Kritische Betrachtungen zur Therapie von CMD-Patienten
Critical considerations on the therapy of CMD patients
In der verfügbaren Literatur über CMD-Patienten nimmt die Diagnostik einen nicht unerheblichen Stellenwert ein. Die Therapiemöglichkeiten werden allerdings in vielen Publikationen, wenn überhaupt, nur sehr knapp oder nur unzureichend dargestellt. So komplex die Ursachen für die Entstehung eines CMD-Syndroms auch sind, wie in Anlehnung an Lauritzen in Abb. 1 dargestellt, so vielfältig gestalten sich auch die Behandlungsmöglichkeiten.
Ursachen des CMD-Syndroms in Anlehnung an Lauritzen
Primär fühlen wir uns als Zahnärzte für die Beseitigung von Früh- und Balancekontakten oder die Korrektur einer falschen Zuordnung des Unterkiefers zum Oberkiefer zuständig. Bei näherer Betrachtungsweise offenbart sich dem erfahrenen Behandler, dass zwischen den Kreisen eine gewisse Interdependenz besteht. Störungen der Okklusion führen erst über einen gewissen Zeitraum zur Ausbildung eines CMD-Syndroms. Prädisponierende Faktoren, wie berufsbedingte und angeborene Haltungsprobleme sowie Okklusionsstörungen, kann der Organismus erstaunlicherweise über einen „längeren“ Zeitraum kompensieren. Stressfaktoren, beispielsweise eine zahnärztliche Behandlung, eine physische und/oder emotionale Belastung, lassen das labile Gleichgewicht kippen und es kommt zur Ausbildung eines CMD-Syndroms.
Zahnärztliche Funktionsanalytik (FAL) und Funktionstherapie (FTL) – warum?
Vielen Kolleginnen und Kollegen drängt sich die Frage auf, ob all dieser zeitliche und finanzielle Aufwand für FAL/FTL notwendig ist, wenn doch letztlich alles in der Anfertigung eines Aufbissbehelfes (Schiene) endet? Diese Frage lässt sich nicht mit einem eindeutigen Ja oder Nein beantworten.
Ein CMD-Patient, der einer Kiefergelenkoperation zugeführt werden muss, bedarf sicherlich einer aufwendigeren, sorgfältigeren Diagnostik (CT, DVT, MRT, Axiographie etc.) zur Planung des Eingriffes. Andererseits erscheint manche diagnostische Maßnahme für den „normalen“ CMD-Patienten übertrieben.
Aus Unsicherheit oder Unerfahrenheit heraus wird heute – wie in vielen Bereichen der Medizin, so auch in der Zahnmedizin – der diagnostische Aufwand übertrieben. Das geht zulasten manch sinnvoller interdisziplinärer Zusammenarbeit.
Diese erweist sich anfänglich oft schwieriger und anstrengender, als man annimmt. Einerseits aus der Tatsache heraus, dass jede Fachdisziplin ihre eigene Betrachtungsweise und ihren eigenen „Jargon“ hat und diesen pflegt. Andererseits hindern Berührungsängste beider Seiten sich aufeinander zu zu bewegen, um eine gemeinsame Sprache und Betrachtungsweise zu finden. Dies soll uns jedoch nicht entmutigen, Vorurteile und Berührungsängste zu überwinden, um fachübergreifend zum Wohle unserer Patienten tätig zu werden.
Strukturiertes Behandlungskonzept!
Erfahrung, Einfühlungsvermögen sowie eine klar strukturierte Vorgehensweise mit Anamnese und „sauberer“ klinischer und instrumenteller Diagnostik sowie ein realistisches, zielgerichtetes Behandlungskonzept sind Voraussetzung für die zahnärztliche Behandlung von CMD-Patienten.
So ist der Patient nach der Diagnosestellung über die Befunde aufzuklären. Ferner muss er die Ursachen begreifen und verstehen können und über die notwendigen Therapiemaßnahmen (zeitlich, finanziell) verständlich aufgeklärt und somit in die Behandlung einbezogen werden.
Die Beschwerdebilder eines CMD-Syndroms können, wie in Abb. 2 dargestellt, sehr vielfältig sein: Gelenkknacken, Muskelverspannungen, Kopfschmerzen, Abrasionen, Druckgefühl hinter dem Auge, Zahnschmerzen unklarer Genese, Sekretionsstörungen des Auges und der Nase – um nur einige zu nennen – können isoliert oder in Kombination auftreten.
Symptome des CMD-Syndroms
Allgemeinerkrankungen, z. B. Polyarthritiden, Gelenkrheumatismus, Hormonstörungen, sowie das Alter des Patienten und last, but not least die Dauer des Krankheitsbildes müssen berücksichtigt werden, um eine realistische Prognose dem Patienten gegenüber abgeben zu können. Diese sollte meiner Auffassung nach eher zurückhaltend erfolgen, gerade bei Patienten mit einer langjährigen Beschwerdesymptomatik, um übertriebenen Hoffnungen und Enttäuschungen vorzubeugen. Je länger ein Beschwerdebild manifest war, desto geringer ist die Wahrscheinlichkeit einer Restitutio ad integrum.
Die Therapieplanung und -durchführung müssen also immer individuell auf den betroffenen Patienten und seine spezielle Symptomatik abgestimmt werden.
Aufbissbehelf – aber der richtige!
Es gibt keinen universellen Aufbissbehelf und kein Therapiekonzept für „alle Fälle“, denn jeder CMD-Patient erfordert, wie bereits erwähnt, eine individuelle Betrachtungs- und Vorgehensweise.
Aufbissbehelf ist nicht gleich Aufbissbehelf!
Aufgrund der gewonnenen diagnostischen Erkenntnisse muss der Behandler den für sein festgelegtes Therapiekonzept notwendigen Aufbissbehelf eingliedern. Je nachdem, ob myogene, arthrogene, dento-/okklusogene oder Störungen der Körperstatik als primäre Ursache infrage kommen, muss der entsprechende Aufbissbehelf angefertigt werden. Eine Distraktions- oder Repositionierungsschiene ist bei arthrogenen, die Entlastungsschiene bei myogenen und die Äquilibrierungsschiene bei dento-/okklusogenen Ursachen – um nur die wichtigsten zu nennen – einzugliedern. Es ist sicherlich oft schwierig, das eine vom anderen zu trennen, da die Grenzen fließend sind.
Unterstützend können sowohl physiotherapeutische Behandlungen, Medikamente, Entspannungstechniken, Selbstkontrolle des Patienten je nach Krankheitsbild mit in die Behandlung einbezogen werden.
Nicht zur Anwendung kommen sollten jedoch „nichtadjustierte“ Aufbissbehelfe, die man leider noch allzu häufig findet. Wer diese heute noch bei der Behandlung von CMD-Patienten eingliedert, begeht meiner Auffassung nach einen Kunstfehler!
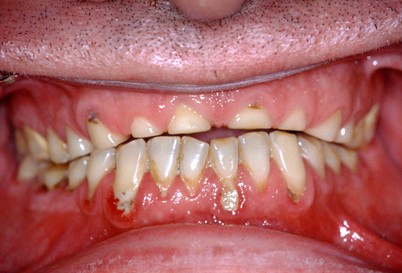
Nicht immer ist ein Aufbissbehelf das Mittel der ersten Wahl. Stehen z. B. orthopädische, psychosoziale oder psychosomatische Faktoren im Vordergrund, sollten diese unbedingt zuerst abgeklärt werden. Anhand einer Aufnahme eines Patienten soll dies verdeutlicht werden (Abb. 3), der mit einer linksseitigen Kiefergelenkproblematik und Nonokklusion in unserer Poliklinik vorstellig wurde. Mit einer Nagelfeile hatte der Patient die Prä- und Molaren selbst eingeschliffen!
Vollkommen plane Kauflächen infolge Bearbeitung mit einer Nagelfeile durch den Patienten
Wir müssen uns also auch von dem Gedanken frei machen, dass man als Zahnarzt mit FAL/FTL-Leistungen jeden Patienten „heilen“ kann. Massagen, kraniosakrale Therapie, Osteopathie, Psychotherapie oder eine medikamentöse (Schmerz-)Therapie können in bestimmten Fällen primär zweckmäßiger sein als eine zahnärztliche Behandlung.
Aufbissbehelf – was dann?!
Mit der Schienenbehandlung allein ist es jedoch in den seltensten Fällen getan. Nach Abklingen der Beschwerden müssen die in die Schiene eingearbeiteten, individuellen Therapiekonzepte auf das natürliche Gebiss (Zahnersatz) übertragen werden. So kann es sich als notwendig erweisen, bei einer Okklusionsstörung beispielsweise den Biss einzuschleifen (FTL) oder die Relation zu ändern oder den Biss zu heben, um die Kiefergelenkstrukturen bei arthrogenen Ursachen zu entlasten oder die Schiene bei myogenen Faktoren (Bruxismus, Abb. 4) als Langzeittherapeutikum einzusetzen.
Verlust der Zahnhalssubstanzen durch Parafunktionen
Der Aufbissbehelf stellt in der Regel lediglich ein temporäres, reversibles therapeutisches Hilfsmittel zur Überprüfung und Sicherung der Diagnose und des Therapiekonzeptes dar. Weder ein Orthopäde noch ein Zahnarzt kann, außer mit einer Operation, ein Gelenk direkt therapieren. Man kann nur versuchen, über die Muskulatur als aktiven Teil auf ein Gelenk therapeutisch einzuwirken.
Letztlich sind es nur diese übermäßig einwirkenden oder fehlgerichteten Muskelkräfte, die nicht unerheblich sein können, die Gelenke funktionell beeinträchtigen und langfristig zerstören.
Über die funktionellen Zusammenhänge und Auswirkungen, z. B. einer Körperfehlhaltung oder einer Okklusionsstörung auf den Gesamtorganismus – nicht nur auf das Kauorgan – wissen wir (Zahnärzte) leider immer noch viel zu wenig.
Welcher Hilfsmittel und weiterer therapeutischer, interdisziplinärer Möglichkeiten ein Behandler sich bedient, bleibt jedoch ihm selbst und seiner Erfahrung überlassen. Aus meiner Erfahrung heraus ist eine zielgerichtete, effiziente Behandlung von CMD-Patienten ohne interdisziplinäre Zusammenarbeit mit Orthopäden, Physiotherapeuten, Psychosomatikern, Akupunkteuren heute nicht mehr vorstellbar. Eine saubere, klar strukturierte Vorgehensweise mit klinischer und instrumenteller Diagnostik sowie kritischer Diagnosestellung und einem ebenso realistischen Therapiekonzept sind nach wie vor der halbe Weg zum Erfolg. Damit lassen sich eigene Frustration, Unzufriedenheit und Enttäuschung auch seitens des Patienten minimieren.
Kosten – Nutzen!?
Ziel unserer Bemühungen muss primär immer sein, den betroffenen Menschen zu helfen, Schmerzen zu beseitigen oder zu mildern und ihnen Lebensqualität und Freude wiederzugeben. Dies soll und muss immer im Vordergrund stehen!
Einerseits können wir in einem nicht unerheblichen Maße dazu beitragen, krankheitsbedingte Arbeitsausfälle zu reduzieren, manche „Koryphäenkiller-Karriere“ zu unterbrechen und damit die Sozialkassen zu entlasten. Andererseits sind der diagnostische Aufwand und die Therapie nicht umsonst zu bekommen. Leider werden weder vom Gesetzgeber noch von den Krankenkassen diese Leistungen entsprechend gewürdigt.
Resümee
Die Therapie von CMD-Patienten stellt für den Arzt eine zunehmende Herausforderung dar. Der rapide Anstieg der Patienten mit dieser „Zivilisationskrankheit“ im alltäglichen Praxisablauf verdeutlicht es. Dieser Herausforderung muss sich auch unser Berufsstand stellen. Erfahrung, Geduld im Umgang mit diesen Menschen, eine umfassende ganzheitliche Betrachtungsweise sowie eine klar strukturierte Vorgehensweise ermöglichen es uns letztlich, den Betroffenen zu helfen.
Viele funktionelle Zusammenhänge somatisch-psychischer sowie somatisch-viszeraler Natur sind bisher unklar und unbekannt und müssen weiter erforscht werden.
Forschung und Lehre sind aufgefordert, einerseits die Kolleginnen und Kollegen für diese zunehmend wichtiger werdende Aufgabe entsprechend vorzubereiten und auszubilden. Andererseits müssen Zusammenhänge und Ursachen interdisziplinär erforscht werden, um die „Funktionsdiagnostik“ aus der Sackgasse der reinen dento/-okklusogenen Betrachtungsweise herauszuführen, denn dafür ist diese Problematik zu komplex.
Eine sorgfältige Diagnostik sowie die richtige Wahl des Aufbissbehelfes stellen nach wie vor in den meisten Fällen die Mittel der Wahl bei der zahnärztlichen Behandlung von CMD-Patienten dar. Jeder Behandler muss sich jedoch im Klaren darüber sein, dass oft zahnärztliche Folgebehandlungen notwendig sind, um den Therapieerfolg zu sichern. Eine umfassende Betrachtungsweise der Problematik der CMD-Patienten ist notwendig. Manchmal wäre eine zurückhaltendere zahnärztliche Therapie wünschenswert, gerade bei Patienten mit langjähriger Schmerzanamnese, um einer weiteren Somatisierung der Beschwerden vorzubeugen.
Die Eigenverantwortlichkeit und Mitarbeit des Patienten muss gestärkt werden, um ihn mit in die Behandlung einzubeziehen, wie es bei Paracelsus heißt: „Der Patient ist der Arzt, der Arzt sein Gehilfe.“



