Pros and cons of the gasless laparoscopic transhiatal esophagectomy for upper esophageal carcinoma
- 725 Downloads
Abstract
Background
Controversies on how to treat upper esophageal carcinoma have existed for several decades. With the application of minimally invasive techniques, surgical treatment to upper esophageal carcinoma tends to show more advantages and attract more patients. Up to now, most hospitals adopted the combined thoracoscopic and laparoscopic esophagectomy (CTLE) as the way of minimally invasive surgery for upper esophageal carcinoma. But CTLE to treat upper esophageal carcinoma has its drawbacks, such as demanding certain pulmonary function and severe postoperative regurgitation. In 2011, we developed the gasless laparoscopic transhiatal esophagectomy (LTE) to treat upper esophageal carcinoma, which showed some advantages. The aim of this article was to compare LTE with CTLE in treating upper thoracic or cervical esophageal carcinoma and assess the value of LTE.
Methods
From 2009 to 2014, esophagectomy has been performed by the introduction of minimally invasive surgery in a total of 83 patients with upper thoracic or cervical esophageal carcinoma. Among these patients, LTE was performed in 27 cases (Group 1), while CTLE was performed in the other 56 (Group 2). Neoadjuvant chemotherapy was done in patients of Group 1.
Results
There were no operation-related deaths and conversion to open procedure. There was no significant difference in postoperative complications, ventilation time, ICU stay, hospital stay, and anastomotic leak rates between the two groups. But LTE was associated with shorter operative time and less intraoperative blood loss. In Group 2, 21 (37.5 %) patients had postoperative pulmonary complications, while in Group 1, there were 6 (22.2 %) patients having pulmonary complications at least one time. Results of 24-h pH monitoring and manometry showed that postoperative laryngo-pharyngeal reflux (PLPR) was more severe in Group 2 patients than in Group 1; for Group 1, PLPR mainly occurred on sleep stage, while for Group 2, PLPR might exist all the day with short intervals and last longer at night. The median overall survival was 27.2 months after CTLE and 30.8 months after LTE (P = 0.962). There was no significant difference in survival at 2, 3 and 4 years between the two groups.
Conclusions
Compared with CTLE, LTE is a more minimally invasive approach to effectively treat patients with upper esophageal carcinoma. Laryngo-pharyngeal reflux after LTE was less severe than that after CTLE, which might lower incidence of pulmonary complications. For the elderly patients, LTE seems more suitable.
Keywords
Minimally invasive esophagectomies Upper esophageal carcinoma Outcome Laryngo-pharyngeal refluxControversies on how to treat upper esophageal carcinoma have existed for several decades. Some experts believed that surgery and radiotherapy to upper esophageal carcinoma could lead to equivalent results, and both of them had pros and cons [1, 2, 3, 4, 5, 6, 7]. Radiotherapy had lower rates of morbidity and mortality [1, 2, 3, 4], while surgery might result in long-term outcome [5, 6, 7]. But with the application of minimally invasive techniques, surgical treatment to upper esophageal carcinoma tends to show more advantages and attract more patients [8, 9]. Up to now, most hospitals adopted the combined thoracoscopic and laparoscopic esophagectomy (CTLE) as the way of minimally invasive surgery for upper esophageal carcinoma. But CTLE to treat upper esophageal carcinoma has its drawbacks, such as demanding certain pulmonary function and severe postoperative regurgitation [8, 10, 11, 12]. In 2011, the gasless laparoscopic transhiatal esophagectomy (LTE) to treat upper esophageal carcinoma was developed in our department, which showed some advantages. It could be performed for the elderly or patients with severe preoperative pulmonary dysfunction. The aim of this article was to compare LTE with CTLE in treating upper thoracic or cervical esophageal carcinoma and assess the value of LTE.
Materials and methods
Characteristics of patients with upper esophageal cancer undergoing LTE or CTLE
| Group 1 (27 cases) | Group 2 (56 cases) | |
|---|---|---|
| Sex | ||
| Male | 21 | 43 |
| Female | 6 | 13 |
| Median age (range) | 72 (47–89) | 61 (41–78) |
| Tumor site | ||
| Cervical esophagus | 19 | 31 |
| Upper thoracic esophagus. | 8 | 25 |
| Stage | ||
| I | 6 | 9 |
| II | 9 | 32 |
| III | 12 | 15 |
| Mean operative time (minute) | 131 ± 29 | 175 ± 15 |
| Intraoperative blood loss (ml) | 189 ± 52 | 336 ± 87 |
| Histologic type | Squamous cell carcinoma | Squamous cell carcinoma |
| No. of lymph nodes dissected | 7 (3–18) | 18 (11–26) |
| Ventilation time—days (range) | 1 (0–5) | 2 (0–6) |
| ICU stay—days (range) | 1 (0–6) | 2 (0–7) |
| Hospital stay—days (range) | 12 (11–27) | 13 (11–33) |
Upper esophageal carcinoma with local advance downstaged effectively after neoadjuvant chemotherapy (the right picture was taken before neoadjuvant chemotherapy; the left one after neoadjuvant chemotherapy)
Endoscopy with biopsy was performed before surgery and histologic examination confirmed that all were squamous cell carcinoma. Computed tomography (CT scan), ultrasonography, barium esophagram and bronchoscopy were routinely undertaken on all patients to stage preoperatively and confirm the absence of contra-indications for thoracoscopy and laparoscopy. Endoscopic ultrasound (EUS) was done to obtain accurate locoregional staging in 56.6 % patients, and positron emission tomography scan (PET) data were obtained in 34.9 % patients. But 7 patients could not afford the costs of EUS or PET, so we had to rely on CT to judge the tumor stage.
The study was approved by the Human Research Ethics Board of Beijing Tongren Hospital, Capital Medical University, and Cancer Institute and Hospital, Chinese Academy of Medical Sciences. Patients were warned in regard to the potential risks prior to surgery and signed consent forms if they agreed to undergo esophagectomy by minimally invasive techniques.
Follow-up
Patients with upper thoracic or cervical esophageal carcinoma received adjuvant chemotherapy after LTE or CTLE. All patients were followed up at the outpatient clinic for the first 3 months after surgery, and then in intervals of 6 months during the postoperative 5 years. In order to objectively measure postoperative reflux, postoperative 24-h pH monitoring and manometry were undertaken and documented between 6 months and 1 year after surgery.
Surgical technique
- 1.
The combined laparoscopic and thoracoscopic technique was performed as Luketich prescribed previously [8].
- 2.
The gasless laparoscopic transhiatal esophagectomy was performed with five upper abdominal laparoscopic incisions and a 4-cm-long left cervical incision.
Isobaric laparoscopy using abdominal wall lifting was established
The left gastric artery and vein could be exposed from the lesser curve view and transected at its origin with the Endo-GIA vascular stapler. A 5-cm-wide gastric tube was constructed by firing a linear stapler 3–4 times along the greater curve of the stomach from the angle at the lesser curve to the top of the fundus.
After left-sided mobilization of the cervical esophagus, the intrathoracic normal esophagus was bluntly resected from the neck to the upper mediastinum.
At the same time, the lower esophagus was transected at the gastro-esophageal junction with the ultrasonic coagulating shears. A cotton tape was sutured to the nasogastric tube and was pulled up through the mediastinal esophagus to the neck. At the transected gastro-esophageal junction, the cotton tape was attached to the distal esophagus by two stitches. A surgeon held traction to the cotton tape and pulled distal esophagus up through the posterior mediastinum to the neck, followed by a Gauze pad to press the periesophageal plane. Meanwhile, the reconstructed gastric tube was stitched to the cotton tape and 3–5 min later was drawn up through the posterior mediastinum to the neck. Esophagogastrostomy was performed in the neck, with cervical lymphadenectomy.
Endpoint
Primary endpoints were as follows: overall survival (OS: defined as the time interval between surgery and all deaths) and postoperative laryngo-pharyngeal reflux (PLPR) (which may affect quality of life).
Secondary endpoints were as follows: the major postoperative morbidity rate (major complications occurring within 30 postoperative days and during follow-up, respectively).
Statistical analyses
Statistical analysis was performed using the Statistical Package for the Social Sciences (SPSS, ver. 13.0). All continuous data are expressed as a mean ± standard deviation. The impact of surgery was estimated in univariate analysis. Comparisons were performed on patients with surgical treatment. Where applicable, Chi-square and Student’s t tests were used; survival was measured from the day of the operation until death or the last follow-up visit. Kaplan–Meier survival curves were used to compare different survival between the two groups. P values less than 0.05 were considered significant.
Results
Comparisons of postoperative complications between the two groups
| Group 1 (27 cases) | Group 2 (56 cases) | P Value | |
|---|---|---|---|
| Complications 1 month after surgery | 7 | 23 | 0.178 |
| Pulmonary complications | 2 | 8 | |
| Anastomotic leakage | 3 | 8 | |
| Cardiac complications | 2 | 7 | |
| Vocal-cord paralysis | 0 | 1 | |
| herniation | 1 | 0 | |
| Wound infection | 1 | 4 | |
| Pulmonary complications 6 months after surgery | 4 | 13 | 0.374 |
| Anastomotic stricture | 4 | 7 | 0.771 |
Disease-free survival curves between patients undergoing LTE and CTLE
Kaplan–Meier curves showing overall survival between patients undergoing LTE and CTLE
All the patients complained about heartburn and regurgitation from time to time after surgery. Major complications more than 6 months after surgery were pneumonia and anastomotic stricture (Table 2): in Group 1, there were 4 patients having pulmonary complications at least one time and 4 patients experiencing anastomotic stricture, while in Group 2, 13 patients had postoperative pulmonary complications (P = 0.374) and seven had postoperative anastomotic stricture (P = 0.771). Anastomotic stricture was managed successful by anastomotic dilatations.
Multiple comparisons of 24-h pH monitoring and manometry (more than 6 months after surgery) between Group 1 and Group 2: \((\bar{x} \pm s)\)
| Group 1 (21 cases) | Group 2 (45 cases) | P value | |
|---|---|---|---|
| Total number of reflux events (pH < 4) | 15.33 ± 2.82 | 28.76 ± 4.57 | 0.001 |
| Number of reflux episodes (lasting > 5 min) | 5.19 ± 1.57 | 15.07 ± 1.85 | 0.000 |
| The reflux time | 2.28 ± 0.59 | 5.02 ± 0.50 | 0.000 |
| The longest episode of reflux (min) | 29.50 ± 4.83 | 22.51 ± 3.09 | 0.001 |
| UESP (mm Hg) | 12.34 ± 1.35 | 11.97 ± 1.00 | 0.217 |
| UESL (cm) | 1.88 ± 0.46 | 1.75 ± 0.34 | 0.227 |
Comparison of postoperative 24-h pH monitoring 6 months after CTLE or LTE
Discussion
Up to now, esophagectomy with curative intent has been regarded as the most effective treatment for early-stage esophageal carcinoma [5, 6, 7]. Conventional approaches, involving laparotomy and/or thoracotomy, are associated with high incidence of morbidities, which delay the recovery. Especially for upper esophageal carcinoma, cervicothoracoabdominal esophagectomy is one of the most complex surgical procedures with great trauma, making some surgeons and patients dismay.
A great improvement in esophagectomy is the application of minimally invasive techniques. Since Swanstrom and Hansen introduced their experience on a completely laparoscopic approach to esophageal cancer in 1997 [13], the application of minimally invasive surgery for esophageal cancer has become rapidly widespread in recent years.
CTLE has been performed in our department in 2009, and it showed significant advantages over open procedure in mortality and morbidity as other studies reported [14]. Due to the use of advanced instruments, current minimally invasive esophagectomies hold normal laparoscopic or thoracoscopic advantages. Both CTLE and LTE were associated with short period of ICU and hospital stay, relatively quick recovery, small incisions, and so on.
But in recent years, the aging demographics and the growing number of the elderly patients with upper esophageal carcinoma were becoming surgical problems we faced. Could we develop other minimally invasive techniques for upper esophageal carcinoma to decrease early postoperative risk? Can we develop some kind of more minimally invasive esophagectomy which the elderly or patients with severe preoperative pulmonary dysfunction could withstand? Would neoadjuvant chemotherapy be helpful to improve long-term outcome of minimally invasive esophagectomy without formal lymphadenectomy? Based on the questions mentioned above, the gasless laparoscopic transhiatal esophagectomy was developed.
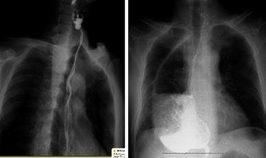
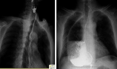
Barium esophagram showed that the constructed gastric tube was limited in the posterior mediastinum 6 months after LTE (left), while it might expand in the right plural cavity 6 months after CTLE (right)
For a long period of time, the transhiatal esophagectomy has been regarded as a controversial procedure because of failure to do extensive lymphadenectomy. In order to try to decrease the possible influence of inadequate lymph-node dissection, patients undergoing LTE in this study received neoadjuvant and adjuvant chemotherapy. It is uncertain whether neoadjuvant chemotherapy followed by esophagectomy might lead to greater long-term survival [17, 18, 19]. But survival analysis by Kaplan–Meier’s method demonstrated that overall survival and disease-free survival in Group 1 seem to be similar to those in Group 2. The median overall survival of Group 1 and Group 2 reached up to 30.8 and 27.2 months, respectively (P = 0.962). Furthermore, neoadjuvant chemotherapy effectively downstaging esophageal carcinoma with local advance was observed in 11 cases. Downstaging these tumors made them more resectable.
In conclusion, compared with CTLE, LTE is a more minimally invasive approach to effectively treat patients with upper esophageal carcinoma. Laryngo-pharyngeal reflux after LTE was less severe than that after CTLE, which might lower incidence of pulmonary complications. For the elderly patients, LTE seems more suitable.
Notes
Acknowledgments
Dr. Ji-xiang Wu, Dr. Lei Yu and Dr. Yu-shun Gao had full access to all of the data in the study and took responsibility for the integrity of the data and the accuracy of the data analysis. Dr. Ji-xiang Wu, Dr. Lei Yu, Dr. Yu-shun Gao and Dr. Jian-ye Li contributed substantially to the study design; Dr. Yun-feng Zhang and Dr. Ji Ke contributed mainly to data analysis and interpretation; Dr. Lei Yu and Dr. Ji-xiang Wu contributed to the writing of the manuscript. This article was corrected by Dr. Frank C. Detterbeck, Chief of the Division of Thoracic Surgery, Yale University School of Medicine.
Compliance with ethical standards
Disclosures
Drs. Lei Yu, Ji-xiang Wu, Yu-shun Gao, Jian-ye Li, Yun-feng Zhang and Ji Ke have no conflicts of interest or financial ties to disclose.
References
- 1.Ma JB, Song YP, Yu JM et al (2011) Feasibility of involved-field conformal radiotherapy for cervical and upper-thoracic esophageal cancer. Onkologie 34(11):599–604CrossRefPubMedGoogle Scholar
- 2.Chou SH, Li HP, Lee JY et al (2010) Radical resection or chemoradiotherapy for cervical esophageal cancer? World J Surg 34(8):1832–1839CrossRefPubMedGoogle Scholar
- 3.Yamada K, Murakami M, Okamoto Y et al (2006) Treatment results of radiotherapy for carcinoma of the cervical esophagus. Acta Oncol 45(8):1120–1125CrossRefPubMedGoogle Scholar
- 4.Mendenhall WM, Sombeck MD, Parsons JT et al (1994) Management of cervical esophageal carcinoma. Semin Radiat Oncol 4(3):179–191CrossRefPubMedGoogle Scholar
- 5.Tong DK, Law S, Kwong DL et al (2011) Current management of cervical esophageal cancer. World J Surg 35(3):600–607CrossRefPubMedGoogle Scholar
- 6.Lei D, Pan X, Luan X et al (2002) Surgical management of cervical esophageal carcinoma. Zhonghua Er Bi Yan Hou Ke Za Zhi 37(2):86–89PubMedGoogle Scholar
- 7.Wang WG, Li JD, Qi JX et al (2008) Experience of surgical treatment for cervical esophageal carcinoma. Zhonghua Wei Chang Wai Ke Za Zhi 11(1):19–23PubMedGoogle Scholar
- 8.Luketich JD, Alvelo-Rivera M, Buenaventura PO, Christie NA et al (2003) Minimally invasive esophagectomy: outcomes in 222 patients. Ann Surg 238(4):486–494PubMedPubMedCentralGoogle Scholar
- 9.Briez N, Piessen G, Bonnetain F et al (2011) Open versus laparoscopically-assisted oesophagectomy for cancer: a multicentre randomised controlled phase III trial—the MIRO trial. BMC Cancer 11:310CrossRefPubMedPubMedCentralGoogle Scholar
- 10.Gockel I, Heckhoff S, Messow CM, Kneist W, Junginger T (2005) Transhiatal and transthoracic resection in adenocarcinoma of the esophagus: does the operative approach have an influence on the long-term prognosis? World J Surg Oncol 3:40CrossRefPubMedPubMedCentralGoogle Scholar
- 11.Hulscher JB, van Sandick JW, de Boer AG et al (2002) Extended transthoracic resection compared with limited transhiatal resection for adenocarcinoma of the esophagus. N Engl J Med 347:1662–1669CrossRefPubMedGoogle Scholar
- 12.Law S, Wong J (2002) Use of minimally invasive oesophagectomy for cancer of the oesophagus. Lancet Oncol 3:215–222CrossRefPubMedGoogle Scholar
- 13.Swanstrom LL, Hansen P (1997) Laparoscopic total esophagectomy. Arch Surg 132:943–947CrossRefPubMedGoogle Scholar
- 14.Sundaram A, Geronimo JC, Willer BL, Hoshino M, Torgersen Z, Juhasz A et al (2012) Survival and quality of life after minimally invasive esophagectomy: a single-surgeon experience. Surg Endosc 26:168–176CrossRefPubMedGoogle Scholar
- 15.Tapias Luis F, Muniappan Ashok, Wright Cameron D et al (2013) Short and long-term outcomes after esophagectomy for cancer in elderly patients. Ann Thorac Surg 95:1741–1748CrossRefPubMedPubMedCentralGoogle Scholar
- 16.Koh P, Turnbull G, Attia E, LeBrun P, Casson AG (2004) Functional assessment of the cervical esophagus after gastric transposition and cervicalesophagogastrostomy. Eur J Cardiothorac Surg 25(4):480–485CrossRefPubMedGoogle Scholar
- 17.Suzuki G, Yamazaki H, Ogo E et al (2014) Multimodal approach for cervical esophageal carcinoma: role of neoadjuvant chemotherapy. Anticancer Res 34(4):1989–1992PubMedGoogle Scholar
- 18.Warner S, Chang YH, Paripati H et al (2014) Outcomes of minimally invasive esophagectomy in esophageal cancer after neoadjuvant chemoradiotherapy. Ann Thorac Surg 97(2):439–445CrossRefPubMedGoogle Scholar
- 19.Malaisrie SC, Untch B, Aranha GV et al (2004) Neoadjuvant chemoradiotherapy for locally advanced esophageal cancer: experience at a single institution. Arch Surg 139(5):532–538CrossRefPubMedGoogle Scholar
Copyright information
Open AccessThis article is distributed under the terms of the Creative Commons Attribution 4.0 International License (http://creativecommons.org/licenses/by/4.0/), which permits unrestricted use, distribution, and reproduction in any medium, provided you give appropriate credit to the original author(s) and the source, provide a link to the Creative Commons license, and indicate if changes were made.





