Pediatric Radiology

, Volume 39, Issue 5, pp 523–523 | Cite as

Cardiac tamponade: appearance on CT

Clinical Image
  • 417 Downloads

Keywords

Catheter Emergency Department Cardiac Output Cardiac Catheter Catheter Ablation 
These keywords were added by machine and not by the authors. This process is experimental and the keywords may be updated as the learning algorithm improves.
A 16-year-old boy with a history of cardiac catheter ablation collapsed while wrestling. Following admission to the emergency department he underwent a contrast-enhanced CT scan of the chest (Fig. 1) and abdomen (Fig. 2). This showed a pericardial effusion, bowing of the interventricular septum, periportal edema, ascites, and IVC and right renal vein enlargement. Shortly after, he became hemodynamically unstable and underwent a pericardiocentesis with drainage of blood. He died a few hours after admission to the ICU.
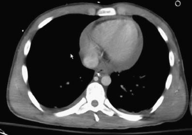
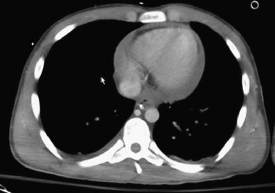
Fig. 1

Chest CT image at the level of the ventricles shows pericardial effusion and interventricular septum bowing

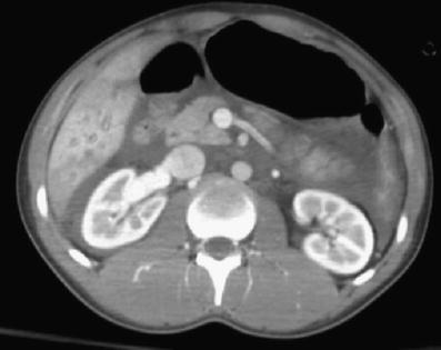
Fig. 2

Abdominal CT image at the renal level shows periportal edema, ascites, IVC and right renal vein enlargement

Cardiac tamponade results from heart compression and diminished cardiac output secondary to accumulation of fluid, pus, blood, gas or tissue within the pericardial cavity [1]. CT findings include pericardial effusion, cardiac chamber deformity, interventricular septum bowing, SVC and IVC distension, contrast medium reflux into the azygos vein and IVC, hepatic and renal vein enlargement, periportal edema and ascites [1, 2].

References

  1. 1.
    Restrepo CS, Lemos DF, Lemos JA et al (2007) Imaging findings in cardiac tamponade with emphasis on CT. Radiographics 27:1595–1610PubMedCrossRefGoogle Scholar
  2. 2.
    Huang C-H, Liu C-L, Chen W-K (2009) Periportal edema and ascites: computed tomographic signs of traumatic cardiac tamponade. Am J Emerg Med 27:127.e3–127.e4CrossRefGoogle Scholar

Copyright information

© Springer-Verlag 2009

Authors and Affiliations

  1. 1.Department of Diagnostic RadiologyYale University School of MedicineNew HavenUSA

Personalised recommendations