Functional imaging of murine hearts using accelerated self-gated UTE cine MRI
- 378 Downloads
- 8 Citations
Abstract
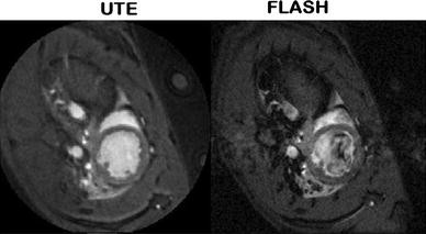
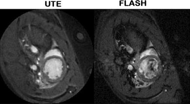
We introduce a fast protocol for ultra-short echo time (UTE) Cine magnetic resonance imaging (MRI) of the beating murine heart. The sequence involves a self-gated UTE with golden-angle radial acquisition and compressed sensing reconstruction. The self-gated acquisition is performed asynchronously with the heartbeat, resulting in a randomly undersampled kt-space that facilitates compressed sensing reconstruction. The sequence was tested in 4 healthy rats and 4 rats with chronic myocardial infarction, approximately 2 months after surgery. As a control, a non-accelerated self-gated multi-slice FLASH sequence with an echo time (TE) of 2.76 ms, 4.5 signal averages, a matrix of 192 × 192, and an acquisition time of 2 min 34 s per slice was used to obtain Cine MRI with 15 frames per heartbeat. Non-accelerated UTE MRI was performed with TE = 0.29 ms, a reconstruction matrix of 192 × 192, and an acquisition time of 3 min 47 s per slice for 3.5 averages. Accelerated imaging with 2×, 4× and 5× undersampled kt-space data was performed with 1 min, 30 and 15 s acquisitions, respectively. UTE Cine images up to 5× undersampled kt-space data could be successfully reconstructed using a compressed sensing algorithm. In contrast to the FLASH Cine images, flow artifacts in the UTE images were nearly absent due to the short echo time, simplifying segmentation of the left ventricular (LV) lumen. LV functional parameters derived from the control and the accelerated Cine movies were statistically identical.
Graphical Abstract
Keywords
Compressed sensing UTE Cardiac MRI Functional imagingNotes
Acknowledgments
We thank Leonie Niesen for biotechnical assistance.
Conflict of interest
None.
Supplementary material
References
- 1.McVeigh ER (1998) Regional myocardial function. Cardiol Clin 16:189–206PubMedCrossRefGoogle Scholar
- 2.Watzinger N, Saeed M, Wendland MF, Akbari H, Lund G, Higgins CB (2001) Myocardial viability: magnetic resonance assessment of functional reserve and tissue characterization. J Cardiovasc Magn Reson 3:195–208PubMedCrossRefGoogle Scholar
- 3.Kim RJ, Wu E, Rafael A, Chen E, Parker MA, Simonetti O, Klocke FJ, Bonow RO, Judd RM (2000) The use of contrast-enhanced magnetic resonance imaging to identify reversible myocardial dysfunction. N Engl J Med 343:1445–1453PubMedCrossRefGoogle Scholar
- 4.Geelen T, Paulis LEM, Coolen BF, Nicolay K, Strijkers GJ (2012) Contrast-enhanced MRI of murine myocardial infarction—part I. NMR Biomed 25:953–968PubMedCrossRefGoogle Scholar
- 5.Kober F, Bernard M, Troalen T, Capron T (2012) Cardiovascular magnetic resonance of myocardial structure, function, and perfusion in mouse and rat models. Curr Cardiovasc Imag Rep 5:109–115CrossRefGoogle Scholar
- 6.Shin T, Hu HH, Pohost GM, Nayak KS (2008) Three dimensional first-pass myocardial perfusion imaging at 3T: feasibility study. J Cardiovasc Magn Reson 10:57PubMedCentralPubMedCrossRefGoogle Scholar
- 7.Peters DC, Korosec FR, Grist TM, Block WF, Holden JE, Vigen KK, Mistretta CA (2000) Undersampled projection reconstruction applied to MR angiography. Magn Reson Med 43:91–101PubMedCrossRefGoogle Scholar
- 8.Thedens D, Irarrazaval P, Sachs T, Meyer C, Nishimura D (1999) Fast magnetic resonance coronary angiography with a three-dimensional stack of spirals trajectory. Magn Reson Med 41:1170–1179PubMedCrossRefGoogle Scholar
- 9.Frahm J, Haase A, Matthaei D (1986) Rapid NMR imaging of dynamic processes using the FLASH technique. Magn Reson Med 3:321–327Google Scholar
- 10.Robson MD, Gatehouse PD, Bydder M, Bydder GM (2003) Magnetic resonance: an introduction to ultrashort TE (UTE) imaging. J Comput Assist Tomogr 27:825–846PubMedCrossRefGoogle Scholar
- 11.O’Brien KR, Gabriel RS, Greiser A, Cowan BR, Young AA, Kerr AJ (2009) Aortic valve stenotic area calculation from phase contrast cardiovascular magnetic resonance: the importance of short echo time. J Cardiovasc Magn Reson 11:49–60PubMedCentralPubMedCrossRefGoogle Scholar
- 12.Hoerr V, Nagelmann N, Nauerth A, Kuhlmann M, Stypmann J, Faber C (2013) Assessment of functional cardiac parameters at high magnetic fields. J Cardiovasc Magn Reson 15:59PubMedCentralPubMedCrossRefGoogle Scholar
- 13.Heijman E, Graaf WD, Niessen P, Nauerth A, Eys G, Graaf LD, Nicolay K, Strijkers GJ (2007) Comparison between prospective and retrospective triggering for mouse cardiac MRI. NMR Biomed 20:439–447PubMedCrossRefGoogle Scholar
- 14.Nauerth A, Heijman E, Diekmann C (2006) Slice refocusing signal for retrospective reconstruction of CINE cardiac MR images. Proc Intl Soc Magn Reson Med 14, p 1648Google Scholar
- 15.Coolen BF, Abdurrachim D, Motaal AG, Nicolay K, Prompers JJ, Strijkers GJ (2013) High frame rate retrospectively triggered Cine MRI for assessment of murine diastolic function. Magn Reson Med 69:648–656Google Scholar
- 16.Larson A, White R, Laub G, McVeigh E, Li D, Simonetti O (2004) Self-gated cardiac cine MRI. Magn Reson Med 51:93–102PubMedCentralPubMedCrossRefGoogle Scholar
- 17.Lustig M, Donoho D, Pauly JM (2007) Sparse MRI: the application of compressed sensing for rapid MR imaging. Magn Reson Med 58:1182–1195PubMedCrossRefGoogle Scholar
- 18.Fessler JA, Sutton BP (2003) Nonuniform fast fourier transforms using min–max interpolation. IEEE Trans Signal Process 51(2):560–574Google Scholar
- 19.Wech T, Lemke A, Medway D, Stork L-A, Lygate CA, Neubauer S, Kostler H, Schneider JE (2011) Accelerating cine-MR imaging in mouse hearts using compressed sensing. J Magn Reson Imag 34:1072–1079CrossRefGoogle Scholar
- 20.Otazo R, Kim D, Axel L, Sodickson DK (2010) Combination of compressed sensing and parallel imaging for highly accelerated first-pass cardiac perfusion MRI. Magn Reson Med 64:767–776PubMedCentralPubMedCrossRefGoogle Scholar
- 21.Gamper U, Boesiger P, Kozerke S (2008) Compressed sensing in dynamic MRI. Magn Reson Med 59:365–373PubMedCrossRefGoogle Scholar
- 22.Buonincontri G, Methner C, Krieg T, Carpenter TA, Sawiak SJ (2014) Functional assessment of the mouse heart by MRI with a 1-min acquisition. NMR Biomed 27:733–737PubMedCrossRefGoogle Scholar
- 23.Doneva M, Eggers H, Rahmer J, Börnert P, Mertins A (2008) Highly undersampled 3D golden ratio radial imaging with iterative reconstruction. Proceedings of the 16th annual meeting of ISMRM, Toronto, Canada, p 336Google Scholar
- 24.Feng L, Grimm R, Block KT, Chandarana H, Kim S, Xu J, Axel L, Sodickson DK, Otazo R (2014) Golden-angle radial sparse parallel MRI: combination of compressed sensing, parallel imaging, and golden-angle radial sampling for fast and flexible dynamic volumetric MRI. Magn Reson Med. doi: 10.1002/mrm.24980
- 25.Winkelmann S, Schaeffter T, Koehler T, Eggers H, Doessel O (2007) An optimal radial profile order based on the golden ratio for time-resolved MRI. IEEE Trans Med Img 26:68–76CrossRefGoogle Scholar
- 26.Thompson RB, McVeigh ER (2004) Flow-gated phase-contrast MRI using radial acquisitions. Magn Reson Med 52:598–604Google Scholar
- 27.Bauer RW, Radtke I, Block KT, Larson MC, Kerl JM, Hammerstingl R, Graf TG, Vogl TJ, Zhang S (2013) True real-time cardiac MRI in free breathing without ECG synchronization using a novel sequence with radial k-space sampling and balanced SSFP contrast mode. Int J Cardiovasc Imag 29(5):1059–1067Google Scholar
- 28.Hiba B, Richard N, Thibault H, Janier M (2007) Cardiac and respiratory self-gated cine MRI in the mouse: comparison between radial and rectilinear techniques at 7T. Magn Reson Med 58(4):745–753Google Scholar
- 29.Glover GH, Pauly JM (1992) Projection reconstruction techniques for reduction of motion effects in MRI. Magn Reson Med 28:275–289Google Scholar
- 30.Bergin CJ, Glover GH, Pauly JM (1991) Lung parenchyma: magnetic susceptibility in MR imaging. Radiology 180:845–848PubMedCrossRefGoogle Scholar
- 31.Du JA, Carlb M, Byddera M, Takahashib A, Chunga CB, Byddera GM (2010) Qualitative and quantitative ultrashort echo time (UTE) imaging of cortical bone. J Magn Reson 207:304–311PubMedCrossRefGoogle Scholar
- 32.Krämer M, Herrmann K-H, Biermann J, Reichenbach JR (2014) Retrospective reconstruction of cardiac cine images from golden-ratio radial MRI using one-dimensional navigators. J Magn Reson Imag. doi: 10.1002/jmri.24364
- 33.Jung H, Park J, Yoo J, Ye JC (2010) Radial k-t FOCUSS for high-resolution cardiac cine MRI. Magn Reson Med 63:68–78Google Scholar
- 34.Bauer R, Radtke I, Uecker M, Zhang S, Block K, Graf T, Kerl J, Vogl T, Larson M True real-time cardiac MRI with radial K-space sampling in free breathing without ECG-synchronization—improved image quality with iterative image reconstruction. Radiological Society of North America 2012 Scientific Assembly and Annual Meeting; 2012 Chicago, ILGoogle Scholar
- 35.Seiberlich N, Lee G, Ehses P, Duerk JL, Gilkeson R, Griswold M (2011) Improved temporal resolution in cardiac imaging using through-time spiral GRAPPA. Magn Reson Med 66:1682–1688Google Scholar
- 36.Usman M, Atkinson D, Odille F, Kolbitsch C, Vaillant G, Schaeffter T, Batchelor P, Prieto C (2013) Motion corrected compressed sensing for free-breathing dynamic cardiac MRI. Magn Reson Med 70:504–516PubMedCrossRefGoogle Scholar
- 37.Jong SD, Zwanenburg JJ, Visser F, Nagel RVD, Rijen HV, Vos MA, Bakker JM, Luijten PR (2011)Direct detection of myocardial fibrosis by MRI. J Mol Cell Cardiol 51(6):974–979Google Scholar
- 38.Nierop BV, Nelissen JL, Bax NA, Graaf L, Nicolay K, Strijkers GJ In vivo ultra short TE (UTE) MRI of mouse myocardial infarction. In: Proceedings of the 20th annual meeting of ISMRM, Melbourne, Australia, p 390Google Scholar
- 39.Hiba B, Richard N, Janier M, Croisille P (2006) Cardiac and respiratory double self-gated cine MRI in the mouse at 7 T. Magn Reson Med 55:506–513Google Scholar
- 40.Voiron J, Lamalle L (2006) Spiral MRI on rat brain and rat heart at 7 Tesla. In: Proceedings of the 14th annual meeting of ISMRM, Seattle, Washington, USA, p 3378Google Scholar
- 41.O’Brien KR,Myerson SG,Cowan BR, Young AA, Robson MD (2009) Phase contrast ultrashort TE: a more reliable technique for measurement of high-velocity turbulent stenotic jets. Magn Reson Med 62(3):626–636Google Scholar
- 42.Motaal AG, Coolen BF, Abdurrachim D, Castro RM, Prompers JJ, Florack LM, Nicolay K, Strijkers GJ (2012) Accelerated high-frame-rate mouse heart cine-MRI using compressed sensing reconstruction. NMR Biomed 26(4):451–457PubMedCrossRefGoogle Scholar
