Abstract
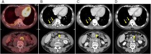
IgG4-related disease (IgG4-RD) is a fibro-inflammatory condition characterized by increased serum IgG4 level, infiltration of lymphocytes and IgG4-positive (IgG4+) plasma cells and fibrosis. It can occur in almost all organs, commonly affecting the pancreas, biliary tract, salivary and lacrimal glands and kidneys. However, reports of IgG4-RD accompanied by pathologically confirmed, IgG4-related pleural disease are scarce. Here, we present a case of a 64-year-old man with suspected malignant pleural mesothelioma based on imaging findings but finally diagnosed with IgG4-RD (including pleuritis, periaortitis and bilateral submandibular gland enlargement) based on a high serum IgG4 level and pleural histopathological findings such as lymphoplasmacytic infiltration including IgG4+ plasma cells and fibrosis. Systemic corticosteroid therapy was effective at reducing serum IgG4, improving bilateral submandibular gland enlargement, and regressing pleural thickening and periaortic soft tissue. We also discuss clinical characteristics and pleural pathological features of previously reported cases with IgG4-related pleural disease based on a comprehensive literature review. Our case of IgG4-RD with pleura, aorta and submandibular gland involvement, pathologically confirmed by pleural specimen might be unique and very rare.
This is a preview of subscription content, access via your institution.



References
- 1.
Stone JH, Zen Y, Deshpande V (2012) IgG4-related disease. N Engl J Med 366:539–551. https://doi.org/10.1056/NEJMra1104650
- 2.
Kamisawa T, Zen Y, Pillai S, Stone JH (2015) IgG4-related disease. Lancet 385:1460–1471. https://doi.org/10.1016/S0140-6736(14)60720-0
- 3.
Umehara H, Okazaki K, Masaki Y, Kawano M, Yamamoto M, Saeki T et al (2012) Comprehensive diagnostic criteria for IgG4-related disease (IgG4-RD), 2011. Mod Rheumatol 22:21–30. https://doi.org/10.1007/s10165-011-0571-z
- 4.
Shimosegawa T, Chari ST, Frulloni L, Kamisawa T, Kawa S, Mino-Kenudson M, the International Association of Pancreatology et al (2011) International consensus diagnostic criteria for autoimmune pancreatitis: guidelines of the International Association of Pancreatology. Pancreas 40:352–358. https://doi.org/10.1097/MPA.0b013e3182142fd2
- 5.
Ohara H, Okazaki K, Tsubouchi H, Inui K, Kawa S, Kamisawa T et al (2012) Clinical diagnostic criteria of IgG4-related sclerosing cholangitis 2012. J Hepatobiliary Pancreat Sci 19:536–542. https://doi.org/10.1007/s00534-012-0521-y
- 6.
Kawano M, Saeki T, Nakashima H, Nishi S, Yamaguchi Y, Hisano S et al (2011) Proposal for diagnostic criteria for IgG4-related kidney disease. Clin Exp Nephrol 15:615–626. https://doi.org/10.1007/s10157-011-0521-2
- 7.
Goto H, Takahira M, Azumi A, Japanese Study Group for IgG4-related ophthalmic disease (2015) Diagnostic criteria for IgG4-related ophthalmic disease. Jpn J Ophthalmol 59(1):1–7. https://doi.org/10.1007/s10384-014-0352-2
- 8.
Matsui S, Yamamoto H, Minamoto S, Waseda Y, Mishima M, Kubo K (2016) Proposed diagnostic criteria for IgG4-related respiratory disease. Respir Investig 54:130–132. https://doi.org/10.1016/j.resinv.2015.09.002
- 9.
Masaki Y, Sugai S, Umehara H (2010) IgG4-related diseases including Mikulicz’s disease and sclerosing pancreatitis: diagnostic insights. J Rheumatol 37:1380–1385. https://doi.org/10.3899/jrheum.091153
- 10.
Ebbo M, Grados A, Bernit E, Vély F, Boucraut J, Harlé JR et al (2012) Pathologies associated with serum IgG4 elevation. Int J Rheumatol 2012:602809. https://doi.org/10.1155/2012/602809
- 11.
Carruthers MN, Khosroshahi A, Augustin T, Deshpande V, Stone JH (2015) The diagnostic utility of serum IgG4 concentrations in IgG4-related disease. Ann Rheum Dis 74:14–18. https://doi.org/10.1136/annrheumdis-2013-204907
- 12.
Khosroshahi A, Wallace ZS, Crowe JL, Akamizu T, Azumi A, Carruthers MN et al (2015) International consensus guidance statement on the management and treatment of IgG4-related disease. Arthritis Rheumatol 67:1688–1699. https://doi.org/10.1002/art.39132
- 13.
Deshpande V, Zen Y, Chan JK, Yi EE, Sato Y, Yoshino T et al (2012) Consensus statement on the pathology of IgG4-related disease. Mod Pathol 25:1181–1192. https://doi.org/10.1038/modpathol.2012.72
- 14.
Brito-Zerón P, Ramos-Casals M, Bosch X, Stone JH (2014) The clinical spectrum of IgG4-related disease. Autoimmun Rev 13:1203–1210. https://doi.org/10.1016/j.autrev.2014.08.013
- 15.
Ryu JH, Sekiguchi H, Yi ES (2012) Pulmonary manifestations of IgG4-related sclerosing disease. Eur Respir J 39:180–186. https://doi.org/10.1183/09031936.00025211
- 16.
Yamamoto H, Suzuki T, Yasuo M, Kobayashi O, Tsushima K, Ito M et al (2011) IgG4-related pleural disease diagnosed by a re-evaluation of chronic bilateral pleuritis in a patient who experienced occasional acute left bacterial pleuritis. Intern Med 50:893–897. https://doi.org/10.2169/internalmedicine.50.4726
- 17.
Sekiguchi H, Horie R, Utz JP, Ryu JH (2012) IgG4-related systemic disease presenting with lung entrapment and constrictive pericarditis. Chest 142:781–783. https://doi.org/10.1378/chest.11-2608
- 18.
Ishida A, Furuya N, Nishisaka T, Mineshita M, Miyazawa T (2014) IgG4-related pleural disease presenting as a massive bilateral effusion. J Bronchol Interv Pulmonol 21:237–241. https://doi.org/10.1097/LBR.0000000000000082
- 19.
Choi JH, Sim JK, Oh JY, Lee EJ, Hur GY, Lee SH et al (2014) A case of IgG4-related disease presenting as massive pleural effusion and thrombophlebitis. Tuberc Respir Dis 76:179–183. https://doi.org/10.4046/trd.2014.76.4.179
- 20.
Ishida M, Hodohara K, Furuya A, Fujishiro A, Okuno H, Yoshii M et al (2014) Concomitant occurrence of IgG4-related pleuritis and periaortitis: a case report with review of the literature. Int J Clin Exp Pathol 7:808–814
- 21.
Choi IH, Jang SH, Lee S, Han J, Kim TS, Chung MP (2014) A case report of IgG4-related disease clinically mimicking pleural mesothelioma. Tuberc Respir Dis 76:42–45. https://doi.org/10.4046/trd.2014.76.1.42
- 22.
Kim DH, Koh KH, Oh HS, Kim SJ, Kang SH, Jung BW et al (2014) A case of immunoglobulin g4-related disease presenting as a pleural mass. Tuberc Respir Dis 76:38–41. https://doi.org/10.4046/trd.2014.76.1.38
- 23.
Kato E, Takayanagi N, Ishiguro T, Kagiyama N, Shimizu Y, Sugita Y (2014) IgG4-related pleuritis with chylothorax. Intern Med 53:1545–1548. https://doi.org/10.2169/internalmedicine.53.1642
- 24.
González-Moreno J, Losada-López I, Gállego-Lezaun C, García-Gasalla M, Gómez Bellvert C, Ortego Centeno N (2016) Serosal involvement in IgG4-related disease: report of two cases and review of the literature. Rheumatol Int 36:1033–1041. https://doi.org/10.1007/s00296-016-3501-8
- 25.
Kondo T, Uehara T (2016) Immunoglobulin G4-related disease with fibroinflammatory lesions in the pleura, bile ducts and pericardium. CMAJ 188:972. https://doi.org/10.1503/cmaj.160186
- 26.
Gajewska ME, Rychwicka-Kielek BA, Sorensen K, Kubik M, Hilberg O, Bendstrup E (2016) Immunoglobulin G4-related pleuritic—a case report. Respir Med Case Rep 19:18–20. https://doi.org/10.1016/j.rmcr.2016.05.006
- 27.
Tong X, Bai M, Wang W, Han Q, Tian P, Fan H (2017) IgG4-related disease involving polyserous effusions with elevated serum interleukin-6 levels: a case report and literature review. Immunol Res 65:944–950. https://doi.org/10.1007/s12026-017-8934-y
- 28.
Nagashima K, Sano I, Kobayashi T, Eto K, Nagai K, Ninomiya R et al (2018) IgG4-related lung pseudotumor and pleural inflammation with autoimmune hepatitis. Intern Med 57:43–48. https://doi.org/10.2169/internalmedicine.9026-17
- 29.
Nagayasu A, Kubo S, Nakano K, Nakayamada S, Iwata S, Miyagawa I et al (2018) IgG4-related pleuritis with elevated adenosine deaminase in pleural effusion. Intern Med 57:2251–2257. https://doi.org/10.2169/internalmedicine.0387-17
- 30.
Fan J, Feng R, Hou X, Li J, Sun X, Wang J et al (2019) IgG4-related disease can present as recurrent spontaneous hemothorax: a case report. BMC Pulm Med 19:26. https://doi.org/10.1186/s12890-019-0785-y
- 31.
Damas F, Ghysen K, Gester F, Heinen V, Duysinx B, Louis R et al (2019) IgG4-related pleural disease in a patient with a history of unknown origin acute pancreatitis: a case report and review of the literature. Acta Clin Belg 74:465–468. https://doi.org/10.1080/17843286.2018.1564173
- 32.
Inoue D, Yoshida K, Yoneda N, Ozaki K, Matsubara T, Nagai K et al (2015) IgG4-related disease: dataset of 235 consecutive patients. Medicine (Baltimore) 94:e680. https://doi.org/10.1097/MD.0000000000000680
- 33.
Zen Y, Inoue D, Kitao A, Onodera M, Abo H, Miyayama S et al (2009) IgG4-related lung and pleural disease: a clinicopathologic study of 21 cases. Am J Surg Pathol 33:1886–1893. https://doi.org/10.1097/PAS.0b013e3181bd535b
- 34.
Fei Y, Shi J, Lin W, Chen Y, Feng R, Wu Q et al (2015) Intrathoracic involvements of immunoglobulin G4-related disease. Medicine (Baltimore) 94:e2150. https://doi.org/10.1097/MD.0000000000002150
- 35.
Matsui S (2019) IgG4-related respiratory disease. Mod Rheumatol 29:251–256. https://doi.org/10.1080/14397595.2018.1548089
Acknowledgements
We thank Dr. Bryan J. Mathis Medical English Communications Center, University of Tsukuba, for language review of this manuscript.
Author information
Affiliations
Contributions
SO provided patient’s management, performed the literature review, and wrote the manuscript including editing and revision. HT and TS were involved in the clinical management and supervised the entire process from drafting the paper to submission of the final manuscript. All other authors have contributed to data collection and interpretation and critically reviewed the manuscript. All authors approved the final version of manuscript, and agree to accountable for all aspects of the work.
Corresponding author
Ethics declarations
Conflict of interest
The authors declare that they do not have any conflict of interest.
Informed consent
The patient presented in this report gave his written informed consent prior to his inclusion.
Additional information
Publisher's Note
Springer Nature remains neutral with regard to jurisdictional claims in published maps and institutional affiliations.
Rights and permissions
About this article
Cite this article
Okamoto, S., Tsuboi, H., Sato, R. et al. IgG4-related pleural disease with aortitis and submandibular glands involvement successfully treated with corticosteroid: case-based review. Rheumatol Int 40, 1725–1732 (2020). https://doi.org/10.1007/s00296-020-04555-y
Received:
Accepted:
Published:
Issue Date:
Keywords
- IgG4-related disease
- Pleural disease
- Periaortitis
- Submandibular gland