Inhibition of type 2A secretory phospholipase A2 reduces death of cardiomyocytes in acute myocardial infarction
- 738 Downloads
- 25 Citations
Abstract
During acute myocardial infarction (AMI), ischemia leads to necrotic areas surrounded by border zones of reversibly damaged cardiomyocytes, showing membrane flip-flop. During reperfusion type IIA secretory phopholipase A2 (sPLA2-IIA) induces direct cell-toxicity and facilitates binding of other inflammatory mediators on these cardiomyocytes. Therefore, we hypothesized that the specific sPLA2-IIA-inhibitor PX-18 would reduce cardiomyocyte death and infarct size in vivo. Wistar rats were treated with PX-18 starting minutes after reperfusion, and at day 1 and 2 post AMI. After 28 days hearts were analyzed. Furthermore, the effect of PX-18 on membrane flip-flop and apoptosis was investigated in vitro. PX-18 significantly inhibited sPLA2-IIA activity and reduced infarct size (reduction 73 ± 9%, P < 0.05), compared to the vehicle-treated group, without impairing wound healing. In vitro, PX-18 significantly reduced reversible membrane flip-flop and apoptosis in cardiomyocytes. However, no sPLA2-IIA activity could be detected, suggesting that PX-18 also exerted a protective effect independent of sPLA2-IIA. In conclusion, PX-18 is a potent therapeutic to reduce infarct size by inhibiting sPLA2-IIA, and possibly also by inhibiting apoptosis of cardiomyocytes in a sPLA2-IIA independent manner.
Keywords
Myocardial infarction Inflammation Ischemia reperfusion injury Secretory phopholipase A2 ApoptosisIntroduction
Current acute myocardial infarction (AMI) treatment focuses on reperfusion of the ischemic myocardium. This reperfusion, however, results in the induction of inflammation in the heart, which has been shown to inflict additional damage to the myocardium, hence termed ischemia/reperfusion (I/R)-injury [1, 2, 3]. We have previously shown that ischemia not only results in areas of irreversibly damaged cardiomyocytes, but also in border zones of morphologically normal, reversibly damaged cardiomyocytes surrounding these necrotic areas [4]. It can be speculated that inflammation targets these reversibly damaged cardiomyocytes in the border zones of infarction, presumably subsequent to alterations in the plasma membrane.
Namely, after AMI, damaged cardiomyocytes lose their membrane phospholipid asymmetry [5]. As a result, the anionic phospholipids phosphatidylserine and phosphatidylethanolamine, which under normal conditions are kept within the inner plasma membrane leaflet, are exposed in the outer membrane leaflet, a process called flip-flop [6]. We and others have shown that this flip-flop can be reversible [7, 8]. However, during reperfusion the inflammatory mediator type IIA secretory-type phospholipase A2 (sPLA2-IIA) was shown to bind to and to induce death in these flip-flopped cardiomyocytes [4, 8, 9].
sPLA2-IIA is a 14 kDa acute-phase protein that catalyses the hydrolysis of cellular phospholipids to liberate non-esterified fatty acids [10]. The concomitant formation of lysophospholipids facilitates binding of C-reactive protein (CRP) [11]. This binding of CRP then induces binding and activation of complement, resulting in further tissue damage [12]. In addition sPLA2-IIA can not only induce cell death via CRP and complement activation, but also via a direct cytotoxic effect, independent of other inflammatory mediators [8].
We hypothesized that inhibition of sPLA2-IIA by the specific inhibitor PX-18 [13] might reduce cardiomyocyte death and infarct size in vivo. We further hypothesized that inhibition of sPLA2-IIA would not impair wound healing after AMI, since sPLA2-IIA inhibition would protect the reversibly damaged cardiomyocytes, while the irreversibly damaged cardiomyocytes would still be cleared from the myocardium independent of sPLA2-IIA [8]. In this study, we therefore analyzed the effect of PX-18 on membrane flip-flop (reversibly damaged and/or apoptotic cells), both in vitro and in vivo in a rat AMI model.
Materials and methods
Rat AMI
This study was approved by the VU animal ethics and welfare committee. Female Wistar rats (Harlan Laboratories, Horst, The Netherlands, 240–280 g) were anaesthetized using 3% isoflurane (for initiation, maximal 10 min) and subcutaneous hypnorm/dormicum (fentanyl + fluanisone 0.5 ml/kg, midazolam 5 mg/kg) injection. Rats were ventilated (70 breaths/min, 10–0.5 mbar, Zoovent ventilator, The Netherlands), and heart rate was monitored using Einthoven I ECG.
A left thoracothomy was performed between the fourth and fifth rib, after which a 6.0 ethilon suture was placed around the left anterior descending coronary artery. For the ligation we used a special device that allowed us to pull the suture in one simple movement, reducing the chance of preconditioning, but also minimalizing the chance of damage to the occluded artery (since the suture can not cut into the artery). As rats used in the present study were healthy non atherosclerotic rats, no obstruction in the coronary artery was present subsequent to the removal of the ligation, facilitating successful reperfusion.
Ischemia was maintained for 40 min, followed by reperfusion. AMIrats were blindly divided into 2 groups, the treatment group (n = 17) received the sPLA2-IIA inhibitor PX-18 (kindly provided by RBA Pharma, LLC, Bethesda, Maryland, USA in a formulation by Supratek Pharma Inc, Quebec, Canada), the control group (n = 13) received vehicle (NaCl 0.9%). Treatment was given in three daily intravenous doses in the tail vein, (10 mg/kg each) starting directly after reperfusion. 28 days after AMI heart function was analyzed with 2D-echocardiography, using a 13 MHz linear-array transducer (ProSound SSD-4000 PureHD, Aloka, Tokyo, Japan), and rats were sacrificed.
Blood was obtained from rats 5 days after AMI. Also sham operated controls were included in this study (n = 4).
Histological staining
PX-18 reduces infarct size in a rat model of AMI. a Schematic overview of rat heart. Hearts were cut into five pieces. Slides were cut from the upper surface of each piece. Only the lower three slides were used for infarct area quantification, since no infarct was found in the slides cut from the area above the ligature. b Infarct size compared to the vehicle group was decreased with 73 ± 9% in rats receiving PX-18 (P < 0.05, one-sided t-test), based on PTAH staining.PTAH staining of the anterior wall of sham operated (c) and vehicle-treated (d, e) rats. Vital myocardium is stained blue, fibrosis red (see arrows). c Epicardial scar tissue and granulation tissue due to suture placement is visible in sham-operated rat heart (see arrow). d, e Infarcted myocardium (arrows) contains sites of fibrosis (*) and infiltration of inflammatory cells (#). Magnification C,D:12x, E:200x
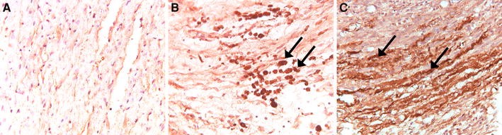
Immunohistochemical staining of sPLA2-IIA expression in the rat heart after AMI. No sPLA2-IIA expression was found on cardiomyocytes 28 days after AMI in both the vital (a) en the infarcted (b) area. sPLA2-IIA expression was found in inflammatory cells in the infarction area (b, see arrows). c As a positive control, at 5 days post AMI, sPLA2-IIA depositions were found on jeopardized cardiomyocytes in the infarction area in untreated AMI rats (arrows). Magnification a, b, c: 200×
Infarct size, total left-ventricle area and wall-thickness were quantified in the lower 3 slides (Fig. 1a) using Q-PRODIT analysis (Leica micro-systems, Cambridge, UK). Slides cut from above the ligature were not analyzed, since no infarcted tissue was found in this area of the heart. In sham operated rats, it was found that suture placement itself caused granulation tissue formation and fibrosis in the suture area of maximal 0.01% of the total left ventricle area. Therefore, in other groups rats with an infarct size <0.01%, were excluded from further analysis (in total two vehicle treated rats).
Immunohistochemistry
To analyze inflammatory cells and the putative depositions of sPLA2-IIA in the heart, we performed immunohistochemical stainings., using a rabbit-anti-human MPO antibody (1:500 dilution, DakoCytomation, Eindhoven, The Netherlands), a mouse-anti-rat-CD68 antibody (1:100 dilution, MCA341R Serotec, Kidlington, UK), a mouse-anti-rat ED2 antibody (dilution 1:200, a kind gift from Prof C.D. Dijkstra, Amsterdam, the Netherlands)[14], and a rabbit-anti-human/rat-sPLA2-IIA antibody (1:100 dilution, ab23705, ABCAM, Cambridge, UK). Antigen retrieval was performed using 0.1% pepsin for CD68 and sPLA2-IIA (in 0.02 M HCl, 30′, 37°C), or by heat activation in Citrate (pH 6) for MPO and ED2. Primary antibodies were incubated for 60 min. For secondary antibody anti-rabbit and anti-mouse EnVision-HRP (DakoCytomation) was used. Staining was visualized using EnVision-diaminobenzidine (DakoCytomation). Control sections were incubated with PBS instead of the primary antibody, and yielded no staining at all (not shown). Numbers of extravascular positive cells were quantified in the entire left ventricle of the cross sections, distinguishing between viable and infarcted areas.
Cell culture
Neonatal rat cardiomyoblasts (H9c2 cells; ATCC, Manassas, Virginia, USA) were cultured in Dulbecco’s Modified Eagles Medium (DMEM; BioWhittaker, Verviers, Belgium) containing 10% Fetal Calf Serum (BioWhittaker), 100 IU/ml penicillin, 100 μg/ml streptomycin and 2 mM l-Glutamin (all from Gibco, Paisly, England), in a humidified atmosphere of 5% CO2 at 37°C. Simvastatin (25 μM, simvastatin-lactone, a gift from Merck & Co., Inc, Rahway NJ, USA), mevalonate (250 μM, Sigma, St. Louis, MO, USA), zVAD-fmk (a pan-caspase inhibitor, 25 μM, zVAD; Alexis Biochemicals, San Diego, CA, USA) and PX-18 (0.2 mg/ml) were all added to the cultures 24 h before harvesting. Simvastatin has been shown to induce a significant amount of membrane flip-flop and apoptosis in cardiomyocytes [15]. We therefore used simvastatin to induce (reversible) plasma membrane flip-flop and apoptosis in this study. Simvastatin was activated by dilution (to 1 mM concentration) in 0.1 mol/l NaOH for 30 min prior to incubation. Simvastatin was activated using NaOH, since commercial statins are offered as a lactone form. The activation step by NaOH converts the simvastatin into the more active acid form. As a stock solution, PX-18 was dissolved in PBS containing 10 mM NaOH, pH = 7.4. The final concentration used of PX-18 (0.2 mg/ml) in vitro was comparable to the concentration in blood in vivo.
Membrane flip-flop analysis
Flip-flop in H9c2 cells was analyzed using flow cytometry. For this, cells were collected and stained with annexin V-FITC (1:40 dilution, Bender Med Systems, Vienna, Austria) for 30 min at 37°C in serum-free medium. Propidium iodide was added immediately prior to measurement (PI, 1:40 dilution, Bender Med Systems) and was used to assess membrane permeability, and thus cell death. Cells were analyzed using a FACSCalibur flow cytometer (Becton Dickinson, Franklin Lakes, NJ, USA).
Active caspase 3 concentration measurements
Caspase 3 activity in H9c2 cells was determined using a fluorimetric homogeneous caspase assay (Roche, Mannheim, Germany), according to the manufacturer’s instructions. In brief, cells were lysed and incubated with DEVD-rhodamine 110 substrate for 1 h at 37°C. Subsequently, the amount of free rhodamine was determined in a microplate fluorescence reader (TECAN spectrafluor, Hombrektikon, Switzerland).
sPLA2-IIA activity measurements
sPLA2-IIA activity was measured in the lysates and culture medium of cells subjected for 24 h to simvastatin (25 μM) and/or PX-18 (0.2 mg/ml), and in serum of rats 5 days after AMI, since theoretically then sPLA2-IIA activity is maximal, according to human data.(11) Activity was measured with or without adding of PX-18, according to manufacturer’s protocol (Cayman Chemical, Ann Arbor, MI, USA). In brief 10 μl of cell lysate or serum was added to an assay mix containing the substrate diheptanoyl phosphatidylcholine, and 5,5-dithio-bis-2-nitrobenzoic acid (DTNB). sPLA2-IIA activity was determined by measuring the release of free thiols in a microplate fluorescence reader (TECAN).
Western blot analysis
H9c2 cells were lysed in lysis-buffer containing 0.001% NP-40, 2.5 mM Tris–HCl, 150 mM NaCl, and 5 mM EDTA in water. Protein concentration was determined using the BCA protein assay kit (Pierce, Rockford, IL, USA). Then reducing sample loading buffer (0.25 M TRIS pH 6.8, sodium dodecyl sulfate (SDS), glycerol, 2-mercaptoethanol, bromophenol blue) was added and the samples were mixed and heated at 95°C for 5 min. Proteins were subjected to SDS–PAGE, and transferred to nitrocellulose membranes. Membranes were incubated with primary antibodies overnight at 4°C (mouse-anti-rat sPLA2-IIA, 1:250, 2B7/2E7, kindly provided by Dr. CG Schalkwijk, AZM Maastricht, the Netherlands, and β-actin, 1:4,000, BD Biosciences, Franklin Lakes, NJ, USA).
Next, membranes were incubated with rabbit-anti-mouse antibody horseradish peroxidase conjugated for 1 h at room temperature (DakoCytomation, 1:1,000). Blots were visualised by enhanced chemiluminescence (1:40, ECL; Amersham Bioscience AB, Buckinghamshire, UK), and quantified using a charge couple device camera (Fuji Science Imaging Systems) in combination with AIDA Image Analyzer software (Isotopenmessgeräte; Staubenhardt, Germany).
Statistical analysis
Statistical analysis was performed using GraphPad Prism 4 software. A t-test was performed for two groups and ANOVA was used for more groups, if scores were distributed normally. In case scores were not distributed normally, a Mann–Whitney test or Kruskall–Wallis test was used for analysis. A Pearson chi-square test was used for analysis of discrete values. A P-value smaller than 0.05 was considered to be statistically significant. In the text and figures values are given as mean ± standard error.
Results
PX-18 reduces infarct size and mortality in a rat model of AMI
In sham operated rats, superficial wounds showing fibrosis and granulation tissue formation were induced, but only at the epicardial site of the heart (Fig. 1c). In contrast, in rats with AMI areas of fibrosis and/or granulation tissue were found in all areas of the ventricular wall (Fig. 1d,e).
It has been described recently that PX-18 is a specific sPLA2-IIA inhibitor.[13, 16] We validated this inhibitory effect of PX-18 in vivo in the serum of rats 5 days after MI and found that PX-18 indeed significantly reduced sPLA2 activity, namely a reduction of 25% (not shown). Notably, the assay we used could only detect total sPLA2 activity, not sPLA2-IIA activity specificially.
In rats treated with PX-18 infarct size was significantly decreased over 70% when compared to vehicle treated rats, namely from 5.6 ± 2.7% to 1.5 ± 0.5% infarct area/left ventricle area (P < 0.05; Fig. 1b). Further, we did not find significant differences in wall thickness or immunohistologically in scar tissue formation (amount of fibrosis and granulation tissue) between groups receiving PX-18 or vehicle. Interestingly, all rats treated with PX-18 (n = 17) survived after AMI. In contrast, in the vehicle group 3 out of 13 rats died within 2 days after infarction (2 rats during the first day and 1 rat during the second day after AMI), thus during the acute inflammation period (P < 0.05).
Effects of PX-18 on heart function. a Relative cardiac output (CO) was increased from 85 ± 7% to 97 ± 6% of the normal value (46.3 ml/min) in rats receiving PX-18, compared to vehicle-treated rats (P = 0.27, one-sided Mann–Whitney test). b Relative stroke volume compared to vehicle-treated rats (100%) was increased with 15 ± 6% (P = 0.10, one-sided t-test) in the group receiving PX-18
Cardiac output was calculated using parasternal short axis left ventricular systolic and diastolic diameters as has been described, and compared to standard values in the literature of rats of the same weight [17]. In vehicle rats the cardiac output was reduced to 85% (39.6 ± 7 ml/min) of the normal value (46.3 ml/min), whereas in PX-18 treated animals the cardiac output was 97% (45 ± 8 ml/min) of the normal value (P = 0.27 PX-18 versus vehicle; Fig. 3a). No differences were found in cardiac output between sham operated rats and AMI rats (not shown). In addition, in PX-18 treated rats stroke volume was 15 ± 6% higher compared to vehicle treated rats (PX-18 0.11 ± 0.02 ml versus 0.13 ± 0.02 ml in vehicle treated rats; P = 0.10; Fig. 3b), however, neither of these parameters differed significantly between the groups.
PX-18 does not affect neutrophilic granulocyte infiltration at 28 days post AMI, but does increase macrophage infiltration
Effects of PX-18 on neutrophilic granulocyte and macrophage infiltration. Amount of neutrophilic granulocytes (a + b) and macrophages (c + d). a Amount of neutrophilic granulocytes in the noninfarcted areas of the left ventricle. Significantly more neutrophilic granulocytes were found in infarcted animals, compared to sham operated animals (Kruskal Wallis). b: Amount of neutrophilic granulocytes in the infarcted area of the left ventricle. No significant differences were found between PX-18 treated and untreated animals. c Amount of macrophages in the noninfarcted areas of the left ventricle. Significantly more macrophages were found in PX-18 treated animals, compared to sham operated and vehicle treated animals (Kruskal Wallis). d Amount of macrophages in the infarcted area of the left ventricle. Significantly more macrophages were found in PX-18 treated animals, compared to vehicle treated animals (unpaired t-test). * P < 0.05, ** P < 0.01. e Immunohistochemical staining for CD68, staining all types of macrophages (arrows). f Immunohistochemical staining for ED2, staining the late type of macrophages (arrows). Magnification e, f: 200×
The total amount of neutrophilic granulocytes in the non-infarcted areas of the left ventricle of AMI rats was significantly higher than in the hearts of the sham operated controls(vehicle 0.8 versus 0.1 granulocytes/mm2 in sham, P < 0.05, Fig. 4a). Although we observed a significant number of neutrophilic granulocytes in the infarct, this number of neutrophilic granulocytes at 28 days post AMI is very low when compared to the period short after AMI (unpublished results).
No differences in total neutrophilic granulocyte amount were found between the vehicle and PX-18 AMI groups (Fig. 4b), suggesting that inflammation was not delayed.
Macrophages were predominantly found in infarcted areas of the heart, with numbers being up to 60 times higher in infarcted myocardium compared to viable myocardium Furthermore, in viable myocardium macrophages were diffusely solitary present within the tissue, whereas in the infarcted myocardium the macrophages were predominantly found in large conglomerates. The amount of macrophages was significantly increased after treatment with PX-18 compared to vehicle-treated rats, in both the infarction areas (P < 0.05) as well as the viable myocardium of the left ventricle (P < 0.01, Fig. 4c,d). Thus, inhibition of sPLA2-IIA in vivo, using the specific sPLA2-IIA inhibitor PX-18, resulted in a significant reduction of sPLA2-IIA activity in rat serum, a significant reduction of infarct size, a significantly higher survival rate and a significant increase in the amount macrophages compared to vehicle treated rats.
To further investigate the type of macrophages found within the heart, we stained serial slides with a CD68 antibody, which stains all macrophages (Fig. 4e) and an ED2 antibody (Fig. 4f), which stains resident/late macrophages [14]. The majority of the macrophages in both the vehicle and the PX-18 group stained positive with this ED2 antibody, suggesting that the macrophages found were late type macrophages that promote healing (Fig. 4).
PX18 Decreases membrane flip-flop and apoptosis in rat cardiomyoblasts in vitro independent of sPLA2-IIA
Since RNA expression of sPLA2-IIA has been shown in cardiomyocytes under conditions of stress,[18, 19] we investigated the putative effect of PX-18 on rat cardiomyoblasts in vitro. Previously, we have found that ischemia resulted mainly in an increase in annexin V/PI positive H9C2 cells (late apoptotic/dead cells), whereas the induced number of single-annexin V positive cells (early apoptotic/reversibly damaged) was limited [8]. As the HMG-CoA reductase inhibitor simvastatin has been shown to induce apoptosis and membrane flip-flop in cardiomyocytes,[15] we studied the effect of PX-18 on simvastatin induced (reversible) plasma membrane flip-flop in H9c2 cells and apoptosis.
PX-18 decreases simvastatin induced membrane flip-flop and caspase-3 activity. The effect of PX-18 on simvastatin induced membrane flip-flop and apoptosis. a Percentages of single-annexin V-positive cells. Cells were subjected for 24 h to 25 μmol/l simvastatin or to simvastatin and 250 μmol/l mevalonate. b Percentages of single-annexin V-positive cells. Cells were incubated ± simvastatin (25 μM) ± PX-18 (0.2 mg/ml) for 24 h and/or ± zVAD (25 μM) for 24 h. c Concentrations of active caspase-3 when compared to control cells. Cells were incubated ± simvastatin (25 μM) ± PX-18 (0.2 mg/ml) for 24 h and/or ± zVAD (25 μM) and/or ± 250 μmol/l; mevalonate for 24 h. * P < 0.05, ** P < 0.01, *** P < 0.001. d sPLA2-IIA is not expressed in H9c2 cells.Western blot analysis of sPLA2-IIA expression in H9c2 cells. Cells were incubated ± simvastatin (25 μM) ± PX-18 (0.2 mg/ml) for 24 h. I, sPLA2-IIA expression is only detected in the positive control (serum of rat 5 days after AMI); II, Loading control β-actin is expressed in all samples; +, Positive control, rat serum 5 days after AMI; C, unstimulated H9c2 cells; S, H9c2 cells with simvastatin; P, H9c2 cells with simvastatin and PX-18
We next analyzed the effect of PX-18 hereon. We found that PX-18 did not induce an increase in single annexin V positivity of control cells (not subjected to simvastatin), and thus did not have a toxic effect on cells. We further found that PX-18 significantly reduced the percentage of simvastatin induced single-annexin V positive cells from 22 ± 8% to 6 ± 4% (control level 7 ± 5%, P < 0.001; Fig. 5b).The combination of PX-18 and zVAD did not further reduce the number of annexin V positive cells, when compared to PX-18 alone, indicating that PX-18 inhibits both apoptotic and reversibly flip-flopped cells.
The anti-apoptotic effect of PX-18 was further validated by measuring active caspase 3. Simvastatin indeed significantly increased active caspase 3 concentration with 300 ± 74% compared to control cells (P < 0.001). Again it is shown that mevalonate completely neutralized this effect of simvastatin, confirming that the effects induced by simvastatin are the result of its inhibition of HMG-CoA reductase. Caspase-3 activity induced by simvastatin was significantly reduced to 33 ± 14% nM above control level by PX-18 (P < 0.001; Fig. 5c). The PX-18 treated group did not differ significantly from the control group, nor from the positive control zVAD, indicating that PX-18 protected all apoptotic cells induced by simvastatin. To investigate whether this effect of PX-18 on simvastatin induced membrane flip-flop was sPLA2-IIA mediated, sPLA2-IIA activity was quantified in H9c2 cells and in culture medium of H9c2 cells. However, no sPLA2-IIA activity was detected in untreated H9c2 cells, cells subjected to simvastatin, cells subjected to only PX-18, in cells subjected to PX-18 and simvastatin, nor in the corresponding culture media (not shown). In line with this, sPLA2-IIA expression could not be detected in any of the samples using western blot (Fig. 5d). This therefore suggests that the PX-18 inhibitory effect on simvastatin-induced membrane flip-flop and apoptosis was independent of sPLA2-IIA activity.
Discussion
In this study, we analyzed the effect of the sPLA2-IIA inhibitor PX-18 on infarct size and heart function in a rat AMI-model, and on membrane flip-flop and apoptosis in cardiomyocytes in vitro. In vivo, treatment with PX-18 significantly reduced sPLA2-IIA activity, infarct size and mortality, without impairing wound healing. In vitro, PX-18 treatment significantly reduced membrane flip-flop, as well as apoptosis in cardiomyocytes, independent of sPLA2-IIA.
Previously we have shown that sPLA2-IIA deposits in the heart after AMI in the infarcted areas, where CRP and complement also bind [4]. In addition, sPLA2-IIA was also found to bind to reversibly damaged, flip-flopped cardiomyocytes in the borderzones of infarction, and then induced cell death [8]. This led to the hypothesis that in the heart after AMI, sPLA2-IIA inhibition would result in decreased cardiomyocyte death. We now for the first time show that a specific inhibitor of sPLA2-IIA indeed decreased myocardial infarct size in vivo.
Inhibition of this inflammatory response has been shown to impair wound healing and to induce severe consequences such as wall rupture [20, 21]. Importantly, in our study, sPLA2-IIA inhibition by PX-18 did not result in reduced ventricular wall thickness, nor in aneurysmatic infarcts, indicating that wound healing was not impaired. This is in agreement with findings that in the absence of sPLA2-IIA, CRP could still bind to necrotic cardiomyocytes, indicating that necrotic tissue can still be cleared via CRP-complement dependent interactions with phagocytic cells [2, 8].
In addition, we found that PX-18 treatment did not significantly affect the amount of neutrophilic granulocytes in the heart 28 days after MI, suggesting that neutrophilic granulocyte infiltration was also not delayed. Interestingly, the amount of macrophages in both the infarcted and non-infarcted areas of the heart were significantly increased 28 days after AMI in rats treated with PX-18 compared with vehicle treated rats. It is known that macrophages play an important role in wound healing after AMI.
Roles for macrophages in wound healing after AMI are digestion of damaged tissue, promotion of angiogenesis, production of anti-inflammatory mediators, and regulation of extracellular matrix metabolism through synthesis of matrix metalloproteinases and their inhibitors [22, 23]. However several different subtypes of macrophages exist, that may play a different role during inflammation [24]. Nahrendorf et al. [23] have described different roles for these subtype of macrophages in the early and in the late phase of infarction. They have suggested that early macrophages digest damaged tissue, while late macrophages promote healing. We therefore investigated whether the macrophages we had found in the heart were of this late cell type, by staining with an ED2 antibody [14]. Indeed we found that the majority of macrophages stained positive with this ED2 antibody in the infarcted heart 28 days after AMI, suggesting that these are the late/healing type of macrophages (Fig. 4f), indicative for another positive effect of PX-18.
In this study we also found a trend towards increased cardiac output and stroke volume in the PX-18 treated group, compared to the vehicle treated group, although this was not statistically significant. It has been shown that cardiac output is only significantly decreased in large infarcts [25]. Further, heart function parameters were shown to be most improved after treatments of relatively large infarcts [26, 27]. In our study, the infarcts were non-aneurysmatic, which could explain its small effect on heart function after AMI and in turn the small effect of PX-18 treatment on the reduced function. We, however, deliberately induced non-aneurysmatic infarcts in a reperfusion model since in patients most infarcts are non-aneurysmatic, because of widespread use of revascularization therapy. In addition we found in a pilot study that complement inhibition most profoundly reduced infarct size in moderately sized infarcts, rather than in large aneurysmatic infarcts (unpublished results).
The effects of the sPLA2-IIA inhibitor PX-18 on cardiomyocyte flip-flop and apoptosis were further investigated in vitro. Recently, we and others have shown that membrane flip-flop can be a reversible phenomenon, also in cardiomyocytes [7, 28, 29]. We now found that a significant proportion of the simvastatin induced flip-flopped cardiomyocytes were reversibly damaged cells, whereas another proportion was apoptotic and thus irreversibly damaged. PX18 did prevent apoptosis and membrane flip-flop in reversibly damaged cardiomyocytes independent of sPLA2-IIA inhibition, as no activity nor expression of sPLA2-IIA could be detected in the H9c2 cells under the investigated conditions. This is in agreement with previous studies in which mRNA expression, but no protein expression, of sPLA2-IIA was detected in cardiomyocytes [18, 19].
In vivo mechanisms of cell death during AMI and the effect of sPLA2-IIA inhibition by PX-18. Ischemia induces reversible and irreversible membrane flip-flop in cardiomyocytes. During the subsequent inflammatory reaction, sPLA2-IIA binds to flip-flopped membranes and induces cell-death. This results in necrosis of both reversibly as irreversibly damaged cardiomyocytes. PX-18 prevents cell death of reversibly flip-flopped cardiomyocytes by inhibiting flip-flop, by inhibiting direct cytotoxic effects of sPLA2-IIA, and also by inhibiting sPLA2-IIA-facilitated binding of CRP and complement. Importantly, irreversibly damaged cardiomyocytes can still be cleared due to binding of CRP independent of sPLA2-IIA. C, complement; CRP, C-reactive protein; †, cell death; ⊥, inhibition; ◯, hydrophobic phospholipids (phosphatidylcholine) that in normal cells composes most of the outer leaflet of plasma membranes; ●, anionic phospholipids phosphatidylserine (PS) and phosphatidylethanolamine (PE) that are normally kept within the inner leaflet of the plasma membrane
These results thus show that administration of PX-18 is an effective therapy in reducing post-infarct inflammatory damage to the myocardium, without impairing normal wound healing. These results also show that membrane flipflop plays a major role in infarct mediated damage of cardiomyocytes, and that therapy targeting this membrane flip-flop is promising.
Notes
Acknowledgments
This work was supported by the Institute for CardioVascular Research of the VU medical centre in Amsterdam, the Netherlands [200380].
Open Access
This article is distributed under the terms of the Creative Commons Attribution Noncommercial License which permits any noncommercial use, distribution, and reproduction in any medium, provided the original author(s) and source are credited.
References
- 1.Arumugam TV, Magnus T, Woodruff TM, Proctor LM, Shiels IA, Taylor SM (2006) Complement mediators in ischemia-reperfusion injury. Clin Chim Acta 374:33–45. doi: 10.1016/j.cca.2006.06.010 PubMedCrossRefGoogle Scholar
- 2.Krijnen PA, Meischl C, Nijmeijer R, Visser CA, Hack CE, Niessen HW (2006) Inhibition of sPLA2-IIA, C-reactive protein or complement: new therapy for patients with acute myocardial infarction? Cardiovasc Hematol Disord Drug Targets 6:113–123PubMedGoogle Scholar
- 3.Yellon DM, Hausenloy DJ (2007) Myocardial reperfusion injury. N Engl J Med 357:1121–1135. doi: 10.1056/NEJMra071667 PubMedCrossRefGoogle Scholar
- 4.Nijmeijer R, Lagrand WK, Baidoshvili A, Lubbers YT, Hermens WT, Meijer CJ, Visser CA, Hack CE, Niessen HW (2002) Secretory type II phospholipase A(2) binds to ischemic myocardium during myocardial infarction in humans. Cardiovasc Res 53:138–146. doi: 10.1016/S0008-6363(01)00480-1 PubMedCrossRefGoogle Scholar
- 5.Post JA, Verkleij AJ, Langer GA (1995) Organization and function of sarcolemmal phospholipids in control and ischemic/reperfused cardiomyocytes. J Mol Cell Cardiol 27:749–760. doi: 10.1016/0022-2828(95)90080-2 PubMedCrossRefGoogle Scholar
- 6.Daleke DL (2003) Regulation of transbilayer plasma membrane phospholipid asymmetry. J Lipid Res 44:233–242. doi: 10.1194/jlr.R200019-JLR200 PubMedCrossRefGoogle Scholar
- 7.Hammill AK, Uhr JW, Scheuermann RH (1999) Annexin V staining due to loss of membrane asymmetry can be reversible and precede commitment to apoptotic death. Exp Cell Res 251:16–21. doi: 10.1006/excr.1999.4581 PubMedCrossRefGoogle Scholar
- 8.Nijmeijer R, Willemsen M, Meijer CJ, Visser CA, Verheijen RH, Gottlieb RA, Hack CE, Niessen HW (2003) Type II secretory phospholipase A2 binds to ischemic flip-flopped cardiomyocytes and subsequently induces cell death. Am J Physiol Heart Circ Physiol 285:H2218–H2224PubMedGoogle Scholar
- 9.Frangogiannis NG, Smith CW, Entman ML (2002) The inflammatory response in myocardial infarction. Cardiovasc Res 53:31–47. doi: 10.1016/S0008-6363(01)00434-5 PubMedCrossRefGoogle Scholar
- 10.Glaser KB, Mobilio D, Chang JY, Senko N (1993) Phospholipase A2 enzymes: regulation and inhibition. Trends Pharmacol Sci 14:92–98. doi: 10.1016/0165-6147(93)90071-Q PubMedCrossRefGoogle Scholar
- 11.Volanakis JE, Narkates AJ (1981) Interaction of C-reactive protein with artificial phosphatidylcholine bilayers and complement. J Immunol 126:1820–1825PubMedGoogle Scholar
- 12.Griselli M, Herbert J, Hutchinson WL, Taylor KM, Sohail M, Krausz T, Pepys MB (1999) C-reactive protein and complement are important mediators of tissue damage in acute myocardial infarction. J Exp Med 190:1733–1740. doi: 10.1084/jem.190.12.1733 PubMedCrossRefGoogle Scholar
- 13.Ockaili RA, Salloum F, Mehta CK et al. (2007) PX-18—a novel inhibitor of type IIA secretory phospholipase A2 induces pre and post-conditioning against myocardial infarction in rabbit: role of mitochondrial KATP channels. Circulation 116:II_323Google Scholar
- 14.Dijkstra CD, Dopp EA, Joling P, Kraal G (1985) The heterogeneity of mononuclear phagocytes in lymphoid organs: distinct macrophage subpopulations in the rat recognized by monoclonal antibodies ED1, ED2 and ED3. Immunology 54:589–599PubMedGoogle Scholar
- 15.Demyanets S, Kaun C, Pfaffenberger S, Hohensinner PJ, Rega G, Pammer J, Maurer G, Huber K, Wojta J (2006) Hydroxymethylglutaryl-coenzyme A reductase inhibitors induce apoptosis in human cardiac myocytes in vitro. Biochem Pharmacol 71:1324–1330. doi: 10.1016/j.bcp.2006.01.016 PubMedCrossRefGoogle Scholar
- 16.Rastogi P, Beckett CS, McHowat J (2007) Prostaglandin production in human coronary artery endothelial cells is modulated differentially by selective phospholipase A(2) inhibitors. Prostaglandins Leukot Essent Fatty Acids 76:205–212. doi: 10.1016/j.plefa.2006.12.004 PubMedCrossRefGoogle Scholar
- 17.Watson LE, Sheth M, Denyer RF, Dostal DE (2004) Baseline echocardiographic values for adult male rats. J Am Soc Echocardiogr 17:161–167. doi: 10.1016/j.echo.2003.10.010 PubMedCrossRefGoogle Scholar
- 18.De Windt LJ, Willemsen PH, Popping S, Van der Vusse GJ, Reneman RS, Van Bilsen M (1997) Cloning and cellular distribution of a group II phospholipase A2 expressed in the heart. J Mol Cell Cardiol 29:2095–2106. doi: 10.1006/jmcc.1997.0444 PubMedCrossRefGoogle Scholar
- 19.Nyman KM, Ojala P, Laine VJ, Nevalainen TJ (2000) Distribution of group II phospholipase A2 protein and mRNA in rat tissues. J Histochem Cytochem 48:1469–1478PubMedGoogle Scholar
- 20.Mannisi JA, Weisman HF, Bush DE, Dudeck P, Healy B (1987) Steroid administration after myocardial infarction promotes early infarct expansion. A study in the rat. J Clin Invest 79:1431–1439. doi: 10.1172/JCI112971 PubMedCrossRefGoogle Scholar
- 21.Silverman HS, Pfeifer MP (1987) Relation between use of anti-inflammatory agents and left ventricular free wall rupture during acute myocardial infarction. Am J Cardiol 59:363–364. doi: 10.1016/0002-9149(87)90817-4 PubMedCrossRefGoogle Scholar
- 22.Arras M, Ito WD, Scholz D, Winkler B, Schaper J, Schaper W (1998) Monocyte activation in angiogenesis and collateral growth in the rabbit hindlimb. J Clin Invest 101:40–50. doi: 10.1172/JCI119877 PubMedCrossRefGoogle Scholar
- 23.Nahrendorf M, Swirski FK, Aikawa E, Stangenberg L, Wurdinger T, Figueiredo JL, Libby P, Weissleder R, Pittet MJ (2007) The healing myocardium sequentially mobilizes two monocyte subsets with divergent and complementary functions. J Exp Med 204:3037–3047. doi: 10.1084/jem.20070885 PubMedCrossRefGoogle Scholar
- 24.Gordon S, Taylor PR (2005) Monocyte and macrophage heterogeneity. Nat Rev Immunol 5:953–964. doi: 10.1038/nri1733 PubMedCrossRefGoogle Scholar
- 25.Pfeffer MA, Pfeffer JM, Fishbein MC, Fletcher PJ, Spadaro J, Kloner RA, Braunwald E (1979) Myocardial infarct size and ventricular function in rats. Circ Res 44:503–512PubMedGoogle Scholar
- 26.Ndrepepa G, Mehilli J, Martinoff S, Schwaiger M, Schomig A, Kastrati A (2007) Evolution of left ventricular ejection fraction and its relationship to infarct size after acute myocardial infarction. J Am Coll Cardiol 50:149–156. doi: 10.1016/j.jacc.2007.03.034 PubMedCrossRefGoogle Scholar
- 27.Schaer GL, Karas SP, Santoian EC, Gold C, Visner MS, Virmani R (1990) Reduction in reperfusion injury by blood-free reperfusion after experimental myocardial infarction. J Am Coll Cardiol 15:1385–1393PubMedCrossRefGoogle Scholar
- 28.Krijnen PA, Cillessen SA, Manoe R, Muller A, Visser CA, Meijer CJ, Musters RJ, Hack CE, Aarden LA, Niessen HW (2005) Clusterin: a protective mediator for ischemic cardiomyocytes? Am J Physiol Heart Circ Physiol 289:H2193–H2202. doi: 10.1152/ajpheart.00355.2005 PubMedCrossRefGoogle Scholar
- 29.Martin S, Pombo I, Poncet P, David B, Arock M, Blank U (2000) Immunologic stimulation of mast cells leads to the reversible exposure of phosphatidylserine in the absence of apoptosis. Int Arch Allergy Immunol 123:249–258. doi: 10.1159/000024451 PubMedCrossRefGoogle Scholar





