Left coronary to right ventricle fistula in a child: management strategy based on cardiac-gated 64-slice CT
- 91 Downloads
- 7 Citations
Abstract
Congenital coronary fistulae are a diagnostic challenge. A prerequisite for best management is accurate anatomical evaluation, traditionally provided by invasive catheter angiography. Multislice CT (MSCT) is an emerging noninvasive technique for coronary artery evaluation. We present a 3-year-old boy and highlight the clinical usefulness of new-generation MSCT to study coronary artery fistulae in children. Multiplanar and 3-D reconstruction offer invaluable information to plan the best therapeutic strategy in this setting. We provide evidence for the expanding clinical role of MSCT for coronary artery imaging in children.
Keywords
Congenital Coronary fistula CT ChildIntroduction
Congenital coronary artery fistulae are diagnostic and therapeutic challenges. Invasive catheter angiography has been the gold standard for evaluating coronary fistulae, together with echocardiography (ECHO). Multislice CT (MSCT) is an emerging noninvasive technique for the imaging of coronary artery malformations [1]. We report a child with coronary artery fistula in which MSCT provided invaluable information for successful management of this vascular malformation.
Case report
Two-dimensional ECHO images show (a) an enlarged left main coronary artery and (b) a tortuous vessel draining into the right ventricular apex (AO aorta, LCA left coronary artery, RV right ventricle)
We completed the investigation with cardiac-gated MSCT using a 64-slice CT scanner (LightSpeed, GE Medical Systems, Milwaukee, WI) with the following parameters: slice thickness 0.625 mm, pitch 0.16, rotation speed 0.35 s, 80 kVp and modulated mA resulting in a radiation dose of (CTDIvol) 6.1 mGy, dose length product 97 mGy cm. The contrast agent used was Omnipaque (300 mg I/ml; Amersham Health, Velizy, France) of which 30 ml was administered via peripheral injection at 1.5 ml/s. A beta-blocker (propanolol 1 mg/kg) was given orally 2 h before the examination. CT acquisition lasted 4 s and the total examination time was less than 15 min.
Volume-rendered reconstruction of the whole heart shows a tortuous and enlarged left coronary artery that descends between the ventricles to the apex
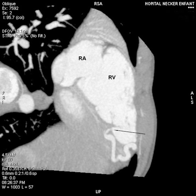
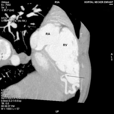
Oblique reconstruction through the right ventricle with maximal intensity projection. Note the direct fistula (arrow) between the distal segment of the left anterior descending artery and the apex of right ventricle (RA right atrium RV right ventricle)
Percutaneous closure by coils was successfully performed. At 6 months follow-up the patient was symptom-free; at ECHO the right ventricle was of normal size and there was no residual shunt.
Discussion
Diagnosis and therapeutic management of coronary artery fistulae is still an open issue. ECHO is the first-line examination for a suspected coronary fistula. Transoesophageal ECHO and invasive angiography are traditionally considered the reference examinations to demonstrate the anatomy of the malformation. However, conventional angiography and transoesophageal ECHO are invasive procedures based on 2-D representation and they sometimes fail to demonstrate the spatial relationship and connections of fistulae. New-generation MSCT is becoming a fundamental tool for evaluation of several coronary artery diseases in adults and children [1]. In our patient, accurate evaluation of the anomaly was achieved using multiplanar and 3-D reconstructions. MSCT findings led us to confirm the diagnosis and plan percutaneous occlusion because of the favourable anatomy and the absence of collateral coronary branches in proximity to the occlusion site. Moreover, MSCT was instrumental in the selection of coils as the modality of occlusion and in providing clear images useful to guide the procedure. Indeed, retrograde closure by plugs was excluded because of the distal position of the fistula, its tortuous course and small diameter. Antegrade closure was considered technically challenging because of the sharp angulation between the coronary fistula and the right ventricular apex.
When diagnosed during infancy or childhood, most isolated coronary fistulae are asymptomatic. The decision to treat or observe during infancy and childhood is controversial. Because several complications may occur in later life, some authors suggest early closure [2]. However, in the absence of symptoms, others advocate conservative management based on the experience that coronary fistulae do not have an adverse clinical outcome in childhood and adolescence [3]. In our patient, we decided to occlude the fistula because although the chest pains were not typical for myocardial ischaemia, their recurrent nature was a handicap for the patient and his family.
Possible treatments of coronary artery fistulae include surgical closure and transcatheter embolization [3]. When surgery is preferred, the majority of patients are treated by surgical ligature under cardiopulmonary bypass; however, in selected patients, an approach without the use of a cardiopulmonary bypass is feasible. Surgical outcome is generally excellent [3]. Other authors advocate transcatheter occlusion as a reasonable alternative to surgery. Indeed, the successful use of different coils and devices is widely reported in the literature [4]. However, in some patients the fistula anatomy may not be favourable for percutaneous treatment [5]. The main criteria that influence the decision as to which treatment option to use are the anatomical features of the malformation. Short angulated fistulae draining close to the tricuspid annulus and giving origin to collateral branches in proximity to the occlusion site may be clear contraindications to percutaneous closure. Based on the anatomical evaluation the management strategy for coronary fistulae should be determined on an individual basis for each patient.
In conclusion, we underline that MSCT is an invaluable tool to confirm the diagnosis of coronary fistula and to provide anatomical information useful to plan the best therapeutic strategy.
References
- 1.Ou P, Celermajer DS, Calcagni G et al (2007) Three-dimensional CT scanning: a novel diagnostic modality in congenital heart disease. Heart 93:908–913PubMedCrossRefGoogle Scholar
- 2.Liberthson RR, Sagar K, Berkoben JP et al (1979) Congenital coronary arteriovenous fistula. Report of 13 patients, review of the literature and delineation of management. Circulation 59:849–854PubMedGoogle Scholar
- 3.Mavroudis C, Backer CL, Rocchini AP et al (1997) Coronary artery fistulas in infants and children: a surgical review and discussion of coil embolization. Ann Thorac Surg 63:1235–1242PubMedCrossRefGoogle Scholar
- 4.Sherwood MC, Rockenmacher S, Colan SD et al (1999) Prognostic significance of clinically silent coronary artery fistulas. Am J Cardiol 83:407–411PubMedCrossRefGoogle Scholar
- 5.Perry SB, Rome J, Keane JF et al (1992) Transcatheter closure of coronary artery fistulas. J Am Coll Cardiol 20:205–209PubMedCrossRefGoogle Scholar


