Hereditäres Magen- und Pankreaskarzinom
- 844 Downloads
- 2 Citations
Zusammenfassung
Die Mehrzahl der Magen- und Pankreaskarzinome tritt sporadisch auf. Eine familiäre Häufung wird bei etwa 10 % der Fälle beobachtet. Hereditäre Karzinome sind nur für 1–3 % der Magenkrebsfälle verantwortlich. Zwei Syndrome wurden beschrieben: das hereditäre diffuse Magenkarzinom (HDGC) und das Magenkarzinom bei proximaler Polypose (GAPPS). Ein erhöhtes Risiko für die Entwicklung von Magen- oder Pankreaskrebs besteht auch bei anderen erblichen Syndromen, so bei Patienten mit erblichem Brust- und Ovarialkarzinomsyndrom (HBOC), Li-Fraumeni-Syndrom, Lynch-Syndrom, familiärer adenomatöser Polypose (FAP) und auch bei hamartomatösen Polyposesyndromen, speziell bei juveniler Polypose und Peutz-Jeghers-Polypose. Auch Patienten mit hereditärer Pankreatitis weisen ein erhöhtes Krebsrisiko auf (40–55 %).
Schlüsselwörter
Hereditäres Karzinom Familiäres Magenkarzinom Familiäres Pankreaskarzinom Histopathologie MolekularbiologieHereditary gastric and pancreatic cancer
Abstract
Most cases of gastric and pancreatic cancer are sporadic, but familial clustering can be observed in approximately 10% of cases. Hereditary gastric cancer accounts for a very low percentage of cases (1–3%) and two syndromes have been characterized: hereditary diffuse gastric cancer (HDGC) and gastric adenocarcinoma and proximal polyposis of the stomach (GAPPS). Gastric and pancreatic cancer can develop in the setting of other hereditary cancer syndromes, such as hereditary breast and ovarian cancer syndrome (HBOC), Li-Fraumeni syndrome, Lynch syndrome, familial adenomatous polyposis (FAP), or various hamartomatous polyposis syndromes, including juvenile polyposis and Peutz-Jeghers syndrome. Patients with hereditary pancreatitis carry an increased risk of cancer (40–55%).
Keywords
Hereditary cancer Familial gastric cancer Familial pancreatic cancer Histopathology Molecular biologyHintergrund
Die Karzinome des Magens und des Pankreas zählen zu den häufigsten malignen Tumoren im Bereich der Viszeralonkologie. Sie tragen weltweit erheblich zur Karzinommortalität bei [46]. Im Magen werden für die Entstehung des intestinalen Typs (nach Laurén) vorwiegend Umweltfaktoren verantwortlich gemacht, in erster Linie die Infektion mit Helicobacter pylori. Für die Entstehung des diffusen Typs sind genetische Faktoren von größerer Bedeutung [38, 48]. Die meisten Karzinome des Pankreas entstehen sporadisch. Erbliche Faktoren werden für 5–10 % der Tumoren verantwortlich gemacht [16, 34].
Erbliches Magenkarzinom
Die Mehrzahl der Magenkarzinome tritt sporadisch auf. Eine familiäre Häufung wird bei etwa 10 % der Fälle beobachtet. Nur 1–3 % weisen einen gesicherten Erbgang auf [47].
Zwei erbliche Magenkarzinomsyndrome wurden beschrieben: das hereditäre diffuse Magenkarzinom (engl. „hereditary diffuse gastric cancer“ [HDGC]) und das Magenkarzinom bei proximaler Polypose (engl. „gastric adenocarcinoma and proximal polyposis of the stomach“ [GAPPS]; [9]).
Erbliche Tumorsyndrome mit erhöhtem Risiko für die Entwicklung eines Magen- oder Pankreaskarzinoms. (Modifiziert nach [36])
| Syndrom | Betroffenes Gen | Karzinom | Risiko (%) |
|---|---|---|---|
| Hereditäres diffuses Magenkarzinom | CDH1 | Magen | 56–70 |
| Magenkarzinom bei proximaler Polypose („gastric adenocarcinoma and proximal polyposis of the stomach“, GAPPS) | APC promoter 1B | Magen | Erhöhta |
| Juvenile Polypose | SMAD4, BMPR1A | Magen | 21 |
| Peutz-Jeghers-Syndrom | STK11 | Magen Pankreas | 29 11–36 |
| Li-Fraumeni-Syndrom | TP53 | Magen Pankreas | Erhöhta Erhöhta |
| Hereditäre Pankreatitis | PRSS1, SPINK1 | Pankreas | 40–55 |
| Hereditäres Brust- und Ovarialkarzinomsyndrom („hereditary breast ovarian cancer syndrome“, HBOC) | BRCA1 BRCA2 | Pankreas Pankreas | < 5 5–7 |
| Lynch-Syndrom | MLH1, MSH2, MSH6, PMS2 | Magen Pankreas | 5–13 < 5 |
| Familiäre adenomatöse Polypose (FAP) | APC | Magen Pankreas | Erhöhta Erhöhta |
| Familiäres atypisches multiples Muttermal- und Melanomsyndrom („familial atypical multiple mole melanoma syndrome“, FAMMM); syn. Pankreaskarzinommelanomsyndrom (PCMS) | CDKN2A | Pankreas | 17 |
| Ataxia teleangiectatica | ATM | Pankreas | < 5 |
| Zystische Fibrose | CFTR | Pankreas | < 5 |
Hereditäres diffuses Magenkarzinom
Im Jahre 1998 wurden 3 neuseeländische Maori-Familien beschrieben, bei denen über mehrere Generationen im frühen Lebensalter ein diffuses Magenkarzinom aufgetreten war. Mutationen im CDH1-Gen wurden als verantwortlicher Gendefekt identifiziert [20]. Die Vererbung erfolgt autosomal dominant. Wie wir heute wissen, handelt es sich überwiegend um Frameshiftmutationen (38 %), aber auch Splice-site- (23 %), Missense- (17 %) und Nonsense- (17 %) Mutationen werden gefunden; große genomische Rearrangements sind selten [33].
E-Cadherin
Das CDH1-Gen kodiert für das Transmembranprotein E‑Cadherin, welches vornehmlich auf der basolateralen Membran epithelialer Zellen exprimiert wird. Es nimmt eine Schlüsselfunktion bei der Stabilisierung von Zell-Zell-Kontakten, bei der Signaltransduktion und der Erhaltung der Zellpolarität ein [48]. Die verminderte Expression von E‑Cadherin führt zu Verlust der Zelladhäsion bzw. Steigerung der Zellmotilität und korreliert so mit dem infiltrativen und metastasierenden Potenzial der Tumorzellen [12].
In der Regel weisen Patienten mit einem autosomal dominant vererbten Tumorleiden ein verändertes Allel in der Keimbahn auf, wohingegen das zweite (Wildtyp‑)Allel im Tumorgewebe inaktiviert vorliegt (entsprechend der „Two-hit-Hypothese“ von Knudson). Der beim hereditären diffusen Magenkarzinom beobachtete Expressionsverlust von E‑Cadherin basiert auf dieser biallelischen Inaktivierung des CDH1-Gens. Der Inaktivierung des zweiten Allels können verschiedene Mechanismen zugrunde liegen, wobei eine Promotorhypermethylierung als führender Mechanismus gilt [3, 33].
Diagnostische Kriterien
Klinisch-therapeutischer Algorithmus bei hereditärem diffusem Magenkarzinom. (Adaptiert nach [47])
Das Durchschnittsalter zum Diagnosezeitpunkt liegt bei 40 Jahren; ein Karzinom kann aber im Alter von 14 bis 85 Jahren diagnostiziert werden [21]. Das Lebenszeitrisiko (berechnet auf 80 Jahre) wurde mit 70 % (95 %-Konfidenzintervall 59–80 %) für Männer und mit 56 % (95 %-Konfidenzintervall 44–69 %) für Frauen ermittelt. Für Frauen ergibt sich ein 42%iges Risiko für die Entwicklung eines lobulären Mammakarzinoms (95 %-Konfidenzintervall 23–68 % [23]). Bei 16 von 144 (11 %) Indexpatienten, die keine Mutation im CDH1-Gen aufwiesen, wurden Mutationen in folgenden Genen identifiziert: CTNNA1, BRCA2, STK11, SDHB, PRSS1, ATM, MSR1 und PALB2 [23].
Darüber hinaus wurden kolorektale Karzinome (einschließlich siegelringzelliger Varianten) und auch andere Tumoren, wie zum Beispiel Karzinome der Prostata oder der Ovarien, bei Patienten mit hereditärem Magenkarzinom beobachtet. Es ist derzeit nicht abschließend zu beurteilen, ob diese Karzinome Teil der familiären Tumorerkrankung sind oder ob es sich um ein rein zufälliges Zusammentreffen verschiedener Tumorentitäten handelt. Zumindest für das Kolonkarzinom scheint jedoch ein kausal-pathogenetischer Zusammenhang zu bestehen [17, 47, 48].
Histologie
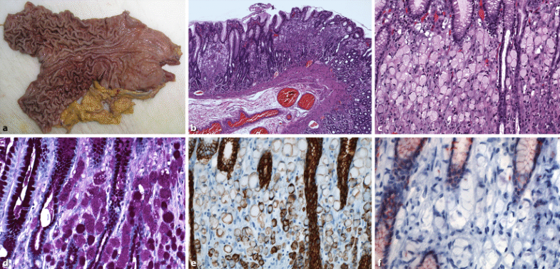
Prophylaktische Gastrektomie bei gesicherter Keimbahnmutation im CDH1-Gen ohne makroskopisch nachweisbaren Tumor (a). Nach vollständiger Einbettung wurden insgesamt 8 Herde eines mukosalen Siegelringzellkarzinoms (pT1a, m2) entdeckt, maximale Herdgröße 2 mm (b, Originalvergrößerung 40:1; c, Originalvergrößerung 200:1). Darstellung der Tumorzellen mittels PAS-Färbung (d, Originalvergrößerung 200:1), Keratin- (e, Originalvergrößerung 200:1) und E‑Cadherin-Immunhistochemie (f, Originalvergrößerung 400:1)
Als Vorläuferläsion des hereditären diffusen Magenkarzinoms kann ein In-situ-Siegelringzellkarzinom gefunden werden [9]. Dieses tritt multifokal auf und betrifft die Halsregion gastraler Drüsen bzw. Foveolae, wo die gastralen Stammzellen (Progenitorzellen) lokalisiert sind. Die Kerne des In-situ-Siegelringzellkarzinoms sind hyperchromatisch und zeigen eine gestörte Polarität. Charakteristisch sind auch Läsionen mit pagetoider Ausbreitung der Siegelringzellen unterhalb erhaltenem nichtneoplastischem Epithel (engl. „pagetoid spread“); hier ist die Kernpolarität in der Regel noch erhalten. Die Anwendung einer PAS- oder D‑PAS-Färbung erleichtert die Entdeckung kleinster Tumorherde und sollte in der Biopsiediagnostik Standard sein [27, 47].
Im Gastrointestinaltrakt können verschiedene nichtneoplastische (entzündliche und nicht entzündliche) Veränderungen eine an Siegelringzellen erinnernde Morphologie („Pseudosiegelringzellen“) zeigen [14]. Hier ist besondere Vorsicht geboten, die Diagnosestellung hat sich an strikten Kriterien zu orientieren, eine Überdiagnose ist zu vermeiden [47].
Die Expression von E‑Cadherin ist bereits beim In-situ-Karzinom reduziert (eventuell „dot-like“) oder fehlend, sodass die Inaktivierung von E‑Cadherin als ein frühes Ereignis gesehen werden kann [10]. Dieses ist aber nicht in allen Fällen der Fall und hängt u. a. auch vom Typ der Mutation ab [47].
Zu beachten ist, dass Mitosen seltener als in der umgebenden nichtneoplastischen Mukosa gefunden werden. Auch der Proliferationsmarker Ki67 (MIB-1) färbt die In-situ-Läsionen und die frühinvasiven Tumorherde zumeist nur schwach an, sodass dieser Marker nicht zur Diagnosesicherung geeignet ist [47].
Befundung
Die Aufarbeitung bzw. Beurteilung des prophylaktischen Gastrektomiepräparats stellt für die Pathologie eine besondere Aufgabe dar. Sie sollte einem strikten Protokoll folgen und zumindest mit einer Skizze, besser fotografisch dokumentiert werden [47]. Bei blander Makroskopie muss häufig der gesamte Magen aufgearbeitet werden, denn es besteht keine Prädilektionsstelle. Die Angaben hierzu in der Literatur sind jedoch widersprüchlich. So findet sich das hereditäre diffuse Magenkarzinom in nordamerikanischen und europäischen Familien in allen Abschnitten des Magens: Herde wurden von der Kardia bis zur präpylorischen Region gefunden und zeigten keine Häufung in einer bestimmten Region. Dagegen berichteten Rogers et al. [40] über 8 systematisch aufgearbeitete Gastrektomiepräparate, bei denen 70 % der Tumorherde im proximalen Drittel des Magens lokalisiert waren. In einer englischen Serie wurden 45 % der Tumorherde im Fundus und 40 % im Korpus beschrieben, bei Aussparung des Antrums [4]. Bei den Maori-Fällen wurden der distale Magen und die Korpus-Antrum-Grenzregion als Prädilektionsstellen angegeben [5, 11].
Im pathologischen Befund ist die Zahl der gefundenen Läsionen, ihre Lage, ihre Größe und die Tiefe der Invasion genau anzugeben. Auch auf Veränderungen in der umliegenden nichtneoplastischen Mukosa ist einzugehen. Eine (zugegebenermaßen sehr umfangreiche) Checkliste für die Abfassung der Diagnose eines prophylaktischen Gastrektomiepräparats ist in den aktuellen internationalen Leitlinien enthalten [47].
Magenkarzinom bei proximaler Polypose
Im Jahr 2011 wurde ein weiteres erbliches Magenkarzinomsyndrom identifiziert und unter der Bezeichnung „gastrales Adenokarzinom und proximale Polypose des Magens“ (engl. „gastric adenocarcinoma and proximal polyposis of the stomach“ [GAPPS]) vorgestellt [49].
Hierbei handelt es sich um ein autosomal dominant vererbtes Polyposesyndrom, welches nur den Magen betrifft, und hier nur die Bereiche des Korpus und Fundus (engl. „oxyntic mucosa“). Betroffene zeigen multiple Polypen in diesem Bereich, welche die Schleimhaut gleichsam austapezieren, während die Antrumschleimhaut charakteristischerweise ausgespart ist. Die Polypen entsprechen weitgehend Fundusdrüsenpolypen, häufig jedoch mit relativ gering ausgebildeten Zysten, dafür dysplastischen Veränderungen, die über die gesamte Höhe der Läsion oder auch nur herdförmig nachweisbar sind. Insgesamt ist das Bild dieser Karzinomvorstufen heterogen, es kommen auch Polypen vor, die eher an hyperplastische Polypen erinnern, mit und ohne Dysplasie [26].
Kürzlich wurde der zugrunde liegende Gendefekt entschlüsselt: Betroffene Familien weisen Punktmutationen im APC-Promotor 1B auf [28]. Das Syndrom wurde in Australien, Kanada und den USA entdeckt. Eine erste europäische Familie wurde unlängst in der Tschechischen Republik beschrieben [37].
Wie hoch das Karzinomrisiko für Mutationsträger ist, ist derzeit noch schwer abzuschätzen. In der Primärpublikation wurde bei verschiedenen Familienmitgliedern eine prophylaktische Gastrektomie durchgeführt, allein schon weil die endoskopische Überwachung bzw. Karzinomfrüherkennung bei ausgeprägter Polypose problematisch ist [49].
Erbliches Pankreaskarzinom
An die Möglichkeit einer zugrunde liegenden erblichen Disposition ist zu denken bei mehrfachem Auftreten von Pankreaskarzinomen innerhalb einer Familie, bei Patientinnen oder Patienten mit anderen syn- oder metachronen Tumoren und/oder ganz allgemein bei einem Alter unter 50 Jahren bei Diagnosestellung [45].
Familiäres Pankreaskarzinom: Risikobewertung in Abhängigkeit von der Zahl betroffener Familienmitglieder. (Modifiziert nach [35])
| Anzahl erstgradig verwandter Familienmitglieder mit Pankreaskarzinom | Risiko für die Entwicklung eines Pankreaskarzinoms (%) |
|---|---|
| 0 | 1–2 |
| 1 oder 2 | 4–7 |
| 3 oder mehr | 17–32 |
Verschiedene erbliche Krebssyndrome, die mit einem erhöhten Risiko für die Entwicklung eines Adenokarzinoms des Pankreas einhergehen, wurden in den letzten Jahren aufgeklärt bzw. beschrieben (Tab. 1). Im Rahmen dieser Übersicht kann nur auf die häufigsten Formen eingegangen werden. Neuroendokrine Tumoren oder Karzinome werden nicht berücksichtigt.
Molekularpathologie
Beim hereditären Brust- und Ovarialkarzinomsyndrom (engl. „hereditary breast ovarian cancer syndrome“ [HBOC]) handelt es sich um ein autosomal dominant vererbtes Leiden. Betroffene weisen ein erhöhtes Risiko für Brustkrebs (47–55 % bis zum 70. Lebensjahr) und auch für Eierstockkrebs (17–39 %) auf. Bei 90–95 % der Patientinnen besteht eine Mutation im BRCA1- oder BRCA2-Gen [45]. Aber auch für andere Tumoren ist das Risiko erhöht [31].
Brose et al. [6] ermittelten für Träger der BRCA1-Mutation ein 2‑ bis 3‑fach erhöhtes Risiko für die Entwicklung eines Pankreaskarzinoms. Eine Altersabhängigkeit wurde beobachtet (< 65 Jahre: relatives Risiko 3,1 [95 %-Konfidenzintervall 1,43 bis 6,70]; ≥ 65 Jahre: relatives Risiko 1,54 [95 %-Konfidenzintervall 0,63 bis 3,76]). Andere Gruppen konnten die Ergebnisse in dieser Form nicht bestätigen. So bleiben die Daten derzeit widersprüchlich und das Risiko scheint für Träger von BRCA1-Mutationen insgesamt nur gering erhöht zu sein [1, 32, 35].
Eine BRCA2-Keimbahnmutation ist die bisher häufigste bekannte genetische Alteration beim familiären Pankreaskarzinom [39]. Im Vergleich mit der Normalbevölkerung findet sich ein etwa 3‑ bis 4‑fach erhöhtes Risiko, entsprechend einem Lebenszeitrisiko von 5–7 % [31, 32, 35]. Schon vor rund 20 Jahren untersuchten Goggins et al. [19] Patienten mit Pankreaskarzinom ohne Hinweis auf eine familiäre Disposition und fanden BRCA2-Keimbahnmutationen in 7 % der Fälle. In einer aktuellen Studie untersuchten Salo-Mullen et al. [42] 151 Patienten mit Pankreaskarzinom und detektierten ein hereditäres Brust- und Ovarialkarzinomsyndrom in 11 % der Fälle (4 BRCA1-Mutationen, 13 BRCA2-Mutationen). Obwohl Mutationen in BRCA2 die häufigste identifizierte Mutation in dieser Studie waren, war kein Patient mit BRCA2-Mutation bei Diagnosestellung jünger als 50 Jahre. In dieser Altersgruppe betrug die allgemeine Mutationsfrequenz 29 %, mit nachgewiesenen Mutationen in BRCA1 (n = 2), p16 (n = 2), MSH2 (n = 1) und MLH1 (n = 1).
Die hereditäre Pankreatitis wurde erstmals 1952 beschrieben [13]. Sie wird mit 80%iger Penetranz autosomal dominant vererbt und führt bereits im Kindes- und Jugendlichenalter zu rezidivierenden Schüben einer akuten Pankreatitis. Das mittlere Erkrankungsalter bei Erstmanifestation beträgt 5 bis 19 Jahre [18, 35]. Verantwortlich sind in erster Linie Mutationen des kationischen Trypsinogen-Gens auf Chromosom 7 (PRSS1). Auch eine Mutation des Trypsininhibitors SPINK1 kann für eine hereditäre Pankreatitis verantwortlich sein. Die Mutationen bewirken, dass Trypsin lokal, d. h. bereits in der Bauchspeicheldrüse aktiviert wird und dort seine enzymatische Wirkung ungehemmt entfalten kann [35]. Folge der Entzündung ist ein deutlich erhöhtes Krebsrisiko: Dieses beträgt bis zum 70. Lebensjahr 40–55 %, wobei die Karzinome selten vor dem 50. Lebensjahr manifest werden [29, 30].
Morphologie
Bei der großen Mehrzahl der Pankreaskarzinome handelt es sich um duktale Adenokarzinome. Diese entwickeln sich auf dem Boden mikroskopischer (pankreatische intraepitheliale Neoplasie [PanIN]) oder makroskopischer zystischer Vorläuferläsionen (intraduktale papillär-muzinöse Neoplasie [IPMN], muzinöse zystische Neoplasie [MCN]; [15, 22]).
Auch das familiäre Pankreaskarzinom tritt primär als duktales Adenokarzinom in Erscheinung. Hinsichtlich der Lokalisation innerhalb des Organs, Tumorgröße, Differenzierung, Vorhandensein von Lymph- und Blutgefäßinvasion, Perineuralscheideninfiltration, Lymphknotenmetastasierung, Stadium und Prognose ergeben sich keine Unterschiede im Vergleich mit dem sporadischen Karzinom [24, 44]. Humphris et al. [24] berichteten von einem häufigeren (multifokalen) Auftreten nichtinvasiver Vorläuferläsionen (speziell PanIN2 und PanIN3) im tumorfernen Drüsengewebe (36,8 vs. 23,9 %; p = 0,032). Diese Daten werden von anderen Autoren bestätigt, welche auch IPMN-Läsionen vermehrt beobachteten [7, 43].
Banville et al. [2] beschrieben ein medulläres Pankreaskarzinom bei einem Patienten mit Lynch-Syndrom. Der Tumor war mikrosatelliteninstabil (MSI-H) und wies immunhistochemisch einen Verlust von MSH2 und MSH6 im Tumorgewebe auf.
Fazit für Praxis
-
Das hereditäre diffuse Magenkarzinom und das Magenkarzinom bei proximaler Polypose sind für etwa 1–3 % der Magenkarzinome verantwortlich.
-
Erbliche Faktoren werden für 5–10 % der Pankreaskarzinome verantwortlich gemacht.
-
Bei prophylaktischen Gastrektomiepräparaten ist (gerade auch bei makroskopisch unauffälligem Befund) systematisch nach frühen Veränderungen zu suchen und deren Vorkommen im Präparat exakt zu dokumentieren.
-
Das Karzinomrisiko schwankt je nach Grundkrankheit bzw. in Abhängigkeit von der verantwortlichen Mutation beträchtlich; dieses ist für die Planung von Screeninguntersuchungen zu berücksichtigen und im multidisziplinären Team zu besprechen.
Notes
Open access funding provided by Medical University of Graz.
Einhaltung ethischer Richtlinien
Interessenkonflikt
C. Langner gibt an, dass kein Interessenkonflikt besteht.
Dieser Beitrag beinhaltet keine von den Autoren durchgeführten Studien an Menschen oder Tieren.
Literatur
- 1.Axilbund JE, Argani P, Kamiyama M et al (2009) Absence of germline BRCA1 mutations in familial pancreatic cancer patients. Cancer Biol Ther 8:131–135CrossRefPubMedPubMedCentralGoogle Scholar
- 2.Banville N, Geraghty R, Fox E et al (2006) Medullary carcinoma of the pancreas in a man with hereditary nonpolyposis colorectal cancer due to a mutation of the MSH2 mismatch repair gene. Hum Pathol 37:1498–1502CrossRefPubMedGoogle Scholar
- 3.Barber M, Murrell A, Ito Y et al (2008) Mechanisms and sequelae of E‑cadherin silencing in hereditary diffuse gastric cancer. J Pathol 216:295–306CrossRefPubMedGoogle Scholar
- 4.Barber ME, Save V, Carneiro F et al (2008) Histopathological and molecular analysis of gastrectomy specimens from hereditary diffuse gastric cancer patients has implications for endoscopic surveillance of individuals at risk. J Pathol 216:286–294CrossRefPubMedGoogle Scholar
- 5.Blair V, Martin I, Shaw D et al (2006) Hereditary diffuse gastric cancer: diagnosis and management. Clin Gastroenterol Hepatol 4:262–275CrossRefPubMedGoogle Scholar
- 6.Brose MS, Rebbeck TR, Calzone KA et al (2002) Cancer risk estimates for BRCA1 mutation carriers identified in a risk evaluation program. J Natl Cancer Inst 94:1365–1372CrossRefPubMedGoogle Scholar
- 7.Brune K, Abe T, Canto M et al (2006) Multifocal neoplastic precursor lesions associated with lobular atrophy of the pancreas in patients having a strong family history of pancreatic cancer. Am J Surg Pathol 30:1067–1076PubMedPubMedCentralGoogle Scholar
- 8.Caldas C, Carneiro F, Lynch HT et al (1999) Familial gastric cancer: overview and guidelines for management. J Med Genet 36:873–880PubMedPubMedCentralGoogle Scholar
- 9.Carneiro F (2012) Hereditary gastric cancer. Pathologe 33(Suppl 2):231–234CrossRefPubMedGoogle Scholar
- 10.Carneiro F, Huntsman DG, Smyrk TC et al (2004) Model of the early development of diffuse gastric cancer in E‑cadherin mutation carriers and its implications for patient screening. J Pathol 203:681–687CrossRefPubMedGoogle Scholar
- 11.Charlton A, Blair V, Shaw D et al (2004) Hereditary diffuse gastric cancer: predominance of multiple foci of signet ring cell carcinoma in distal stomach and transitional zone. Gut 53:814–820CrossRefPubMedPubMedCentralGoogle Scholar
- 12.Christofori G, Semb H (1999) The role of the cell-adhesion molecule E‑cadherin as a tumour-suppressor gene. Trends Biochem Sci 24:73–76CrossRefPubMedGoogle Scholar
- 13.Comfort MW, Steinberg AG (1952) Pedigree of a family with hereditary chronic relapsing pancreatitis. Gastroenterology 21:54–63PubMedGoogle Scholar
- 14.Dhingra S, Wang H (2011) Nonneoplastic signet-ring cell change in gastrointestinal and biliary tracts: a pitfall for overdiagnosis. Ann Diagn Pathol 15:490–496CrossRefPubMedGoogle Scholar
- 15.Esposito I, Schlitter AM, Sipos B et al (2015) Klassifikation und malignes Potenzial der zystischen Pankreastumoren. Pathologe 36:99–112CrossRefPubMedGoogle Scholar
- 16.Fendrich V, Langer P, Bartsch DK (2014) Familial pancreatic cancer-status quo. Int J Colorectal Dis 29:139–145CrossRefPubMedGoogle Scholar
- 17.Fitzgerald RC, Hardwick R, Huntsman D et al (2010) Hereditary diffuse gastric cancer: updated consensus guidelines for clinical management and directions for future research. J Med Genet 47:436–444CrossRefPubMedPubMedCentralGoogle Scholar
- 18.Ghiorzo P (2014) Genetic predisposition to pancreatic cancer. World J Gastroenterol 20:10778–10789CrossRefPubMedPubMedCentralGoogle Scholar
- 19.Goggins M, Schutte M, Lu J et al (1996) Germline BRCA2 gene mutations in patients with apparently sporadic pancreatic carcinomas. Cancer Res 56:5360–5364PubMedGoogle Scholar
- 20.Guilford P, Hopkins J, Harraway J et al (1998) E‑cadherin germline mutations in familial gastric cancer. Nature 392:402–405CrossRefPubMedGoogle Scholar
- 21.Guilford P, Humar B, Blair V (2010) Hereditary diffuse gastric cancer: translation of CDH1 germline mutations into clinical practice. Gastric Cancer 13:1–10CrossRefPubMedGoogle Scholar
- 22.Hackeng WM, Hruban RH, Offerhaus GJ et al (2016) Surgical and molecular pathology of pancreatic neoplasms. Diagn Pathol 11:47CrossRefPubMedPubMedCentralGoogle Scholar
- 23.Hansford S, Kaurah P, Li-Chang H et al (2015) Hereditary diffuse gastric cancer syndrome: CDH1 mutations and beyond. JAMA Oncol 1:23–32CrossRefPubMedGoogle Scholar
- 24.Humphris JL, Johns AL, Simpson SH et al (2014) Clinical and pathologic features of familial pancreatic cancer. Cancer 120:3669–3675CrossRefPubMedGoogle Scholar
- 25.Kaurah P, MacMillan A, Boyd N et al (2007) Founder and recurrent CDH1 mutations in families with hereditary diffuse gastric cancer. JAMA 297:2360–2372CrossRefPubMedGoogle Scholar
- 26.Langner C (2017) Vorstufen des Magenkarzinoms: Dysplasie und Adenom. Pathologe 38:67–74CrossRefPubMedGoogle Scholar
- 27.Lee AF, Rees H, Owen DA et al (2010) Periodic acid-Schiff is superior to hematoxylin and eosin for screening prophylactic gastrectomies from CDH1 mutation carriers. Am J Surg Pathol 34:1007–1013CrossRefPubMedGoogle Scholar
- 28.Li J, Woods SL, Healey S et al (2016) Point mutations in Exon 1B of APC reveal gastric adenocarcinoma and proximal polyposis of the stomach as a familial adenomatous polyposis variant. Am J Hum Genet 98:830–842CrossRefPubMedPubMedCentralGoogle Scholar
- 29.Lowenfels AB, Maisonneuve P, DiMagno EP et al (1997) Hereditary pancreatitis and the risk of pancreatic cancer. International hereditary pancreatitis study group. J Natl Cancer Inst 89:442–446CrossRefPubMedGoogle Scholar
- 30.Matsubayashi H, Takaori K, Morizane C et al (2017) Familial pancreatic cancer: concept, management and issues. World J Gastroenterol 23:935–948CrossRefPubMedPubMedCentralGoogle Scholar
- 31.Mersch J, Jackson MA, Park M et al (2015) Cancers associated with BRCA1 and BRCA2 mutations other than breast and ovarian. Cancer 121:269–275CrossRefPubMedGoogle Scholar
- 32.Moran A, O’Hara C, Khan S et al (2012) Risk of cancer other than breast or ovarian in individuals with BRCA1 and BRCA2 mutations. Fam Cancer 11:235–242CrossRefPubMedGoogle Scholar
- 33.Oliveira C, Pinheiro H, Figueiredo J et al (2015) Familial gastric cancer: genetic susceptibility, pathology, and implications for management. Lancet Oncol 16:e60–e70CrossRefPubMedGoogle Scholar
- 34.Petersen GM (2016) Familial pancreatic cancer. Semin Oncol 43:548–553CrossRefPubMedPubMedCentralGoogle Scholar
- 35.Raphael KL, Willingham FF (2016) Hereditary pancreatitis: current perspectives. Clin Exp Gastroenterol 9:197–207CrossRefPubMedPubMedCentralGoogle Scholar
- 36.Raymond VM, Stoffel EM (2013) Familial gastric and pancreatic cancers: diagnosis and screening. Am Soc Clin Oncol Educ Book :e44–e48Google Scholar
- 37.Repak R, Kohoutova D, Podhola M et al (2016) The first European family with gastric adenocarcinoma and proximal polyposis of the stomach: case report and review of the literature. Gastrointest Endosc 84:718–725CrossRefPubMedGoogle Scholar
- 38.Riquelme I, Saavedra K, Espinoza JA et al (2015) Molecular classification of gastric cancer: towards a pathway-driven targeted therapy. Oncotarget 6:24750–24779CrossRefPubMedPubMedCentralGoogle Scholar
- 39.Roberts NJ, Norris AL, Petersen GM et al (2016) Whole genome sequencing defines the genetic heterogeneity of familial pancreatic cancer. Cancer Discov 6:166–175CrossRefPubMedGoogle Scholar
- 40.Rogers WM, Dobo E, Norton JA et al (2008) Risk-reducing total gastrectomy for germline mutations in E‑cadherin (CDH1): pathologic findings with clinical implications. Am J Surg Pathol 32:799–809CrossRefPubMedGoogle Scholar
- 41.Rulyak SJ, Lowenfels AB, Maisonneuve P et al (2003) Risk factors for the development of pancreatic cancer in familial pancreatic cancer kindreds. Gastroenterology 124:1292–1299CrossRefPubMedGoogle Scholar
- 42.Salo-Mullen EE, O’Reilly EM, Kelsen DP et al (2015) Identification of germline genetic mutations in patients with pancreatic cancer. Cancer 121:4382–4388CrossRefPubMedPubMedCentralGoogle Scholar
- 43.Shi C, Klein AP, Goggins M et al (2009) Increased prevalence of precursor lesions in familial pancreatic cancer patients. Clin Cancer Res 15:7737–7743CrossRefPubMedPubMedCentralGoogle Scholar
- 44.Singhi AD, Ishida H, Ali SZ et al (2015) A histomorphologic comparison of familial and sporadic pancreatic cancers. Pancreatology 15:387–391CrossRefPubMedPubMedCentralGoogle Scholar
- 45.Solomon S, Das S, Brand R, Whitcomb DC (2012) Inherited pancreatic cancer syndromes. Cancer J 18(6):485–491CrossRefPubMedPubMedCentralGoogle Scholar
- 46.Torre LA, Bray F, Siegel RL et al (2015) Global cancer statistics, 2012. CA Cancer J Clin 65:87–108CrossRefPubMedGoogle Scholar
- 47.van der Post RS, Vogelaar IP, Carneiro F et al (2015) Hereditary diffuse gastric cancer: updated clinical guidelines with an emphasis on germline CDH1 mutation carriers. J Med Genet 52:361–374CrossRefPubMedPubMedCentralGoogle Scholar
- 48.Wolf EM, Geigl JB, Svrcek M et al (2010) Hereditäres Magenkarzinom. Pathologe 31:423–429CrossRefPubMedGoogle Scholar
- 49.Worthley DL, Phillips KD, Wayte N et al (2012) Gastric adenocarcinoma and proximal polyposis of the stomach (GAPPS): a new autosomal dominant syndrome. Gut 61:774–779CrossRefPubMedGoogle Scholar
Copyright information
Open Access. Dieser Artikel wird unter der Creative Commons Namensnennung 4.0 International Lizenz (http://creativecommons.org/licenses/by/4.0/deed.de) veröffentlicht, welche die Nutzung, Vervielfältigung, Bearbeitung, Verbreitung und Wiedergabe in jeglichem Medium und Format erlaubt, sofern Sie den/die ursprünglichen Autor(en) und die Quelle ordnungsgemäß nennen, einen Link zur Creative Commons Lizenz beifügen und angeben, ob Änderungen vorgenommen wurden.

