Marine Biology

, Volume 150, Issue 5, pp 1051–1051 | Cite as

Effects of UV-B radiation on development and hsp70 expression in sea urchin cleavage embryos

  • Rosa Bonaventura
  • Veronica Poma
  • Roberta Russo
  • Francesca Zito
  • Valeria Matranga
Erratum

Erratum to: Mar Biol 149:79–86 DOI 10.1007/s00227-005-0213-0

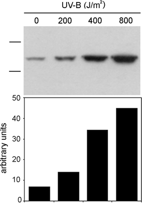
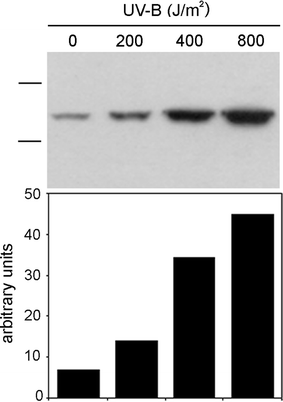
In the pdf online version and in the print version, Fig. 4 appears twice, as Fig. 4 and as Fig. 5. The correct Fig. 5 is shown below.
Fig. 5

Analysis of hsp70 protein levels in embryos exposed to high doses of UV-B. Western blot of total lysates from unexposed (0 J/m2) and exposed (200, 400 and 800 J/m2) embryos harvested 48 h after irradiation, and reacted with anti-hsp70. The positions of the molecular markers (97 and 66 kDa) are indicated on the left. The histogram shows result obtained by densitometric scannings of the filter, band intensities are reported in arbitrary units

Copyright information

© Springer-Verlag 2006

Authors and Affiliations

  • Rosa Bonaventura
    • 1
  • Veronica Poma
    • 1
  • Roberta Russo
    • 1
  • Francesca Zito
    • 1
  • Valeria Matranga
    • 1
  1. 1.Consiglio Nazionale delle RicercheIstituto di Biomedicina e Immunologia Molecolare ‘‘Alberto Monroy’’PalermoItaly

Personalised recommendations