypercellularity (hc) and trabecular degeneration (dt) of the bone tissue. The ovarian tissue (O) was observed to be normal
Repeated dose 28-day trial
Clinical observations and ophthalmology
A SD rat from the repeated dose 28-day trial of ANC. Note the necrosis halo around the eye
Evaluation of organ to body weight ratios from repeated dose 28-day trial of cockle shell-derived aragonite calcium carbonate nanocrystals
Body weights (g) of SD rats in repeated dose 28-day trial of cockle shell-derived aragonite calcium carbonate nanocrystals in SD rats (mean ± SD)
| Group | Female | Male | ||||
|---|---|---|---|---|---|---|
| Mean | SD | Mean | SD | |||
| Baseline end of experiment | 202.83 | ± | 7.41 | 242.83 | ± | 9.21 |
| 0 mg/m2 (control) | 240.17 | ± | 6.31 | 351.00 | ± | 5.97 |
| 59 mg/m2 | 241.00 | ± | 4.34 | 350.33 | ± | 7.69 |
| 590 mg/m2 | 232.83 | ± | 3.31 | 339.17 | ± | 4.07 |
| 5900 mg/m2 | 228.33 | ± | 3.78 | 333.33 | ± | 10.50 |
Ratios of body and organ weights (g) from repeated dose 28-day trial on cockle shell-derived aragonite calcium carbonate nanocrystals in SD rats (mean ± SD)
| Organ | 0 mg/m2 (control). | SD | 59 mg/m2 | SD | 590 mg/m2 | SD | 5900 mg/m2. | SD | ||||
|---|---|---|---|---|---|---|---|---|---|---|---|---|
| Female | ||||||||||||
| Body weights | 240.17 | ± | 6.31 | 241.00 | ± | 4.3 | 232.83 | ± | 3.31 | 228.33 | ± | 3.78 |
| Liver | 10.54 | ± | 0.58 | 10.20 | ± | 0.77 | 10.06 | ± | 1.12 | 12.14 | ± | 3.36 |
| Spleen | 0.85 | ± | 0.05 | 1.02 | ± | 0.04 | 1.15 | ± | 0.47 | 1.70 | ± | 1.01 |
| Heart | 1.04 | ± | 0.04 | 1.02 | ± | 0.05 | 1.01 | ± | 0.05 | 1.05 | ± | 0.08 |
| Lungs | 2.83 | ± | 0.98 | 2.33 | ± | 0.52 | 2.00 | ± | 0.63 | 2.50 | ± | 0.55 |
| Kidney | ||||||||||||
| Left | 1.05 | ± | 0.08 | 1.03 | ± | 0.07 | 1.02 | ± | 0.13 | 1.18 | ± | 0.40 |
| Right | 1.02 | ± | 0.04 | 1.00 | ± | 0.00 | 1.01 | ± | 0.07 | 1.19 | ± | 0.40 |
| Male | ||||||||||||
| Body weight | 351.00 | ± | 5.97 | 350.33 | ± | 7.69 | 339.17 | ± | 4.07 | 333.33 | ± | 10.5 |
| Liver | 12.17 | ± | 1.33 | 12.72 | ± | 2.57 | 14.51 | ± | 1.37 | 14.93 | ± | 2.07 |
| Spleen | 1.07 | ± | 0.13 | 0.95 | ± | 0.20 | 1.25 | ± | 0.24 | 2.17 | ± | 0.67** |
| Heart | 1.03 | ± | 0.07 | 1.09 | ± | 0.10 | 1.21 | ± | 0.15 | 1.59 | ± | 0.51 |
| Lungs | 2.50 | ± | 0.56 | 3.02 | ± | 0.76 | 3.23 | ± | 1.12 | 3.98 | ± | 0.75* |
| Kidney | ||||||||||||
| Left | 1.54 | ± | 0.54 | 1.53 | ± | 0.36 | 1.80 | ± | 0.50 | 2.06 | ± | 0.15 |
| Right | 1.32 | ± | 0.37 | 1.64 | ± | 0.40 | 1.62 | ± | 0.46 | 1.97 | ± | 0.33 |
Haematology and serum biochemistry
Blood results of female SD rats in the repeated dose 28-day trial of subcutaneous injection of ANC (mean ± SD)
| Parameter | Unit | 0 mg/m2 (control) | SD | 59 mg/m2 | SD | 590 mg/m2 | SD | 5900 mg/m2 | SD | ||||
|---|---|---|---|---|---|---|---|---|---|---|---|---|---|
| Calcium | mmol/L | 2.75 | ± | 0.05 | 2.76 | ± | 0.14 | 2.41 | ± | 0.13*** | 2.45 | ± | 0.08*** |
| Alanine aminotransferase | U/L | 22.55 | ± | 3.22 | 28.16 | ± | 7.90 | 40.98 | ± | 5.12*** | 45.24 | ± | 7.16*** |
| Alkaline phosphatase | U/L | 172.11 | ± | 16.04 | 184.33 | ± | 16.00 | 449.22 | ± | 18.37*** | 659.33 | ± | 18.11*** |
| Aspartate aminotransferase | U/L | 55.82 | ± | 1.57 | 54.95 | ± | 2.85 | 73.54 | ± | 4.34*** | 132.35 | ± | 9.21*** |
| Creatine kinase | IU | 264.07 | ± | 21.76 | 266.17 | ± | 38.00 | 311.55 | ± | 40.22 | 321.34 | ± | 47.02 |
| Creatinine | umol/L | 33.67 | ± | 3.45 | 32.52 | ± | 5.12 | 49.56 | ± | 4.93*** | 65.66 | ± | 2.79*** |
| Phosphate | mmol/L | 2.36. | ± | 0.21 | 2.54 | ± | 0.17 | 2.55 | ± | 0.22 | 2.57 | ± | 0.38 |
| Urea | mmol/L | 13.98 | ± | 0.88 | 12.83 | ± | 0.71 | 16.12 | ± | 1.62** | 27.61 | ± | 0.55*** |
| Total protein | g/L | 61.30 | ± | 3.98 | 62.22 | ± | 3.89 | 70.66 | ± | 3.43** | 74.87 | ± | 6.73*** |
| Lactate dehydrogenase | U/L | 307.33 | ± | 37.29 | 359.28 | ± | 50.82 | 341.23 | ± | 36.73 | 337.52 | ± | 22.39 |
| Red blood cells | ×1012/L | 8.29 | ± | 0.36 | 8.56 | ± | 0.63 | 7.21 | ± | 0.35* | 6.49 | ± | 0.85*** |
| Haemoglobin | g/L | 151.3 | ± | 7.45 | 154.87 | ± | 5.84 | 140.15 | ± | 9.70 | 139.66 | ± | 5.66* |
| Haematocrit | L/L | 0.47 | ± | 0.03 | 0.44 | ± | 0.09 | 0.37 | ± | 0.02* | 0.36 | ± | 0.05* |
| MCV | fL | 56.17 | ± | 1.33 | 55.03 | ± | 1.00 | 55.06 | ± | 1.27 | 57.06 | ± | 3 .00 |
| MCHC | g/L | 355.78 | ± | 3.32 | 362.03 | ± | 21.09 | 329 | ± | 2.76* | 315.89 | ± | 19 .00*** |
| White blood cells | ×109/L | 5.22 | ± | 0.48 | 6.37 | ± | 4.36 | 8.97 | ± | 1.08 | 14.68 | ± | 1.24 |
| Neutrophils | ×103/μL | 0.70 | ± | 0.04 | 0.68 | ± | 0.03 | 0.73 | ± | 0.03 | 0.78 | ± | 0.02** |
| Lymphocytes | ×103/μL | 10.82 | ± | 0.23 | 10.83 | ± | 0.29 | 13.74 | ± | 0.16***0 | 15.67 | ± | 0.35*** |
| Monocytes | ×103/μL | 0.14 | ± | 0.02 | 0.17 | ± | 0.03 | 0.19 | ± | 0.02* | 0.20 | ± | 0.04** |
| Eosinophils | ×103/μL | 0.16 | ± | 0.03 | 0.15 | ± | 0.02 | 0.22** | ± | 0.01 | 0.25 | ± | 0.03*** |
| Basophils | ×103/μL | 0.00 | ± | 0.00 | 0.00 | ± | 0.00 | 0.00 | ± | 0.00 | 0.00 | ± | 0.00 |
| Thrombocytes | ×109/L | 594.81 | ± | 17.13 | 582.13 | ± | 21.61 | 439.66 | ± | 14.80*** | 373.63 | ± | 23.11*** |
| Plasma protein | g/L | 77.00 | ± | 2.07 | 76.17 | ± | 2.76 | 74.02 | ± | 3.88 | 60.83 | ± | 12.67** |
Blood results of male SD rats in the repeat dose 28-day trial of subcutaneous injection of ANC (Mean ± SD)
| Parameter | Unit | 0 mg/m2 (control) | SD | 59 mg/m2 | SD | 590 mg/m2. | SD | 5900 mg/m2 | SD | ||||
|---|---|---|---|---|---|---|---|---|---|---|---|---|---|
| Calcium | mmol/L | 2.91 | ± | 0.19 | 2.90 | ± | 0.06 | 2.59 | ± | 0.14* | 2.49 | ± | 0.34** |
| Alanine aminotransferase | U/L | 21.48 | ± | 8.90 | 24.20 | ± | 4.07 | 33.68 | ± | 3.71* | 57.35 | ± | 6.75*** |
| Alkaline phosphatase | U/L | 275.00 | ± | 24.73 | 289.50 | ± | 20.03 | 381.17 | ± | 19.71*** | 760.52 | ± | 10.09*** |
| Aspartate aminotransferase | U/L | 56.20 | ± | 6.43 | 64.85 | ± | 7.33 | 74.28 | ± | 6.18** | 133.73 | ± | 9.10*** |
| Creatine kinase | U/L | 324 | ± | 52.24 | 326.67 | ± | 37.74 | 368.67 | ± | 47.57 | 377.17 | ± | 20.00 |
| Creatinine | umol/L | 33.00 | ± | 1.03 | 35.00 | ± | 2.76 | 65.83 | ± | 2.85*** | 62.83 | ± | 3.08*** |
| Phosphate | mmol/L | 2.40 | ± | 0.28 | 2.35 | ± | 0.10 | 2.74 | ± | 0.20 | 2.75 | ± | 0.4 |
| Urea | mmol/L | 14.90 | ± | 0.90 | 14.18 | ± | 0.72 | 18.93 | ± | 0.92*** | 23.72 | ± | 0.81*** |
| Total protein | g/L | 63.80 | ± | 3.40 | 62.28 | ± | 1.60 | 70.78 | ± | 3.02* | 71.75 | ± | 6.12* |
| Lactate dehydrogenase | U/L | 356.00 | ± | 79.61 | 423.00 | ± | 86.42 | 327.67 | ± | 97.55 | 471.00 | ± | 51.00 |
| Red blood cells | ×1012/L | 8.89 | ± | 0.44 | 8.85 | ± | 0.49 | 7.84 | ± | 0.86** | 7.65 | ± | 0.38* |
| Haemoglobin | g/L | 164.97 | ± | 8.76 | 167.17 | ± | 6.52 | 151.12 | ± | 6.16** | 140.78 | ± | 4.91*** |
| Haematocrit | L/L | 0.49 | ± | 0.03 | 0.50 | ± | 0.02 | 0.43 | ± | 0.06 | 0.41 | ± | 0.05* |
| MCV | fL | 56.91 | ± | 1.76 | 56.82 | ± | 2.41 | 52.98 | ± | 1.47* | 53.05 | ± | 3.03* |
| MCHC | g/L | 342.00 | ± | 5.57 | 331.04 | ± | 11.11 | 339.61 | ± | 7.58* | 314.94 | ± | 5.10*** |
| White blood cells | ×109/L | 13.31 | ± | 0.73 | 14.17 | ± | 1.13 | 15.25 | ± | 1.12** | 17.35 | ± | 0.26*** |
| Neutrophils | ×103/μL | 0.94 | ± | 0.05 | 0.98 | ± | 0.02 | 0.96 | ± | 0.05 | 1.01 | ± | 0.05 |
| Lymphocytes | ×103/μL | 10.73 | ± | 0.51 | 10.81 | ± | 0.45 | 11.78 | ± | 0.64* | 13.99 | ± | 0.55*** |
| Monocytes | ×103/μL | 0.23 | ± | 0.05 | 0.22 | ± | 0.03 | 0.32 | ± | 0.02** | 0.44 | ± | 0.06*** |
| Eosinophils | ×103/μL | 0.12 | ± | 0.00 | 0.13 | ± | 0.01 | 0.17 | ± | 0.01*** | 0.20 | ± | 0.02*** |
| Basophils | ×103/μL | 0.00 | ± | 0.00 | 0.00 | ± | 0.00 | 0.00 | ± | 0.00 | 0.00 | ± | 0.00 |
| Thrombocytes | ×109/L | 1050.00 | ± | 52.48 | 1041.83 | ± | 46.92 | 944.33 | ± | 39.24** | 834.65 | ± | 27.99*** |
| Plasma protein | g/L | 72.11 | ± | 2.42 | 70.19 | ± | 1.79 | 73.57 | ± | 2.17 | 74.33 | ± | 3.28 |
The haemogram of the female medium (590 mg/m2 body weight) and high (5900 mg/m2) toxicity groups showed significant decreases (p < 0.05 and 0.001) in red blood cells, haemoglobin, haematocrit and mean corpuscular haemoglobin concentration (MCHC). The two dosages were also associated with blood thinning characterized by thrombocytopenia (p < 0.001) (Table 5). Similar trends were observed in the male medium (590 mg/m2 body weight) and high (5900 mg/m2) toxicity groups of this study (Table 6). Significant eosinophilia (p < 0.001) was also recorded in the female high (5900 mg/m2) toxicity and the male medium (590 mg/m2 body weight) and high (5900 mg/m2) toxicity (p < 0.05 and 0.001) groups. The low toxicity groups (59 mg/m2) of both sexes showed no significant changes (p > 0.05) in levels of the haemogram parameters studied (Tables 5 and 6).
Gross lesions and histopathology
Photographs of SD rats from control (a) and high toxicity (5900 mg/m2) (b) groups depicting a normal and a liver with abscess in a and b, respectively. Note the centrally located circumscribed abscess (arrow) in the liver of rat from the high toxicity group (b)
Micrographs of the normal and pathological liver (a), spleen (b), kidney (c), lung (d) and bone (e) of SD rats from high dosage (5900 mg/m2) group of 28-day subchronic toxicity of subcutaneous ANC injections. Subscript C denotes normal tissues while subscripts 1 and 2 denote pathological tissues. Note the multifoci necrosis (ln, blackish) and marked fatty cells (fc, whitish) lodgement in the liver tissue; the depopulation of the white pulp (dp) and hypercellularity (hc) of the splenic tissue; the degenerations (dt) and necrosis (nt) of renal tubules with mild glomerular lesion; the generalized congestion (gc) and oedema (go) of the lung tissue; and the marked increase in osteoclast population (oc) and trabecular resorption (rt) in the bone tissue
Micrographs of the normal and pathological liver (a), spleen (b), kidney (c), lung (d) and bone (E) of SD rats from medium dosage (590 mg/m2) group of 28-day subchronic toxicity of subcutaneous ANC injections. Subscript C denotes normal tissues while subscripts 1 and 2 denote pathological tissues. Note the mild lobar degenerations without necrosis (ld) in the liver tissue; the macrophage infiltration (mi) and depletion of white pulp (dp) areas in the splenic tissue; the mild glomerular and tubular degeneration (dt) and necrosis in tubules (nt) of the kidney tissue; the congestion (lc), oedema (lo), thickened alveolar septae (ts) and the mild proliferation of mucosa-associated lymphoid tissue (MALT) cells in the lung tissue; and the moderate increase in osteoclast population and trabecular resorption in the bone tissue
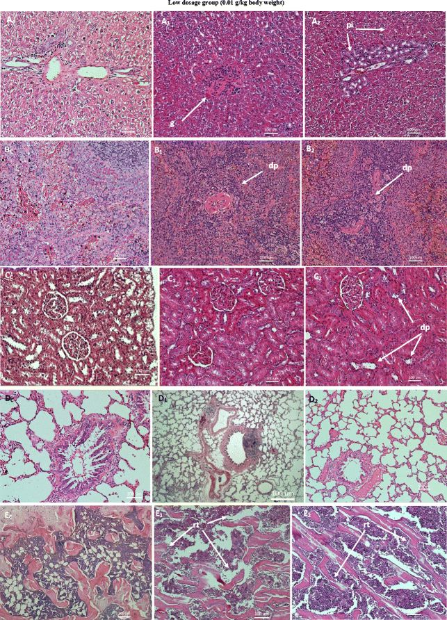
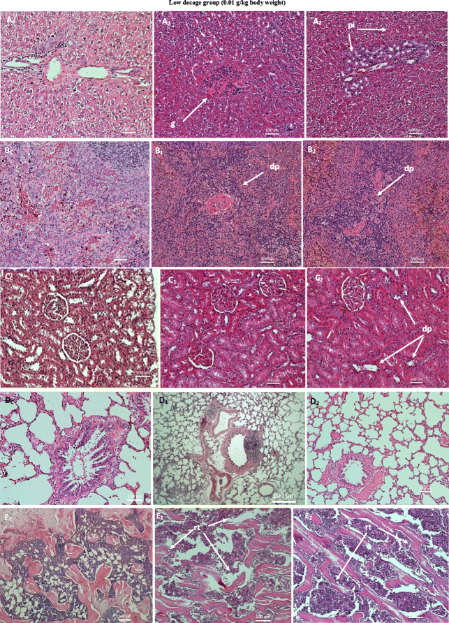
Micrographs of the normal and pathological liver (a), spleen (b), kidney (c), lung (d) and bone (e) of SD rats from low dosage (59 mg/m2) group of 28-day subchronic toxicity of subcutaneous ANC injections. Subscript C denotes normal tissues organ while subscripts 1 and 2 denote pathological tissues. Note the granular (g) formation and periportal infiltration (pi) in the liver tissue; mild depletion of white pulp (dp) in the splenic tissue; the reversible degenerations without necrosis of renal tubules (dt); and the mild trabecular destruction (rt) in the bone tissue. The lung tissues show no significant lesion
Discussion
Physicochemical characterization of NPs has been identified as the first step towards meaningful understanding of its in vitro or in vivo biological data or inter-laboratory comparison (McNeil 2011). Detailed physicochemical characterization and cytocompatibility of ANC had earlier been determined (Jaji et al. 2017).
Cockle shells are remarkable sources of naturally purified aragonite polymorphs of calcium carbonate (Islam 2012). Though calcium carbonate is renowned for its multifaceted applicability in fields of science (Epple 2003; Manolova et al. 2008; Colfen and Mann 2003; McLeod et al. 2004; Yu et al. 2006; Naka et al. 2006; Islam et al. 2011), it is poised for greater advancements in nanomedicine. Nanomedicine offers many prospects and benefits to medical research by making pharmaceuticals more efficacious (McNeil 2011). The nanotechnological top-down method of synthesis of ANC from this natural reservoir holds huge benefits. It enables obtaining aragonite crystals in their natural forms while retain most of their special features (Islam et al. 2011, 2012). The method enabled synthesis of spherical ANC of 30 ± 5 nm size, as determined by TEM and FESEM. Although, morphology, structure, size, surface area oil adsorption and chemical purity are important determinant factors for the use of calcium carbonate in varying applications, morphology appears to be the most important. As such, synthesis of calcium carbonate crystals with homogenous shape and size is now a topic of research due to the interesting mechanical and optical properties (Loy et al. 2004; Xu et al. 2006; Zhang et al. 2008; Zhanga et al. 2010).
The use of inorganic NPs as drug delivery carriers has gained wide concerns (Zhanga et al. 2010). Though, calcium carbonate NPs have shown promising potential for the development of carriers for drugs and are gaining recognitions as successful nanocarriers for subcutaneous delivery of biologicals (Ueno et al. 2004; He et al. 2008; Higaki et al. 2006; Zhang et al. 2012). There is paucity of research on their safe dosage for maximizing their therapeutic activity without harming biosystems (Zhang et al. 2012). This study demonstrates the safety of ANC as a potential agent for subcutaneous delivery of biologics and drugs. No mortality was recorded at the end of the acute and subchronic toxicity experiments. With a LD50 of 6450 mg/kg body weight (body weight), calcium carbonate has a wide margin of safety and low acute toxicity (Aguilar et al. 2011). There was no sign of toxicity from the initial dosages used in the acute toxicity experiment (single doses of 1770 and 11,800 mg/m2). However, the final dosage (29,500 mg/m2) that was eventually used was for the 14-day acute toxicity study was associated with some toxic signs and lesions. The eventual recourse to high-dose usage was in line with the Organization for Economic Cooperation and Development (OECD) laid guidelines preliminary trial doses for acute toxicity studies, test number 423 (OECD 2010).
Moderate histopathological lesions were observed in rats of the 14-day acute toxicity group. To the best of the knowledge of the authors of this recent study, no record is available detailing the toxicity of subcutaneous administration of calcium carbonate. Available data on calcium carbonate toxicity are related to mild to moderate oral toxicity from its usage as mineral supplement. This may not be unconnected to the fact that calcium carbonate from oral route dissociates into its constituent ions in the acid milieu of the stomach. Some of the component calcium is absorbed, via active transport or passive diffusion (Aguilar et al. 2011), while the greater percentage of the unabsorbed calcium is complexed to bile acids, free fatty acids and oxalic acid and excreted with the faeces (Heaney 2002). More so, most of the available toxicological data on calcium carbonate were on the micron, other than the nano sized. Toxicological findings have revealed high toxicity of NPs compared to micron sized particles of the same composition, thus, posing questions on their human health importance (Karlsson et al. 2009).
There was marked splenomegaly and hepatomegaly in the high toxicity group of both sexes. The hepatomegaly was also associated with fatty degeneration (lipidosis). Lu et al. (2010) reported mild splenomegaly and hepatomegaly associated with mesoporous silica NPs for cancer therapy in mice. In a study on 7-day acute toxicity of single oral dose, 11,770 mg/m2 gavage of nano versus micron calcium carbonate and 261 U vitamin D3/kg body weight in mice, no mortality or changes related to treatment were recorded in either group (Huang et al. 2009). Similarly, an acute toxicity study recorded no treatment-related effects in female Sprague-Dawley rats administered a single dose of 2000 mg calcium carbonate/kg body weight by gavage (SafePharma 2008).
Though calcium carbonate does not meet the criteria for classification as dangerous substances according to Directive 67/548/EEC as amended on eye irritation due to topical calcium carbonate (CCA 2005), the present study recorded necrotizing lesion around the eyelids of rats from the high toxicity group following the 28-day subchronic toxicity study. This could be due to the systemic effect of ANC following the subcutaneous route of administration. Dendritic cells are the first line of contact following subcutaneous administration of immunogenic nanoparticle compounds; these cells engulf the foreign material based on its size and present to antigen presenting cells, which move to resident reticuloendothelial tissues such as the spleen, tonsils and lymph nodes through the lymphatic drainage systems. In the study, large particulate materials (500–1000 nm) were mostly found in DC at the injection site, while small (20–200 nm) were found in DC of close by lymph nodes (Manolova et al. 2008).
Most of the haematological parameters in the repeated dose 28-day trial groups showed no significant variations. The changes in haematological parameters recorded from this study are related to cascade of immunological responses caused by ANC. An earlier study by Harlan Laboratories (2010), on a combined repeat dose oral toxicity/reproduction/developmental toxicity screening study with “nano” calcium carbonate in Wistar rats (Han™/HsdRccHan™/WIST strain), had documented minor haematological changes in males receiving 5900 mg/m2/day. NPs have been associated with changes in haematological parameters (Smith et al. 2007; Xie et al. 2011; Khabbazi et al. 2015).
The severity of the histopathological lesions in the viscera and bones of the toxicity groups in both sexes were dosage dependent and not in agreement with earlier reports by Harlan Laboratories (2010) and Aguilar et al. (2011) that documented the absence of treatment-related effects from studies on oral administration of calcium carbonate. This was attributed to the difference in route of administration of calcium carbonate in both studies and size in the later study, as discussed above. The serious toxicity lesions were limited to the medium to high subcutaneous dose groups of ANC. The gonads and skin showed no significant lesion. It has been observed that apart from blood, phagocytosis and endocytosis of NPs by body cells have also been observed to play very important roles in their further spread to distant organs (Garnett and Kallinteri 2006; Yacobi et al. 2010; Greulich et al. 2011). Irrespective of natural barriers, low concentrations of NPs have been found in the liver, the spleen, the heart and the brain (Ji et al. 2006; Oberdorster et al. 2002).
ANC at low dosage is largely a safe inorganic crystal with potentials for subcutaneous delivery of biologicals and drugs, as well as a calcium carbonate supplement. The low dosage (59 mg/m2 body weight) group showed the high safety margin of ANC. The study was able to correct the impression that CaCO3 is generally safe. The safety of CaCO3 nanocrystals in vivo is dependent on its concentration and route of administration.
Notes
Acknowledgements
The authors of this study wish to express their appreciations to the staff of Laboratories of Pharmacology and Histopathology, Universiti Putra Malaysia, Malaysia, for their technical assistance.
Compliance with ethical standards
The protocols for these studies were approved by the Institutional Animal Care and Use Committee (IACUC), Universiti Putra Malaysia (AUP number R002/2014).
Conflict of interest
The authors declare that they have no conflict of interest.
References
- Aguilar F, Dusemund B, Galtier P, Gilbert J, Gott DM, Grilli S, Gürtler R, König J, Lambré C, Larsen J-C, Leblanc J-C, Mortensen A, Parent-Massin D, Pratt I, Rietjens IMCM, Stankovic I, Tobback P, Verguieva T, Woutersen RA (2011) Scientific opinion on re-evaluation of calcium carbonate (E 170) as a food additive. European Food Safety Authority (EFSA) Journal 9(7):231854 http://www.efsa.europa.eu/sites/default/files/scientific_output/files/main_documents/2318.pdf Google Scholar
- Awang-Hazmi AJ, Zuki ABZ, Noordin MM, Jalila A, Norimah Y (2007) Mineral composition of the cockle (Anadara granosa) shells of west coast of peninsular Malaysia and it’s potential as biomaterial for use in bone repair. J Anim Vet Adv 6(5):591–597 http://medwelljournals.com/abstract/?doi=javaa.2007.591.594 Google Scholar
- Borm PJ, Robbins D, Haubold S, Kuhlbusch T, Fissan H, Donaldson K, Schins R, Stone V, Kreyling W, Lademann J, Krutmann J, Warheit D, Oberdorster E (2006) The potential risks of nanomaterials: a review carried out for ECETOC. Part Fibre Toxicol 3(11):1–35. doi: 10.1186/1743-8977-3-11 http://www.particleandfibretoxicology.com/content/3/1/11 Google Scholar
- CCA (Calcium Carbonate Association) (2005) Skin & eye irritation studies performed on calcium carbonate, Summary report, December 2005, Calcium Carbonate Association–Europe A.I.S.B.L. Member of IMA-Europe, p 1–2. http://www.cca-europe.eu/fileadmin/cca/CCA_new/CCA_Summary_report__final_.pdf
- Colfen H, Mann S (2003) Review: higher-order organization by mesoscale self-assembly and transformation of hybrid nanostructures. Angew Chem Int Ed 42(21):2319–2431CrossRefGoogle Scholar
- Colvin VL (2003) The potential environmental impact of engineered nanomaterials. Nat Biotechnol 21:1166–1170CrossRefGoogle Scholar
- Combes C, Miao B, Bareille R, Rey C (2006) Preparation, physical-chemical characterisation and cytocompatibility of calcium carbonate cements. Biomaterials 27:1945–1945CrossRefGoogle Scholar
- Drobne D (2007) Nanotoxicology for safe nanotechnology. Arh Hig Rada Toksikol 58:471–478. doi: 10.2478/v10004-007-0040-4 CrossRefGoogle Scholar
- Elsaesser A, Howard CV (2012) Toxicology of nanoparticles. Adv Drug Deliv Rev 64:129–137CrossRefGoogle Scholar
- Epple M (2003) Book review: biomineralization principles and concepts in bioinorganic materials chemistry. By Stephen Mann. Angew Chem Int Ed 42:381–382. doi: 10.1002/anie.200390143 CrossRefGoogle Scholar
- Garnett MC, Kallinteri P (2006) Nanomedicines and nanotoxicology: some physiological principles. Occup Med (Lond) 56:307–311CrossRefGoogle Scholar
- Greulich C, Diendorf J, Simon T, Eggeler G, Epple M, Koller M (2011) Uptake and intracellular distribution of silver nanoparticles in human mesenchymal stem cells. Acta Biomater 7:347–354CrossRefGoogle Scholar
- Guo F, Li Y, Xu H, Zhao G, He X (2007) Size-controllable synthesis of calcium carbonate nanoparticles using aqueous foam films as templates. Mater Lett 61(27):4937–4939CrossRefGoogle Scholar
- Gwinn MR, Vallyathan V (2006) Nanoparticles: health effects prospects and constraints. Environ Health Perspectives 114:1818–1825Google Scholar
- Harlan Laboratories (2010) Calcium carbonate (nano): oral gavage combined repeat dose toxicity study with reproduction/developmental toxicity screening test in the rat. Project number: 2974/0010. Unpublished study report provided by CCA-Europe. May 2011Google Scholar
- He XW, Liu T, Chen YX, Cheng DJ, Li XR, Xiao Y et al (2008) Calcium carbonate nanoparticle delivering vascular endothelial growth factor-C siRNA effectively inhibits lymphangiogenesis and growth of gastric cancer in vivo. Cancer Gene Ther 15(3):193–202. doi: 10.1038/sj.cgt.7701122 CrossRefGoogle Scholar
- Heaney RP (2002) Ethnicity, bone status, and calcium requirement. Nutr Res 22(1–2):153–178. doi: 10.1016/S0271-5317(01)00358-X CrossRefGoogle Scholar
- Higaki M, Kameyama M, Udagawa M, Ueno Y, Yamaguchi Y, Igarashi R, Ishihara T, Mizushima Y (2006) Transdermal delivery of calcium carbonate-nanoparticles containing insulin. Diabetes Technology and Therapeutics 8(3):369–374. doi: 10.1089/dia.2006.8.369-374 CrossRefGoogle Scholar
- Hodgson E (2010) A textbook of modern toxicology, 4th edn. Wiley, Hoboken ISBN 978-0-470-46206-5 (cloth)Google Scholar
- Hoque ME, Shehryar M, Islam KMN (2013) Processing and characterization of cockle shell calcium carbonate (CaCO3) bioceramic for potential application in bone tissue Engineering. Journal of Material Science and Engineering 2(4):1000132CrossRefGoogle Scholar
- Hristozov D, Malsch I (2009) Hazards and risks of engineered nanoparticles for the environment and human health. Sustainability 1:1161–1194. doi: 10.3390/su1041161 CrossRefGoogle Scholar
- Huang S, Chen JC, Hsu CW, Chang WH (2009) Effects of nano calcium carbonate and nano calcium citrate on toxicity in ICR mice and on bone mineral density in an ovariectomized mice model. Nanotechnology 20(37):375102CrossRefGoogle Scholar
- Islam KN, Bakar MZBA, Noordin MM, Hussein MZB, Rahman NSBA, Ali ME (2011) Characterisation of calcium carbonate and its polymorphs from cockle shells (Anadara granosa). Powder Technol 213(1):188–191CrossRefGoogle Scholar
- Islam, KN, Zuki, ABZ Ali ME, Bin Hussein, MZ, Noordin, MM Loqman, MY Wahid, H, MA Hakim and Abd Hamid, SB (2012) Facile Synthesis of Calcium Carbonate Nanoparticles from Cockle Shells. Hindawi Publishing Corporation. Journal of Nanomaterials 2012:5. doi: 10.1155/2012/534010
- ISO/TS (International Organisation for Standardization/Technica Specification) (2015) Nanotechnologies-vocabulary-part 2: nano -objects. ISO/TC 229, 1, 2015–06, 01.040.07, 07.030. © 2015 ISOGoogle Scholar
- Jaji AZ, Bakar MZBA, Mahmud R, Loqman MY, Hezmee MNM, Isa T, Wenliang F, Hammadi NI (2017) Synthesis, characterization, and cytocompatibility of potential cockle shell aragonite nanocrystals for osteoporosis therapy and hormonal delivery. Nanotechnol Sci Appl 10:23–33CrossRefGoogle Scholar
- Ji ZQ, Sun H, Wang H, Xie Q, Liu Y, Wang Z (2006) Biodistribution and tumor uptake of C60(OH) x in mice. J Nanopart Res 8:53–63CrossRefGoogle Scholar
- Karlsson HL, Gustafsson J, Cronholm P, Möller L (2009) Size-dependent toxicity of metal oxide particles—a comparison between nano- and micrometer size. Toxicol Lett 188(2):112–118. doi: 10.1016/j.toxlet.2009.03.014 CrossRefGoogle Scholar
- Khabbazi M, Harsij M, Hedayati AK, Gholipoor H, Gerami MH, Ghafari FH (2015) Effect of CuO nanoparticles on some hematological indices of rainbow trout Oncorhynchus mykiss and their potential toxicity. Nanomed J 2(1):67–73. doi: 10.7508/nmj.2015.01.008 Google Scholar
- Kitano H (2002) Computational systems biology. Nature 420:206–210. doi: 10.1038/nature01254 CrossRefGoogle Scholar
- Kroll A, Pillukat MH, Hahn D, Schnekenburger J (2012) Interference of engineered nanoparticles with in vitro toxicity assays. Arch Toxicol 86:1123–1136. doi: 10.1007/s00204-012-0837-z CrossRefGoogle Scholar
- Loy JE, Guo JH, Severtson SJ (2004) Role of adsorption fractionation in determining the calcium carbonate scale inhibition performance of polydisperse sodium polyacrylate. Ind Eng Chem Res 43:1882–1887CrossRefGoogle Scholar
- Lu J, Liong M, Li Z, Zink J, Tamanoi E (2010) Biocompatibility, biodistribution, and drug-delivery efficiency of mesoporous silica nanoparticles for cancer therapy in animals. Small 6(16):1794–1805. doi: 10.1002/smll.201000538 CrossRefGoogle Scholar
- Manolova V, Flace A, Bauer M, Schwarz K, Saudan P, Bachmann MF (2008) Nanoparticles target distinct dendritic cell populations according to their size. Eur J Immunol 38(5):1404–1413CrossRefGoogle Scholar
- McLeod MC, Gale WF, Roberts CB (2004) Metallic nanoparticle production utilizing a supercritical carbon dioxide flow process. Langmuir 20(17):7078–7082CrossRefGoogle Scholar
- McNeil SE (2011) Characterization of nanoparticles intended for drug delivery. Methods Mol Biol 697:269. Humana Press. ISBN 1607619083, 9781607619086 DOI 10.1007/978-1-60327-198-1_1, © Springer Science+Business Media, LLC 2011
- Moorthi C, Manavalan R, Kathiresan K (2011) Nanotherapeutics to overcome conventional cancer chemotherapy limitations. Journal of Pharm Pharmaceutical Sciences 14:67–77CrossRefGoogle Scholar
- Morose G (2010) The 5 principles of “design for safer nanotechnology”. Journal of Clean Production 18:285–289CrossRefGoogle Scholar
- Muhammad SI, Ismail M, Mahmud R, Esmaile MF, Zuki ABZ (2013) Bone mass density estimation: Archimede’s principle versus automatic x-ray histogram and edge detection technique in ovariectomized rats treated with germinated brown rice bioactives. Clin Interv Aging 8:1421–1431. doi: 10.2147/CIA.S49704 ISSN 1176-9092; ESSN: 1178-1998CrossRefGoogle Scholar
- Naka K, Huang SC, Chujo Y (2006) Formation of stable vaterite with poly(acrylic acid) by the delayed addition method. Langmuir 22:7760–7767CrossRefGoogle Scholar
- Nel A, Xia T, Madler L, Li N (2006) Toxic potential of materials at the nanolevel. Science 311:622–627CrossRefGoogle Scholar
- Oberdorster G, Sharp Z, Atudorei V, Elder A, Gelein R, Lunts A, Kreyling W, Cox C (2002) Extrapulmonary translocation of ultrafine carbon particles following whole-body inhalation exposure of rats. Journal of Toxicological Environment Health A 65:1531–1543CrossRefGoogle Scholar
- Oberdorster G, Oberdorster E, Oberdorster J (2005) Nanotoxicology: an emerging discipline evolving from studies of ultrafine particles. Environ Health Perspect 113:823–839CrossRefGoogle Scholar
- OECD (Organisation for Economic Co-operation and Development) (2010) OECD Stat, (data base). doi: 10.1787/data-00285-en. Accessed 15 Mar 2016
- SafePharma Laboratories, (2008). Calcium carbonate: acute oral toxicity in the rat-fixed dose method. SPL Project Number 1992/0009. Unpublished study report provided by CCA-Europe.April 2011.Google Scholar
- Sayes, C.M. and Warheit, D.B. (2009). Characterization of nanomaterials for toxicity assessment, Wiley Interdiscip. Rev. Nanomed. Nanobiotechnol. 1 (2009) 660–670.Google Scholar
- Smith CJ, Shaw BJ, Handy RD (2007) Toxicity of single walled carbon nanotubes to rainbow trout, (Oncorhynchus mykiss): respiratory toxicity, organ pathologies, and other physiological effects. Aquat Toxicol 82:94–109. doi: 10.1016/j.aquatox.2007.02.003 CrossRefGoogle Scholar
- Stern ST, McNeil SE (2008) Nanotechnology safety concerns revisited. Toxicol Sci 101:4–21CrossRefGoogle Scholar
- The Royal Society (2004) Nanoscience and nanotechnologies: opportunities and uncertainties. The Royal Society & the Royal Academy of Engineering. ISBN 0 85403 604 0. Available at http://www.nanotec.org.uk/finalReport.htm. Accessed 2 Feb 2016
- Ueno Y, Futagawa H, Takagi Y, Ueno A, Mizushima Y (2004) Drug-incorporating calcium carbonate nanoparticles for a new delivery system. Journal of Controlled Release, 2005 103(1):93–98CrossRefGoogle Scholar
- Wang L, Sondi I, Matijevic’ E (1999) Preparation of uniform needle-like aragonite particles by homogeneous precipitation. Journal of Colloid Interface Sciience 218:545CrossRefGoogle Scholar
- Wang C, Zhao J, Zhao X, Bala H, Wang Z (2006) Synthesis of nanosized calcium carbonate (aragonite) via a polyacrylamide inducing process. Powder Technol 163(3):134–138CrossRefGoogle Scholar
- Xie S, Wang F, Wang Y, Zhu L, Dong Z, Wang X, Li X, Zhou W (2011) Acute toxicity study of tilmicosin-loaded hydrogenated castor oil-solid lipid nanoparticles. Part Fibre Toxicol 8:33. doi: 10.1186/1743-8977-8-33 CrossRefGoogle Scholar
- Xu AW, Antonietti M, Colfen H, Fang YP (2006) Uniform hexagonal plates of vaterite calcium carbonate mesocrystals formed by biomimetic mineralization. Adv Funct Mater 16:903CrossRefGoogle Scholar
- Yacobi NR, Malmstadt N, Fazlollahi F, DeMaio L, Marchelletta R, Hamm-Alvarez SF, Borok Z, Kim KJ, Crandall ED (2010) Mechanisms of alveolar epithelial translocation of a defined population of nanoparticles. Am J Respir Cell Mol Biol 42:604–614CrossRefGoogle Scholar
- Yu, J. Guo, H., Davis, S. A., and Mann, S. (2006). “Fabrication of hollow inorganic microspheres by chemically induced self-transformation,” Adv Funct Mater, vol. 16, no. 15, pp. 2035–2041, 2006.Google Scholar
- Zhang JC, Zhang J, Feng X, Li W, Zhao Y, Han B (2008) Influence of surfactant on themorphologies of CaCO3 by carbonation route with compressed CO2. Colloid Surface A 324(1–3):167–170CrossRefGoogle Scholar
- Zhang X, Sun M, Zheng A, Cao D, Bi Y, Sun J (2012) Preparation and characterization of insulin-loaded bioadhesive PLGA nanoparticles for oral administration. Eur J Pharm Sci 45(5):632–638. doi: 10.1016/j.ejps.2012.01.002 CrossRefGoogle Scholar
- Zhanga Q, Rena L, Sheng Y, Ji Y, Fu J (2010) Control of morphologies and polymorphs of calcium carbonate via multi-additives system. Mater Chem Phys 122:156–163CrossRefGoogle Scholar
Copyright information
Open Access This article is distributed under the terms of the Creative Commons Attribution 4.0 International License (http://creativecommons.org/licenses/by/4.0/), which permits unrestricted use, distribution, and reproduction in any medium, provided you give appropriate credit to the original author(s) and the source, provide a link to the Creative Commons license, and indicate if changes were made.









