Reconstruction of an Isolated Left Subclavian Artery in a Patient with a Right Aortic Arch and Tetralogy of Fallot
- 90 Downloads
Abstract
An isolated left subclavian artery (ILSA) is very rarely seen in patients with a right aortic arch. This report describes the case of a 2-year-old boy who underwent ILSA reconstruction during repair of the associated tetralogy of Fallot to prevent future subclavian steal syndrome after surgery.
Keywords
Isolation of the left subclavian artery Right aortic archA 2-year-old boy was referred to our facility for surgical repair of a tetralogy of Fallot (TOF) that had no symptoms suggestive of vertebrobasilar insufficiency or ischemia of the upper extremity. Preoperative angiography showed an absence of the left subclavian artery (LSA) in the early phase and a delayed retrograde flow through the left vertebral artery into an isolated left subclavian artery (ILSA).
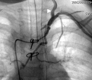
Follow-up selective angiogram of the left subclavian artery showing antegrade flow into the left vertebral artery (arrowhead) after end-to-side anastomosis of the isolated left subclavian artery to the left common carotid artery
Preoperative three-dimensional computed tomography angiogram showing the right aortic arch with an isolated left subclavian artery (arrow)
It still is controversial whether an ILSA should be reconstructed. The literature contains little comprehensive study of this particular disease because of its rarity. Luetmer and Miller [1] reported that 5 (17%) of 30 patients with ILSA had symptoms of ischemia in the upper extremity and that another 5 had symptoms suggestive of vertebrobasilar insufficiency. Apparently many surgeons are likely to abandon an LSA reconstruction, preferring to perform a simple ligation to save time and avoid a more complex procedure in the belief that the frequency of steal syndrome will be reduced. However, ischemic symptoms of the upper extremity or vertebrobasilar insufficiency can emerge years after LSA ligation [1, 2].
We believe that with an ILSA, we should make the best effort to reconstruct. To the best of our knowledge, this is the first reported case in which an ILSA reconstruction was determined to be beneficial by angiography. An antegrade flow may be effective in preventing future symptoms of steal syndrome late after surgery.
References
- 1.Luetmer PH, Miller GM (1990) Right aortic arch with isolation of the left subclavian artery: case report and review of the literature. Mayo Clin Proc 65:407–413PubMedGoogle Scholar
- 2.Ciocca RG, Wilkerson DK, Madson DL, Andrew CT, Graham AM (1995) Symptomatic subclavian steal syndrome four decades after operation for dysphagia lusoria. Ann Vasc Surg 9:204–208CrossRefPubMedGoogle Scholar

