Cell and Tissue Research

, Volume 351, Issue 3, pp 453–464 | Cite as

Effects of dietary fish oil and corn oil on rat mammary tissue

  • Serge Delpal
  • Alain Pauloin
  • Catherine Hue-Beauvais
  • Valérie Berthelot
  • Philippe Schmidely
  • Michèle Ollivier-Bousquet
Regular Article

Abstract

The effects, on the maternal mammary gland, of diets containing similar lipid percentages but differing in composition of polyunsaturated fatty acids (PUFA) have been assessed in rats during pregnancy and lactation. For this purpose, tuna fish oil (an n-3-PUFA-enriched oil) and corn oil (an n-6-PUFA-enriched oil) were included in diets at ratios such that the caloric inputs were the same as that of the control diet. As expected, the maternal diet affected the tissue composition of dams. Unexpectedly, only the tuna fish oil diet had an effect on pup growth, being associated with the pups being underweight between the ages of 11 and 21 days. The maternal mammary gland of rats fed the tuna fish oil diet displayed two main modifications: the size of cytoplasmic lipid droplets was increased when compared with those in control rats and the mammary epithelium showed an unusual formation of multilayers of cells. These results show that the tuna fish oil diet, during pregnancy and lactation, exerts specific effects on mammary cells and on the formation of lipid droplets. They suggest that this maternal diet affects the functioning of the mammary tissue.

Keywords

Mammary tissue Lactation Polyunsaturated fatty acid Lipid droplet Rat (Wistar) 

Notes

Acknowledgements

The authors are grateful to P. Dahirel and C. Maudet for their care of the animals, to S. Citerne and E. Bouguyon for technical assistance, to M.-E. Marmillod for secretarial assistance and to B. Nicolas and M. Weber for their contributions to the preparation of digital files.

Supplementary material

441_2012_1523_Fig7_ESM.jpg (171 kb)
Fig. S1

Effects of diet on Glut-1 levels detected in mammary tissue from lactating rats. Top Densitometric measurements (right) of the band detected by immunoblotting analysis (left), normalised to β-actin, from three animals (means ± SEM) showed that the values did not differ between control, n-3 and n-6 rats. a Immunofluorescence analysis of Glut-1 in mammary gland sections from control rats. Glut-1 was localised at the base of acini (arrows). Nuclei (stained with DAPI) appear as round green structures around the lumen (star. b Immunofluoresence analysis of Glut-1 in mammary gland sections from n-3 rats. Glut-1 was localised at the base of acini (arrow). Nuclei (stained with DAPI) are present around the lumen (star) and also cluster (arrowhead) within the lumen. c Immunofluorescence analysis of Glut-1 in mammary sections from n-6 rats. Glut-1 was localised at the base of acini. Nuclei were not stained in this preparation (star lumen). Bar 20 μm. (JPEG 170 kb)

441_2012_1523_MOESM3_ESM.tif (2.3 mb)
High resolution image (TIFF 2308 kb)
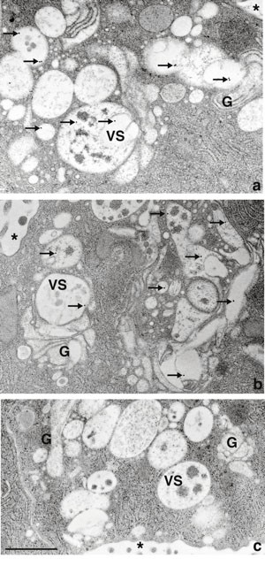
441_2012_1523_Fig8_ESM.jpg (92 kb)
Fig. S2

Localisation of Glut-1 in the Golgi region of mammary epithelial cells (star lumen). Glut-1 localises in secretory vesicles (VS) close to Golgi saccules (G) in mammary cells from control (a) and n-3 (b) lactating rats (arrows). Sections treated for immunogold electron microscopy with the omission of the primary antibody are not stained (c). Bar 0.5 μm. (JPEG 91 kb)

441_2012_1523_MOESM4_ESM.tif (753 kb)
High resolution image (TIFF 753 kb)
441_2012_1523_Fig9_ESM.jpg (60 kb)
Fig. S3

Localisation of cytochrome C in cells forming the multilayer sheet in the mammary tissue of lactating n-3 rats. Cytochrome C is localised within the mitochondria in close proximity to the mitochondrial membrane (arrows). Bar 0.3 μm (d). (JPEG 59 kb)

441_2012_1523_MOESM5_ESM.tif (377 kb)
High resolution image (TIFF 377 kb)
441_2012_1523_MOESM1_ESM.doc (50 kb)
ESM 1 (DOC 50 kb)
441_2012_1523_MOESM2_ESM.doc (44 kb)
ESM 2 (DOC 44 kb)

References

  1. Angermüller S, Fahimi HD (1982) Imidazole-buffered osmium tetroxide: an excellent stain for visualization of lipids in transmission electron microscopy. Histochem J 14:823–835PubMedCrossRefGoogle Scholar
  2. Berthelot V, Bas P, Schmidely P (2010) Utilization of extruded linseed to modify fatty composition of intensively-reared lamb meat: effect of associated cereals (wheat vs. corn) and linoleic acid content of the diet. Meat Sci 84:114–124PubMedCrossRefGoogle Scholar
  3. Camps M, Villaro S, X T, Palacin M, Zorzano A (1994) High and polarized expression of Glut1 glucose transporters in epithelial cells from mammary gland: acute down-regulation of Glut1 carriers by weaning. Endocrinology 134:924–934PubMedCrossRefGoogle Scholar
  4. Castino R, Delpal S, Bouguyon E, Demoz M, Isidoro C, Ollivier-Bousquet M (2008) Prolactin promotes the secretion of active cathepsin D at the basal side of rat mammary acini. Endocrinology 149:4095–4105PubMedCrossRefGoogle Scholar
  5. Church MW, Jen KLC, Anumba JI, Jackson DA, Adams BR, Hotra JW (2009) Excess omega-3 fatty acids consumption by mothers during pregnancy and lactation caused shorter life span and abnormal ABRs in old adult offspring. Neurotoxicol Teratol 32:171–181PubMedCrossRefGoogle Scholar
  6. de Andrade PVD, Schmidely P (2006) Effect of duodenal infusion of trans10, cis12-CLA on milk performance and milk fatty acid profile in dairy goats fed high or low concentrate diet in combination with roller canola seed. Reprod Nutr Dev 46:31–48PubMedCrossRefGoogle Scholar
  7. Haubner LY, Stockards JE, Saste MD, Benford VJ, Phelps CP, Chen LT, Barness L, Wiener D, Carver JD (2002) Maternal dietary docosahexanoic acid content affects the rat pup auditory system. Brain Res Bull 58:1–5PubMedCrossRefGoogle Scholar
  8. Heid HW, Schnölzer M, Keenan W (1996) Adipocyte differentiation-related protein is secreted into milk as a constituent of milk lipid globule membrane. Biochem J 320:1025–1030PubMedGoogle Scholar
  9. Jen KLC, Church MW, Wang C, Moghaddam M, Dowhan L, Laja F, Sherman J (2009) Perinatal n-3 fatty acid imbalance affects fatty acid composition in rat offspring. Physiol Behav 98:17–24PubMedCrossRefGoogle Scholar
  10. Keenan TW (2001) Milk lipid globules and their surrounding membranes: a brief history and perspectives for future research. J Mammary Gland Biol Neoplasia 6:365–371PubMedCrossRefGoogle Scholar
  11. Lauritzen L, Jorgensen MH, Olsen SF, Straarup EM, Michaelsen KF (2005) Maternal fish oil supplementation in lactation: effect on developmental outcome in breast-fed infants. Reprod Nutr Dev 45:535–547PubMedCrossRefGoogle Scholar
  12. Liu YE, Pu W, Wang J, Kang JX, Shi YE (2007) Activation of Stat5 and induction of a pregnancy-like mammary gland differentiation by eicosapentaenoic and docosapentaenoic omega-3 fatty acids. FEBS J 274:3351–3362PubMedCrossRefGoogle Scholar
  13. Lkhider M, Petridou B, Aubourg A, Ollivier-Bousquet M (2001) Prolactin signalling to milk protein secretion but not to gene expression depends on the integrity of the Golgi region. J Cell Sci 114:1883–1891PubMedGoogle Scholar
  14. Lkhider M, Castino R, Bouguyon E, Isidoro C, Ollivier-Bousquet M (2004) Cathepsin D released by lactating rat mammary epithelial cells is involved in prolactin cleavage under physiological conditions. J Cell Sci 117:5155–5164PubMedCrossRefGoogle Scholar
  15. MacLean CH, Newberry SJ, Mojica WA, Khanna P, Issa AM, Suttorp MJ, Lim YW, Traina SB, Hilton L, Garland R, Morton SC (2006) Effects of omega-3 fatty acids on cancer risk: a systematic review. J Am Med Assoc 295:403–414CrossRefGoogle Scholar
  16. Monks J, Smith-Steinhart C, Kruk ER, Fadok VA, Henson PM (2008) Epithelial cells remove apoptotic epithelial cells during post-lactation involution of the mouse mammary gland. Biol Reprod 78:586–594PubMedCrossRefGoogle Scholar
  17. Ollivier-Bousquet M (2002) Milk lipid and protein traffic in mammary epithelial cells: joint and independent pathways. Reprod Nutr Dev 42:149–162PubMedCrossRefGoogle Scholar
  18. Ollivier-Bousquet M, Guesnet P, Seddiki T, Durand G (1993) Deficiency of (n-6) but not (n-3) polyunsaturated fatty acids inhibits the secretagogue effect of prolactin in lactating rat mammary epithelial cells. J Nutr 123:2090–2100PubMedGoogle Scholar
  19. Ollivier-Bousquet M, Lavialle F, Guesnet P, Rainteau D, Durand G (1997) Lipid-depleted diet perturbs membrane composition and intracellular transport in lactating mammary cells. J Lipid Res 38:913–925PubMedGoogle Scholar
  20. Olsen S, Secher NA (1990) A possible preventive effect of low-dose of fish oil on early delivery and pre-eclampsia: indications from a 50-year-old controlled trial. Br J Nutr 64:599–609PubMedCrossRefGoogle Scholar
  21. Olsen S, Secher N (2002) Low consumption of seafood in early pregnancy as a risk factor for protein delivery: prospective cohort study. Br Med J 324:1–5CrossRefGoogle Scholar
  22. Olsen S, Sorensen J, Secher N, Hedegaard M, Henriksen TB, Hansen HS, Grant A (1992) Randomised controlled trial of effect of fish oil supplementation on pregnancy duration. Lancet 339:1003–1007PubMedCrossRefGoogle Scholar
  23. Pauloin A, Chat S, Péchoux C, Hue-Beauvais C, Droineau S, Galio L, Devinoy E, Chanat E (2010) Oleate and linoleate stimulate the degradation of α-casein in prolactin-treated HC11 mouse mammary epithelial cells. Cell Tissue Res 340:91–102PubMedCrossRefGoogle Scholar
  24. Pecorini C, Delpal S, Truchet S, Le Provost F, Baldi A, Ollivier-Bousquet M (2009) Lactoferrin at basal side of mouse mammary epithelium derives in part from stroma cells. Cell Tissue Res 338:241–255PubMedCrossRefGoogle Scholar
  25. Russel TD, Palmer CA, Orlicky DJ, Fischer A, Rudolph MC, Neville MC, McManaman JL (2007) Cytoplasmic lipid droplet accumulation in developing mammary epithelial cells: roles of adipophilin and lipid metabolism. J Lipid Res 48:1463–1475CrossRefGoogle Scholar
  26. Saste MD, Carver JD, Stockard JE, Benford VJ, Chen LT, Phelps CP (1998) Maternal diet fatty acid composition affects neurodevelopment in rat pups. J Nutr 128:740–743PubMedGoogle Scholar
  27. Scott DT, Janowsky JS, Carroll RE, Taylor JA, Auestad N, Montalto MB (1998) Formula supplementation with long-chain polyunsaturated fatty acids: are there developmental benefits? Pediatrics 102:E59PubMedCrossRefGoogle Scholar
  28. Snedecor GW (1959) Statistical methods, 5th edn. Iowa State College Press, AmesGoogle Scholar
  29. Thorsdottir I, Birgisdottir B, Hallsdottir S, Geirrson R (2004) Association of fish and fish liver oil intake in pregnancy with infant size at birth among women of normal weight before pregnancy in a fishing community. Am J Epidemiol 160:460–465PubMedCrossRefGoogle Scholar
  30. Wainwright P, Jalali E, Mutsaers L, Bell R, Cvitkovic S (1999) An imbalance of dietary essential fatty acids retards behaviour development in mice. Physiol Behav 66:833–839PubMedCrossRefGoogle Scholar

Copyright information

© Springer-Verlag Berlin Heidelberg 2012

Authors and Affiliations

  • Serge Delpal
    • 1
  • Alain Pauloin
    • 2
  • Catherine Hue-Beauvais
    • 2
  • Valérie Berthelot
    • 3
  • Philippe Schmidely
    • 3
  • Michèle Ollivier-Bousquet
    • 2
  1. 1.INRA, UR0909 Nutrition et Régulation Lipidique des Fonctions CérébralesJouy-en-Josas cedexFrance
  2. 2.UR1196 Génomique et Physiologie de la LactationJouy-en-Josas cedexFrance
  3. 3.UMR INRA-AgroParisTech 791 Physiologie de la Nutrition et AlimentationParis cedex 05France

Personalised recommendations