Diabetes therapy by lentiviral hepatic insulin gene expression without transformation of liver
- 330 Downloads
- 3 Citations
Keywords
Gene therapy Hepatocytes Insulin production Lentiviral vector Rat Type 1 diabetesAbbreviation
- STZ
streptozotocin
To the editor:
We read with interest the paper by Ren et al. [1] published in Diabetologia. In this study the liver of diabetic rats was transduced by a lentiviral vector system with the furin-cleavable insulin analogue B10. An instantaneous long-term correction of blood glucose concentrations was achieved within 2–3 days after virus application. At the end of the experiments, 500 days after virus application, an induced transdifferentiation of the transduced hepatocytes into cells immunohistochemically positive for insulin, glucagon and somatostatin was documented. Sixty days after virus injection, the treated rats showed a physiological insulin response and blood glucose concentrations after IVGTTs. The lentivirally transduced livers were positive in RT-PCR analyses for several beta cell typical transcription factors, but not for insulin or insulin proconvertase 2 as a sign of a partial transdifferentiation of hepatocytes into beta cells. Interestingly, the transduction by an empty lentiviral vector led to an induction of the beta cell transcription factors pancreatic and duodenal homeobox 1 (Pdx1) and neurogenic differentiation 1 (Neurod1). The lentiviral vector system used encodes for additional HIV accessory genes that might contribute to the induction of transdifferentiation.
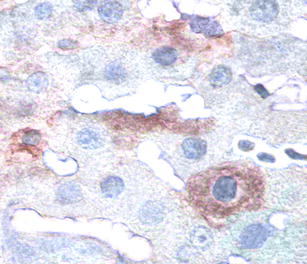
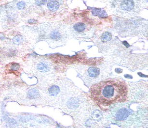
Protein levels of insulin in liver lentivirally transduced with furin-cleavable insulin. About 20% of all hepatocytes showed moderate to dense insulin immunostaining in the cytoplasm, whereas the empty vector transduced hepatocytes as well as endothelial cells and tissue macrophages (such as Kupffer cells) in the sinusoids showed no immunostaining for any islet hormone. The transduced hepatocytes showed no changes from the non-transduced cells with regard to size, glycogen content, ratio between nucleus and cytoplasm, and replication. Paraffin sections of liver were immunostained for insulin with a diaminobenzidine polymer as chromogen. Light microscopy 620×
Thus we can conclude that it is possible to improve blood glucose homeostasis through lentiviral overexpression of the insulin gene in the liver without concomitant transdifferentiation of the liver cells, purely by establishing insulin production in the liver, thereby replacing the loss of insulin supply from the endocrine pancreas to the organism. Use of the native insulin for expression in the liver prevents potential undesirable mitogenic effects.
References
- 1.Ren B, O’Brien BA, Swan MA et al (2007) Long-term correction of diabetes in rats after lentiviral hepatic insulin gene therapy. Diabetologia 50:1910–1920PubMedCrossRefGoogle Scholar
- 2.Dull T, Zufferey R, Kelly M et al (1998) A third-generation lentivirus vector with a conditional packaging system. J Virol 72:8463–8471PubMedGoogle Scholar
- 3.Zufferey R, Dull T, Mandel RJ et al (1998) Self-inactivating lentivirus vector for safe and efficient in vivo gene delivery. J Virol 72:9873–9880PubMedGoogle Scholar
- 4.Groskreutz DJ, Sliwkowski MX, Gorman CM (1994) Genetically engineered proinsulin constitutively processed and secreted as mature, active insulin. J Biol Chem 269:6241–6245PubMedGoogle Scholar
- 5.Drejer K, Kruse V, Larsen UD, Hougaard P, Bjorn S, Gammeltoft S (1991) Receptor binding and tyrosine kinase activation by insulin analogues with extreme affinities studied in human hepatoma HepG2 cells. Diabetes 40:1488–1495PubMedCrossRefGoogle Scholar
- 6.Milazzo G, Sciacca L, Papa V, Goldfine ID, Vigneri R (1997) ASPB10 insulin induction of increased mitogenic responses and phenotypic changes in human breast epithelial cells: evidence for enhanced interactions with the insulin-like growth factor-I receptor. Mol Carcinog 18:19–25PubMedCrossRefGoogle Scholar
- 7.Vincent MT, Carroll RJ, Hammer RE et al (1995) A transgene coding for a human insulin analog has a mitogenic effect on murine embryonic beta cells. Proc Natl Acad Sci USA 92:6239–6243PubMedCrossRefGoogle Scholar
