Association between ovarian endometriosis and malignancy in the peri-menopausal period: report of two cases and review of the literature
Abstract
The association of endometriosis and ovarian malignancy is about 1%, with a peak incidence in patients over 45 years. The best way of treating peri- and post-menopausal women with endometriosis is still a very controversial issue. We report two cases of peri-menopausal women in which endometriosis was associated to ovarian malignancy. The first case was a 49-year-old woman who underwent laparoscopic oophorectomy for an ovarian endometrioid cyst. Definitive histology showed ovarian endometrioid cyst with endometrioid and clear cell carcinoma. Subsequently, surgical restaging was performed. The other case was a 49-year-old woman who underwent hysterectomy and bilateral oophorectomy for an ovarian mass suggestive of endometriosis and uterine myomas. At frozen section examination, ovarian adenocarcinoma was found and staging procedure was performed. Definitive histology showed carcinosarcoma of the ovary with areas of endometriod adenocarcinoma. Given the non-infrequent association between ovarian endometriosis and cancer, more data are needed to decide for an aggressive or conservative approach to peri-menopausal endometriosis.
Keywords
Cystic endometriosis Ovarian cancer Carcinosarcoma Peri-menopausal periodIntroduction
Endometriosis is the presence of endometrial-like tissue outside the uterus, which induces a chronic inflammatory reaction. It is a common health problem among women with a prevalence around 6–10% in the general female population [1]; in women with pelvic pain, dyspareunia, dysmenorrhea, or subfertility, the frequency is 35–50% [2, 3].
The clinical presentation of endometriosis is variable among patients and often overlaps with other conditions such as irritable bowel syndrome and pelvic inflammatory disease. However, a consistent number of women are asymptomatic.
Transvaginal sonography (TV US) plays an important role in the detection of cystic endometriosis [4, 5, 6]. Sensitivity of TV US is about 92% and specificity is about 96% [7].
Magnetic resonance imaging (MRI) has emerged as the best imaging modality to diagnose and evaluate the extent of deep pelvic endometriosis in a specific location, such as the uterosacral ligaments, the bladder, the vagina, the rectovaginal sectum, and the rectosigmoid, and shows high accuracy in cystic endometriosis [8, 9]. Nevertheless, some authors do not recommend MRI as a first-line exam because of its limited diagnostic value compared to laparoscopy [10], and the gold standard for the diagnosis of endometriosis is still laparoscopy and histology.
We do not routinely perform pelvic MRI for ovarian endometriosis before surgery. The term peri-menopause is defined as about or around menopause and the transition from the reproductive phase to the non-reproductive state. It begins with variation in menstrual cycle length in a woman who has monotropic FSH rise and ends with the final menstrual period (not able to be recognized until after 12 months of amenorrhea). The menopausal transition usually begins in a woman’s 40s [11].
Reported data show that the association of ovarian malignancy and endometriosis is about 1% with a peak incidence in patients over 45 years [12, 13]. The mechanism through which endometriosis may be associated with ovarian cancer is unclear. One possibility is that both share similar risk factors, for instance nulliparity, late age at birth of a first child, family history of ovarian cancer, Caucasian race, early menarche, and late menopause, instead tubal ligation, hysterectomy, oral contraception, and breast feeding decrease this risk. The best way of treating peri- and post-menopausal women with endometriosis is still a very controversial issue.
From 2001 to 2007, 155 patients underwent laparoscopy for ovarian endometriosis in our Institution. Fifty-two (33.5%) of those women were 40–50 years old with a mean age of 46 years.
Minimal and mild endometriosis are excluded from this series since all our patients were treated for ovarian cyst. In the same period of time, 147 ovarian cancer cases were treated in our institution. Two cases (1.29%) in which endometriosis was associated to ovarian malignancy were identified. Both patients were in the peri-menopausal period. We report about these two cases.
Case 1
In May 2006, a 49-year-old woman presented with light pelvic pain and irregular vaginal bleeding for the last 3 months. Parity was two, the age at time of first pregnancy was 28, her breastfeeding lasted 13 months in total, menses were regular, she never had infertility, and oral contraceptives were used for 1 year. No previous ovarian cancer cases were found in her family.
In 2001, she had a laparoscopic oophorectomy on the left side because of an endometriotic cyst. At pelvic examination, a right ovarian mass was found. TV US showed normal uterus and a right ovarian cyst of hypoechoic echogenicity (9 × 6 cm). Ca 125 was negative. Endometriotic cyst was suspected according to the sonographic criteria reported in the literature [14].
Oophorectomy was performed laparoscopically. During the mobilization of the ovary, spillage of the cystic content happened. Definitive histology showed microscopic endometrioid adenocarcinoma with foci of solid and clear cell carcinoma, grade 3, within an ovarian endometrioid cyst. One month later, she underwent a laparoscopic restaging: peritoneal washing, hysterectomy, omentectomy, and random biopsies with para-aortic, infra, and sovra mesenteric and pelvic lymph nodes sampling were performed. Histology was negative in all the samples, including 15 para-aortic lymph nodes and 11 ipsilateral pelvic lymph nodes. Finale stage was pT1c because of the spillage. Even if the chemotherapeutic management of pT1c and third stage ovarian cancer is the same, we considered it important to have data about cytology in the peritoneum after spillage and about the lymph nodes. The patient received six cycles of carboplatin–Taxol combination as adjuvant chemotherapy. At 2 years follow-up, she was well with no evidence of disease.
Case 2
In June 2006, a 49-year-old woman presented with a pelvic mass. In addition, she complained of urge incontinence.
Parity was 1 (in 1984), she used oral contraceptive pill for 7 months, no sterility medications were adopted, and her family history was negative for malignancy. In 2000, she had a sonographic diagnosis of endometriosis and myomas of the uterus.
TV US showed a uterus of increased volume because of myomas. Endometrium was 7.6 mm thick. The left ovary had an hypoechoic homogeneous cyst (54 × 45 mm) suggesting endometriosis, and the right ovary had similar features measuring 102 × 100 mm. No ascites was present in the Douglas pouch. The same features were present in the previous ultrasonographic controls. RMN confirmed the same findings.
Up to September 2006, she refused the surgical procedure and eventually she underwent surgery in November 2006. At the first referral in June, pelvic examination showed a pelvic mass comparable to a 13-week pregnancy. However, at the hospital admission in November, an important increase of the mass reaching the transverse umbilical line was found. Ca 125 in serum was 549 UI/l in June and decreased to 205 UI/l in September. The woman was advised to have hysterectomy and bilateral oophorectomy via laparotomy because the abdominal-pelvic mass was fixed at bimanual examination. The diagnosis at frozen section examination of the left ovary was adenocarcinoma, thus a staging surgical procedure was performed.
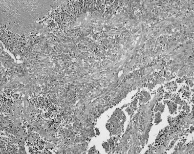
Foci of adenocarcinoma with sarcomatous component and areas of necrosis
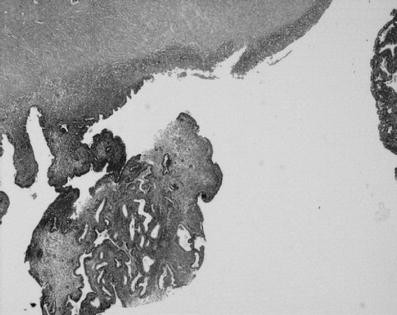
Cystic endometriosis and areas of atypical hyperplasia
Discussion
In 1925, Sampson first proposed the criteria still in use to identify malignant tumors raised from endometriosis: (1) clear evidence of endometriosis close to the tumor, (2) the cancer must arise in endometriosis and not invade it from another site, and (3) it must be possible to recognize the characteristic histological structure of endometriosis with both glands and surrounding stroma [15]. In 1953, Scott added an even stricter criterion of a histologically proven transition from benign endometriosis to cancer [16]. An association of cancer and endometriosis is evident even if no causal relationship can be proven. The frequency of malignant transformation of endometriosis is unknown, but it is estimated that 1% or less of women with endometriosis will develop endometriosis-associated neoplasms [17]. Some authors suggest that this association may be more frequent than reported [18].
Endometriosis was found to be concomitantly present to ovarian tumors in 4–29% of cases operated for malignancy [19]. Most represented histotypes are clear cell carcinoma and endometrioid adenocarcinoma (about 60–70%) [20, 21]. The clear association between endometriosis and endometrioid and/or clear cell carcinomas supports a possible casual relationship between endometriosis and ovarian cancer [19].
The combination of these two histotypes was found in our first patient. Carcinosarcoma, which we found in our second patient, is considered a rare variety. Both tumors are very aggressive histotypes. Nevertheless, it has been reported that endometriosis-associated ovarian cancer has a better prognosis than the non-associated one [19]. Despite that we cannot draw any conclusion, our patients are still well till now.
Endometriosis and ovarian cancer risk in clinical and epidemiological studies (RR, relative risk, 95% CI confidence interval; numbers in square brackets are reference citations)
Ness et al. pooled eight case–control studies to evaluate the influence of infertility on ovarian cancer: endometriosis was linked with a significantly increased risk (odd ratio 1.7, CI 1.1–2.7) [22]. Brinton et al. performed the largest cohort study investigating the risk of cancer after hospitalization for endometriosis in Sweden: a significant risk of increase for ovarian cancer was observed with a standardized incidence ratio (SIR) of 1.9 [23].
The simultaneous finding of ovarian endometriosis and cancer increases with the age of the patients [12, 13]. In a cohort study evaluating the risk of developing ovarian cancer among women with ovarian endometrioma, the excess risk for ovarian cancer increased markedly with increasing age at ovarian endometrioma diagnosis, from SIR = 3.88 in women younger than 30 years to SIR = 13.2 in those 50 years or older (P = 0.014) [24]. Moreover, recent data suggest that women with early diagnosed and long-standing endometriosis have a higher risk of developing ovarian cancer [25].
In our experience, two patients in peri-menopausal age had ovarian endometriosis associated to malignancy. The first patient was already operated for endometriosis, and even at the second surgical approach, the macroscopic impression was consistent. Only definitive histology diagnosed adenocarcinoma. In the second case, the patient had been followed up for a long time and she became symptomatic only few months before surgery. The sarcoma histotype could justify this clinical presentation.
TV US has changed the approach to diagnosis of cystic endometriosis, and most of the procedures are started laparoscopically because of the accuracy of TV US. We usually treat endometriosis by laparoscopy. Our second patient underwent laparotomy because of the great increase of the pelvic mass. Both patients had no other important risk factors for ovarian cancer.
Serum level of Ca 125 is a marker of ovarian cancer. The role of Ca 125 in endometriosis is discussed, especially in peri-menopausal patients. Actually, in case of endometriosis, the blood value of Ca 125 is expected to increase [10, 26]. In our second case, we registered a severe reduction of the level of Ca 125 (about 50% less), and this has acted as a confounding element.
Guidelines do not specify an elective treatment for peri-menopausal women affected by endometriosis of the ovary. Due to the natural involution of the endometriod disease during the postmenopausal period [3], the most frequent attitude could be a non-surgical approach. Nevertheless, in the age ranging between 45 and 55 years, the incidence of ovarian cancer is relevant (about 10–20/100,000) and despite the widely spread introduction of new antineoplastic agents, the overall 5-year survival rate remains 30% [27].
Obviously, it is mandatory to outweigh risks and benefits of removing a woman’s ovaries in the peri-menopausal stage. Hormonal replacement therapy can be a valid support when estrogen deficiency is caused by removing ovaries; indeed, each patient has to be evaluated singularly about the feasibility of HRT, but it looks safe enough [28].
Some authors support the findings that ovarian endometriosis is not an innocuous lesion even in peri-menopausal patients and suggest that complete excision of endometriosis should be attempted if fertility is not desired in these patients [21].
Other authors do not support that “prophylactic surgery” should be offered systematically in women with endometriosis, while oral contraception, a demonstrated strong protective factor of ovarian cancer, should be favored [19].
Given the non-infrequent association between ovarian endometriosis and cancer, we think the issue of an aggressive or conservative approach to peri-menopausal endometriosis should be discussed.
References
- 1.Vigano P, Parazzini F, Somigliana E et al (2004) Endometriosis: epidemiology and aetiological factors. Baillieres Best Pract Res Clin Obstet Gynaecol 18:177–200CrossRefGoogle Scholar
- 2.Giudice LC, Kao LC (2004) Endometriosis. Lancet 364:1789–1799CrossRefPubMedGoogle Scholar
- 3.Cramer DW, Missmer SA (2002) The epidemiology of endometriosis. Ann N Y Acad Sci 955:11–22CrossRefPubMedGoogle Scholar
- 4.Volpi E, De Grandis T, Zuccaro G et al (1995) Role of transvaginal sonography in the detection of endometriomata. J Clin Ultrasound 23:163–167CrossRefPubMedGoogle Scholar
- 5.Bhatt S, Kocakoc E, Dogra VS (2006) Endometriosis: sonographic spectrum. Ultrasound Q 22:273–280CrossRefPubMedGoogle Scholar
- 6.Kurjak A, Kupesic S (1995) Scoring system for prediction of ovarian endometriosis based on transvaginal color and pulsed Doppler sonography. Fertil Steril 63:1136–1137Google Scholar
- 7.Pascual MA, Tresserra F, Lopez-Marin L et al (2000) Role of color Doppler ultrasonography in the diagnosis of endometriotic cyst. J Ultrasound Med 19:695–699PubMedGoogle Scholar
- 8.Bazot M, Darai E, Hourani R (2004) Deep pelvic endometriosis: MR imaging for diagnosis and prediction of extension of disease. Radiology 232:379–89CrossRefPubMedGoogle Scholar
- 9.Bazot M, Darai E (2005) Sonography and MR imaging for the assessment of deep pelvic endometriosis. J Minim Invasive Gynecol 12:178–185CrossRefPubMedGoogle Scholar
- 10.Kennedy S, Bergqvist A, Chapron C et al (2005) ESHRE guidelines for endometriosis and treatment of endometriosis. Hum Reprod 20:2698–2704CrossRefPubMedGoogle Scholar
- 11.North American Menopause Society (2004) Treatment of menopause-associated vasomotors symptoms: position statement of The North American Menopause Society. Menopause 11(1):11–33CrossRefGoogle Scholar
- 12.Sainz de la Cuesta R, Eichorn JH et al (1996) Histologic transformation of benign endometriosis to early epithelial ovarian cancer. Gynecol Oncol 60:238–244CrossRefPubMedGoogle Scholar
- 13.De Priest PD, Banks ER, Powell DE et al (1992) Endometriod carcinoma of the ovary and endometriosis: the association in postmenopausal women. Gynecol Oncol 47:71–75CrossRefGoogle Scholar
- 14.Van Calster B, Timmerman D, Bourne T (2007) Discrimination between benign and malignant adnexal masses by specialist ultrasound examination versus serum Ca-125. J Natl Cancer Inst 99:1706–1714CrossRefPubMedGoogle Scholar
- 15.Sampson JA (1925) Endometrial carcinoma of ovary arising in endometrial tissue in that organ. Arch Surg 10:1–72Google Scholar
- 16.Scott RB (1953) Malignant changes in endometriosis. Obstet Gynecol 2:283–289PubMedGoogle Scholar
- 17.Heaps JM, Nieberg RK, Berek JS (1990) Malignant neoplasms arising in endometriosis. Obstet Gynecol 75:1023–1028PubMedGoogle Scholar
- 18.Stern RC, Dash R, Bentley RC et al (2001) Malignancy in endometriosis: frequency and comparison of ovarian and extraovarian types. Int J Gynecol Pathol 20:133–139CrossRefPubMedGoogle Scholar
- 19.Somigliana E, Viganò P, Parazzini F et al (2006) Association between endometriosis and cancer: a comprehensive review and a critical analysis of clinical and epidemiological evidence. Gynecol Oncol 101:331–341CrossRefPubMedGoogle Scholar
- 20.Steed H, Chapman W, Laframboise S (2004) Endometriosis-associated ovarian cancer: a clinicolpathologic review. J Obstet Gynaecol Can 26:709–715PubMedGoogle Scholar
- 21.Van Gorp T, Amant F, Neven P (2004) Endometriosis and the development of malignant tumor of the pelvis: a review of literature. Baillieres Best Pract Res Clin Obstet Gynaecol 18:349–371CrossRefGoogle Scholar
- 22.Ness RB, Cramer DW, Goodman MT et al (2002) Infertility, fertility drugs, and ovarian cancer: a pooled analysis of case–control studies. Am J Epidemiol 155:217–224CrossRefPubMedGoogle Scholar
- 23.Brinton LA, Gridley G, Persson I et al (1997) Cancer risk after a hospital discharge diagnosis of endometriosis. Am J Obstet Gynecol 176:572–579CrossRefPubMedGoogle Scholar
- 24.Kobayashi H, Sumomoto K, Moniwa N et al (2007) Risk of developing ovarian cancer among women with ovarian endometrioma: a cohort study in Shizuoka, Japan. Int J Gynecol Cancer 17:37–43CrossRefPubMedGoogle Scholar
- 25.Melin A, Sparén P, Persson I et al (2006) Endometriosis and the risk of cancer with special emphasis on ovarian cancer. Hum Reprod 21:1237–1242CrossRefPubMedGoogle Scholar
- 26.Royal College of Obstetricians and Gynaecologists (2004) RCOG guidelines no. 24, October 2006Google Scholar
- 27.Jemal A, Murray T, Samuels A et al (2003) Cancer statistics 2003. CA Cancer J Clin 53:5–26CrossRefPubMedGoogle Scholar
- 28.Matorras R, Elorriaga MA, Pijoan JI (2002) Recurrence of endometriosis in women with bilateral adnexectomy (with or without total hysterectomy) who received hormone replacement therapy. Fertil Steril 77(2):303–308CrossRefPubMedGoogle Scholar

