Gastric carcinoma: stage migration by immunohistochemically detected lymph node micrometastases
- 953 Downloads
- 7 Citations
Abstract
Background
Immunohistochemically detected micrometastases of the regional lymph nodes in previously pN0-classified gastric cancer have been incorporated in the TNM staging system. This study aims to determine the incidence of such micrometastases in gastric carcinoma and to investigate their impact on stage grouping and prognosis.
Methods
Ninety-five patients with gastric carcinoma classified as pN0 by conventional histological examination were enrolled. All patients underwent gastric resection with regional lymphadenectomy between 2006 and 2010. A total of 2018 lymph nodes was obtained (median, 20 Lymph nodes) and immunohistostained with anti-pan cytokeratin antibody (KL1).
Results
Micrometastases were detected in regional lymph nodes by immunohistostaining in 16 out of all 95 patients. Fourteen patients were upstaged by micrometastasis-positive regional lymph nodes. Three patients demonstrated lymph nodes with isolated tumor cells alone. A significantly higher incidence of micrometastases was observed in patients with diffuse histologic type (p = 0.007) and total gastrectomy (p = 0.007). When isolated tumor cells were also regarded as lymph node involvement, the recurrence rate was significantly higher for node-positive than for node-negative patients and for those younger than 70 years (33.3 and 6.7 %, respectively; p = 0.026; n = 39). Overall survival analysis revealed no significant difference between micrometastasis-positive and micrometastasis-negative patients.
Conclusion
Immunohistostaining of regional lymph nodes in node-negative gastric carcinoma patients leads to an increased detection of micrometastases with significant implications for the staging system. Although no impact on survival time was shown, the higher recurrence rate for node-positive patients younger than 70 years indicates a prognostic value of immunohistochemically detectable micrometastases.
Keywords
Micrometastasis Lymph nodes Gastric cancer Immunohistochemistry PrognosisIntroduction
In gastric carcinoma metastasis of the regional lymph nodes (LN) is considered to be the strongest prognostic indicator [1]. Improved diagnostic techniques have resulted in earlier detection of gastric carcinoma in Japan and many European centers [2, 3]. Consequently, the proportion of node-negative cases has accordingly increased. Despite curative R0 resection and histologically diagnosed tumor free LN (pN0) recurrence has been observed in gastric cancer patients on a regular basis [4, 5]. A possible explanation might be the existence of undetected micrometastatic foci in the regional LN representing an early stage of metastatic spread [6]. Recently, these tumor cells have been designated as micrometastasis (mi) and isolated tumor cells (ITC) according to the extent of metastasis [7]. If such micrometastatic lesions had proliferative activity, cancer relapse could originate from them [8].
Immunohistochemistry is a frequently described method to detect ITC and mi not visible in routinely performed haematoxylin and eosin (HE) stain [6, 8, 9, 10, 11, 12, 13, 14, 15, 16, 17, 18, 19, 20, 21, 22, 23]. Besides immunohistostaining serial sectioning and molecular methods are options to improve the accuracy of pathologic examination. Serial sectioning of regional LN combined with HE staining leads to an increased detection of mi [24]. However, it is costly in terms of labor and might still miss mi and ITC only identifiable by immunohistostain. With the employment of reverse transcriptase-polymerase chain reaction, detection rates of LN involvement even higher than the ones in immunohistochemistry have been reported [25]. Yet, this new approach to LN evaluation has been limited by the detection of false-positive results as the presence of DNA of non viable tumor cells had also been noted as LN involvement [26, 27]. Hence, immunohistochemistry was applied in this trial as it remains to be the most precise and implementable method.
This study has been designed to further clarify the prognostic significance of immunohistochemically detectable regional LN mi in gastric carcinoma patients, who have previously been classified as pN0 by conventional HE stain. In the current staging system mi have the same value as macrometastases, while ITC are not taken into account. With the aim to examine the importance of the extent of nodal metastases, the incidence of mi and ITC, the correlation between mi and other clinicopathologic parameters, and their influence on staging and survival have been evaluated.
Materials and methods
Patients
Ninety-five patients with primary gastric carcinoma, who had received gastric resection with regional LN dissection between 2006 and 2010, were enrolled. The LN of all patients were classified as pN0 by routine histopathologic examination. No patient had distant metastasis. Patients received surgery with curative R0 resection defined as no local residual tumor (61 total gastrectomy and 34 distal gastrectomy). D1 or D2 lymphadenectomy was performed, and in 77 cases the claimed number of 16 regional LN was obtained. Patients with less than 16 LN dissected (n = 18) were mainly those who had developed gastric stump carcinoma after prior gastric surgery (n = 8) or had received only partial gastric resection. Multiple attempts to find at least 16 LN were made by repeated examination of perigastric soft tissue. A total of 2018 LN was obtained (median 20 LN per person; range 1–50). No patient received postoperative chemotherapy, while preoperative chemotherapy was applied in eight cases. Tumors were classified according to the histological classification of the WHO and Lauren’s criteria [28, 29]. Further clinicopathological details of patients are given in Table 2. Patients with carcinoma of the oesophagogastric junction were excluded from the study. Surgery was performed in different hospitals, while the gastric specimens and the LN of all patients were histopathologically examined at the Institute of Pathology at University Hospital Leipzig. Follow-up information was drawn from the data bases of the regional cancer centers (“Tumorzentrum Leipzig” and “Südwestsächsisches Tumorzentrum Zwickau e.V.”). In cases of insufficient data, the treating doctor was contacted to complete information on disease recurrence and survival time. The median time of follow-up was 33 months (range 0–77 months).
Histopathology and Immunohistochemistry
Primary tumors and LN were fixed in formalin and embedded in paraffin for conventional histopathologic examination by the time of surgery. All LN were routinely stained with HE and classified as pN0. For the present study LN were re-evaluated by immunohistochemistry using the monoclonal anti-pan cytokeratin antibody KL1 (Clone KL1, Beckmann and Coulter Company, Marseille, France). One representative slice of 3 μm thickness was taken, then LN sections were deparaffinized in xylene and rehydrated in decreasing concentrations of alcohol. For antigen retrieval LN sections were pressure cooked in citrate buffer pH 6. LN sections were incubated with primary antibody KL1 at room temperature for 1 h (dilution 1:80). Subsequently, HRP-Polymer Kit was used (Zytomed Systems, Berlin, Germany), and AEC was then applied as chromogen substrate (DCS Innovative Diagnostik-Systeme, Hamburg, Germany). A section of ileum mucosa was utilized as positive control.
Pathological classification of node-positive findings
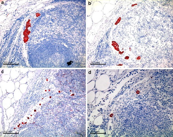
Sections of regional lymph nodes presenting metastasis by immunohistochemical staining with anti-pan cytokeratin antibody KL1. a, b Micrometastasis (0.2–2 mm, original magnification ×200), c micrometastasis with scattered single tumor cells (original magnification ×200), d two isolated tumor cells (≤0.2 mm, original magnification ×400)
Statistical analyses
The Chi square test and Fisher’s exact test were adopted for correlation analysis between immunohistochemically detected mi and clinicopathologic parameters. The relation between mi and age was tested by the Mann–Whitney U test. Survival curves were estimated by Kaplan–Meier methods, and the differences between subgroups were analyzed using the log-rank test. The Cox proportional hazards model was used to test the independent effects of potentially important factors obtained by univariate analysis (p < 0.05) on survival time. All p values <0.05 were considered statistically significant. IBM SPSS Statistics 20.0 was used for all analyses [31].
Results
mi and ITC
Frequency of node-positive findings and micrometastasis
| Variable | Node-positivea | mib | Total no. | ||
|---|---|---|---|---|---|
| Absolute | % | Absolute | % | ||
| Patients | 19 | 20.0 | 16 | 16.8 | 95 |
| No. of LNc | 47 | 2.3 | 34 | 1.7 | 2018 |
Stage migration after immunohistochemical lymph node examination (IHC) according to the International Union against Cancer (UICC) staging system (n = 14)
Correlation of mi and clinicopathologic features
Correlation between the type of lymph node involvement and clinicopathologic features
| Characteristics | No. of patients | ||||
|---|---|---|---|---|---|
| Node-positivea (%) | p | mib (%) | p | Total | |
| Age in yearsc | 66.0 (±10.0) | 66.3 (±9.0) | 69.9 (±9.8) | ||
| Sex | |||||
| Male | 15 (23.4) | 0.229 | 13 (20.3) | 0.194 | 64 |
| Female | 4 (12.9) | 3 (9.7) | 31 | ||
| Preoperative chemotherapy | |||||
| Negative | 16 (18.4) | 0.196 | 13 (14.9) | 0.129 | 87 |
| Positive | 3 (37.5) | 3 (37.5) | 8 | ||
| Operative procedure | |||||
| Total gastrectomy | 17 (27.9) | 0.010* | 15 (24.6) | 0.007* | 61 |
| Distal gastrectomy | 2 (5.9) | 1 (2.9) | 34 | ||
| Tumor localization | |||||
| Proximal | 0 (0.0) | 1.000 | 0 (0.0) | 0.857 | 3 |
| Middle | 5 (20.0) | 5 (20.0) | 25 | ||
| Distal | 11 (21.2) | 8 (15.4) | 52 | ||
| Multiple | 2 (28.6) | 2 (28.6) | 7 | ||
| Anastomosis | 1 (12.5) | 1 (12.5) | 8 | ||
| Greatest tumor dimension in mm | |||||
| ≤30 | 9 (17.3) | 0.471 | 8 (15.4) | 0.676 | 52 |
| >30 | 10 (23.3) | 8 (18.6) | 43 | ||
| Median | 35 | 30 | 30 | ||
| Tumor invasion depth | |||||
| No evidence of tumor | 1 (50.0) | 0.014* | 1 (50.0) | 0.056 | 2 |
| Mucosa ± submucosa | 4 (10.3) | 4 (10.3) | 39 | ||
| Muscularis propria | 1 (5.9) | 1 (5.9) | 17 | ||
| Subserosa | 10 (33.3) | 7 (23.3) | 30 | ||
| Serosa ± adjacent structures | 3 (42.9) | 3 (42.9) | 7 | ||
| No. of LN evaluated | |||||
| <16 | 1 (5.6) | 0.048* | 1 (5.6) | 0.080 | 18 |
| 16–25 | 10 (18.2) | 8 (14.5) | 55 | ||
| >25 | 8 (36.4) | 7 (31.8) | 22 | ||
| Median | 25 | 25 | 20 | ||
| Lymphatic vessel invasion | |||||
| Negative | 6 (14.0) | 0.180 | 5 (11.6) | 0.217 | 43 |
| Positive | 13 (25.0) | 11 (21.2) | 52 | ||
| Venous invasion | |||||
| Negative | 18 (21.4) | 0.454 | 15 (17.9) | 0.684 | 84 |
| Positive | 1 (9.1) | 1 (9.1) | 11 | ||
| Perineural invasion | |||||
| Negative | 10 (15.2) | 0.075 | 9 (13.6) | 0.240 | 66 |
| Positive | 9 (31.0) | 7 (24.1) | 29 | ||
| Laurén classification | |||||
| Intestinal | 5 (9.4) | 0.004* | 4 (7.5) | 0.007* | 53 |
| Diffuse | 14 (33.3) | 12 (28.6) | 42 | ||
Survival analysis
Kaplan–Meier overall survival curves for all 95 patients with histologically pN0 gastric cancer. There was no significant difference in survival time: a neither between patients with immunohistochemically classified mi-positive and mi-negative LN (log-rank test, p = 0.511), b nor between the groups with node-positive and node-negative findings (log-rank test, p = 0.386)
Kaplan–Meier time to recurrence curves for patients younger than 70 years (n = 39) classified as node-positive or node-negative by immunohistochemistry. Node-positive patients showed a significantly higher recurrence rate within this subgroup (log-rank, p = 0.026)
Discussion
LN metastasis is recognized as one of the strongest independent prognostic factors in gastric carcinoma. Together with depth of tumor invasion, a positive metastatic status of regional LN significantly worsens prognosis and reduces time to recurrence [1, 32, 33, 34, 35]. Histopathological LN examination in gastric cancer patients is routinely performed by HE staining method. Beyond that, immunohistochemistry with anti-cytokeratin antibodies is a widely accepted method to detect tumor cells in lymphatic tissue not visible in conventional HE staining [6, 8, 9, 10, 11, 12, 13, 14, 15, 16, 17, 18, 19, 20, 21, 22, 23]. Anti-pan cytokeratin antibody (KL1), known to react with a broad spectrum of human cytokeratins that are expressed by regular as well as by neoplastic epithelial cells, was employed in this study [36]. The 7th TNM classification states that LN mi detected by morphological techniques such as HE staining or immunohistochemistry should be included in the staging of disease [7]. It defines mi as metastatic lesions between 0.2 and 2 mm and clearly distinguishes them from ITC, which do not influence the UICC stage. Many previous studies regarding the prognostic influence of immunohistochemically detected mi lack a consistent definition of the term mi. Frequently, all tumor cells detected by immunohistochemistry were defined as mi [6, 9, 10, 12, 14, 16, 21, 23]. In contrast, this study discriminates between mi and ITC based on the size of metastasis as recommended by the UICC.
Although immunohistochemically detected mi have been incorporated in the staging system, their clinical implications for gastric carcinoma patients remain controversial. It was the aim of this trial to investigate the prognostic significance of regional LN mi in gastric carcinoma and to examine whether other clinicopathologic parameters might be associated with their occurrence. All patients enrolled were initially classified as node-negative (pN0) by conventional histopathologic examination. The use of immunohistochemistry revealed that LN involvement was not detected in 19 of all 95 cases, 16 of which had mi. This relatively low detection rate of previously undetected tumor cells might be explained by the restriction to node-negative patients and corresponds well with results of other studies that have reported rates between 10.0 and 49.0 % for pN0 patients [6, 10, 12, 13, 14, 15, 21, 22, 23]. The study could not show a significant decline in overall survival for mi-positive patients although patients with micrometastatic nodal involvement had a slightly higher mortality rate (37.5 vs. 26.6 % for mi-negative patients). When mi and ITC were equally regarded as LN involvement and patients younger than 70 years were analyzed separately, a higher rate of cancer relapse was observed for node-positive patients. This finding indicates a prognostic value of tumor cells discovered by immunohistostaining. The effect was significant in the under 70 years group, while time to recurrence curves for node-positive and node-negative patients over 70 years did not differ significantly. In literature, controversy remains about the influence of chronologic age on the nodal status in gastric carcinoma. Most previous reports have negated a significant difference in the rates of LN metastasis between younger and elderly patients [37, 38, 39, 40], whereas in cases of early gastric cancer several authors have reported a higher prevalence of LN involvement for elderly patients [41, 42].
Earlier studies have shown conflicting results in the debate about the prognostic value of immunohistochemically detected LN mi in gastric carcinoma: some supporting their clinical impact [6, 8, 10, 11, 12, 14, 15, 16, 17, 18, 19, 21], and some refuting it [9, 22, 23]. Lee et al. [16] reported a significant decrease in the 5-year survival rate for node-positive (49 %) compared to node-negative patients (76 %) for both early and advanced gastric carcinoma. His results were supported by Cai et al. [14], who investigated the survival of patients with submucosal gastric cancer, and found a significant difference in the 5-year survival rates between patients with nodal involvement and patients with a node-negative status (82 and 100 %, respectively). Contrary to that, Fukagawa et al. [22, 43] detected no influence on survival in two different studies, neither for mi-positive nor for ITC-positive patients with pT2N0M0 gastric carcinoma and D2 dissection. Another approach to LN evaluation was made by Nakamura et al. [44] who classified metastatic LN into a massive type with tumor occupation of the entire LN and a non-massive type with only partial LN infiltration; the 10-year-survival was significantly poorer in the massive type group. In the present study LN mi, which would clearly be regarded as the non-massive type, showed an association with other histopathologic risk factors and an affection of the recurrence rate for patients younger than 70 years but no direct impact on survival.
The present investigations showed that LN mi detected by immunohistostaining were significantly more frequent in Lauren’s diffuse histologic type. The loss of E-cadherin expression in the primary tumor, especially occurring in diffuse type gastric carcinoma [45], might be a possible explanation for this finding as it leads to decreased intercellular adhesion and correlates with tumor cell dissociation [46]. A higher probability for mi and ITC in diffuse histologic type was also reported by other authors [6, 10, 11, 17, 45] leading to the conclusion that LN immunohistostaining is of special importance for this cancer entity. Furthermore, positive correlation between LN mi and total gastrectomy was observed in this study, possibly because total gastrectomy led to a significantly higher number of dissected LN in comparison to patients, who received only partial gastric resection (88.5 % of patients with total gastrectomy had more than 15 LN removed versus 67.6 % of patients with distal gastric resection). It was found that higher numbers of evaluated LN led to an increased detection of LN involvement. Once more, this stresses the importance of systemic lymphadenectomy as it is a precondition for adequate histopathologic examination and offers protection from disease recurrence even in node-negative gastric carcinoma [47]. Another result of the present study was the significantly higher frequency of LN involvement in patients with advancing pT category. The association between LN involvement and the presence of perineural invasion was of borderline significance. Both depth of tumor invasion [1, 33, 48], and perineural invasion [48, 49] have been reported to be risk factors for LN metastases and a worse prognosis in gastric carcinoma. Recently there has been debate whether preoperative chemotherapy in gastric cancer has an influence on LN yield [50, 51] and nodal status [52]. There have been reports about patients with a complete regression of the primary tumor, who still presented with lymph nodes metastases [51]. Even after preoperative chemotherapy LN positivity has been associated with a poorer prognosis in gastric cancer, suggesting that these tumor cells still have proliferative activity [53]. In this context, it is noteworthy that in the present study three of the eight patients who had received preoperative chemotherapy still featured LN mi. One of these patients showed complete response of the primary tumor and yet mi was found in one of his LN. Even though this sample of patients is too small for a statistically significant conclusion, it adumbrates that preoperative chemotherapy does not reduce the need for LN dissection.
In conclusion, immunohistochemistry improves the accurate detection of LN involvement in gastric carcinoma and can be recommended in addition to conventional HE staining, especially in diffuse type carcinoma. Compared to mi-positive patients, no survival benefit could be shown for mi-negative patients, yet the higher rate of cancer relapse for patients with nodal involvement and younger than 70 years indicates a prognostic significance of immunohistochemically detected tumor cells.
Notes
Acknowledgments
The authors thank Sabine Taubenheim (Tumorzentrum Leipzig) and Volkhard Wulff (Südwestsächsisches Tumorzentrum Zwickau e.V.) for providing information on patients’ follow-up, and Martina Fügenschuh for providing technical assistance.
References
- 1.Siewert JR, Böttcher K, Stein HJ, Roder JD. Relevant prognostic factors in gastric cancer: ten-year results of the German gastric cancer study. Ann Surg. 1998;228:449–61.PubMedCentralPubMedCrossRefGoogle Scholar
- 2.Everett SM, Axon AT. Early gastric cancer in Europe. Gut. 1997;41:142–50.PubMedCentralPubMedCrossRefGoogle Scholar
- 3.Shimizu S, Tada M, Kawai K. Early gastric cancer: its surveillance and natural course. Endoscopy. 1995;27:27–31.PubMedCrossRefGoogle Scholar
- 4.Deng J, Liang H, Sun D, Zhang R, Zhan H, Wang X. Prognosis of gastric cancer patients with node-negative metastasis following curative resection: outcomes of survival and recurrence. Can J Gastroenterol. 2008;22:835–9.PubMedCentralPubMedGoogle Scholar
- 5.Saito H, Kuroda H, Matsunaga T, Fukuda K, Tatebe S, Tsujitani S, et al. Prognostic indicators in node-negative advanced gastric cancer patients. J Surg Oncol. 2010;101:622–5.PubMedCrossRefGoogle Scholar
- 6.Ru Y, Zhang L, Chen Q, Gao SG, Wang GP, Qu ZF, et al. Detection and clinical significance of lymph node micrometastasis in gastric cardia adenocarcinoma. J Int Med Res. 2012;40:293–9.PubMedCrossRefGoogle Scholar
- 7.Sobin LH, Gospodarowicz MK, Wittekind C. TNM classification of malignant tumours. 7th ed. New York: Wiley; 2009.Google Scholar
- 8.Yonemura Y, Endo Y, Hayashi I, Kawamura T, Yun HY, Bandou E. Proliferative activity of micrometastases in the lymph nodes of patients with gastric cancer. Br J Surg. 2007;94:731–6.PubMedCrossRefGoogle Scholar
- 9.Choi HJ, Kim YK, Kim YH, Kim SS, Hong SH. Occurrence and prognostic implications of micrometastases in lymph nodes from patients with submucosal gastric carcinoma. Ann Surg Oncol. 2002;9:13–9.PubMedCrossRefGoogle Scholar
- 10.Harrison LE, Choe JK, Goldstein M, Meridian A, Kim SH, Clarke K. Prognostic significance of immunohistochemical micrometastases in node negative gastric cancer patients. J Surg Oncol. 2000;73:153–7.PubMedCrossRefGoogle Scholar
- 11.Ishida K, Katsuyama T, Sugiyama A, Kawasaki S. Immunohistochemical evaluation of lymph node micrometastases from gastric carcinomas. Cancer. 1997;79:1069–76.PubMedCrossRefGoogle Scholar
- 12.Maehara Y, Oshiro T, Endo K, Baba H, Oda S, Ichiyoshi Y, et al. Clinical significance of occult micrometastasis in lymph nodes from patients with early gastric cancer who died of recurrence. Surgery. 1996;119:397–402.PubMedCrossRefGoogle Scholar
- 13.Doekhie FS, Mesker WE, van Krieken JH, Kok NF, Hartgrink HH, Kranenbarg EK, et al. Clinical relevance of occult tumor cells in lymph nodes from gastric cancer patients. Am J Surg Pathol. 2005;29:1135–44.PubMedCrossRefGoogle Scholar
- 14.Cai J, Ikeguchi M, Maeta M, Kaibara N. Micrometastasis in lymph nodes and microinvasion of the muscularis propria in primary lesions of submucosal gastric cancer. Surgery. 2000;127:32–9.PubMedCrossRefGoogle Scholar
- 15.Lee HS, Kim MA, Yang HK, Lee BL, Kim WH. Prognostic implication of isolated tumor cells and micrometastases in regional lymph nodes of gastric cancer. World J Gastroenterol. 2005;11:5920–5.PubMedGoogle Scholar
- 16.Lee E, Chae Y, Kim I, Choi J, Yeom B, Leong AS. Prognostic relevance of immunohistochemically detected lymph node micrometastasis in patients with gastric carcinoma. Cancer. 2002;94:2867–73.PubMedCrossRefGoogle Scholar
- 17.Kim JH, Park JM, Jung CW, Park SS, Kim SJ, Mok YJ, et al. The significances of lymph node micrometastasis and its correlation with E-cadherin expression in pT1-T3N0 gastric adenocarcinoma. J Surg Oncol. 2008;97:125–30.PubMedCrossRefGoogle Scholar
- 18.Cai J, Ikeguchi M, Maeta M, Kaibara N, Sakatani T. Clinicopathological value of immunohistochemical detection of occult involvement in pT3N0 gastric cancer. Gastric Cancer. 1999;2:95–100.PubMedCrossRefGoogle Scholar
- 19.Cai J, Ikeguchi M, Tsujitani S, Maeta M, Liu J, Kaibara N. Significant correlation between micrometastasis in the lymph nodes and reduced expression of E-cadherin in early gastric cancer. Gastric Cancer. 2001;4:66–74.PubMedCrossRefGoogle Scholar
- 20.Kim JJ, Song KY, Hur H, Hur JI, Park SM, Park CH. Lymph node micrometastasis in node negative early gastric cancer. Eur J Surg Oncol. 2009;35:409–14.PubMedCrossRefGoogle Scholar
- 21.Yasuda K, Adachi Y, Shiraishi N, Inomata M, Takeuchi H, Kitano S. Prognostic effect of lymph node micrometastasis in patients with histologically node-negative gastric cancer. Ann Surg Oncol. 2002;9:771–4.PubMedCrossRefGoogle Scholar
- 22.Fukagawa T, Sasako M, Mann GB, Sano T, Katai H, Maruyama K, et al. Immunohistochemically detected micrometastases of the lymph nodes in patients with gastric carcinoma. Cancer. 2001;92:753–60.PubMedCrossRefGoogle Scholar
- 23.Morgagni P, Saragoni L, Scarpi E, Zattini PS, Zaccaroni A, Morgagni D, et al. Lymph node micrometastases in early gastric cancer and their impact on prognosis. World J Surg. 2003;27:558–61.PubMedCrossRefGoogle Scholar
- 24.Hata M, Machi J, Mamou J, Yanagihara ET, Saegusa-Beecroft E, Kobayashi GK, et al. Entire-volume serial histological examination for detection of micrometastasis in lymph nodes of colorectal cancers. Pathol Oncol Res. 2011;17:835–41.PubMedCentralPubMedCrossRefGoogle Scholar
- 25.Matsumoto M, Natsugoe S, Ishigami S, Nakashima S, Nakajo A, Miyazono F, et al. Lymph node micrometastasis and lymphatic mapping determined by reverse transcriptase-polymerase chain reaction in pN0 gastric carcinoma. Surgery. 2002;131:630–5.PubMedCrossRefGoogle Scholar
- 26.Davids V, Kidson SH, Hanekom GS. Melanoma patient staging: histopathological versus molecular evaluation of the sentinel node. Melanoma Res. 2003;13:313–24.PubMedCrossRefGoogle Scholar
- 27.Yamamoto N, Kato Y, Yanagisawa A, Ohta H, Takahashi T, Kitagawa T. Predictive value of genetic diagnosis for cancer micrometastasis: histologic and experimental appraisal. Cancer. 1997;80:1393–8.PubMedCrossRefGoogle Scholar
- 28.Bosman FT, Carneiro F, Hruban RH, Theise ND. WHO classification of tumours of the digestive system. 4th ed. Lyon: WHO Press; 2010.Google Scholar
- 29.Lauren P. The two histological main types of gastric carcinoma: diffuse and so-called intestinal-type carcinoma. An attempt at a histo-clinical classification. Acta Pathol Microbiol Scand. 1965;64:31–49.PubMedGoogle Scholar
- 30.Sobin LH, Wittekind C. TNM classification of malignant tumours. 6th ed. New York: Wiley; 2002.Google Scholar
- 31.IBM Corp. IBM SPSS statistics for Windows. VERSION 20.0. Armonk: IBM Corp; 2011.Google Scholar
- 32.Shiraishi N, Sato K, Yasuda K, Inomata M, Kitano S. Multivariate prognostic study on large gastric cancer. J Surg Oncol. 2007;96:14–8.PubMedCrossRefGoogle Scholar
- 33.Folli S, Morgagni P, Roviello F, De Manzoni G, Marrelli D, Saragoni L, et al. Risk factors for lymph node metastases and their prognostic significance in early gastric cancer (EGC) for the Italian research group for gastric cancer (IRGGC). Jpn J Clin Oncol. 2001;31:495–9.PubMedCrossRefGoogle Scholar
- 34.Al-Moundhri MS, Al-Bahrani B, Burney IA, Nirmala V, Al-Madhani A, Al-Mawaly K, et al. The prognostic determinants of gastric cancer treatment outcome in Omani Arab patients. Oncology. 2006;70:90–6.PubMedCrossRefGoogle Scholar
- 35.Dicken BJ, Saunders LD, Jhangri GS, de Gara C, Cass C, Andrews S, et al. Gastric cancer: establishing predictors of biologic behavior with use of population-based data. Ann Surg Oncol. 2004;11:629–35.PubMedCrossRefGoogle Scholar
- 36.Moll R, Franke WW, Schiller DL, Geiger B, Krepler R. The catalog of human cytokeratins: patterns of expression on normal epithelia, tumors and cultured cells. Cell. 1982;31:11–24.PubMedCrossRefGoogle Scholar
- 37.Kitamura K, Yamaguchi T, Taniguchi H, Hagiwara A, Yamane T, Sawai K, et al. Clinicopathological characteristics of gastric cancer in the elderly. Br J Cancer. 1996;73:798–802.PubMedCentralPubMedCrossRefGoogle Scholar
- 38.Kim DY, Joo JK, Ryu SY, Park YK, Kim YJ, Kim SK. Clinicopathologic characteristics of gastric carcinoma in elderly patients: a comparison with young patients. World J Gastroenterol. 2005;11:22–6.PubMedCentralPubMedCrossRefGoogle Scholar
- 39.Wu CW, Lo SS, Shen KH, Hsieh MC, Lui WY, P′eng FK. Surgical mortality, survival and quality of life after resection for gastric cancer in the elderly. World J Surg. 2000;24:465–72.PubMedCrossRefGoogle Scholar
- 40.Saif MW, Makrilia N, Zalonis A, Merikas M, Syrigos K. Gastric cancer in the elderly: an overview. Eur J Surg Oncol. 2010;36:709–17.PubMedCrossRefGoogle Scholar
- 41.Arai T, Esaki Y, Inoshita N, Sawabe M, Kasahara I, Kuroiwa K, et al. Pathologic characteristics in gastric cancer in the elderly: a retrospective study of 994 surgical patients. Gastric Cancer. 2004;7:154–9.PubMedCrossRefGoogle Scholar
- 42.Fujimoto S, Takahashi M, Ohkubo H, Mutou T, Kure M, Masaoka H, et al. Comparative clinicopathologic features of early gastric cancer in young and older patients. Surgery. 1994;115:516–20.PubMedGoogle Scholar
- 43.Fukagawa T, Sasako M, Shimoda T, Sano T, Katai H, Saka M, et al. The prognostic impact of isolated tumor cells in lymph nodes of T2N0 gastric cancer: comparison of American and Japanese gastric cancer patients. Ann Surg Oncol. 2009;16:609–13.PubMedCrossRefGoogle Scholar
- 44.Nakamura K, Nabeshima K, Makuuchi H, Ogoshi K. Prognostic significance of morphological distribution of metastatic foci in lymph nodes with gastric cancer. Dig Surg. 2011;28:309–14.PubMedCrossRefGoogle Scholar
- 45.Wu ZY, Zhan WH, Li JH, He YL, Wang JP, Lan P, et al. Expression of E-cadherin in gastric carcinoma and its correlation with lymph node micrometastasis. World J Gastroenterol. 2005;11:3139–43.PubMedGoogle Scholar
- 46.Takeichi M. Cadherins in cancer: implications for invasion and metastasis. Curr Opin Cell Biol. 1993;5:806–11.PubMedCrossRefGoogle Scholar
- 47.Biffi R, Botteri E, Cenciarelli S, Luca F, Pozzi S, Valvo M, et al. Impact on survival of the number of lymph nodes removed in patients with node-negative gastric cancer submitted to extended lymph node dissection. Eur J Surg Oncol. 2011;37:305–11.PubMedCrossRefGoogle Scholar
- 48.Chou HH, Kuo CJ, Hsu JT, Chen TH, Lin CJ, Tseng JH, et al. Clinicopathologic study of node-negative advanced gastric cancer and analysis of factors predicting its recurrence and prognosis. Am J Surg. 2012. doi: 10.1016/j.amjsurg.2012.04.014.PubMedCentralGoogle Scholar
- 49.Selçukbiricik F, Tural D, Büyükünal E, Serdengeçti S. Perineural invasion independent prognostic factors in patients with gastric cancer undergoing curative resection. Asian Pac J Cancer Prev. 2012;13:3149–52.PubMedCrossRefGoogle Scholar
- 50.Dikken JL, van Grieken NC, Krijnen P, Gönen M, Tang LH, Cats A, et al. Preoperative chemotherapy does not influence the number of evaluable lymph nodes in resected gastric cancer. Eur J Surg Oncol. 2012. doi: 10.1016/j.ejso.2011.12.016.PubMedGoogle Scholar
- 51.Shrikhande SV, Barreto SG, Talole SD, Vinchurkar K, Annaiah S, Suradkar K, et al. D2 lymphadenectomy is not only safe but necessary in the era of neoadjuvant chemotherapy. World J Surg Oncol. 2013. doi: 10.1186/1477-7819-11-31.PubMedCentralPubMedGoogle Scholar
- 52.Cunningham D, Allum WH, Stenning SP, Thompson JN, Van de Velde CJ, Nicolson M, et al. Perioperative chemotherapy versus surgery alone for resectable gastroesophageal cancer. N Engl J Med. 2006;355:11–20.PubMedCrossRefGoogle Scholar
- 53.Koh YW, Park YS, Ryu MH, Ryoo BY, Park HJ, Yook JH, et al. Postoperative nodal status and diffuse type histology are independent prognostic factors in resectable advanced gastric carcinomas after preoperative chemotherapy. Am J Surg Pathol. 2013;37:1022–9.PubMedCrossRefGoogle Scholar



