A comparison of methods for purification and concentration of norovirus GII-4 capsid virus-like particles
- 1.6k Downloads
- 39 Citations
Abstract
Noroviruses (NoVs) are one of the leading causes of acute gastroenteritis worldwide. NoV GII-4 VP1 protein was expressed in a recombinant baculovirus system using Sf9 insect cells. Several methods for purification and concentration of virus-like particles (VLPs) were evaluated. Electron microscopy (EM) and histo-blood group antigen (HBGA) binding assays showed that repeated sucrose gradient purification followed by ultrafiltration resulted in intact VLPs with excellent binding to H type 3 antigens. VLPs were stable for at least 12 months at 4°C, and up to 7 days at ambient temperature. These findings indicate that this method yielded stable and high-quality VLPs.
Keywords
Sucrose Density Gradient Recombinant Baculovirus Discontinuous Sucrose Gradient HBGA Binding Acute Nonbacterial GastroenteritisNoroviruses (NoVs) cause sporadic acute nonbacterial gastroenteritis in all age groups [12, 13]. NoVs are divided into five genogroups, GI to GV, of which GI and GII strains mostly affect humans [21]. Recently, NoV genotype GII-4 has been responsible for the majority of sporadic gastroenteritis cases and outbreaks [13]. The NoV genome consists of a single-stranded RNA of about 7.6 kb, organized into open reading frames (ORF 1–3). ORF-1 codes for the RNA-dependent RNA polymerase, and ORF-2 and -3 encode the two structural proteins VP1 and VP2 [10].
Expression of the capsid VP1 gene by recombinant baculoviruses leads to self-assembly into empty virus-like particles (VLPs) that are morphologically and antigenically similar to native NoV [9]. NoV VLPs are widely used as antigens in diagnostic serological assays and as candidate vaccines against NoVs [2, 7]. NoV VLPs are highly stable and resistant to variable conditions, particularly to low pH [1, 9].
There are limitations in NoV VLP production in terms of inadequate yield and quality of the VLPs [1, 3, 9, 20]. Both sucrose and CsCl gradients ultracentrifugation have been used for purification of NoV VLPs [1, 7, 9, 17], even though studies on rotavirus-like particles demonstrated a low yield and impurities resulting from CsCl gradient purification [16].
In the present study, we compared commonly used methods for NoV GII-4 VLP purification [1, 14, 17] and concentration [6, 19], considering the purity, yield, morphological integrity, antigenicity and functionality of the purified VLPs.
The steps for cloning the NoV GII-4 (GenBank sequence database accession number AF080551) full-length capsid gene are described elsewhere [11].
VLPs were produced in Sf9 insect cells infected with the recombinant baculovirus according to the manufacturer’s instructions (Invitrogen, Carlsbad, CA). Baculovirus titers expressed as the multiplicity of infection (MOI) of the P2 stocks were determined using a BacPak Rapid Titer Kit (Clontech Laboratories, Mountain View, CA).
At day 6, infected cell culture (200 ml) was clarified by centrifugation at 3000×g for 30 min at 4°C. VLPs in the supernatant were concentrated by ultracentrifugation (L8-60M ultracentrifuge, Beckman SW-32.1 Ti rotor) at 100,000×g for 2 h at 4°C, and pellets were resuspended in 0.2 M Tris–HCl, pH 7.3. VLPs were loaded onto a 10–60% discontinuous sucrose gradient and ultracentrifugated at 100,000×g for 1 h at 4°C as described before [17]. Fractions were collected by bottom puncture. The fractions containing VLPs were pooled. An additional discontinuous sucrose gradient (35–60%) ultracentrifugation was performed. Sucrose was removed by overnight dialysis against 1 liter of PBS. VLPs were concentrated by dialysis against polyethylene glycol (PEG; 50%) [6] or by ultrafiltration [19]. VLPs were concentrated using an Amicon Ultra 30 kDa centrifuge filter device (Millipore Corporation, Billerica, Germany). VLPs were stored at 4°C in PBS.
Alternatively, a less time-consuming sucrose density gradient purification method was employed [14]. Clarified supernatants were pelleted twice by ultracentrifugation. Pellets were resuspended in 0.2 M Tris–HCl, pH 7.3, and placed on a discontinuous sucrose density gradient (10–60%) for ultracentrifugation at 100,000×g for 16 h at 4°C. The VLP band, which was visible at the 35% sucrose layer, was collected. Sucrose was removed by dialysis against 1 liter of PBS, and VLPs were concentrated by ultracentrifugation at 100,000×g for 2 h at 4°C.
In addition, clarified supernatants were concentrated, and the pellets were resuspended in sterile water. VLPs were sedimented by ultracentrifugation through cesium chloride (CsCl) (0.4 g/ml) at 116,000×g for 18 h at 4°C as described earlier by others [1]. CsCl was removed by dialysis against PBS, and VLPs were concentrated using an Amicon Ultrafilter.
The total protein content of the purified VLP preparation was determined using the Pierce BCA Protein Assay (Thermo Science, Rockford, USA). Endotoxin levels in the VLP preparations were quantified using the Limulus amebocyte lysate (LAL) assay (Lonza, Walkersville, MD, USA). The level of endotoxin was <0.1 EU/10 μg of protein, which is below the international standard of ≤30 EU/20 μg of protein [15]. All samples were analyzed for protein expression by sodium dodecyl sulphate-polyacrylamide gel electrophoresis (SDS-PAGE) and western blot. The presence of NoV VLPs was verified by electron microscopy (EM). VLP preparations were negatively stained with 3% uranyl acetate (UA), pH 4.6. The VLPs were examined using an FEI Tecnai F12 electron microscope operating at 120 kV.
Binding of GII-4 VLPs to carbohydrate receptors was examined by the histo-blood group antigen (HBGA) binding assay as described by others [18], with slight modifications. Briefly, VLPs were coated at 50 ng/well, and synthetic biotinylated H type 3 and Lewisb histo-blood group carbohydrates (Lectinity Holdings Inc. Moscow, Russia) were used in serial threefold dilutions, starting from 6 μg/ml. Wells lacking the synthetic carbohydrates were used as a negative control.
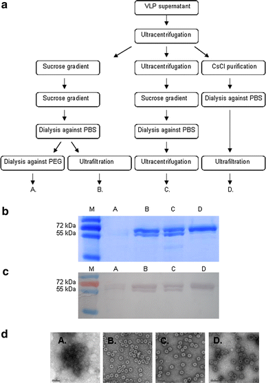
Purification, concentration and characterization of NoV VLPs. a Several purification procedures (A–D) were used, and the purity, morphology, antigenicity and yield of the VLPs were compared. b NoV capsid protein analysis by 12% SDS-PAGE. c Western blot analysis using a human convalescent serum against norovirus GII-4. d EM of purified NoV VLPs observed at a magnification of ×30,000. Bar 100 nm. Samples from purification procedures A, B, C, and D correspond to lanes and panels A, B, C, and D, respectively. M protein weight marker
The best yield (2–3 mg/200 ml) was obtained after the purification procedure described in Fig. 1a, panel B. In comparison, the method described in Fig. 1a, panel C, yielded a ten times lower amount of NoV capsid VLPs. The purity of the VLPs obtained by each method was determined by 12% SDS-PAGE and staining of the proteins with PageBlue (Fig. 1b). 1 μg of the total protein was loaded into each lane. Each method resulted in equally pure protein bands corresponding to the size of the NoV capsid. Residual PEG present in the VLPs, concentrated by PEG dialysis, may have interfered with the protein concentration determination, and this could explain the lower capsid protein concentration observed (Fig. 1b, lane A). NoV capsid identity and antigenicity of the VLPs were assayed by western blot using human NoV-specific convalescent sera (Fig. 1c). The results show pure NoV capsid proteins without degradation and with similar antigenicity for each of the purification methods. Next, we determined the morphological integrity and homogeneity of the VLPs by EM (Fig. 1d). The VLPs obtained by purification with sucrose density gradients followed by dialysis and either ultrafiltration (Fig. 1d, panel B) or ultracentrifugation (Fig. 1d, panel C) were approximately 38 nm in size, with the classical appearance of NoV capsid VLPs. By contrast, CsCl purification (Fig. 1d, panel D) and concentration of the VLPs by dialysis against PEG (Fig. 1d, panel A) resulted in VLPs of heterogeneous size, which appeared broken and aggregated. The VLPs purified and concentrated by the method schematically presented in Fig. 1a, panel B, were of the best quality and were subjected to further analysis.
Stability of NoV VLPs. The stability was analyzed by SDS-PAGE (a) and EM (b) at a magnification of ×30,000. Bar 100 nm. NoV capsid VLPs after 8 months at 4°C (lane 1 and panel 1), sterile filtration (lane 2 and panel 2), 7 days at room temperature (lane 3 and panel 3) and heat treatment (60°C, 1 h) (lane 4 and panel 4)
Binding of NoV VLPs to synthetic ABH histo-blood group antigens. Sucrose-purified VLPs (Sucrose VLPs, purified according to procedure B in Fig. 1a), heat-denatured NoV VLPs (60°C, 1 h) (Heat-treated VLPs) and CsCl-purified VLPs (CsCl VLPs) were tested for binding to H type 3 and Lewisb carbohydrates at the indicated concentrations. The pH value in the binding assay was 7.4
NoV VLPs have been used extensively to study protein interactions [8], and virus assembly [17], and have been used as a tool in diagnostic serological assays [7]. Clinical trials have been performed with the NoV VLPs used as a vaccine [2]. For all these applications, high-quality VLPs would be preferable. In this study, different methods of VLP purification and concentration were used, and the purity, integrity, morphology, antigenicity and functionality of the GII-4 NoV VLP preparations were examined.
VLPs purified by each method (Fig. 1a, methods A–D) had a similar appearance and migration pattern on the SDS-PAGE gel. A western blot with a human convalescent serum from an individual infected with GII-4 confirmed the identity of the capsids and the lack of degradation products.
The reason for the lower protein yield after purification procedure C might have been that a narrow visible band of VLPs was collected from 35% sucrose, causing some of the protein to be omitted, thus affecting the yield. However, a yield of up to 2–3 mg of VLPs, which was obtained by the best purification method described in the present study, is remarkably high when compared to other reports [3, 4].
EM analysis of the morphological integrity and homogeneity of the VLPs showed that VLPs obtained by purification with sucrose density gradients followed by ultrafiltration or ultracentrifugation (procedures B and C, respectively) were homogenous and intact, and approximately 38 nm in size. However, CsCl-purified VLPs appeared heterogeneous in size, with a few broken particles, although comparable to the morphology seen by others [7]. CsCl purification is known to introduce several impurities at the end of the process and cause aggregation of the VLPs during storage [5]. The poorest morphology was seen after concentration of the VLPs by dialysis against PEG, which resulted in aggregation. In addition, residual PEG, which leaks through the dialysis membrane, might interfere with further applications of the VLPs [19].
Our data clearly demonstrate that the purification process affects the integrity of the native quaternary structure of NoV VLPs and, subsequently, the receptor-binding functionality of the VLPs. Although the majority of the VLPs purified by the CsCl method seemed intact in the EM image, the difference from sucrose-density-gradient-purified VLPs in HBGA binding is striking. This result is supported by the recent finding that CsCl has a negative impact on the functionality of VLPs [5]. We also demonstrated that even heat-disrupted VLPs have binding capability, but intact homogenous VLPs have a significantly greater binding intensity. Standardization of the purification method for NoV VLPs used in diagnostic serological assays and blocking assays [8] would greatly strengthen the results obtained.
To the best of our knowledge, this is the first time that VLPs purified by conventional purification and concentration methods were compared in terms of yield, purity, morphological integrity, antigenicity and functionality. The results show that NoV GII-4 VLPs purified twice by sucrose density gradient centrifugation followed by ultrafiltration maintain their icosahedral capsid structure and their capacity to bind HBGAs.
Notes
Acknowledgments
We thank Eija Jokitalo and Helena Vihinen for their guidance and assistance with transmission electron microscopy. We also thank Eeva Jokela for technical assistance during the study and Marjo Salminen for support in laboratory work.
Open Access
This article is distributed under the terms of the Creative Commons Attribution Noncommercial License which permits any noncommercial use, distribution, and reproduction in any medium, provided the original author(s) and source are credited.
References
- 1.Ausar SF, Foubert TR, Hudson MH et al (2006) Conformational stability and disassembly of Norwalk virus-like particles. Effect of pH and temperature. J Biol Chem 281:19478–19488. doi: 10.1074/jbc.M603313200 CrossRefPubMedGoogle Scholar
- 2.Ball JM, Graham DY, Opekun AR et al (1999) Recombinant Norwalk virus-like particles given orally to volunteers: phase I study. Gastroenterology 117:40–48CrossRefPubMedGoogle Scholar
- 3.Belliot G, Noel JS, Li JF et al (2001) Characterization of capsid genes, expressed in the baculovirus system, of three new genetically distinct strains of “Norwalk-like viruses”. J Clin Microbiol 39:4288–4295. doi: 10.1128/JCM.39.12.4288-4295.2001 CrossRefPubMedGoogle Scholar
- 4.Bertolotti-Ciarlet A, Crawford SE, Hutson AM et al (2003) The 3′ end of Norwalk virus mRNA contains determinants that regulate the expression and stability of the viral capsid protein VP1: a novel function for the VP2 protein. J Virol 77:11603–11615CrossRefPubMedGoogle Scholar
- 5.Burova E, Ioffe E (2005) Chromatographic purification of recombinant adenoviral and adeno-associated viral vectors: methods and implications. Gene Ther 12(Suppl 1):S5–S17. doi: 10.1038/sj.gt.3302611 CrossRefPubMedGoogle Scholar
- 6.Degerli N, Akpinar MA (2001) A novel concentration method for concentrating solutions of protein extracts based on dialysis techniques. Anal Biochem 297:192–194. doi: 10.1006/abio.2001.5335 CrossRefPubMedGoogle Scholar
- 7.Hansman GS, Natori K, Shirato-Horikoshi H et al (2006) Genetic and antigenic diversity among noroviruses. J Gen Virol 87:909–919. doi: 10.1099/vir.0.81532-0 CrossRefPubMedGoogle Scholar
- 8.Harrington PR, Lindesmith L, Yount B et al (2002) Binding of Norwalk virus-like particles to ABH histo-blood group antigens is blocked by antisera from infected human volunteers or experimentally vaccinated mice. J Virol 76:12335–12343CrossRefPubMedGoogle Scholar
- 9.Jiang X, Wang M, Graham DY et al (1992) Expression, self-assembly, and antigenicity of the Norwalk virus capsid protein. J Virol 66:6527–6532PubMedGoogle Scholar
- 10.Jiang X, Wang M, Wang K et al (1993) Sequence and genomic organization of Norwalk virus. Virology 195:51–61. doi: 10.1006/viro.1993.1345 CrossRefPubMedGoogle Scholar
- 11.Koho T, Teräväinen L, Blazevic V, Nurminen K, Butcher S, Laurinmäki P, Kalkkinen N, Rönnholm G, Vesikari T, Hytönen VP, Kulomaa MS. Production and characterization of virus-like particles and P domain protein of GII.4 Norovirus. J Virol Methods (submitted)Google Scholar
- 12.Lew JF, Valdesuso J, Vesikari T et al (1994) Detection of Norwalk virus or Norwalk-like virus infections in Finnish infants and young children. J Infect Dis 169:1364–1367PubMedGoogle Scholar
- 13.Lopman B, Vennema H, Kohli E et al (2004) Increase in viral gastroenteritis outbreaks in Europe and epidemic spread of new norovirus variant. Lancet 363:682–688. doi: 10.1016/S0140-6736(04)15641-9 CrossRefPubMedGoogle Scholar
- 14.Lu X, Chen Y, Bai B et al (2007) Immune responses against severe acute respiratory syndrome coronavirus induced by virus-like particles in mice. Immunology 122:496–502. doi: 10.1111/j.1365-2567.2007.02676.x CrossRefPubMedGoogle Scholar
- 15.Makidon PE, Bielinska AU, Nigavekar SS et al (2008) Pre-clinical evaluation of a novel nanoemulsion-based hepatitis B mucosal vaccine. PLoS One 3:e2954. doi: 10.1371/journal.pone.0002954 CrossRefPubMedGoogle Scholar
- 16.Peixoto C, Sousa MF, Silva AC et al (2007) Downstream processing of triple layered rotavirus like particles. J Biotechnol 127:452–461. doi: 10.1016/j.jbiotec.2006.08.002 CrossRefPubMedGoogle Scholar
- 17.Prasad BV, Rothnagel R, Jiang X et al (1994) Three-dimensional structure of baculovirus-expressed Norwalk virus capsids. J Virol 68:5117–5125PubMedGoogle Scholar
- 18.Rockx B, Baric RS, de Grijs I et al (2005) Characterization of the homo- and heterotypic immune responses after natural norovirus infection. J Med Virol 77:439–446. doi: 10.1002/jmv.20473 CrossRefPubMedGoogle Scholar
- 19.Russell BJ, Velez JO, Laven JJ et al (2007) A comparison of concentration methods applied to non-infectious flavivirus recombinant antigens for use in diagnostic serological assays. J Virol Methods 145:62–70. doi: 10.1016/j.jviromet.2007.05.008 CrossRefPubMedGoogle Scholar
- 20.Tan M, Zhong W, Song D et al (2004) E. coli-expressed recombinant norovirus capsid proteins maintain authentic antigenicity and receptor binding capability. J Med Virol 74:641–649. doi: 10.1002/jmv.20228 CrossRefPubMedGoogle Scholar
- 21.Zheng DP, Ando T, Fankhauser RL et al (2006) Norovirus classification and proposed strain nomenclature. Virology 346:312–323. doi: 10.1016/j.virol.2005.11.015 CrossRefPubMedGoogle Scholar


