Mycorrhiza

, Volume 26, Issue 6, pp 609–621 | Cite as

RiPEIP1, a gene from the arbuscular mycorrhizal fungus Rhizophagus irregularis, is preferentially expressed in planta and may be involved in root colonization

  • Valentina Fiorilli
  • Simone Belmondo
  • Hassine Radhouane Khouja
  • Simona Abbà
  • Antonella Faccio
  • Stefania Daghino
  • Luisa Lanfranco
Original Article

Abstract

Transcriptomics and genomics data recently obtained from the arbuscular mycorrhizal (AM) fungus Rhizophagus irregularis have offered new opportunities to decipher the contribution of the fungal partner to the establishment of the symbiotic association. The large number of genes which do not show similarity to known proteins witnesses the uniqueness of this group of plant-associated fungi. In this work, we characterize a gene that was called RiPEIP1 (Preferentially Expressed In Planta). Its expression is strongly induced in the intraradical phase, including arbuscules, and follows the expression profile of the Medicago truncatula phosphate transporter MtPT4, a molecular marker of a functional symbiosis. Indeed, mtpt4 mutant plants, which exhibit low mycorrhizal colonization and an accelerated arbuscule turnover, also show a reduced RiPEIP1 mRNA abundance. To further characterize RiPEIP1, in the absence of genetic transformation protocols for AM fungi, we took advantage of two different fungal heterologous systems. When expressed as a GFP fusion in yeast cells, RiPEIP1 localizes in the endomembrane system, in particular to the endoplasmic reticulum, which is consistent with the in silico prediction of four transmembrane domains. We then generated RiPEIP1-expressing strains of the fungus Oidiodendron maius, ericoid endomycorrhizal fungus for which transformation protocols are available. Roots of Vaccinium myrtillus colonized by RiPEIP1-expressing transgenic strains showed a higher mycorrhization level compared to roots colonized by the O. maius wild-type strain, suggesting that RiPEIP1 may regulate the root colonization process.

Keywords

Arbuscular mycorrhizal symbiosis Rhizophagus irregularis Oidiodendron maius Heterologous expression system 

Notes

Acknowledgments

Research was funded by the BIOBIT-Converging Technology project (WP2), the Progetto Ateneo SLEPS and the University grant (60 %) to LL. We thank Maria J. Harrison for the mtpt4-2 mutant, Nuria Ferrol for the RFP yeast strains, Andrea Genre for confocal microscopy observations, Raffaella Balestrini for the help on laser microdissection, and Paola Bonfante and Silvia Perotto for fruitful discussions and critical reading of the manuscript.

Supplementary material

572_2016_697_MOESM1_ESM.docx (13 kb)
Table S1 (DOCX 12 kb)
572_2016_697_Fig8_ESM.gif (256 kb)
Figure S1

Nucleotide and deduced amino acid sequences of RiPEIP1. (a) RiPEIP1 genomic DNA sequence showing the presence of five introns. (b) RiPEIP1 protein sequence showing the 4 transmembrane domains (underlined), the typical ER-retention/retrieval motifs (bold) and the predicted phosphorylation sites (red). See text for details (GIF 255 kb)

572_2016_697_MOESM2_ESM.tif (2.6 mb)
High Resolution (TIF 2702 kb)
572_2016_697_Fig9_ESM.gif (17 kb)
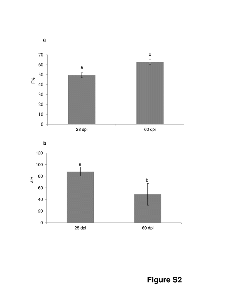
Figure S2

Colonization level of M. truncatula roots at 28 and 60 days post inoculation (dpi) assessed accordingly to Trouvelot et al. (1986). F%: frequency of mycorrhization in the root system (a), a%: arbuscules abundance in mycorrhizal parts of root fragments (b). Different letters indicate statistically significant difference (p < 0.05 ANOVA, Tukey’s post-hoc test) (GIF 17 kb)

572_2016_697_MOESM3_ESM.tif (102 kb)
High Resolution (TIF 102 kb)
572_2016_697_Fig10_ESM.gif (120 kb)
Figure S3

Mycorrhizal phenotype of M. truncatula wt (a, b) and mtpt4-2 (c, d) roots colonized by R. irregularis. Roots were harvested 60 dpi, stained with acid fuchsin and observed with a confocal microscope. Arbuscules in mtpt4-2 are degenerated as described in Javot et al. (Javot et al. 2011). Bars = 25 μm. (GIF 119 kb)

572_2016_697_MOESM4_ESM.tif (1.4 mb)
High Resolution (TIF 1438 kb)
572_2016_697_Fig11_ESM.gif (114 kb)
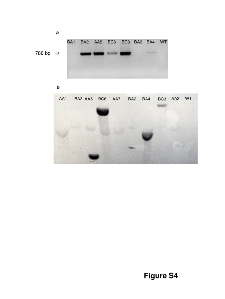
Figure S4

Molecular analyses of O. maius transgenic strains expressing RiPEIP1. (a) Gel electrophoresis of PCR products obtained from genomic DNA of wt and transgenic strains using RiPEIP1 specific primers (b) Southern blot of genomic DNA from wt and transgenic strains restricted with BglII enzyme and hybridized with the RiPEIP1 probe. Lanes corresponding to BC6, BA2, BA4 samples exhibited a single genomic insertion. (GIF 114 kb)

572_2016_697_MOESM5_ESM.tif (1.4 mb)
High Resolution (TIF 1418 kb)
572_2016_697_Fig12_ESM.gif (188 kb)
Figure S5

Phenotype of O. maius free living mycelia from wt and RiPEIP1-expressing strain BA2 as revealed by calcoflour white staining. Laser-scanning microscope observation of one-month-old O. maius wt and transgenic strains stained with calcofluor white. Transmitted light images are shown on the right (b, d) and the corresponding fluorescence images on the left (a, c). Bars: 10 μm (GIF 188 kb)

572_2016_697_MOESM6_ESM.tif (3.9 mb)
High Resolution (TIF 3998 kb)
572_2016_697_Fig13_ESM.gif (427 kb)
Figure S6

Mycorrhizal phenotype of O. maius wt and RiPEIP1-expressing strain BC6. Mycorrhized V. myrtillus roots were stained with acid fuchsin and observed 2 months after fungal inoculation. O. maius transgenic strains showed an increased number of coils (asterisk) in epidermal cells compared to the wt. (GIF 426 kb)

572_2016_697_MOESM7_ESM.tif (3.9 mb)
High Resolution (TIF 3968 kb)

References

  1. Abbà S, Khouja HR, Martino E, Archer DB, Perotto S (2009) SOD1-targeted gene disruption in the ericoid mycorrhizal fungus Oidiodendron maius reduces conidiation and the capacity for mycorrhization. Mol Plant Microbe Interact 22:1412–1421. doi: 10.1094/MPMI-22-11-1412 CrossRefPubMedGoogle Scholar
  2. Allen JW, Shachar-Hill Y (2009) Sulfur transfer through an arbuscular mycorrhiza. Plant Physiol 149:549–560. doi: 10.1104/pp.108.129866 CrossRefPubMedPubMedCentralGoogle Scholar
  3. Balestrini R, Gómez-Ariza J, Lanfranco L, Bonfante P (2007) Laser microdissection reveals that transcripts for five plant and one fungal phosphate transporter genes are contemporaneously present in arbusculated cells. Mol Plant Microbe Interact 20:1055–1062. doi: 10.1094/MPMI-20-9-1055 CrossRefPubMedGoogle Scholar
  4. Bécard G, Fortin JA (1988) Early events of vesicular–arbuscular mycorrhiza formation on Ri T-DNA transformed roots. New Phytol 108:211–218. doi: 10.1111/j.1469-8137.1988.tb03698.x CrossRefGoogle Scholar
  5. Belmondo S, Fiorilli V, Pérez-Tienda J, Ferrol N, Marmeisse R, Lanfranco L (2014) A dipeptide transporter from the arbuscular mycorrhizal fungus Rhizophagus irregularis is upregulated in the intraradical phase. Front Plant Sci 3(5):436. doi: 10.3389/fpls.2014.00436 Google Scholar
  6. Blaudez D, Kohler A, Martin F, Sanders D, Chalot M (2003) Poplar metal tolerance protein 1 confers zinc tolerance and is an oligomeric vacuolar zinc transporter with an essential leucine zipper motif. Plant Cell 1512:2911–28. doi: 10.1105/tpc.017541 CrossRefGoogle Scholar
  7. Bonfante P, Genre A (2015) Arbuscular mycorrhizal dialogues: do you speak 'plantish' or 'fungish'? Trends Plant Sci 20:150–154. doi: 10.1016/j.tplants.2014.12.002 CrossRefPubMedGoogle Scholar
  8. Bonfante P, Requena N (2011) Dating in the dark: how roots respond to fungal signals to establish arbuscular mycorrhizal symbiosis. Curr Opin Plant Biol 14:451–457. doi: 10.1016/j.pbi.2011.03.014 CrossRefPubMedGoogle Scholar
  9. Breuninger M, Requena N (2004) Recognition events in AM symbiosis: analysis of fungal gene expression at the early appressorium stage. Fungal Genet Biol 41:794–804. doi: 10.1016/j.fgb.2004.04.002 CrossRefPubMedGoogle Scholar
  10. Cappellazzo G, Lanfranco L, Bonfante P (2007) A limiting source of organic nitrogen induces specific transcriptional responses in the extraradical structures of the endomycorrhizal fungus Glomus intraradices. Curr Genet 51:59–70. doi: 10.1007/s00294-006-0101-2 CrossRefPubMedGoogle Scholar
  11. Ehinger MO, Croll D, Koch AM, Sanders IR (2012) Significant genetic and phenotypic changes arising from clonal growth of a single spore of an arbuscular mycorrhizal fungus over multiple generations. New Phytol 196:853–561. doi: 10.1111/j.1469-8137.2012.04278.x CrossRefPubMedGoogle Scholar
  12. Fiorilli V, Lanfranco L, Bonfante P (2013) The expression of GintPT, the phosphate transporter of Rhizophagus irregularis, depends on the symbiotic status and phosphate availability. Planta 237:1267–1277. doi: 10.1007/s00425-013-1842-z CrossRefPubMedGoogle Scholar
  13. Genre A, Chabaud M, Timmers T, Bonfante P, Barker DG (2005) Arbuscular mycorrhizal fungi elicit a novel intracellular apparatus in Medicago truncatula root epidermal cells before infection. Plant Cell 17:3489–3499. doi: 10.1105/tpc.105.035410 CrossRefPubMedPubMedCentralGoogle Scholar
  14. Genre A, Chabaud M, Faccio A, Barker DG, Bonfante P (2008) Pre-penetration apparatus assembly precedes and predicts the colonization patterns of arbuscular mycorrhizal fungi within the root cortex of both Medicago truncatula and Daucus carota. Plant Cell 20:1407–1420. doi: 10.1105/tpc.108.059014 CrossRefPubMedPubMedCentralGoogle Scholar
  15. Gianinazzi S, Gollotte A, Binet MN, van Tuinen D, Redecker D, Wipf D (2010) Agroecology: the key role of arbuscular mycorrhizas in ecosystem services. Mycorrhiza 20:519–530. doi: 10.1007/s00572-010-0333-3 CrossRefPubMedGoogle Scholar
  16. Gietz D, St Jean A, Woods RA, Schies RH (1992) Improved method for high efficiency transformation of intact yeast cells. Nucleic Acids Res 20:1425CrossRefPubMedPubMedCentralGoogle Scholar
  17. Giovannetti M, Sbrana C, Avio L, Citernesi AS, Logi C (1993) Differential hyphal morphogenesis in arbuscular mycorrhizal fungi during pre-infection stages. New Phytol 125:587–593. doi: 10.1111/j.1469-8137.1993.tb03907.x CrossRefGoogle Scholar
  18. González-Guerrero M, Oger E, Benabdellah K, Azcón-Aguilar C, Lanfranco L, Ferrol N (2010) Characterization of a CuZn superoxide dismutase gene in the arbuscular mycorrhizal fungus Glomus intraradices. Curr Genet 56:265–74. doi: 10.1007/s00294-010-0298-y CrossRefPubMedGoogle Scholar
  19. Govindarajulu M, Pfeffer PE, Jin HR, Abubaker J, Douds DD, Allen JW, Bücking H, Lammers PJ, Shachar-Hil Y (2005) Nitrogen transfer in the arbuscular mycorrhizal symbiosis. Nature 435:819–823. doi: 10.1038/nature03610 CrossRefPubMedGoogle Scholar
  20. Gutjahr C, Parniske M (2013) Cell and developmental biology of arbuscular mycorrhiza symbiosis. Annu Rev Cell Dev Biol 29:593–617. doi: 10.1146/annurev-cellbio-101512-122413 CrossRefPubMedGoogle Scholar
  21. Halary S, Malik SB, Lildhar L, Slamovits CH, Hijri M, Corradi N (2011) Conserved meiotic machinery in Glomus spp., a putatively ancient asexual fungal lineage. Genome Biol Evol 3:950–958. doi: 10.1093/gbe/evr089 CrossRefPubMedPubMedCentralGoogle Scholar
  22. Halary S, Daubois L, Terrat Y, Ellenberger S, Wöstemeyer J, Hijri M (2013) Mating type gene homologues and putative sex pheromone-sensing pathway in arbuscular mycorrhizal fungi, a presumably asexual plant root symbiont. Plos One 8(11), e80729. doi: 10.1371/journal.pone.0080729 CrossRefPubMedPubMedCentralGoogle Scholar
  23. Hammer Ø, Harper DAT, Ryan PD (2001) PAST: paleontological statistics software package for education and data analysis. Palaeontol Electron 4:9Google Scholar
  24. Harrison MJ, Dewbre GR, Liu J (2002) A phosphate transporter from Medicago truncatula involved in the acquisition of phosphate released by arbuscular mycorrhizal fungi. Plant Cell 14:2413–2429. doi: 10.1105/tpc.004861 CrossRefPubMedPubMedCentralGoogle Scholar
  25. Helber N, Requena N (2008) Expression of the fluorescence markers DsRed and GFP fused to a nuclear localization signal in the arbuscular mycorrhizal fungus Glomus intraradices. New Phytol 177:537–548. doi: 10.1111/j.1469-8137.2007.02257.x PubMedGoogle Scholar
  26. Helber N, Wippel N, Schaarschmidt S, Hause B, Requena N (2011) A versatile monosaccharide transporter that operates in the arbuscular mycorrhizal fungus Glomus sp. is crucial for the symbiotic relationship with plants. Plant Cell 23:3812–3823. doi: 10.1105/tpc.111.089813 CrossRefPubMedPubMedCentralGoogle Scholar
  27. Hijri M, Sanders IR (2005) Low gene copy number shows that arbuscular mycorrhizal fungi inherit genetically different nuclei. Nature 433:160–163. doi: 10.1038/nature03069 CrossRefPubMedGoogle Scholar
  28. Hohnjec N, Vieweg MF, Pühler A, Becker A, Küster H (2005) Overlaps in the transcriptional profiles of Medicago truncatula roots inoculated with two different Glomus fungi provide insights into the genetic program activated during arbuscular mycorrhiza. Plant Physiol 137:1283–1301. doi:  10.1104/pp.104.056572
  29. Jackson MR, Nilsson T, Peterson PA (1990) Identification of a consensus motif for retention of transmembrane proteins in the endoplasmic reticulum. EMBO J 9:3153–3162PubMedPubMedCentralGoogle Scholar
  30. Javot H, Penmetsa RV, Terzaghi N, Cook DR, Harrison MJ (2007) A Medicago truncatula phosphate transporter indispensable for the arbuscular mycorrhizal symbiosis. Proc Natl Acad Sci U S A 104:1720–1725. doi: 10.1073/pnas.0608136104 CrossRefPubMedPubMedCentralGoogle Scholar
  31. Javot H, Penmetsa RV, Breuillin F, Bhattarai KK, Noar RD, Gomez SK, Zhang Q, Cook DR, Harrison MJ (2011) Medicago truncatula mtpt4 mutants reveal a role for nitrogen in the regulation of arbuscule degeneration in arbuscular mycorrhizal symbiosis. Plant J 68:954–965. doi: 10.1111/j.1365-313X.2011.04746.x CrossRefPubMedGoogle Scholar
  32. Kikuchi Y, Hijikata N, Yokoyama K, Ohtomo RY, Handa Y, Kawaguchi M, Katsuharu Saito K, Ezawa T (2014) Polyphosphate accumulation is driven by transcriptome alterations that lead ners-synchronous and near-equivalent uptake of inorganic cations in an arbuscular mycorrhizal fungus. New Phytol 204:638–649. doi: 10.1111/nph.12937 CrossRefPubMedGoogle Scholar
  33. Kloppholz S, Kuhn H, Requena N (2011) A secreted fungal effector of Glomus intraradices promotes symbiotic biotrophy. Curr Biol 21:1204–1209. doi: 10.1016/j.cub.2011.06.044 CrossRefPubMedGoogle Scholar
  34. Kobae Y, Hata S (2010) Dynamics of periarbuscular membranes visualized with a fluorescent phosphate transporter in arbuscular mycorrhizal roots of rice. Plant Cell Physiol 51:341–53. doi: 10.1093/pcp/pcq013 CrossRefPubMedGoogle Scholar
  35. Kohler A, Kuo A, Nagy LG, Morin E, Barry KW, Buscot F, Canbäck B, Choi C, Cichocki N, Clum A, Colpaert J, Copeland A, Costa MD, Doré J, Floudas D, Gay G, Girlanda M, Henrissat B, Herrmann S, Hess J, Högberg N, Johansson T, Khouja HR, LaButti K, Lahrmann U, Levasseur A, Lindquist EA, Lipzen A, Marmeisse R, Martino E, Murat C, Ngan CY, Nehls U, Plett JM, Pringle A, Ohm RA, Perotto S, Peter M, Riley R, Rineau F, Ruytinx J, Salamov A, Shah F, Sun H, Tarkka M, Tritt A, Veneault-Fourrey C, Zuccaro A, Tunlid A, Grigoriev A IV, Hibbett DS, Martin F (2015) Convergent losses of decay mechanisms and rapid turnover of symbiosis genes in mycorrhizal mutualists. Nat Genet 47:410–415CrossRefPubMedGoogle Scholar
  36. Kormanik PP, McGraw AC (1982) Quantification of vesicular-arbuscular mycorrhizae in plant roots. In: Schenk NC (ed) Methods and principles of mycorrhizal research American Phytopathological Society. St Paul, MN, pp p37–47Google Scholar
  37. Lanfranco L, Young JP (2012) Genetic and genomic glimpses of the elusive arbuscular mycorrhizal fungi. Curr Opin Plant Biol 15:454–461. doi: 10.1016/j.pbi.2012.04.003 CrossRefPubMedGoogle Scholar
  38. Li T, Hu YJ, Hao ZP, Li H, Wang YS, Chen BD (2013) First cloning and characterization of two functional aquaporin genes from an arbuscular mycorrhizal fungus Glomus intraradices. New Phytol 197:617–30. doi: 10.1111/nph.12011 CrossRefPubMedGoogle Scholar
  39. Lin K, Limpens E, Zhang Z, Ivanov S, Saunders DG, Mu D, Pang E, Cao H, Cha H, Lin T, Zhou Q, Shang Y, Li Y, Sharma T, van Velzen R, de Ruijter N, Aanen DK, Win J, Kamoun S, Bisseling T, Geurts R, Huang S (2014) Single nucleus genome sequencing reveals high similarity among nuclei of an endomycorrhizal fungus. PLoS Genet 10, e1004078. doi: 10.1371/journal.pgen.1004078 CrossRefPubMedPubMedCentralGoogle Scholar
  40. Martin F, Kohler A, Murat C, Balestrini R, Coutinho PM, Jaillon O, Montanini B, Morin E, Noel B, Percudani R, Porcel B, Rubini A, Amicucci A, Amselem J, Anthouard V, Arcioni S, Artiguenave F, Aury JM, Ballario P, Bolchi A, Brenna A, Brun A, Buée M, Cantarel B, Chevalier G, Couloux A, Da Silva C, Denoeud F, Duplessis S, Ghignone S, Hilselberger B, Iotti M, Marçais B, Mello A, Miranda M, Pacioni G, Quesneville H, Riccioni C, Ruotolo R, Splivallo R, Stocchi V, Tisserant E, Viscomi AR, Zambonelli A, Zampieri E, Henrissat B, Lebrun MH, Paolocci F, Bonfante P, Ottonello S, Wincker P (2010) Périgord black truffle genome uncovers evolutionary origins and mechanisms of symbiosis. Nature 464:1033–1038. doi: 10.1038/nature08867 CrossRefPubMedGoogle Scholar
  41. Martino E, Turnau K, Girlanda M, Bonfante P, Perotto S (2000) Ericoid mycorrhizal fungi from heavy metal polluted soils: their identification and growth in the presence of zinc ions. Mycol Res 104:338–344. doi: 10.1017/S0953756299001252 CrossRefGoogle Scholar
  42. Martino E, Murat C, Vallino M, Bena A, Perotto S, Spanu P (2007) Imaging mycorrhizal fungal transformants that express EGFP during ericoid endosymbiosis. Curr Genet 52:65–75. doi: 10.1007/s00294-007-0139-9 CrossRefPubMedGoogle Scholar
  43. Pawlowska TE, Taylor JW (2004) Organization of genetic variation in individuals of arbuscular mycorrhizal fungi. Nature 427:733–737. doi: 10.1038/nature02290 CrossRefPubMedGoogle Scholar
  44. Pérez-Tienda J, Balestrini R, Fiorilli V, Azcón-Aguilar C, Ferrol N (2011) GintAMT2, a new member of the ammonium transporter family in the arbuscular mycorrhizal fungus Glomus intraradices. Fungal Genet Biol 48:1044–1055. doi: 10.1016/j.fgb.2011.08.003 CrossRefPubMedGoogle Scholar
  45. Pfeffer PE, Douds DD, Bécard G, Shachar-Hill Y (1999) Carbon uptake and the metabolism and transport of lipids in an arbuscular mycorrhiza. Plant Physiol 120:587–598. doi: 10.1104/pp.120.2.587 CrossRefPubMedPubMedCentralGoogle Scholar
  46. Pumplin N, Harrison MJ (2009) Live-cell imaging reveals periarbuscular membrane domains and organelle location in Medicago truncatula roots during arbuscular mycorrhizal symbiosis. Plant Physiol 151:809–819. doi: 10.1104/pp.109.141879 CrossRefPubMedPubMedCentralGoogle Scholar
  47. Punt PJ, Oliver RP, Dingemanse MA, Pouwels PH, van den Hondel CA (1987) Transformation of Aspergillus based on the hygromycin B resistance marker from Escherichia coli. Gene 56:117–24CrossRefPubMedGoogle Scholar
  48. Redecker D, Schüssler A, Stockinger H, Stürmer SL, Morton JB, Walker C (2013) An evidence-based consensus for the classification of arbuscular mycorrhizal fungi. (Glomeromycota) Mycorrhiza 23:515–531. doi: 10.1007/s00572-013-0486-y CrossRefPubMedGoogle Scholar
  49. Requena N, Mann P, Hampp R, Franken P (2002) Early developmentally regulated genes in the arbuscular mycorrhizal fungus Glomus mosseae: GmGIN1, a novel gene encoding a protein with homology to the C-terminus of metazoan hedgehog proteins. Plant Soil 244:129–139CrossRefGoogle Scholar
  50. Riley R, Salamov AA, Brown DW, Nagy LG, Floudas D, Held BW, Levasseur A, Lombard V, Morin E, Otillar R, Lindquist EA, Sun H, LaButti KM, Schmutz J, Jabbour D, Luo H, Baker SE, Pisabarro AG, Walton JD, Blanchette RA, Henrissat B, Martin F, Cullen D, Hibbett DS, Grigoriev IV (2014) Extensive sampling of basidiomycete genomes demonstrates inadequacy of the white-rot/brown-rot paradigm for wood decay fungi. Proc Natl Acad Sci U S A 111:9923–9928. doi: 10.1073/pnas.1400592111 CrossRefPubMedPubMedCentralGoogle Scholar
  51. Ruzicka D, Chamala S, Barrios-Masias FH, Martin F, Smith S, Jackson LE, Brad Barbazuk W, Schachtman DP (2013) Inside arbuscular mycorrhizal roots—molecular probes to understand the symbiosis. Plant genome 6:1–13. doi: 10.3835/plantgenome2012.06.0007 CrossRefGoogle Scholar
  52. Salvioli A, Bonfante P (2013) Systems biology and "omics" tools: a cooperation for next-generation mycorrhizal studies. Plant Sci 204:107–114. doi: 10.1016/j.plantsci.2013.01.001 CrossRefGoogle Scholar
  53. Salvioli A, Ghignone S, Novero M, Navazio L, Venice F, Bagnaresi P, Bonfante P (2016) Symbiosis with an endobacterium increases the fitness of a mycorrhizal fungus, raising its bioenergetic potential. ISME J 10:130–144. doi: 10.1038/ismej201591 CrossRefPubMedGoogle Scholar
  54. Sambrook J, Russel DW (2001) Molecular cloning: a laboratory manual, volume 1, 2, 3 Cold Spring Harbour Laboratory Press. Cold Spring Harbour, New YorkGoogle Scholar
  55. Schüßler A, Schwarzott D, Walker C (2001) A new fungal phylum, the Glomeromycota: phylogeny and evolution. Mycol Res 105:1413–1421CrossRefGoogle Scholar
  56. Spanu PD, Abbott JC, Amselem J, Burgis TA, Soanes DM, Stüber K, van Ver Loren, Themaat E, Brown JK, Butcher SA, Gurr SJ, Lebrun MH, Ridout CJ, Schulze-Lefert P, Talbot NJ, Ahmadinejad N, Ametz C, Barton GR, Benjdia M, Bidzinski P, Bindschedler LV, Both M, Brewer MT, Cadle-Davidson L, Cadle-Davidson MM, Collemare J, Cramer R, Frenkel O, Godfrey D, Harriman J, Hoede C, King BC, Klages S, Kleemann J, Knoll D, Koti PS, Kreplak J, López-Ruiz FJ, Lu X, Maekawa T, Mahanil S, Micali C, Milgroom MG, Montana G, Noir S, O’Connell RJ, Oberhaensli S, Parlange F, Pedersen C, Quesneville H, Reinhardt R, Rott M, Sacristán S, Schmidt SM, Schön M, Skamnioti P, Sommer H, Stephens A, Takahara H, Thordal-Christensen H, Vigouroux M, Wessling R, Wicker T, Panstruga R (2010) Genome expansion and gene loss in powdery mildew fungi reveal tradeoffs in extreme parasitism. Science 330:1543–1546. doi: 10.1126/science.1194573 CrossRefPubMedGoogle Scholar
  57. Tamayo E, Gómez-Gallego T, Azcón-Aguilar C, Ferrol N (2014) Genome-wide analysis of copper, iron and zinc transporters in the arbuscular mycorrhizal fungus Rhizophagus irregularis. Front Plant Sci 14(5):547. doi: 10.3389/fpls.2014.00547 Google Scholar
  58. Tisserant E, Kohler A, Dozolme-Seddas P, Balestrini R, Benabdellah K, Colard A, Croll D, Da Silva C, Gomez SK, Koul R, Ferrol N, Fiorilli V, Formey D, Franken P, Helber N, Hijri M, Lanfranco L, Lindquist E, Liu Y, Malbreil M, Morin E, Poulain J, Shapiro H, van Tuinen D, Waschke A, Azcón-Aguilar C, Bécard G, Bonfante P, Harrison MJ, Küster H, Lammers P, Paszkowski U, Requena N, Rensing SA, Roux C, Sanders IR, Shachar-Hill Y, Tuskan G, Young JP, Gianinazzi-Pearson V, Martin F (2012) The transcriptome of the arbuscular mycorrhizal fungus Glomus intraradices (DAOM 197198) reveals functional tradeoffs in an obligate symbiont. New Phytol 193:755–769. doi: 10.1111/j.1469-8137.2011.03948.x CrossRefPubMedGoogle Scholar
  59. Tisserant E, Malbreil M, Kuo A, Kohler A, Symeonidi A, Balestrini R, Charron P, Duensing N, Frei dit Frey N, Gianinazzi-Pearson V, Gilbert LB, Handa Y, Herr JR, Hijri M, Koul R, Kawaguchi M, Krajinski F, Lammers PJ, Masclaux FG, Murat C, Morin E, Ndikumana S, Pagni M, Petitpierre D, Requena N, Rosikiewicz P, Riley R, Saito K, San Clemente H, Shapiro H, van Tuinen D, Bécard G, Bonfante P, Paszkowski U, Shachar-Hill YY, Tuskan GA, Young JP, Sanders IR, Henrissat B, Rensing SA, Grigoriev IV, Corradi N, Roux C, Martin F (2013) Genome of an arbuscular mycorrhizal fungus provides insight into the oldest plant symbiosis. Proc Natl Acad Sci U S A 110:20117–20122. doi: 10.1073/pnas.1313452110 CrossRefPubMedPubMedCentralGoogle Scholar
  60. Tollot M, Wong Sak Hoi J, van Tuinen D, Arnould C, Chatagnier O, Dumas B, Gianinazzi-Pearson V, Seddas PM (2009) An STE12 gene identified in the mycorrhizal fungus Glomus intraradices restores infectivity of a hemibiotrophic plant pathogen. New Phytol 181:693–707. doi: 10.1111/j.1469-8137.2008.02696.x CrossRefPubMedGoogle Scholar
  61. Trouvelot A, Kough J, Gianinazzi-Pearson V (1986) Evaluation of VA infection levels in root systems. Research for estimation methods having a functional significance, In: Gianinazzi-Pearson V, Gianinazzi S (eds) Physiological and Genetical Aspects of Mycorrhizae. INRA Press, France, p 217–221Google Scholar
  62. Villarreal-Ruiz L, Anderson IC, Alexander IJ (2004) Interaction between an isolate from the Hymenoscyphus ericae aggregate and roots of Pinus and Vaccinium. New Phytol 164:183–192. doi: 10.1111/j.1469-8137.2004.01167.x CrossRefGoogle Scholar
  63. Young JPW (2015) Genome diversity in arbuscular mycorrhizal fungi. Curr Opin Plant Biol 23:113–119. doi: 10.1016/j.pbi.2015.06.005 CrossRefGoogle Scholar

Copyright information

© Springer-Verlag Berlin Heidelberg 2016

Authors and Affiliations

  • Valentina Fiorilli
    • 1
  • Simone Belmondo
    • 1
  • Hassine Radhouane Khouja
    • 1
  • Simona Abbà
    • 2
  • Antonella Faccio
    • 2
  • Stefania Daghino
    • 1
  • Luisa Lanfranco
    • 1
  1. 1.Department of Life Science and Systems BiologyUniversity of TorinoTorinoItaly
  2. 2.Institute for Sustainable Plant Protection (IPSP)CNRTorinoItaly

Personalised recommendations