Intradural prepontine chordoma in an 11-year-old boy. A case report
Abstract
Case report
The authors report a case of an 11-year-old boy that presented with headache and vomiting that was present for several months. CT and MR imaging revealed a large prepontine mass and an obstructive hydrocephalus. A ventriculoperitoneal shunt was inserted, and in a second operation, a radiologically proven total resection was performed, using a left frontotemporal transsylvian approach. The tumour showed no involvement of the dura or clivus. Histological examination showed the characteristics of a chordoma. No further adjuvant treatment was given. The patient remained disease or tumour free after a 6-year follow-up.
Discussion
Intradural chordomas are extremely rare tumours that originate from notochordal remnants. Only three other cases have been reported in the paediatric population. Ecchordosis physaliphora (EP) is an ectopic notochordal remnant that has a similar biological behaviour and is difficult to distinguish from intradural chordomas. They might exist in a continuum from benign notochordal tumour to malignant chordoma. A surgical resection without adjuvant radiation therapy is suggested to be the treatment of choice in the paediatric population.
Conclusion
The authors describe a rare case of an intradural prepontine chordoma in an 11-year-old boy that stayed disease free after a 6-year follow-up.
Keywords
Chordoma Intradural Prepontine PaediatricIntroduction
Chordomas are rare, slow-growing tumours accounting for 1–4 % of all primary malignant bone tumours [11]. They usually occur in adults with a peak incidence between 50 and 60 years of age [16]. The incidence in children and adolescents is less than 5 % of the total incidence [4]. Chordomas are thought to arise from notochordal remnants throughout the axial skeleton and are most commonly located in the skull base, mobile spine and sacrum at an almost equal distribution [16]. Although intradural localization of chordomas is rare, several cases have been reported in the literature. However, most of the reported cases have occurred in adults and only three cases of a pure intradural chordoma in a paediatric patient have been reported [5, 9, 27]. In this report, we present a case of an intradural prepontine chordoma in an 11-year-old boy with a 6-year follow-up and an update of the literature.
Case report
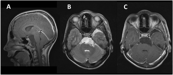
Preoperative MR images. a, b Axial and parasagittal T2-weighted MRI scans showing an inhomogeneous hyperintense prepontine lesion with a mass effect on the brainstem. c, d Axial and parasagittal T1-weighted MRI scan after administration of gadolinium contrast show inhomogeneous enhancement. e Axial T1-weighted MRI scan shows an inhomogeneous hypointense prepontine lesion. f Parasagittal constructive interference steady state (CISS) MRI scan shows an inhomogeneous hyperintense prepontine lesion
Operation
During the first operation, a ventriculoperitoneal shunt was inserted into the right lateral ventricle to treat the hydrocephalus. A careful study of the MRI suggested that this infra- and supratentorially located tumour might be resected through a single approach. A left frontotemporal transsylvian approach was performed to gain access to the tumour. The tumour had well-defined margins and was entirely located in the intradural plane. There were no attachments to the cranial nerves or brainstem. A macroscopic complete resection was performed.
Postoperative course
Postoperative MR images. A complete tumour removal is shown on the a parasagittal T1-weighted sequence, b axial T2-weighted sequence and c axial T1-weighted sequence after administration of gadolinium contrast
Histopathological and immunohistochemical findings
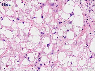
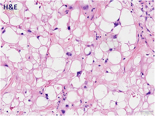
Histopathological imaging. The lesion shows vacuolated tumour cells with a pale cytoplasm and moderate nuclear polymorphism in a chondromyxoid matrix. These findings are a characteristic of chordoma
Discussion
Chordomas are rare primary bone tumours. Despite their low-grade histological characteristics, chordomas often show a malignant disease course [2, 21, 23]. Symptoms usually develop gradually, related to the relatively slow-growing tumour compressing the surrounding structures. However, chordomas can present with acute and progressive clinical symptoms due to intratumoral haemorrhage as well [22]. The extent of initial surgical resection has been shown to be the most important predictor of local tumour recurrence and long-term survival [6, 10, 14, 23].
Reported cases of intradural chordomas in the paediatric population
| Reference | Age (years) | Sex | Location | Resection | RTx | Follow-up | Recurrence |
|---|---|---|---|---|---|---|---|
| Dow et al. (2003) [9] | 9 | F | Right cerebellar hemisphere | Complete | No | 14 months | No |
| Chang et al. (2008) [5] | 9 | M | Right prepontine cistern | Complete | No | 12 months | No |
| Zhang et al. (2010) [27] | 8 | ND | ND | ND | ND | ND | ND |
| This case | 11 | M | Prepontine | Complete | No | 6 years | No |
Intradural chordomas tend to show different biological behaviour compared to classic chordomas. In contrast to classic chordomas, purely intradural chordomas seem to have well-defined tumour margins, do not show bone invasion and are less adhesive to the surrounding structures all of which improves the resectability [20]. This is likely to be a reason for the lower recurrence rate compared to typical chordomas. In the literature, several cases of intradural chordomas are reported in children and adults (for review, see Dow et al. [9] and Masui et al. [15]). None of the reported cases showed tumour recurrence after surgery, even in cases of subtotal resection. In contrast, typical chordomas often show recurrence, metastatic features and progression to death despite adequate surgical resection, which is sometimes followed by adjuvant radiation therapy or chemotherapy [12]. However, AlOtaibi et al. [1] suggest in a recent systematic review that in the adult population, intradural chordomas show a comparable biological behaviour to typical cranial base chordomas.
Chordomas are thought to originate from remnants of the embryological notochord throughout the axial skeleton. Whereas typical chordomas are localised extradurally with possible transdural progression, this pathophysiologic mechanism does not explain a purely intradural localisation of chordomas.
Ecchordosis physaliphora (EP) are ectopic notochordal remnants that are usually asymptomatic. An incidence of 1.5–2 % in autopsy studies and approximately 1.7 % in MRI studies has been found [8, 17, 19]. EPs are typically found in the prepontine cistern, attached to the dorsal clivus with a small pedicle [13, 25]. Other distinctive features are that EPs generally occur in younger people compared to intradural chordomas and that EPs show no enhancement after gadolinium administration on MR imaging, whereas intradural chordomas show a variable enhancement [7, 17]. Although differentiating between symptomatic EPs and intradural chordomas based on histology is difficult and debated, Yamaguchi et al. [26] suggested some histological differentiating features. Symptomatic EPs and intradural chordomas tend to show a similar benign behaviour with a very low risk of tumour recurrence after surgical resection [7]. Chang et al. [5] suggest that EPs and intradural chordomas exist in a continuum from benign hamartomas to aggressive typical chordomas.
Treatment of a classic chordoma involves extensive surgery, sometimes combined with adjuvant radiation therapy [23]. There is not enough data available to postulate an evidence-based treatment for intradural chordomas in the paediatric population. One should consider that all of the reported cases (Table 1) were treated with a complete surgical resection without any adjuvant treatment, and none of these tumours did reoccur. Even cases in adults treated with a subtotal resection without adjuvant therapy did not show tumour recurrence after a 5-year follow-up [18]. Therefore, the role of adjuvant radiation therapy for intradural chordomas is debated. Considering the potential deleterious effect on the paediatric brain, radiation therapy should be avoided in the paediatric population. The authors postulate that a complete surgical resection without adjuvant radiation therapy should be the treatment of choice.
Conclusion
Although extremely rare, an intradural chordoma should be considered in the differential diagnosis of intradural prepontine lesions. The authors postulate that a complete surgical resection without adjuvant radiation therapy is the treatment of choice and that adjuvant radiation therapy should be avoided in the paediatric population. Additional studies are required to improve our knowledge about intradural chordomas and their treatment.
Notes
Disclosure
The authors report no conflicts of interest.
References
- 1.AlOtaibi F, Guiot MC, Muanza T, Di Maio S (2014) Giant petroclival primary intradural chordoma: case report and systematic review of the literature. J Neurol Surg Rep 75:e160–e169. doi: 10.1055/s-0034-1378157 CrossRefPubMedCentralPubMedGoogle Scholar
- 2.Bergh P, Kindblom LG, Gunterberg B, Remotti F, Ryd W, Meis-Kindblom JM (2000) Prognostic factors in chordoma of the sacrum and mobile spine: a study of 39 patients. Cancer 88:2122–2134CrossRefPubMedGoogle Scholar
- 3.Bergmann M, Abdalla Y, Neubauer U, Schildhaus HU, Probst-Cousin S (2010) Primary intradural chordoma: report on three cases and review of the literature. Clin Neuropathol 29:169–176CrossRefPubMedGoogle Scholar
- 4.Borba LA, Al-Mefty O, Mrak RE, Suen J (1996) Cranial chordomas in children and adolescents. J Neurosurg 84:584–591. doi: 10.3171/jns.1996.84.4.0584 CrossRefPubMedGoogle Scholar
- 5.Chang SW, Gore PA, Nakaji P, Rekate HL (2008) Juvenile intradural chordoma: case report. Neurosurgery 62:E525–E526 discussion E527. doi: 10.1227/01.neu.0000316022.74162.00 CrossRefPubMedGoogle Scholar
- 6.Cheng EY, Ozerdemoglu RA, Transfeldt EE, Thompson Jr RC (1999) Lumbosacral chordoma. Prognostic factors and treatment. Spine (Phila Pa 1976) 24:1639–1645CrossRefGoogle Scholar
- 7.Ciarpaglini R, Pasquini E, Mazzatenta D, Ambrosini-Spaltro A, Sciarretta V, Frank G (2009) Intradural clival chordoma and ecchordosis physaliphora: a challenging differential diagnosis: case report. Neurosurgery 64:E387–E388 discussion E388. doi: 10.1227/01.NEU.0000337064.57270.F0 CrossRefPubMedGoogle Scholar
- 8.Congdon CC (1952) Benign and malignant chordomas; a clinico-anatomical study of twenty-two cases. Am J Pathol 28:793–821PubMedCentralPubMedGoogle Scholar
- 9.Dow GR, Robson DK, Jaspan T, Punt JA (2003) Intradural cerebellar chordoma in a child: a case report and review of the literature. Childs Nerv Syst 19:188–191. doi: 10.1007/s00381-002-0707-8 PubMedGoogle Scholar
- 10.Forsyth PA, Cascino TL, Shaw EG, Scheithauer BW, O'Fallon JR, Dozier JC, Piepgras DG (1993) Intracranial chordomas: a clinicopathological and prognostic study of 51 cases. J Neurosurg 78:741–747. doi: 10.3171/jns.1993.78.5.0741 CrossRefPubMedGoogle Scholar
- 11.Healey JH, Lane JM (1989) Chordoma: a critical review of diagnosis and treatment. Orthop Clin N Am 20:417–426Google Scholar
- 12.Kaneko Y, Sato Y, Iwaki T, Shin RW, Tateishi J, Fukui M (1991) Chordoma in early childhood: a clinicopathological study. Neurosurgery 29:442–446CrossRefPubMedGoogle Scholar
- 13.Katayama Y, Tsubokawa T, Hirasawa T, Takahata T, Nemoto N (1991) Intradural extraosseous chordoma in the foramen magnum region. Case report. J Neurosurg 75:976–979. doi: 10.3171/jns.1991.75.6.0976 CrossRefPubMedGoogle Scholar
- 14.Kayani B, Sewell MD, Hanna SA, Saifuddin A, Aston W, Pollock R, Skinner J, Molloy S, Briggs TW (2014) Prognostic factors in the operative management of dedifferentiated sacral chordomas. Neurosurgery. doi: 10.1227/NEU.0000000000000423 PubMedGoogle Scholar
- 15.Masui K, Kawai S, Yonezawa T, Fujimoto K, Nishi N (2006) Intradural retroclival chordoma without bone involvement—case report. Neurol Med Chir 46:552–555CrossRefGoogle Scholar
- 16.McMaster ML, Goldstein AM, Bromley CM, Ishibe N, Parry DM (2001) Chordoma: incidence and survival patterns in the United States, 1973–1995. Cancer Causes Control 12:1–11CrossRefPubMedGoogle Scholar
- 17.Mehnert F, Beschorner R, Kuker W, Hahn U, Nagele T (2004) Retroclival ecchordosis physaliphora: MR imaging and review of the literature. AJNR Am J Neuroradiol 25:1851–1855PubMedGoogle Scholar
- 18.Nishigaya K, Kaneko M, Ohashi Y, Nukui H (1998) Intradural retroclival chordoma without bone involvement: no tumor regrowth 5 years after operation. Case report. J Neurosurg 88:764–768. doi: 10.3171/jns.1998.88.4.0764 CrossRefPubMedGoogle Scholar
- 19.Ribbert H (1904) Geschwulstlehre für Aerzte und Studierende. F. Cohen, BonnGoogle Scholar
- 20.Roberti F, Sekhar LN, Jones RV, Wright DC (2007) Intradural cranial chordoma: a rare presentation of an uncommon tumor. Surgical experience and review of the literature. J Neurosurg 106:270–274. doi: 10.3171/jns.2007.106.2.270 CrossRefPubMedGoogle Scholar
- 21.Schwab JH, Boland PJ, Agaram NP, Socci ND, Guo T, O'Toole GC, Wang X, Ostroumov E, Hunter CJ, Block JA, Doty S, Ferrone S, Healey JH, Antonescu CR (2009) Chordoma and chondrosarcoma gene profile: implications for immunotherapy. Cancer Immunol Immunother 58:339–349. doi: 10.1007/s00262-008-0557-7 CrossRefPubMedCentralPubMedGoogle Scholar
- 22.Uda T, Ohata K, Takami T, Hara M (2006) An intradural skull base chordoma presenting with acute intratumoral hemorrhage. Neurol India 54:306–307CrossRefPubMedGoogle Scholar
- 23.Walcott BP, Nahed BV, Mohyeldin A, Coumans JV, Kahle KT, Ferreira MJ (2012) Chordoma: current concepts, management, and future directions. Lancet Oncol 13:e69–e76. doi: 10.1016/S1470-2045(11)70337-0 CrossRefPubMedGoogle Scholar
- 24.Wang L, Wu Z, Tian K, Li G, Zhang J (2013) Clinical and pathological features of intradural retroclival chordoma. World Neurosurg. doi: 10.1016/j.wneu.2012.12.037 Google Scholar
- 25.Wolfe 3rd JT, Scheithauer BW (1987) “Intradural chordoma” or “giant ecchordosis physaliphora”? Report of two cases. Clin Neuropathol 6:98–103PubMedGoogle Scholar
- 26.Yamaguchi T, Suzuki S, Ishiiwa H, Shimizu K, Ueda Y (2004) Benign notochordal cell tumors: a comparative histological study of benign notochordal cell tumors, classic chordomas, and notochordal vestiges of fetal intervertebral discs. Am J Surg Pathol 28:756–761CrossRefPubMedGoogle Scholar
- 27.Zhang QH, Kong F, Guo HC, Chen G (2010) Nasal endoscopic resection of extended intradural clival chordoma. Zhonghua Er Bi Yan Hou Tou Jing Wai Ke Za Zhi 45:542–546PubMedGoogle Scholar
Copyright information
Open Access This article is distributed under the terms of the Creative Commons Attribution 4.0 International License (http://creativecommons.org/licenses/by/4.0/), which permits unrestricted use, distribution, and reproduction in any medium, provided you give appropriate credit to the original author(s) and the source, provide a link to the Creative Commons license, and indicate if changes were made.


